Las anormalidades de las vesículas seminales pueden ser categorizadas en anormalidades de número (agenesia, fusión), canalización (quistes) y maduración (hipoplasia); la importancia de éstas reside en la frecuencia con que se relacionan con anormalidades del desarrollo de otros derivados mesonéfricos. Los tumores primarios de las vesículas seminales son extremadamente raros, y los tumores mesenquimales son encontrados con menor frecuencia que los de origen epitelial.
El objetivo del presente artículo es describir el caso y manejo de un leiomioma de vesícula seminal, en el Hospital General "Dr. Manuel Gea González".
Se presenta hombre de 37 años de edad, con antecedente de diabetes mellitus tipo 2 tratado con insulina. Inició 7 días previos a acudir a valoración, con dolor lumbar irradiado a flanco y fosa ilíaca izquierda, tipo cólico, de moderada intensidad, continúo. Al tacto rectal con próstata adenomatosa grado 1, no sospechosa, se realizó ultrasonido (USG) renal y suprapúbico, donde se encontró imagen sugestiva de lesión paravesical izquierda, hiperecoica, homogénea, de bordes bien definidos, de 2 x 2 cm. La urotomografía (UroTAC) reporta lesión de densidad sólida, entre base de vejiga y vesícula seminal izquierda, de 3 x 2 cm. Ultrasonido transrectal con lesión dependiente de vesícula seminal izquierda. En la cistoscopía diagnóstica se encontró compresión extrínseca parameatal izquierda. Posteriormente, se realizó resección de neoplasia de vesícula seminal izquierda por vía laparoscópica de 3 x 2 cm, con resultado de histopatología de leiomioma de vesícula seminal.
Los datos en el manejo óptimo de las neoplasias de vesícula seminal se encuentran limitados debido a la falta de casos reportados, sin embargo la resección de dichas lesiones es la opción preferida. Existen 75 casos aceptados de tumores primarios de la vesícula seminal, de los cuales 8 son benignos: un schwannoma y 7 leiomiomas.
Seminal vesicle anomalies can be classified as abnormalities of number (agenesis, fusion), canalization (cysts), and maturation (hypoplasia). Their importance lies in the frequency with which they are related to developmental abnormalities of other mesonephric derivatives. Primary tumors of the seminal vesicles are extremely rare and mesenchymal tumors are less frequent than those of epithelial origin.
The aim of this article was to describe a case of leiomyoma of the seminal vesical and its management at the Hospital General "Dr. Manuel Gea González".
A 37-year-old man with a past medical history of insulin-treated type 2 diabetes mellitus had symptom onset 7 days prior to seeking medical attention for moderate, continuous, colicky lumbar pain irradiating to the left flank and iliac fossa. Digital rectal examination found a non-suspicious, grade 1 adenomatous prostate. A kidney and suprapubic ultrasound revealed an image suggestive of a 2 x 2 cm, left paravesical lesion that was hyperechoic, homogeneous, and had well-defined edges. A urotomography (UroCAT) scan identified a dense, solid, 3 x 2 cm lesion between the base of the bladder and the left seminal vesicle. A transrectal ultrasound showed a lesion that was dependent on the left seminal vesicle. Diagnostic cystoscopy found a left parameatal extrinsic compression. A 3 x 2 cm tumor of the left seminal vesicle was then laparoscopically resected and the histopathologic study reported leiomyoma of the seminal vesicle. Ideal management data for seminal vesicle tumors are limited due to the lack of reported cases. Nevertheless, resection is the preferred option for these lesions.
There are 75 accepted cases of primary tumors of the seminal vesicle and 8 of them are benign: one schwannoma and 7 leiomyomas.
Pagina nueva 4
Introducción
Las anormalidades de las vesículas seminales pueden ser categorizadas en anormalidades de número (agenesia, fusión), canalización (quistes) y maduración (hipoplasia); la importancia de éstas reside en la frecuencia con que se relacionan con anormalidades del desarrollo de otros derivados mesonéfricos. Los tumores primarios de las vesículas seminales son extremadamente raros, y los tumores mesenquimales son encontrados con menor frecuencia que los de origen epitelial. En 1910, Emmerich reportó el primer caso de cistomioma de la vesícula seminal, desde entonces casos aislados de tumores benignos han sido reportados. Los datos en el manejo óptimo de las neoplasias de vesícula seminal se encuentran limitados debido a la falta de casos reportados, sin embargo la resección de dichas lesiones es la opción preferida. La exploración abierta puede ser realizada a través de una variedad de abordajes, incluyendo retropúbica, transvesical, perineal, transrectal y trans-sacral, se puede combinar dicho abordaje con remoción de la vesícula seminal completa; asimismo existen reportes de excisión de lesiones por vía laparoscópica1,2.
