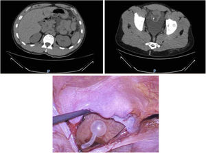
A 30-year-old male with no history of trauma came to the Emergency Department due to anuria and belt-like epigastric pain over the previous 24-h after having abused drugs and alcohol. The examination showed: sweating, HR 94 bpm, and abdomen with no signs of peritonism or visible external injuries. Lab work showed: leukocytosis 17,000, creatinine 3, GFR 20 and CRP 2. Abdominal CT scan revealed free fluid and supramesocolic pneumoperitoneum. Suspecting gastric perforation, we performed urgent exploratory laparoscopy and observed abundant serosanguineous free fluid. After exploring the supramesocolic quadrants, with no pathological findings, we identified a 5 cm perforation in the bladder dome (Fig. 1), which was repaired by continuous suture in 2 planes using 3/0 V-Loc™.
Conflict of interestsThe authors have no conflict of interests to declare.
FundingThis study has received no specific funding from public, commercial or non-profit entities.



