Nephrolithiasis is a globally prevalent urologic condition associated with significant morbidity and patient discomfort. Current management of kidney stones includes both surgical and pharmacologic interventions. Though surgery may be necessary under certain circumstances, pharmacologic treatment is a more affordable, readily available, and a less invasive option for patients. A comprehensive scoping review was conducted to summarize the available literature on the pharmacologic strategies for managing the predominant stone types including calcium oxalate, calcium phosphate, uric acid, struvite, and cystine stones. Central to these therapeutic approaches is the regulation of factors such as urine pH, stone crystallization, and patient metabolics that precipitate stone development and growth. This review highlights the pharmacological options available for treating each kidney stone type, emphasizing the importance of patient tailored medical management that should be considered by every physician.
La nefrolitiasis es una patología urológica de prevalencia mundial asociada a una importante morbilidad y malestar para el paciente. El tratamiento actual de los cálculos renales se basa en intervenciones quirúrgicas y farmacológicas. Aunque la cirugía puede ser necesaria en casos determinados, el tratamiento farmacológico es una opción más asequible, fácilmente disponible y menos invasiva para el paciente. Se realizó una revisión exhaustiva para resumir la bibliografía disponible sobre las estrategias de manejo farmacológico de los principales tipos de litiasis: oxalato cálcico, fosfato cálcico, ácido úrico, estruvita y cistina. La regulación de factores como el pH urinario, la cristalización de los cálculos y los trastornos metabólicos del paciente que precipitan el desarrollo y el crecimiento de los cálculos es fundamental para estos enfoques terapéuticos. Esta revisión hace hincapié en las opciones farmacológicas disponibles para el tratamiento según el tipo de litiasis y destaca la importancia de un tratamiento médico personalizado para cada paciente, aspecto que debe ser tenido en cuenta por todos los médicos.
Nephrolithiasis is a common urologic condition that dates back centuries.1 Risk factors for stone disease include family history, underlying systemic disorders, kidney and urinary tract conditions, and lifestyle and dietary habits. Patients who have previously had a kidney stone are at risk for future kidney stones. The recurrence rate may exceed 50% within 10 years of the initial event.2
The American Urological Association and European Association of Urology have both published guidelines for the medical management of kidney stones.3,4 These guidelines include recommendations for the evaluation of the recurrent stone former as well as dietary and pharmacological management, with the goal of reducing the risk of future stone formation. Medical therapy regimens and efficacy vary depending on a patient's risk factors and the type of stone formed and will be evaluated in depth in this review.
In addition to the medical therapy and supplementation covered in this review, lifestyle changes such as diet and exercise play a role in preventing or reducing stone burden. Although this review primarily focuses on the different prescription medications available to treat kidney stones and their efficacy, it is important to note that increased hydration to achieve at least 2.5 L of urine output per day is a mainstay of therapy across all stone types.3 Maintaining decreased sodium intake to below 2300 mg in calcium stone formers has also proven useful.5
Calcium oxalate (CaOx) stonesPathophysiology/metabolic predisposition & pharmacologyAt least 70%–85% of patients who present with kidney stones have a calcium-containing stone.6 Management of calcium stones is achieved by treating the underlying pathophysiology and metabolic factors that influence a patient’s urine composition. To determine the best choice of pharmacology for calcium nephrolithiasis, it is critical to understand the different urine chemistries and compositions that increase a patient’s risk of stones. These include hypercalciuria, hypocitraturia, hyperoxaluria, hyperuricosuria, and hypomagnesuria.
