¿ INTRODUCCIÓN
La Esquistosomiasis, antiguamente llamada Bilhariazis (o Bilharziosis) es una enfermedad parasitaria producida por un gusano platelminto de la clase trematodos, relativamente común en los países en desarrollo, especialmente en África,1 zonas rurales centrales de China y Egipto,2 llamado Schistosoma (o esquistosoma).1 Data de tiempos antiguos ya que huevos de bilharzia han sido encontrados en momias y la hematuria (principal síntoma) ha sido registrada en papiros antiguos de Kahum en Egipto.
En 1851, Theodoro Maximiliam Bilharz descubrió los parásitos en la circulación portal y los asoció como agentes causales de cistitis.1-3 Piraja da Silva la describió por primera vez en 1908.1 Ferguson, en 1911, fue el primero en reportar la alta frecuencia de cáncer de vejiga y su relación etiológica con bilharziasis urinaria.3
Hay cinco especies de parásitos Schistosoma que producen esquistosomiasis en humanos, cada uno con sus manifestaciones clínicas respectivas:4,2
Schistosoma mansoni y Schistosoma intercalatum, causan esquistosomiasis intestinal.
Schistosoma japonicum y Schistosoma mekongi, causan la variedad asiática de la esquistosomiasis intestinal.
Schistosoma haematobium, causa esquistosomiasis urinaria.5 Es más frecuente en África, el Medio Oriente y el Mediterráneo.1
La enfermedad es el resultado de la respuesta granulomatosa del huésped hacia el huevo del Schistosoma, la patofisiología se relaciona con el ciclo de vida del parásito. La forma larvaria es la fase cercaría, en la que el parásito es libre con cola, se encuentra en el agua dulce, es la forma infectante, esta se transforma en el molusco caracol de agua dulce Bulinus, este es el huésped intermediario donde tiene lugar su reproducción asexual y posteriormente liberan al agua las cercarías6 que al entrar en contacto con el humano penetra la piel (bastan diez segundos de contacto con la piel humana, con agua contaminada para que la larva penetre la piel),6 pierde su cola y penetra al torrente circulatorio.
La fase de Schistosomula ocurre en los vasos hepáticos, ahí mudarán al estado adulto y tras la fecundación las hembras alcanzarán, a través del sistema portal, los plexos vesicales.
Gusano adulto: Tiene una longitud de 10 mm a 15 mm y 2 mm de ancho; estos emiten sus huevos en los vasos sanguíneos adyacentes a la vejiga, atravesando la pared de la misma, caen en su luz y se eliminan por la orina. Los gusanos adultos pueden vivir de dos a 18 años, y ellos no causan reacción inflamatoria vascular, tan solo aparece una inmunidad progresiva.7
Huevo: Son los causantes de las primeras manifestaciones, muy pocas veces tomadas en cuenta y de la posterior enfermedad crónica que es la Esquistosomiasis.
El principal daño va a ser la formación de granulomas por el proceso inmunológico contra los huevos y el parásito. Puede haber una esquistosomiasis inactiva que ocurre cuando los gusanos adultos han muerto, y no se presentan huevos viables en tejidos u orina y se encuentra la presencia de granulomas en los que puede haber huevos calcificados en la pared de la vejiga, llamados granuloma Bilharziano.7
Cuando los huevos viables regresan al agua dulce, abren y de ellos sale un embrión llamado miracido, que nada hacia un molusco, el Bulinus, cuyos tegumentos atraviesan para acabar transformándose en las formas larvarias del parásito, infestando el caracol, de este modo se repite el ciclo.
Manifestaciones clínicas: La forma aguda es llamada síndrome o fiebre de Katayama, es raro encontrarla, ya que ocurre de tres a nueve semanas después de la infección, caracterizada por fiebre, linfadenopatía, esplenomegalia, eosinofilia, urticaria, dermatitis en la zona de penetración, dolor de cabeza y malestar general.
