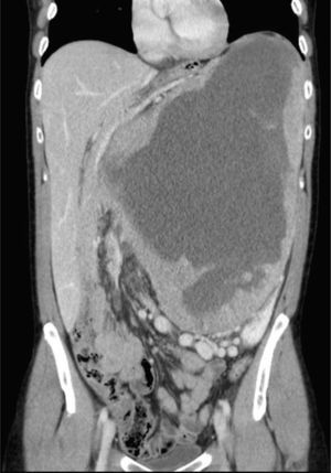
A 46-year-old patient with no medical history of interest came to our consultation complaining of postprandial fullness and a mass in the epigastrium (Fig. 1). Abdominal CT showed a large mass measuring 37cm×27cm×30cm situated between the left lobe of the liver, pancreas, kidney and splenic hilum (Fig. 2). There was a slight elevation in tumor markers: Ca 19.9 (80.8U/ml), and Ca 15.3 (85U/ml). We performed an en bloc resection of the mass, and the pathology study reported an eosinophilic variant of chromophobe cell carcinoma (Fuhrman nuclear grade 3) with extensive central necrosis (Fig. 3). This type of tumor is uncommon. The prognosis is good, with little tendency toward advancing or metastasizing, and with a 10-year survival rate of approximately 90%. The most important prognostic factors are tumor size, presence of sarcomatoid differentiation and tumor necrosis.
Please cite this article as: Gonzalez Rodriguez FJ, Bustamante Montalvo M, Fernandez Perez A, Fernandez Saavedra C. Masa abdominal gigante de origen indeterminado, ¿es el carcinoma de células cromófobas un diagnóstico a tener en cuenta? Cir Esp. 2014;92:e25.