HypercalciuriaHypercalciuria is generally defined as a urine calcium concentration of >300 mg/day in men and >250 mg/day in women.7 For many patients, hypercalciuria is idiopathic in origin and can present as part of an imbalance of calcium in multiple areas of the body including over-absorption in the gut, decreased reabsorption in the renal tubules, and decreased mineralization of bone.8 Hypercalciuria with other systemic presentations may be due to an identifiable underlying pathophysiology and has been associated with sarcoidosis, hyperparathyroidism, and renal sources such as renal tubular acidosis (RTA) and medullary sponge kidney. When both serum and urinary calcium are high, primary hyperparathyroidism may be suspected. Other serum abnormalities that should raise concern for a pathology include the combination of low serum bicarbonate, low serum potassium, and high serum chloride, suggesting a distal RTA.9Table 1 provides an overview of the different causes of hypercalciuria.
Causes of Hypercalciuria.
| System | Examples |
|---|---|
| Endocrine | Hyperparathyroidism, hypothyroidism, diabetes mellitus, Cushing syndrome, paraneoplastic syndromes (PTHrP) |
| Renal | Distal RTA, medullary sponge kidney |
| Rheumatological & Musculoskeletal | Sarcoidosis, osteoporosis, Paget’s disease |
| Iatrogenic | Medication side effects, hypervitaminosis D |
| Idiopathic | Idiopathic hypercalciuria |
To reduce the risk of stone formation in patients with idiopathic hypercalciuria, thiazides or thiazide-like diuretics are frequently prescribed.3 Thiazide diuretics promote calcium absorption in the kidneys thereby limiting calcium excretion and calcium concentration in the urine.
A number of randomized control trials have demonstrated their efficacy at preventing all types of calcium stone formation.3 A 2009 Cochrane database review analyzed five of these studies with a total of 316 patients. Among the findings was a 60% reduction in new stone formation in patients treated with thiazides compared to placebo.10 Thiazide use may also inadvertently uncover underlying hyperparathyroidism. Patients who present with elevated serum calcium after discontinuing thiazides should be evaluated for primary hyperparathyroidism. Thiazides may also help differentiate between underlying primary and secondary hyperparathyroidism.3
Some side effects of thiazides include low potassium levels, glucose intolerance, dyslipidemia, and high uric acid. To avoid hypokalemia, providers may prescribe thiazides in conjunction with potassium-sparing diuretics like amiloride and spironolactone, or with supplementations like potassium citrate or potassium chloride.8
The dose of thiazide and thiazide-like medications depends on the specific drug chosen to treat a patient’s hypercalciuria. Hydrochlorothiazide is recommended at 25 mg twice daily (BID) or 50 mg daily, although many opt to take one dose at 50 mg to reduce nocturia. Chlorthalidone is prescribed to patients at 25–50 mg daily with a patient’s risk of hypokalemia taken into consideration, and indapamide is given at 1.2–2.5 mg daily.11 Several studies have suggested prescribing lower doses of thiazides than used in many of the RCTs, with a recent retrospective cohort study demonstrating that low dose thiazides may confer a similar benefit to high dose diuretics in preventing the development of calcium stones.12
Although most RCT studies have shown positive results with thiazides, it is important to note that a recent study, the “NOSTONE” trial, demonstrated that thiazide diuretics do not prevent recurrence of calcium-containing stones. This double-blind trial found no difference in stone formation between groups receiving hydrochlorothiazide at a dose of 12.5 mg, 25 mg, 50 mg, or placebo once daily.13 Further work is necessary to clarify the benefit of thiazides in patients with calcium stones.