La forma crónica por la presencia de los huevos en la pared de la vejiga, uréter u órganos genitales y su reacción inflamatoria granulomatosa acompañante, ocurre a los dos meses pero puede presentarse hasta siete meses después de la infección y se caracteriza por hematuria discontinua, de sangre rojo brillante, que puede acompañarse de disuria, poliaquiuria, también se puede presentar vejiga disminuida de capacidad, con dolor en la parte baja de la espalda, dolor pélvico, urgencia e incontinencia, pudiendo presentar ulceraciones en la vejiga, e inclusive llegar al carcinoma de vejiga (epidermoide).
Diagnóstico: Se establece por estudio del sedimento urinario, en busca de huevecillos; la recolección se debe de realizar entre las 11 y las 14 horas del día, momento en el que al parecer, la expulsión del parásito es máxima;8 se clasifica como infección leve, menor o igual a 50 huevos por 10 mL; y grave, mayor a 50 huevos por 10 mL;5 el recuento de la cantidad de huevos en la muestra de orina permite evaluar la severidad de la infección.
El mismo análisis de orina permite comprobar la presencia de proteinuria o hematuria; la citología urinaria puede revelar la presencia de células tumorales.
Se ha informado de una prueba de ensayo inmunoenzimático (ELISA) en Gimvi, India, que utiliza antígenos derivados de gusanos adultos de S. haematobium y S. mansoni. Se ha señalado que los pacientes que excretan óvulos de schistosomiasis en la orina, suscitan títulos de ELISA positivos.2
Así también, la medición de Proteína Catiónica del Eosinófilo en orina, será más elevada mientras mayor sea la invasión al aparato urinario, ya que puede estar combinada no sólo con lesiones a la vejiga, sino también del tracto urinario superior.2, 9,10
En el Reino Unido, existe una variedad de métodos serológicos para el diagnóstico de la esquistosomiasis. El Hospital de Enfermedades Tropicales en Londres, utiliza una enzima de ensayo inmunoenzimático (ELISA) con crudo Schistosoma mansoni, antígenos solubles de huevo (SEA), que se ha comunicado con una especificidad de 97% y sensibilidad de 96% (S mansoni); y 92% (S haematobium).11
La radiografía simple de abdomen puede mostrar calcificaciones lineales finas más o menos continuas en la pared de la vejiga, una calcificación total de la pared de la vejiga, vejiga en porcelana o una calcificación en el segmento distal del uréter. El ultrasonido ha demostrado ser útil para el diagnóstico de infección del tracto urinario por Schistosomiasis haematobium, datos en el ultrasonido como pared vesical mamelonada, gruesa, pólipos vesicales sésiles o pediculados, o dilatación pielocaliciliar, con cavidades irregulares; desafortunadamente sólo la patología severa puede ser visualizada y las lesiones de la vejiga leves no se pueden detectar por medio de esta técnica.9 La urografía excretora puede localizar estenosis ureterales o puede encontrarse hidronefrosis, como consecuencia de este tipo de parasitosis.
La cistoscopia se realizará en aquellos casos en que el recuento de huevos no es concluyente y permita tomar una muestra para biopsia que además podrá descartar degeneración neoplásica. Definitivamente por la conclusión a que llega da Silva, 12 la cistoscopia es un importante examen para la detección en casos de hematuria y otras afecciones de la vejiga, en la investigación de la enfermedad por S. haematobium, particularmente en los casos en que la evaluación semiológica por métodos no invasivos es incapaz de establecer un diagnóstico.Se deben realizar controles cada seis meses, complementando con biopsia de la vejiga urinaria en los casos en que se observa alteraciones de la mucosa vesical, repetir estudios inmunológicos y de ser necesario administrar nuevo tratamiento y seguimiento con cistoscopia.12
Tratamiento de elección: El prazicuantel, es activo para todas las formas clínicas y estadios de la enfermedad a dosis de 40 mg por kg de peso, en una sola toma.
¿ PRESENTACIÓN DEL CASO
Paciente masculino de 24 años, de raza negra, originario de Nigeria. Estudiante en el Tecnológico, con becado de su país en Cuernavaca, Morelos, México, desde hace tres años. No refiere antecedentes de importancia.
