INTRODUCCION
El Síndrome de Swyer-James, (conocido también como enfisema hipoplásico adquirido de la infancia o Síndrome de McLeod), es una entidad poco frecuente, que parece adquirida tras una bronquiolitis y/o neumonía en la infancia1. Las manifestaciones clínicas varían desde formas asintomáticas hasta infecciones respiratorias de repetición con tos productiva, disnea y hemoptisis ocasional. Puede asociarse a diversas enfermedades cardíacas o pulmonares de los niños2. Aunque el cuadro típico comienza en la infancia, puede cursar de forma asintomática hasta la edad adulta e incluso entonces, descubrirse en el curso de una exploración radiológica de rutina, caracterizada por una hiperclaridad pulmonar unilateral o lobar asociada a un atrapamiento aéreo del pulmón hiperclaro durante la espiración.
El parénquima pulmonar afectado muestra un grado variable de destrucción, y con frecuencia existen bronquiectasias. Además la arteria pulmonar del pulmón patológico suele tener disminuido su calibre y, en consecuencia, el flujo sanguíneo pulmonar se reduce3.
CASO CLINICO
Varón de 12 años que acude a urgencias de nuestro hospital por síndrome febril de 39 °C y 4 días de evolución. No refiere tos, disnea, hemoptisis ni otra sintomatología. Embarazo de 35 semanas. Peso de 2.800 g Apgar 9/10. Hospitalizado de recién nacido por taquipnea transitoria sin complicaciones. A los 3 años con diagnóstico de bronconeumonía precisó hospitalización en nuestro hospital.
Como antecedentes familiares destacan: padre afecto de rinitis estacional con sensibilización a los ácaros del polvo, y hermano diagnosticado de asma bronquial con sensibilización a los ácaros del polvo.
Exploración clínica: temperatura corporal 39 °C, frecuencia cardiaca de 90 ppm, y tensión arterial de 100/50. Aspecto febril. Buena coloración e hidratación. Auscultación torácica: disminución de la ventilación del hemitórax izquierdo; resto de la exploración física normal.
Como exploraciones complementarias iniciales, se realizó radiografía de tórax en inspiración, la cual puso de manifiesto la existencia de una hiperclaridad del lóbulo superior izquierdo con disminución de la vascularización, más evidente, en una radiografía posterior en espiración forzada (figs. 1 y 2).
Figura 1.--Radiografía de tórax en inspiración forzada.
Figura 2.--Radiografía de tórax en espiración forzada.
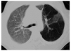
En la TAC torácico helicoidal en inspiración y espiración forzada, se apreció una hiperclaridad del lóbulo superior izquierdo con disminución de la vascularización pulmonar. No se evidenciaron signos de obstrucción bronquial ni de atresia (figs. 3 y 4).
Figura 3.--TAC Pulmonar en inspiración forzada.
Figura 4.--TAC Pulmonar en espiración forzada.
Hemograma normal (Eosinófilos: 200/mm3). Inmunoglobulinas: IgG: 1.120 mg/dl, IgA: 106 mg/dl, IgM: 36 mg/dl y IgE: 45 mg/dl, subclases de IgG: IgG1. 807 mg/dl, IgG2: 196 mg/dl, IgG3: 60 mg/dl, IgG4: 37 mg/dl: valores normales. Alfa 1 antitripsina sérica:105mg/dl: normal, Prick-test con batería estándar de neumoalergenos: negativo Mantoux: Negativo Cloruros en sudor: 7 mEq/l. Espirometría: FEV1: 118 %, FVC: 127 %, FEV1/FVC: 88 %, FEF 25 %-75 %: 109 %, valores normales para su talla y edad. Ecocardiograma cardíaco, normal.
La Gammagrafía Pulmonar de ventilación-perfusión reveló una hipocaptación segmentaria del lóbulo superior izquierdo tanto en la ventilación como en la perfusión (figs. 5 y 6), así como la cuantificación de la misma.
Figura 5.--Gammagrafía pulmonar ventilación-perfusión.
Figura 6.--Cuantificación de la gammagrafía pulmonar ventilación-perfusión.
Estos hallazgos permitieron establecer el diagnóstico del Síndrome de Mc-Leod, o de Swyer-James.
El tratamiento de la fase aguda comprendió amoxicilina oral a dosis de 80 mg/kg/día, antitusígenos e hidratación. Se recomendó la vacunación antigripal anual y antineumocócica, así como la utilización de antibioterapia precoz y broncodilatadores en caso de síntomas broncoobstructivos. La evolución del paciente fue excelente.
DISCUSION
El síndrome de Swyer-James-Mc Leod (SJML) es una anomalía poco frecuente caracterizada radiológicamente por un lóbulo o un pulmón hiperlúcidos y, desde el punto de vista funcional por un volumen normal o reducido durante la inspiración y un atrapamiento aéreo durante la espiración4, resultado del menor volumen pulmonar secundario a la obliteración bronquiolar.
