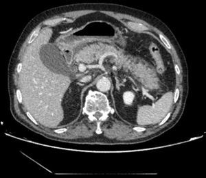
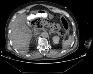
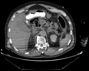
The patient is a 75-year-old male who presented with abdominal pain in the epigastrium that had been progressing for 12h, associated with elevated amylase and lipase levels, with no clinical–analytical signs of severity. The computed tomography scan revealed edema of the pancreas, with no necrosis (Fig. 1). The patient was hospitalized and treated with conservative treatment. Twenty-four hours later, the patient presented with multiple organ failure associated with generalized signs of peritonism; the patient was transferred to the ICU. A triple-contrast CT scan was repeated 30h after the initial scan, which demonstrated diffuse emphysematous pancreatitis, but no signs of perforation (Fig. 2). We decided to perform emergency surgery, which confirmed the findings, and cholecystectomy was carried out in conjunction with pancreatic drainage, transcystic cholangiography (normal) and laparostomy. After a torpid postoperative course, the patient died 48h after hospitalization.
Please cite this article as: Alonso Calderón E, Pérez González C, Prieto Calvo M, Marquina Tobalina T. Pancreatitis enfisematosa de evolución fulminante. Cir Esp. 2017;95:611.