Se presentó a consulta en julio de 2008, por presentar dolor en cuadrante superior izquierdo del abdomen, de tipo cólico, discreto y en ocasiones al respirar profundo, náusea con duración de unos 15 segundos, de aparición una o dos veces a la semana, no había molestias para orinar, pero ocasionalmente al iniciar la micción presentaba muy discreta hematuria, este síntoma con un año de evolución. El ultrasonido renal reportó un cálculo en el cáliz medio del riñón izquierdo de aproximadamente de cinco milímetros.
La nefrotomografía simple resultó muy dudosa a la presencia del cálculo referido en el ultrasonido anterior. El análisis general de orina reportó algunas bacterias, uno a dos eritrocitos por campo y huellas de proteínas. Se le solicitó URO-TAC, que demostró microlitiasis renal derecha del cáliz medio, no obstructivo, de aproximadamente tres milímetros. Además de pólipos vesicales múltiples (Imágenes 1 y 2).
Imagen 1. En el estudio de URO-TAC, a nivel vesical, las flechas señalan dos pequeñas tumoraciones; la de la cúpula vesical mide aproximadamente 8.6 mm.
Imagen 2. En esta proyección, y señalado por las flechas, se evidencian tres tumoraciones en la vejiga, que demuestran los defectos de llenado.
La cistoscopia posterior, demostró tumoraciones de las cuales se tomaron biopsias. Estas se encontraban en la línea media, desde la cúpula hacia el trígono, a uno o dos centímetros de distancia entre ellas y de color amarillento. Al corte se observó la salida del cuerpo de un parásito. (Imágenes 3, 4 y 5).
Imagen 3. Una de las tumoraciones vesicales durante la cistoscopia.
Imagen 4. Durante la toma de la biopsia, hubo la salida de un parásito. En el recuadro, una imagen obtenida de la Internet5 de una hembra en canal ginecóforo del mac
Imagen 5. Toma de tejido de una de las tumoraciones y en el borde se ve la salida del cuerpo de uno de los parásitos.
Al interrogatorio intencionado, refirió que se bañaba en un río cercano a su casa. Los primeros síntomas aparecieron a los ocho años, manifestado por dermatitis en el tórax y en la espalda, con prurito y pequeñas ulceraciones.
Se sospechó de esquistosomiasis por lo que se decidió darle tratamiento con prazicuantel, una sola toma (40 mg por Kg). El resultado histopatológico de la biopsia confirmó el diagnóstico de cistitis aguda y crónica hemorrágica con metaplasia epidermoide, por lesión consecutiva a S. haematobium (Imagen 6).
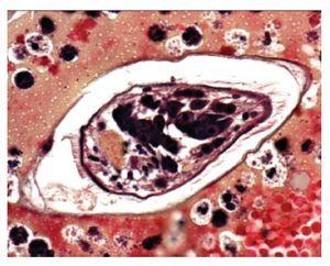
Imagen 6.Huevo de Schistosoma haematobium.
Un mes y medio posterior al tratamiento, se realizó nueva cistoscopia y exámenes de laboratorio para detección de huevecillos o parásitos en la orina. La citología en orina fue negativa para células malignas y no hubo evidencia de parásitos.
Como efectos secundarios del tratamiento hubo cefalea intensa y un episodio de lipotimia. En la cistoscopia se observó la mucosa pálida en algunos sitios, con zonas enrojecidas, con granulomas pequeños sin tumoraciones. Se tomó biopsia de la misma y el estudio histopatológico reportó: tres fragmentos fusiformes de cinco a siete milímetros, ahulados, de color café claro, ligeramente reblandecidos. Al microscopio se observó proceso inflamatorio crónico con formación de linfocitos y células plasmáticas, con histiocitos de citoplasma intermedio. Se identificó el urotelio sin anomalías de maduración. No se identificaron parásitos. El diagnóstico fue: cistitis sub-aguda y crónica, no se observaron elementos neoplásicos malignos.
Dos estudios más en marzo y octubre de 2009, fueron normales ya no hubo hematuria.
