La cirugía multinivel (CMN) es un real aporte en el manejo de pacientes con alteraciones neurológicas, especialmente en la parálisis cerebral donde, por el aumento del tono muscular durante el crecimiento, se producen deformaciones osteoarticulares, además de retracciones musculares que deterioran la marcha del paciente. Estas deformaciones se pueden corregir quirúrgicamente con la CMN basándose en los principios biomecánicos desarrollados a través del análisis tridimensional de la marcha. Esta cirugía logra recuperar los mecanismos antigravitatorios deteriorados de la marcha de pacientes con parálisis cerebral, permitiendo una marcha más funcional y con menos costo energético, lo que se ha corroborado con múltiples publicaciones internacionales que demuestran los beneficios de la cirugía y la duración en el tiempo de sus resultados. En el presente artículo se dan a conocer las bases de esta cirugía, haciendo énfasis en algunos procedimientos diagnósticos y terapéuticos.
Single event multilevel surgery (SEMLS) is a real contribution in the management of patients with neurological disorders, especially on cerebral palsy where, by increased muscle tone, during growth, occurs muscle retractions and osteoarticular deformations that impair the patient’s gait. These deformations can be corrected surgically with SEMLS based on biomechanical principles developed through the three-dimensional gait analysis. This surgery brings back the impaired gait antigravity mechanisms of patients with cerebral palsy, allowing more functional and less energy costs, which has been corroborated by multiple international publications that demonstrate the benefits of the surgery and duration in time of the outcomes. In this article we present the basis of this surgery, emphasizing some diagnostic and therapeutic procedures.
El desarrollo de la cirugía multinivel ha sido progresivo en el mundo, confirmando su real aporte en el manejo de pacientes con alteraciones neurológicas (23,24).
En esta revisión se definirá que se entiende por cirugía multinivel, cuáles son sus fundamentos y por qué es importante utilizar este concepto para el tratamiento adecuado de pacientes que presentan enfermedades neuromusculares con tono muscular aumentado, especialmente en la parálisis cerebral (PC). Es necesario describir brevemente algunos conceptos relacionados con la PC y su compromiso motor, la biomecánica de la marcha humana y la unidad funcional de las extremidades inferiores.
Parálisis cerebralLa PC tiene una incidencia de 2 a 2,5 por 1000 nacidos vivos (4). Es una lesión estática o no evolutiva del sistema nervioso central que se manifiesta en forma primaria con pérdida del control motor selectivo, dependencia en patrones de reflejos primitivos para la deambulación, tono muscular anormal habitualmente aumentado, desequilibrio relativo entre agonistas y antagonistas, y reacciones de equilibrio deficientes (1). El compromiso motor en la PC puede tener una distribución según como afecte sus extremidades. Puede ser una hemiparesia si compromete solo un hemicuerpo o tetraparesia si compromete las cuatro extremidades, como por ejemplo la diplegia espástica, que presenta mayor compromiso de las extremidades inferiores y que es la manifestación más frecuente de la parálisis cerebral (4). Si bien las alteraciones de la hemiparesia espástica también tienen indicación de CMN, este artículo está referido principalmente a la CMN que se realiza en la diplegia espástica.
En forma secundaria, la PC se manifiesta con alteraciones osteo-musculares que aumentan en el tiempo debido al menor crecimiento del músculo espástico en comparación con el hueso vecino. Esto produce, en forma progresiva, contractura, retracción muscular y rigidez.
La rigidez inicialmente puede ser reductible, cuando no hay compromiso articular, pero con el tiempo se va estructurando al desarrollar retracciones musculares, subluxaciones o luxaciones articulares (2) (Figura 1). El proceso es progresivo durante el crecimiento del paciente. En los pacientes con diplegia moderada a severa, se observa inicialmente una marcha y postura con pies en equino que, por el crecimiento rápido y aumento progresivo de peso en el período de la adolescencia, se va deteriorando (Figura 2). Este cuadro clínico se ha llamado “Enfermedad de las palancas” donde los huesos al crecer deformados, aumentan su distorsión deteriorando progresivamente las palancas de las extremidades inferiores, perdiendo fuerza, lo que genera literalmente un “derrumbe” de la marcha del paciente hasta presentar una triple flexión (flexión de caderas, rodillas y tobillo-pié) (6), lo que se ha llamado “marcha agazapada” o “Crouch” (Figura 3), la cual produce mucho más gasto energético que la marcha normal (8).
