Meningiomas are the most common primary central nervous system tumors, they are originated from arachnoid cells on inner surface of the dura. They occur more often in women between the ages of 40 and 60. Symptoms depend on the part of the brain affected. Diagnosis is done through brain imaging and treatment consists of mainly surgery.
A 54-year-old woman without previous medical history was brought to the emergency department after a tonic-clonic seizure. Apparently, nausea and headache were present for nearly 24 h.
Upon examination, the patient was comatose with a Glasgow of 8/9. Vital signs were 160/93 mmHg, heart rate of 86 bpm, and 95% periferic saturation without oxygen support. Neurological examination was difficult due to comatose state.
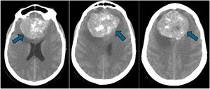
Cerebral CT scan was performed and revealed an occupying space brain lesion of 52.7 mm (Image 1, blue arrow) with edema. The patient was intubated and transferred to neurosurgery. Biopsy was made revealing a grade 1 meningioma. The patient was submitted to surgery and lesion was removed. At discharge, she was well without any neurological deficit.
FundingThere are no funding to declare.
Ethical considerationsIt was not obtained written consent.