Los tumores benignos son usualmente asintomáticos, y pueden ser descubiertos de manera incidental durante una autopsia o cirugía.
Las vesículas seminales son estructuras pares, saculadas, que se encuentran entre la vejiga y el recto. El polo superior termina en punto ciego, mientras que el polo inferior forma un conducto recto, que se une con el conducto del lado opuesto formando el conducto eyaculador. La presencia de asimetría entre las vesículas seminales es normal tanto en tamaño y forma, generalmente la glándula derecha es ligeramente más grande en un tercio de los hombres3-5.
Estas se desarrollan en la pubertad y son órganos dependientes de andrógenos. Durante la eyaculación las secreciones del tracto reproductivo masculino se liberan de manera secuencial, la porción final consiste principalmente de líquido de vesícula seminal. El rol fisiológico exacto de las vesículas seminales es desconocido, pero sus secreciones pueden optimizar las condiciones para la motilidad, transporte y supervivencia espermática6-8.
El objetivo del presente artículo es describir el caso y manejo de un leiomioma de vesícula seminal, en el Hospital General "Dr. Manuel Gea González".
Presentación del caso
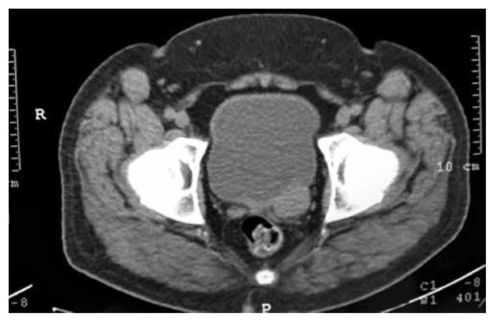
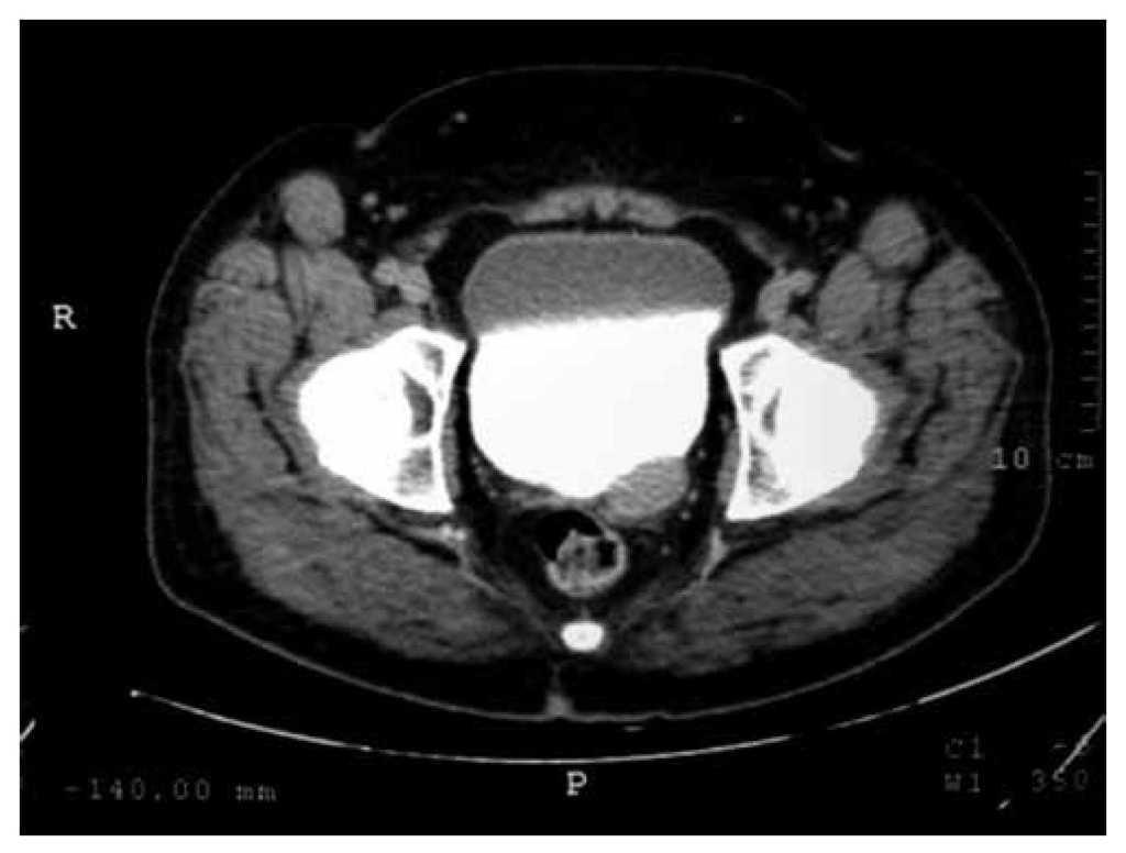
Hombre de 37 años de edad, con antecedente de diabetes mellitus tipo 2, tratado con insulina (20 U de intermedia y 15 U de rápida). El padecimiento actual inició 7 días previos a acudir a valoración, consistente en dolor lumbar irradiado a flanco y fosa ilíaca izquierda, tipo cólico, de moderada intensidad, continúo. Al examen físico, tacto rectal con próstata adenomatosa grado 1, no sospechosa. Se realizó ultrasonido (USG) renal y suprapúbico, donde se encontró imagen sugestiva de lesión paravesical izquierda, hiperecoica, homogénea, de bordes bien definidos, de 2 x 2 cm (fig. 1). La urotomografía (UroTAC) corrobora imagen de lesión, con densidad sólida entre base de vejiga y vesícula seminal izquierda de 3 x 2 cm (figs. 2 y 3). El USG transrectal con lesión dependiente de vesícula seminal izquierda (fig. 1). En la cistoscopía diagnóstica se encontró compresión extrínseca parameatal izquierda. Se llevó a cabo resección de neoplasia de vesícula seminal izquierda por vía laparoscópica de 3 x 2 cm (fig. 4), con resultado de histopatología de leiomioma de vesícula seminal. El paciente se encuentra en seguimiento con buena evolución.