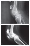
Otro factor que participa en el desarrollo de la marcha agazapada es la co-contracción entre músculos agonistas y antagonistas (1) que presentan los pacientes con parálisis cerebral. Éstos al intentar extender sus rodillas para mantenerse erguidos, contraen los músculos extensores de rodilla y simultáneamente en forma involuntaria, contraen también los músculos flexores de esa articulación. Este sobre esfuerzo tiene como resultado una elongación anormal del tendón rotuliano, lo que produce una patela alta. En ocasiones se pueden manifestar fracturas por estrés de las patelas (Figura 4), lo que finalmente aumenta aún más la flexión irreductible de sus rodillas, ya que estas fracturas son sub-diagnosticadas y habitualmente no se tratan. La manifestación más grave de este proceso de agazapamiento puede incluso producir la pérdida de la marcha en pacientes mayores (5) y constituye la historia natural de la enfermedad en muchos casos severos (6).
Falla extensión de rodilla
a) En la figura superior se observa la rodilla de un paciente con sobre elongación del tendón rotuliano que genera una patela alta severa con depresión en el fémur distal.
b) En la figura inferior se observa una fractura por estrés de la patela secundaria a co-contracción muscular entre agonistas y antagonistas en una rodilla de un paciente con parálisis cerebral.
Para lograr entender cómo se logra revertir este proceso, es necesario comprender las alteraciones de las fuerzas involucradas en la marcha normal y qué es lo que sucede en la marcha patológica que genera el deterioro.
El mecanismo antigravitatorio que nos permite primero, separarnos del suelo y luego, desplazarnos horizontalmente por la superficie terrestre, se llama marcha humana y se produce por medio del Sistema músculo esquelético (SME). Este se puede comparar a un sistema de palancas múltiples donde las articulaciones actúan como punto de apoyo (fulcro), los huesos son los brazos de palanca y los músculos proporcionan la fuerza necesaria para el movimiento, todo organizado por un complejo “coordinador” que es el sistema nervioso central. Para que se pueda generar la fuerza antigravitatoria necesaria, se requiere que todos los componentes del SME se encuentren en una condición estructural y funcional óptima. Cuando en un paciente con parálisis cerebral las articulaciones están desalineadas, los huesos malrotados o los músculos están retraídos, debilitados, o no traccionan en la dirección deseada, el sistema de palancas no puede funcionar en forma eficiente, afectando sus mecanismos antigravitatorios (7).
Este enfoque, que incluye la relación de fuerzas en oposición, como son la gravedad y el sistema de palancas músculo-esqueléticas del cuerpo humano, proporciona una mejor comprensión de la mayoría de los problemas ortopédicos de los pacientes con PC y es aquí donde la CMN ó cirugía funcional tienen su indicación, ya que podemos corregir las deformaciones óseas, estabilizar las articulaciones afectadas y disminuir las retracciones de los músculos, siempre en un contexto conservador, preservando la mayor fuerza posible al cuidar los músculos, para potenciar los mecanismos antigravitatorios y así revertir el “derrumbe”, mejorando la función del sistema de palancas del SME, recuperando así una marcha más cercana a la normal (2). No se elimina el problema de base que es su enfermedad neurológica, pero recuperamos la estructura “osteo-músculo-articular” más apropiada, lo que ayuda a una mejor función.
Unidad funcional de la extremidad inferiorOtro concepto importante en este contexto, se refiere a la relación que existe entre los distintos segmentos de las extremidades inferiores. Así la cadera, la rodilla y el tobillo-pié son una unidad funcional, ya que éstas articulaciones están directamente relacionadas unas con otras. Lo que afecta un segmento, comprometerá otro; por ejemplo, si tenemos un pié equino plano valgo severo, este aplomo inadecuado repercutirá en la rodilla y en la cadera. A su vez, las deformaciones proximales a nivel de caderas y rodillas, producirán una posición espacial inapropiada del complejo tobillo-pié, lo que también afectará la marcha (Figura 5).
Deformación posicional de pies en pc
En la figura se observa la posición inapropiada del pie en suelo por un mal alineamiento proximal. Produce una sobrecarga del antepie especialmente del Hallux y del primer metatarsiano. Esta sobrecarga inapropiada solo puede ser tolerada durante la juventud. Inevitablemente generará dolor progresivo posterior.