El trastorno también ha sido denominado Síndrome de Mc-Leod, enfisema unilateral o lobular y pulmón hiperlúcido unilateral y puede afectar un lóbulo, parte de un lóbulo o todo el pulmón5.
La hiperclaridad pulmonar es un signo común a distintas entidades que cursan con una reducción del árbol vascular pulmonar y/o con la existencia de la destrucción del parénquima pulmonar. Este trastorno puede aparecer en distintas distribuciones anatómicas, que incluyen un segmento, un lóbulo, dos lóbulos en el pulmón derecho, y el lóbulo inferior de un pulmón y el lóbulo superior del otro.
En 1953, Swyer y James describieron, por primera vez en un niño de 6 años el hallazgo de una hiperclaridad pulmonar unilateral, con tamaño del pulmón afectado menor que el contralateral y la evidencia angiográfica de una disminución del calibre de la arteria pulmonar homolateral5. El niño tenía infecciones repiratorias de repetición y bronquiectasias periféricas.
En 1954, Mc-Leod6 describió el síndrome en nueve pacientes adultos con hiperlucencia pulmonar unilateral, dos de los cuales estaban asintomáticos.
Aunque primero se pensó que tenía un origen congénito, actualmente el Síndrome de Swyer-James es considerado como una forma de bronquiolitis obliterantes (BO) que ocurre tras una infección pulmonar en la infancia por adenovirus tipo 7, Sarampión, Pertusssis7, Tuberculosis y micoplasma8. Otras causas son la aspiración de un cuerpo extraño, irradiación, y la ingesta de hidrocarburos9. Más de la mitad de los casos aparecen después de uno o varios episodios de neumonía, pudiendo incluir en este trastorno, a su vez, una vasculitis obliterante, lo que explica la gran disminución de la perfusión y de las marcas vasculares en el lado afectado5.
Este síndrome típicamente ocurre en niños antes de los 8 años de edad, antes que el pulmón haya completado el desarrollo y la maduración pulmonar10. La incidencia de bronquiectasias en niños con SJMS permanece controvertida8. Puede asociarse a diversas enfermedades cardíacas, o pulmonares de los niños, pero en algunos casos se presenta sin una enfermedad activa basal fácilmente demostrable4.
En cuanto a la patogenia hay pruebas sustanciales de que el síndrome de inicia por una bronquiolitis viral. Por lo tanto, es probable que la mayoría de los casos de Síndrome de Swyer-James comience como una bronquiolitis aguda que progresa hasta la obliteración fibrosa de la luz de las vías aéreas: el parénquima periférico en su mayor parte no está afectado y se mantiene insuflado debido a una ventilación colateral con atrapamiento aéreo resultante10.
En algunos casos, también sobrevienen cambios destructivos característicos del enfisema. No se conoce la patogenia de esta complicación sin embargo, es probable que la infección persista en algunos casos, con la elastosis ulterior a partir de las proteasas fagocíticas10.
En muchos casos, la enfermedad es reconocida, (o al menos sospechada) en la infancia cuando se lleva a cabo una radiografía de tórax en la investigación de infecciones respiratorias repetidas10.
En nuestro caso, el paciente tenía antecedentes personales de bronconeumonía, y fue al solicitarle una radiografía de tórax en inspiración y espiración forzada por una semiología de neumonía, donde se descubrió accidentalmente el proceso.
En otros, el problema no se evidencia hasta la vida adulta, al hacer una radiografía de tórax en el curso de una exploración por otro motivo. En estos casos la anamnesis a menudo pone en evidencia el antecedente de una infección aguda del tracto respiratorio inferior, casi siempre durante la infancia.
Existen pocas descripciones de las características anatomopatológicas del síndrome de Swyer-James, pero las piezas que han sido examinadas han mostrado bronquitis, bronquiectasias, bronquiolitis obliterante y un grado variable de destrucción del parénquima pulmonar10.
Las manifestaciones clínicas varían desde asintomáticas hasta infecciones respiratorias de repetición acompañadas de tos productiva, disnea y hemoptisis ocasional, pudiendo ir acompañados de bronquiectasias. En la exploración clínica se detecta timpanismo y disminución del murmullo vesicular sobre la zona afectada y (a veces) rales dispersos.
Los resultados de las pruebas de la función pulmonar varían con la porción del pulmón afectado. En los casos en los que está afectado la totalidad de un pulmón, hay una reducción de la capacidad vital y del flujo espiratorio. Por lo general, cuando se practica una espirometría los resultados muestran una reducción de la ventilación, cosa que no ocurrió en nuestro paciente. Por lo general, la concentración de los gases en sangre es normal, aunque pueden disminuir con el ejercicio.
