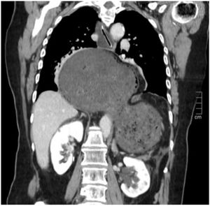
A 78-year-old woman consulted for epigastric abdominal pain of 24 h' duration. Thoracoabdominal CT scan showed evidence of giant hiatus hernia complicated by gastric volvulus (Fig. 1). After CT scan, cardiorespiratory arrest secondary to obstructive shock due to cardiac tamponade. The patient was successfully resuscitated and gastroscopy was performed, identifying gastric ischaemia with areas of necrosis, for which urgent surgery was indicated. After gastric reduction and devolvement, extensive necrosis was found in the greater curvature. Vertical gastrectomy, closure of diaphragmatic pillars and feeding jejunostomy were performed.
Case study diagnosis: hiatal hernia complicated by gastric volvulus.




