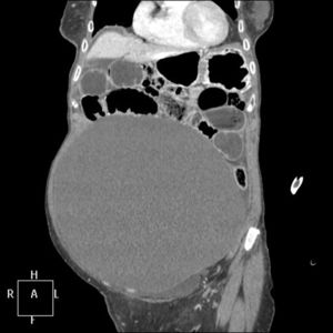
The patient is a 92-year-old woman, with no medical-surgical history of interest, who reported abdominal pain and fecal vomiting over the previous 24h. Upon examination, the abdomen was diffusely painful, with no peritoneal irritation, epigastric tympanites and dullness to percussion in the rest of the abdomen. Computed tomography detected an abdominal cystic mass measuring 22×14cm that occupied the entire abdomen and caused obstructive symptoms of the small intestine (Fig. 1). The patient was treated with emergency surgery, which revealed obstruction of the small intestine secondary to a mass dependent on the mesosigmoid (Fig. 2). Sigmoidectomy was carried out with exegesis of the lesion, with primary colorectal anastomosis. The pathology diagnosis was mesenteric cyst, 22×16cm and 4.2kg.
Please cite this article as: Pola Bandrés G, Millán Gallizo G, Martínez Soriano B, Valcarreres Rivera MP. Quiste mesentérico gigante como causa de oclusión intestinal. Cir Esp. 2018;96:51.