El diagnóstico diferencial del síndrome del SJML incluye, y así nos lo planteamos (Frasser y Pare11) con la ausencia congénita del músculo pectoral mayor, mastectomía, el tromboembolismo pulmonar, la agenesia congénita de la arteria pulmonar, el Síndrome del pulmón hipogenético, la lesión endobronquial que produzca obstrucción, y el asinclitismo. El diagnóstico se estableció tras la exclusión de estas enfermedades con la ayuda de diversas exploraciones complementarias.
Por lo general las manifestaciones radiológicas se reconocen con facilidad, y se caracterizan por una hiperclaridad pulmonar unilateral o lobar causada no por un aumento relativo en el aire en el pulmón, sino por una menor perfusión, asociada a un atrapamiento aéreo del pulmón hiperclaro durante la espiración. Este signo radiológico es uno de los elementos característicos del SJML de hecho, un sine qua non para el diagnóstico y es un reflejo de la obstrucción de las vías aéreas y se considera extremadamente útil para diferenciar este Síndrome de otros transtornos que puedan dar origen a la hiperlucidez unilateral o lobular. En algunos pacientes existe desplazamiento del mediastino hacia el lado opuesto a la lesión durante la espiración.
La TAC pulmonar muestra la destrucción del parénquima pulmonar afecto, más evidente en la espiración forzada, pudiendo acompañarse o no de broquiectasia12. Además la arteria pulmonar del pulmón patológico suele tener disminuido su calibre y, en consecuencia, el flujo sanguíneo pulmonar se reduce.
La Gammagarfía pulmonar de ventilación-perfusión demuestra una disminución de la ventilación-perfusión de pulmón patológico, secundario a los cambios enfisematosos y una marcada disminución de la perfusión consecuencia del menor calibre de arteria pulmonar13.
Si bien algunos trastornos se pueden manifestar con un aspecto similar al síndrome de Mc-Leod, sólo en uno existe una dificultad potencial seria: una lesión parcialmente obstructiva localizada en el interior de un bronquio principal, la cual puede crear una triada de signos radiológicos que son indistinguibles: volumen pulmonar menor que el normal, atrapamiento aéreo durante la espiración y oligohemia difusa como resultado de la vasoconstricción hipóxica10.
En consecuencia en todo niño con estos signos es necesario excluir la presencia de una lesión en el interior del bronquio principal homolateral antes de aceptar el diagnóstico de Síndrome de Swyer-James14. La forma más fácil de lograrlo es mediante la broncoscopia, aunque la Tomografía computarizada helicoidal constituye un método rápido y fiable para establecer el diagnóstico de SJML, puesto que permite realizar reconstrucciones tridimensionales del árbol bronquial, a la vez que efectuar estudios angiográficos con la inyección del contraste intravenoso y puede ser igualmente efectiva
Otros trastornos que dan origen a una radiolucidez unilateral o lobular, como la interrupción proximal de una arteria pulmonar, el síndrome del pulmón hipogenético, y la obstrucción de la arteria pulmonar principal o una de sus ramas por tromboembolias, se diferencian con facilidad por la ausencia de atrapamiento aéreo durante la espiración y por otros signos radiológicos que caracterizan a estos procesos. En cuanto a la ausencia congénita del músculo pectoral mayor y la mastectomía, se identifica por la inspección y el asinclitismo por la radiografía de tórax.
No se conoce ningún tratamiento específico4. Como refieren las publicaciones, carece de terapéutica correctora y las únicas medidas se basan en el adecuado uso de antibióticos para evitar y curar las infecciones que es lo que aplicamos en nuestro caso.
Asimismo, y al tratarse de un caso de neumopatía crónica, recomendamos, la vacunación antigripal y antineumocócica, tal y como se recogen en las recomendaciones del Advisory Committee on Immunization Practices (ACIP)15,16.
En la mayoría de estos niños, si no hay una enfermedad asociada, el pronóstico es excelente, pudiendo disminuir los síntomas con el paso del tiempo5.
Muchos de los niños, diagnosticados o no, continuarán su vida sin ningún tipo de problema. En el caso presentado tuvo una evolución favorable, aún así estos niños son subsidiarios de seguimiento para la detección temprana de los trastornos y las complicaciones concomitantes.
Por todo ello, las conclusiones son las siguientes:
1. Los pacientes afectos de SJML pueden acudir por síntomas o signos de neumonía, aunque algunos se descubren al hacer una radiografía de tórax por otros motivos.
2. Pensar en la posibilidad de SJML ante hallazgos radiográficos de hiperclaridad pulmonar.
3. Ante una hiperclaridad pulmonar uni o bilateral, es aconsejable una radiografía de tórax en espiración forzada, antes de proseguir con técnicas más agresivas y costosas.
4. Destacar el papel diagnóstico de la TAC Torácica helicoidal, ya que constituye un método rápido y fiable para establecer el diagnóstico del SJML.
5. La Gammagrafía pulmonar de ventilación-perfusión es pertinente en el diagnóstico diferencial y en nuestro caso estableció el diagnóstico.
*Premio Congreso SEICAP, Marbella, 2003.








