A 39 year old woman with known HIV infection was admitted to the hospital with altered mental status, worsening abdominal pain and abdominal distension. Admission laboratory data were significant for lactic acidosis, prolonged bleeding parameters and elevated liver function tests (AST 204 U/L, ALT 401 U/L, Alk Phos 533 U/L, GGT 247 U/L). The diagnosis of ischemic bowel was entertained and the patient underwent an exploratory laparotomy, which revealed abdominal compartment syndrome, partial small bowel obstruction and retroperitoneal and mesenteric lymphadenopathy. Multiple needle core biopsies of the liver were obtained intraoperatively.
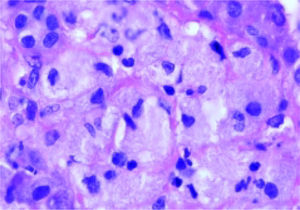
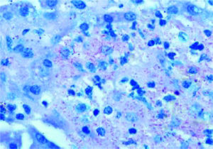
The microscopic features of the liver biopsy are shown in figure 1 and 2. Numerous small aggregates of foamy macrophages were present throughout the liver parenchyma (Figure 1). No significant interface hepatitis, hepatocyte necrosis, fibrosis or Mallory’s hyaline were seen. Tissue stains for acid-fast bacilli highlighted numerous red bacteria within the hepatic macrophages (Figure 2). Culture and smears of the patient’s stool and a mesenteric lymph node subsequently showed Mycobacterium avium complex, confirmed by sequencing of the 16s rRNA gene. In the context of the patient’s HIV infection, the presence of disseminated Mycobacterium avium complex constituted AIDS-defining disease. At that time, the patient’s CD4 count was low despite highly active antiretroviral therapy (CD4:CD8 ratio 0.2). Two weeks later, the patient developed fulminant C. difficile infection and died of sepsis and multiorgan failure.
Mycobacterium avium complex infections (M. avium or M. intracellulare) are among the most common opportunistic infections in patients with HIV and constitute AIDS-defining disease.1-3 It is thought that the organisms gain access to the bloodstream after they penetrate the gastrointestinal mucosa.1 Macrophages engulf the Mycobacteria but are unable to eliminate the organisms, leading to the characteristic foamy granulomata. Liver biopsies, especially in those patients with elevated liver function tests, may offer a definitive diagnosis more rapidly than blood cultures can.