HypocitraturiaA second common metabolic disturbance is hypocitraturia, defined by some experts as <550 mg/day in females and <450 mg/day in males,14 while others state 320 mg/day as the cutoff in both female and male patients.15 In some studies, hypocitraturia was present in over 50% of CaOx stone forming patients. Citrate concentration in the urine is influenced by many processes. For some patients, hypocitraturia is idiopathic, while others may experience an imbalance due to thiazide diuretic usage, urinary tract infections, or systemic diseases like chronic diarrhea and more importantly, a distal RTA.1
CitrateCitrate, an inhibitor of CaOx stone formation, works by forming soluble complexes with calcium and reducing the level of calcium in the urine. Citrate salts may be prescribed to increase urine citrate. Citrate salts are converted in the liver to bicarbonate causing an elevated downstream level of bicarbonate in the urine, which in turn increases the citrate load in the urine.1 Several randomized placebo controlled trials evaluating alkali-citrate treatments have demonstrated that both potassium citrate and potassium-magnesium citrate cause a decrease in the formation of recurrent stones.16 AUA guidelines recommend potassium citrate therapy not only for patients with recurrent calcium stones and hypocitraturia but also as an option for empiric therapy for calcium oxalate stones in patients who do not demonstrate abnormalities of the 24-h urine.3
One important factor to consider when using citrate is its impact on urinary pH. Although citrate raises an acidic pH to a more favorable alkaline state, over-alkalinization can create an environment conducive to calcium phosphate stone formation. There have been no randomized controlled trials directly addressing the rate of calcium phosphate stone formation in patients taking citrate, it remains a theoretical risk that over-alkalinization of the urine in patients with hypocitraturia and CaOx stones could increase risk of formation of calcium phosphate stones. As such, patients who have previously formed calcium phosphate stones may benefit from close follow-up of their urinary pH after starting citrate.1
Potassium citrate supplementation has also historically been found to be beneficial for patients with distal RTAs. This is due to the potassium targeting the hypokalemia experienced by patients with a distal RTA while urinary alkalinization from citrate metabolism targets the acidosis in these patients.
Potassium citrate is prescribed to patients at a starting dose of 40–60 mEq and is increased as necessary. It is important to monitor potassium levels closely in patients taking potassium citrate, especially in those with reduced kidney function. Some patients may experience adverse gastrointestinal side effects from potassium citrate, making it unsuitable for those with preexisting peptic ulcers.8 For patients with kidney impairment or at risk of hyperkalemia, sodium citrate or sodium bicarbonate can be used to increase citrate levels. Concerns exist that excess sodium may also contribute to stone formation and can worsen conditions such as heart failure, hypertension, and fluid retention.17 However, to our knowledge, there have not been publications demonstrating increased blood pressures or worsening stone disease in patients taking sodium bicarbonate for stone prevention. Some patients use over the counter alkalizing drugs as they are cheaper and more readily available than prescription potassium citrate, without the undesirable gastrointestinal side effects such as nausea, abdominal pain, vomiting, and diarrhea. However a review of these OTC options demonstrated lower citrate alkali equivalents per day and their efficacy has not been proven.18 Citrate content in beverages can also significantly increase urine citrate levels.19
HyperuricosuriaHyperuricosuria is defined as urinary uric acid >800 mg in men and 750 mg in women.20 At a urine pH of 5.5 or below, this can cause uric acid stone formation, while above 5.7 hyperuricosuria, promotes the formation of CaOx stones.21 Methods of alkalinizing urine, such as with ingestion of citrate, have also been useful in reducing the acidic environment of the urine.
Allopurinol & febuxostatPatients with CaOx stones and concurrent hyperuricosuria can be treated with allopurinol, a medication that inhibits the production of uric acid and reduces its excretion in the urine.22 This recommendation was based on a 1986 RCT demonstrating allopurinol benefits over the placebo group. However, individuals with hypercalciuria were not included in the trial, so the effectiveness of allopurinol in such patients is uncertain.22
Allopurinol may cause rare side effects such as Stevens-Johnson syndrome and elevated liver enzymes, so liver function tests should be monitored after starting treatment. An alternative drug is febuxostat which may be effective at lowering serum uric acid levels and may also be a more potent option to reduce gouty attacks in patients with hyperuricemia in addition to hyperuricosuria.23
Allopurinol dosage depends on uric acid excretion in the urine. When a patient is excreting more than 600 mg/day, a starting dose of 300 mg per day of allopurinol is prescribed. Of note, the excretion cutoff for men is often higher at 700 mg per day. Febuxostat 80 mg per day was used in trials against allopurinol.23
HyperoxaluriaIncreased urinary oxalate increases the risk of formation of CaOx stones. The cause of hyperoxaluria is often enteric in nature and may be due to over-absorption of oxalate in the gut from bowel disturbances like inflammatory bowel disease or short bowel syndrome.8 Patients may also be genetically predisposed to primary hyperoxaluria via an inheritable mutation that disrupts glyoxylate metabolism.1
HypomagnesuriaHypomagnesuria, defined as a urine magnesium level of less than 3.0 mmol/day, has been observed in 7%–23% of calcium stone formers.4 Hypomagnesuria may be caused by poor dietary intake of magnesium or reduced intestinal absorption secondary to chronic diarrhea.4 Of note, clinical studies showing a clear cause and effect relationship between low magnesium and stone development are limited.