Figura 1 Ultrasonido transrectal. Se identifica una lesión paravesical posterior, en el sitio de la vesícula seminal.
Figura 2 Tomografía computada simple. Es clara la imagen donde se aprecia una lesión en la base lateral izquierda de la vejiga.
Figura 3 Tomografía computada contrastada. Se identifica nuevamente la lesión de la vesícula seminal izquierda.
Figura 4 Pieza quirúrgica.
Discusión
El USG transrectal y abdominopélvico es la herramienta de diagnóstico inicial más útil, para pacientes con dolor pélvico de larga duración y otros hallazgos sospechosos en la historia clínica o la exploración física; subsecuentemente puede realizarse una tomografía computada abdominopélvica para valorar anormalidades renales, y definir la presencia de algún otro proceso patológico en pelvis; se pueden realizar algunos otros estudios de imagen como urografía excretora, resonancia magnética, seminovesiculografía, cuando existe duda en la etiología. La cistoscopía puede identificar un hemitrígono ausente ispilateral, una protrusión intravesical y otras anormalidades anatómicas de la vejiga3. El uso de estudios de imagen como USG, tomografía computada y resonancia magnética han mejorado la habilidad diagnóstica6.
Conclusiones
Existen 75 casos aceptados de tumores primarios de la vesícula seminal, de los cuales 49 son adenocarcinomas, 5 sarcomas y un carcinoma de células escamosas; en contraste de los tumores benignos que son extremadamente raros, pues sólo existen 8 casos reportados: un schwannoma y 7 leiomiomas.
Conflicto de intereses
Los autores declaran no tener conflicto de intereses.
Financiamiento
No recibieron ningún tipo de patrocinio para llevar a cabo este artículo.
* Autor para correspondencia:
Calzada de Tlalpan N° 4800, Colonia Sección XVI,
Delegación Tlalpan, C.P. 14080, México D.F., México.
Teléfono: 4000 3000, ext. 3298.
Correo electrónico: ajcc7@hotmail.com (A. J. Camacho-Castro).





