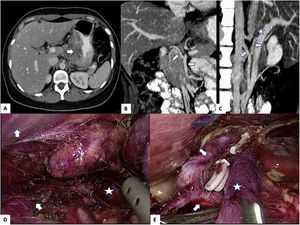
A 31-year-old woman presented with a 7-cm lesion in the lesser curvature of the stomach with possible invasion of the pancreas and retroportal right hepatic artery of the superior mesenteric artery. After neoadjuvant treatment, total gastrectomy with laparoscopic distal splenopancreatectomy (histology: signet ring cell adenocarcinoma, T4N3M0) was performed using a primary approach of the gastroduodenal artery for lymphadenectomy (groups 8 and 9). The postoperative evolution was favorable, and the patient continued to be disease-free 6 months later (Fig. 1).
The primary approach of the gastroduodenal artery in lymphadenectomy for gastric cancer guarantees optimal visualization of the structures and possible vascular anomalies, thereby avoiding injuries and ensuring oncological results.
Conflict of interestsThe authors have no conflict of interests to declare.
The authors would like to thank the General and Digestive Surgery Service and the Abdominal Organ Transplantation Unit at the Hospital Universitario 12 de Octubre.