Additional supplementsPatients are advised to limit oxalate in their diets and increase calcium intake. Dietary calcium, from both dairy and non-dairy sources has a protective effect against stone formation by preventing intestinal oxalate absorption.24
Calcium phosphate stonesPathophysiologyThough hypercalciuria may be present in calcium phosphate stone formers, the pathophysiology that predisposes patients to phosphate rather than oxalate stones varies. Phosphate precipitates in the collecting system when the pH rises above 6.5, leading to an increase in calcium phosphate stones. Distal RTAs and hypocitraturia are also implicated in the pathogenesis of calcium phosphate stones.25
PharmacologyThe EAU recommends thiazides for patients with calcium phosphate stone and concurrent hypercalciuria.4 Although there are theoretical concerns that over-alkalinization of the urine in a patient with calcium phosphate stones could further precipitate these stones, for patients who also have low urine citrate, citrate supplementation is believed to treat the underlying acidosis (e.g. incomplete RTA) and decrease risk of stone formation.26
Uric acid stonesPathophysiology & urine pHUric acid stone prevalence has increased from 7% to 14% between 1980 and 2015.27 Among these associated factors, urinary pH is the strongest clinical indicator of the type of stone formed. When urine pH drops below 5.5, uric acid becomes less soluble in urine, which can lead to the formation of uric acid stones. In fact, a patient may still develop uric acid stones despite a normal 24-h urine uric acid level if their urine is persistently too acidic.8 Other clinical indicators for uric acid stone formation include hyperuricosuria and low urine volume. Development of kidney stones from hyperuricosuria is often idiopathic in nature, but patients predisposed to these determinants include patients with chronic diarrhea, inflammatory bowel disease, ileostomy, myeloproliferative disorders, high animal protein intake, uricosuria-inducing medications including probenecid, rasburicase, and enalapril among others, primary gout, obesity, metabolic syndrome, type 2 diabetes mellitus, and Lesch-Nyhan syndrome.1
PharmacologyUric acid has a pKa of 5.35, therefore as pH becomes less acidic, uric acid is converted into soluble urate anion. Potassium citrate or sodium bicarbonate achieve urinary alkalinization for uric acid stones, with a goal urine pH of 6.5. Importantly, patients must ensure that their urinary pH doesn’t rise too high, as a urinary pH of 8 can precipitate apatite and decrease solubility as well.28 Xanthine oxidase inhibitors such as allopurinol and febuxostat are not effective in patients with chronically low pH, and are no longer helpful at a high pH. Therefore, the primary goal is to alkalinize the urine with alkali citrate.8
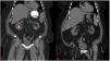
Sodium bicarbonate is a suitable alternative to potassium citrate for patients with kidney problems or other risk factors for hyperkalemia.29Fig. 1 demonstrates the effect of oral dissolution therapy on a patient before receiving therapy (Fig. 1A) and successful dissolution after treatment is completed (Fig. 1B). Dose adjustment for either medication can be made by monitoring urine pH in the doctor's office or at home using nitrazine paper in order to maintain the appropriate pH level for dissolution and also prevent over-alkalinization.8
As low urinary pH is associated with insulin resistance in the renal tubules, pharmacologic interventions that target insulin resistance like pioglitazone may also help raise the pH of the urine.30 For patients who have uric acid nephrolithiasis and type two diabetes mellitus or metabolic syndrome, pharmacologic intervention should be paired with physical activity, weight loss, and glucose management.31
Struvite stonesPathophysiologyStruvite stones, also referred to as “infection stones” are formed by an accumulation of magnesium, ammonium, and phosphate and are usually associated with bacteria.32 These stones require an alkaline environment to grow and urease-producing bacteria help create these conditions. Struvite stones grow rapidly, often forming “staghorn” calculi and creating considerable obstruction. They are often formed by urease-producing bacteria, especially Proteus mirabilis.33 However, more contemporary studies have found non-urease splitting organisms such as E. coli and Enterococcus in struvite cultures, occurring at a similar rate as struvite stones with urease splitting organisms.34
