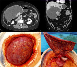
The patient is a 67-year-old woman under study for postprandial fullness and weight loss. Computed tomography (CT) scan revealed a mass in the gastric antrum measuring 18 × 10 cm that was compatible with a duplication cyst. In surgery, we performed controlled evacuation of the content and subsequent division of the pedicle with an endoscopic stapler. The pathological result was spindle cell proliferation with fibromyxoid stroma, compatible with plexiform fibromyxoma. This is a rare benign mesenchymal neoplasm that has only recently been described in an antral location. These lesions are typical of middle-aged adults, presenting very heterogeneous symptoms, and their differential diagnosis should include other myxoid lesions of the gastric wall (Fig. 1).
Please cite this article as: Martí Gelonch L, Asensio Gallego JI, Eizaguirre Letamendia E, Enríquez-Navascués JM. Fibromixoma plexiforme de antro gástrico gigante. Cir Esp. 2021;99:306.