¿ DISCUSIÓN
Más de 200 millones de personas en el mundo, en regiones tropicales padecen de esquistosomiasis.11 Su presentación urinaria es causada por el Schistosoma haematobium, endémica en 54 ciudades de África. Los estudios en niños en edad escolar, muestran una alta prevalencia de infecciones por S. haematobium. Los humanos pueden infectarse al entrar en contacto con agua contaminada, los gusanos se instalan en las venas del plexo vesical y pélvico, en donde las hembras depositan de 20 a 290 huevecillos al día. El tracto urinario bajo, los uréteres y las vesículas seminales son los órganos más afectados. Las lesiones se caracterizan por granulomas causados por la respuesta de los tejidos frente a los huevecillos.13
El Schistosoma haematobium es la causa más común de hematuria en ciudades endémicas.5 En la mujer, útero, cérvix y vagina son los más afectados; los síntomas principales son: hematuria, disuria, dolor lumbar, datos de infección bacteriana, dismenorrea, leucorrea, dolor abdominal en hipogastrio y sangrado inter-menstrual.13
La identificación de casos que ameritan tratamiento por la infección de S. haematobium, generalmente se basa en la detección microscópica de los huevos en orina. En poblaciones endémicas, y en especial en niños. En los datos de 45 estudios que incluyeron 74 escuelas y 28 comunidades, evaluaron la prevalencia de micro-hematuria detectada, encontrándose que la prevalencia de ésta era discretamente inferior en las comunidades que en las escuelas (16% contra 24%) y se enfocó a la evaluación de cuatro técnicas para detectar la patología o morbilidad de S. haematobium: patología vesical por ultrasonido, microhematuria en tiras reactivas, macro-hematuria por interrogatorio o examen macroscópico de orina; dando como conclusiones que el ultrasonido detecta más casos en los niños que en los adultos, con el mismo grado de patología. Fue superior la tira reactiva al interrogatorio.14
Existe una falta de conocimiento e información en la población sobre el padecimiento ya que sólo 0.78% tenían conocimiento de la enfermedad y 16 de 133 niños (en Mina, Nigeria), manifestaron que presentaron sangre en la orina, por lo que fueron al médico.8 Se ha documentado que los niños son infectados con mayor frecuencia que los adultos.5
En un estudio retrospectivo de 37 años (1970- 2007), sobre el análisis y tendencia en el tiempo de 9843 pacientes con cáncer de vejiga originada por Bilhariazis en la Universidad del Cairo, en Egipto, se informó que afectaba a pacientes principalmente del sexo masculino, con promedio de edad de 46.7 años; el tipo histológico más común es el carcinoma de células escamosas. Los casos con estadio avanzado, invaden la capa muscular por lo que la principal línea de tratamiento es la cistectomía radical.3
En este estudio notaron que los pacientes tratados en los años de 2003 a 2007 mostraron una disminución significativa en la frecuencia del cáncer de vejiga, asociado a una disminución en la frecuencia de huevecillos de este parásito, con disminución del carcinoma de células escamosas e incremento del carcinoma de células transicionales, con una edad promedio de 60.5 años, disminuyendo también la prevalencia en el sexo masculino de 5.4 a 3.3 %.3
En nuestro caso, la cistoscopía fue muy importante, ya que se ha demostrado ésta enfermedad en pacientes que no viven en poblaciones endémicas, pero que han estado en éstas y que han padecido la enfermedad; los resultados aun después de un segundo tratamiento hasta en 33% todavía presentaban granulomas y huevos viables, a pesar de exámenes de orina negativos.3
Además existe la posibilidad de fracaso terapéutico con prazicuantel, lo que hace necesaria la investigación de nuevas alternativas terapéuticas.6 Es necesario insistir en realizar cistoscopias de control cada seis meses a un año; situación que aún queda pendiente en nuestro caso, a pesar de sentirse asintomático a la fecha.
Correspondencia: Dr. Víctor Alfonso Francolugo Vélez.
Pericón esquina Angélica 5º piso-502. Colonia Miraval. Cuernavaca, Mor.
Teléfono y Fax: (777) 314 0555.
Correo electrónico:urovafv@netfm.com.mx