PharmacologyAntibioticsBoth the EAU and AUA recommend antibiotics for treatment of infection stones before and after surgery until stone sterilization is achieved.4 Antibiotic regimens for infection stones are recommended to be culture-directed.4 There is limited data to guide the frequency and duration of antibiotic treatment but they are typically given for 1−2 weeks prior to PCNL or ESWL.35
Interestingly, a few studies have shown that antibiotics can help with reducing struvite stone size or spontaneous passage in the absence of invasive procedures.31 While antibiotics for urease producing sources of struvite stones help reduce the production of an alkaline urine for struvite stone formation, long term use of antibiotics is not recommended as they can cause resistance.
Urease inhibitorsUrease inhibitors reduce the production of ammonia and subsequently lower urine pH. Acetohydroxamic acid (AHA, Lithostat) is the most effective urease inhibitor thus far. It works by causing non-reversible, non-competitive inhibition of urease AHA has also been found to prevent stone growth and delay stone recurrence compared to placebo.36 However, the side effects associated with AHA including tremulousness and hemolytic anemia have discouraged their use.36
Cystine stonesPathophysiologyCystine kidney stones develop from cystinuria as a result of a genetic mutation causing defective amino acid transport in the kidneys and small intestine.37 Cystine is insoluble at physiological urine pH and thus crystallizes to form renal stones. These stones account for only 1%–2% of all cases of renal lithiasis, but 6%–8% of pediatric stones.37 Their genetic etiology causes high recurrence rates, especially without preventative management. Hyperhydration and restriction of sodium and protein along with urinary alkalinization is the first approach to treatment, aimed at increasing cystine stone solubility.
PharmacologyThe goal of alkalinization is to reach a pH of 7–7.5, a level at which cystine is soluble but not alkaline enough to allow for calcium phosphate formation. Potassium citrate is the common alkalinization treatment for patients with cystinuria. A dose of 30−60 mEq/day is recommended, and pH should be monitored daily to achieve a goal pH of 7.0−7.5.38
If alkalization fails and cystine excretion continues to exceed 3 mmol/day, second-line therapy with chelating agents is considered – these are known as CBTD (cystine binding thiol drugs). These agents include thiol-based drugs such as D-Penicillamine and α-mercaptopropionyl-glycine (MPG, tiopronin) which contain a sulfhydryl group that binds to cystine and forms cysteine, a molecule 50 times more soluble in urine. Although effective, D-Penicillamine has been associated with severe side effects including thrombocytopenia and arthropathy that have limited its use (Pak 1986). In a multi-center clinical trial, tiopronin was determined to be equally as effective as D-penicillamine with less severe side effects.39 Thus, the AUA advises tiopronin to be considered before D-Penicillamine.3 The recommended dosing for tiopronin for adults is 600−900 mg/day divided into 2 or 3 doses and 15 mg/kg/day in children who weigh more than 20 kg. Interestingly, in a recent large study assessing the health-related quality of life (HRQOL) in patients with cystinuria, patients on tiopronin had significantly better scores for all but one domain, physical functioning, in which no significant difference was found, when compared to patients not taking tiopronin.40 Of note, maintaining adequate hydration, with an average urine volume of 3.15 L, was linked to better treatment success with all cystine medical regimens. This volume is higher than the recommended urine output of 2–2.5 L for all stone formers.41
Another pharmacological option for cystine stones is captopril, an angiotensin-converting enzyme inhibitor that, similarly to thiol-based agents, contains free sulfhydryl groups that bond to cystine. The resulting cysteine-captopril complex has been found to be 200 times more soluble in urine. However, there are conflicting results regarding its efficacy.41 Thus, captopril is only offered to patients with hypertension or potentially as a supplement to tiopronin in patients with high cystine excretion.42
SummaryAn overview of the aforementioned recommended medication regimens for each stone type is outlined in Table 2.
