metricas
covid
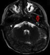
Acta Otorrinolaringológica Española Lipoma of the Middle Ear: An Unusual Presentation in a 6 Year Old Child
Journal Information
Vol. 65. Issue 6.
Pages 381-382 (November - December 2014)
Vol. 65. Issue 6.
Pages 381-382 (November - December 2014)
Case Study
Lipoma of the Middle Ear: An Unusual Presentation in a 6 Year Old Child
Lipoma de oído medio: una presentación inusual en una niña de 6 años
Visits
3497
Badi Aldosaria,b
a Department of ORL & Head and Neck Surgery, King Abdulaziz University Hospital, Medicine College, King Saud University, Riyadh, Saudi Arabia
b Département de ORL, Hôpital de la Timone, Marseille, France
This item has received
Article information
Full Text
Bibliography
Download PDF
Statistics
Figures (3)
Show moreShow less

Article

These are the options to access the full texts of the publication Acta Otorrinolaringológica Española
Subscriber
Subscriber

If you already have your login data, please click here .

If you have forgotten your password you can you can recover it by clicking here and selecting the option “I have forgotten my password”
Subscribe
Subscribe to

Acta Otorrinolaringológica Española

Purchase
Purchase article

Purchasing article the PDF version will be downloaded

Purchase now
Contact
Phone for subscriptions and reporting of errors
From Monday to Friday from 9 a.m. to 6 p.m. (GMT + 1) except for the months of July and August which will be from 9 a.m. to 3 p.m.
Calls from Spain
932 415 960
Calls from outside Spain
+34 932 415 960
E-mail
Article options
Tools