Pharmacological recommendations for different types of renal calculi.
| Medication | Stone type | Dose |
|---|---|---|
| Thiazides | CaOx | 1. Hydrochlorothiazide: 25 mg BID or 50 mg daily |
| 2. Chlorthalidone: 25 mg–50 mg daily | ||
| 3. Indapamide: 1.2 mg–2.5 mg daily | ||
| Potassium Citrate | CaOx | Starting dose of 40–60 mEq |
| Allopurinol & Febuxostat | CaOx | 1. Allopurinol: starting dose of 300 mg daily if uric acid excretion >600 mg/day |
| 2. Febuxostat: 80 mg daily | ||
| Alkali Citrate (potassium citrate & sodium bicarbonate) | Uric Acid | Adjust dose based on urine pH in office or at home to maintain appropriate pH for dissolution |
| Antibiotics | Struvite | Culture-directed 1−2 weeks prior to PCNL or ESWL |
| Potassium Citrate | Cystine | 30−60 mEq daily; monitor pH to achieve goal of 7.0−7.5 |
| Chelating agents (CTBD) | Cystine | Tiopronin: 600−900 mg daily divided into 2 or 3 doses and 15 mg/kg/day in children who weigh more than 20 kg |
An increasing number of people are turning to over the counter and medical food supplements to independently treat their kidney stones. These options may be more economically desirable than prescription medications and are easy to incorporate into a patient’s daily lifestyle and diet. However, most of the available options have not been evaluated by randomized control trials or approved by official regulators such as the European Food Safety Authority (EFSA) or the United States Food and Drug Administration (FDA).
Several over the counter supplements are available,18 and while the efficacy of these supplements in treating kidney stones remains uncertain, some studies have investigated their potential effects. Many supplements were found to possess enough alkali to stimulate a citraturic response in two studies.43
ConclusionThe pharmacologic management of kidney stones has proven to be effective in reducing stone recurrence and addressing specific metabolic abnormalities contributing to stone formation including calcium-based stones, uric acid, struvite, and cystine stones.
However, it is also important to recognize the inherent limitations associated with the medical management of kidney stones. Differences in stone composition and patient profiles necessitate personalized approaches, and long-term adherence to dietary modifications and medication regimens may present a challenge for some patients. As such, patient education and support from physicians is an important component of medical management of kidney stones. By adopting a holistic approach that includes prevention, conservative interventions, targeted pharmacotherapy, and economically viable supplements, clinicians can alleviate the burden of kidney stone disease, improve patient outcomes, and enhance the overall quality of life for individuals affected by nephrolithiasis. Continued research, collaboration, and patient education are vital to further refining and optimizing pharmacological management techniques for kidney stones in the future.
Conflict of interestsBrian H. Eisner is a consultant for Boston Scientific, Cook, Olympus, Ambu, and an advisor for Sonomotion, Dr. Arnie’s LLC, Vibronix, and Calyxo Medical.