La CMN se ha nombrado de diferentes maneras, entre ellas como cirugía “funcional” o también cirugía “de un solo evento”. Básicamente se refiere al procedimiento que reúne varias cirugías ortopédicas en un solo tiempo quirúrgico y que considera intervenir dos o más niveles de las extremidades inferiores, vale decir, cirugía que afecte por ejemplo la rodilla y el tobillo simultáneamente. Se diferencia con otras técnicas que también se han intentado en varios niveles, en que la cirugía multinivel o funcional se basa en los principios biomecánicos que se han obtenido a través del análisis tridimensional de la marcha. Su objetivo principal es mejorar la marcha del paciente con una enfermedad neuromotora (31), luego mejorar su rendimiento al disminuir el gasto energético (32) y posteriormente, aumentar su independencia y mejorar la calidad de vida (33-35).
¿En quiénes esta indicada este tipo de cirugía?La CMN esté indicada en todo paciente que presente una enfermedad neuromotora como la parálisis cerebral, que tenga capacidad de marcha y que presente deformaciones osteoarticulares o retracciones musculares en sus extremidades inferiores que le impidan desarrollar una marcha armónica ó funcional (3). Existen criterios de selección dependiendo, entre otros, del grado de compromiso del paciente y si existe o no retardo mental ya que es importante que el paciente colabore en el tratamiento de rehabilitación postoperatorio (20).
Procedimientos quirúrgicosLos procedimientos quirúrgicos que se encuentran incluidos dentro de la CMN son múltiples (Tabla 1). No es objetivo de este artículo el describir cada uno ellos, pero es necesario aclarar que las técnicas quirúrgicas enumeradas, son herramientas del cirujano para lograr que el paciente recupere los mecanismos antigravitatorios perdidos o deteriorados. Cada una de estas técnicas, por separado, no permitirán mejorar al paciente; solo el conjunto de ellas, utilizadas en forma coherente, lo hará.
Procedimientos quirurgicos incluidos en la cirugía multinivel de un solo evento
| PROCEDIMIENTOS ÓSEOS: | PROCEDIMIENTOS DE PARTES BLANDAS: |
|---|---|
| • Osteotomía desrotadora de fémur proximal | • Psoas, sobre la arcada inguinal |
| • Osteotomía extensora de fémur distal | • Elongación de aductores de caderas |
| • Osteotomía desrotadora de tibia distal | • Alargamiento de isquiotibiales mediales |
| • Descenso de patela | • Transposición del recto anterior a isquiotibiales |
| • Alargamiento del calcáneo | • Transferencia de semitendinoso a aductor |
| • Artrodesis subtalar | • Avance del tendón patelar |
| • Artrodesis talo navicular | • Alargamiento del triceps sural (Vulpius, Backer, Baumann, Strayer) |
| • Alargamiento del peroneo brevis | |
| • Alargamiento, Transferencia o Hemitransferencia del Tibial posterior o anterior |
Los pacientes con Parálisis Cerebral tienen poca capacidad de compensación remanente si los comparamos con pacientes sin compromiso motor. Por ello, los errores quirúrgicos se manifiestan con mayor deterioro posterior a la cirugía. De ahí que la precisión y adecuada “dosificación” de la cirugía es muy importante porque puede significar la diferencia entre el éxito o fracaso de un evento quirúrgico propiamente tal. Para el óptimo resultado, es importante cuidar que la corrección sea suficiente. Ni sobre corregir, ni sub corregir una retracción muscular o deformación ósea, ya que con una corrección inapropiada el paciente continuará con su proceso de deterioro (12) ó perderá tiempo de recuperación. Es importante diferenciar la retracción muscular de la espasticidad, puesto que la retracción muscular se puede corregir quirúrgicamente, en cambio la espasticidad se debe tratar medicamente con infiltración de toxina botulínica u otro tipo de antiespásticos. Un método que ayuda para este propósito es el examen bajo anestesia, pero también es muy importante disminuir o controlar la espasticidad antes de la cirugía puesto que el grado de ésta última incide en la envergadura de la corrección que se hará. De ahí que el trabajo en conjunto multidisciplinario se hace fundamental, necesitando la colaboración en este campo de otros especialistas en el control del tono muscular (20).
¿Por qué es necesario hacer tantas cirugías en un solo tiempo quirúrgico?En promedio se realizan aproximadamente seis procedimientos quirúrgicos en cada cirugía (32) (ver Tabla 1).
El hecho que se intervengan varias de las deformaciones y retracciones en un solo tiempo quirúrgico, permite una adaptación más rápida a las correcciones logradas, ya que se potencian unas a otras. También permite un periodo de rehabilitación único y un menor costo personal y familiar evitando el “sindrome del cumpleaños” (9). Esto último se producía anteriormente porque los pacientes que tenían indicación quirúrgica convencional durante su infancia, pasaban año tras año con un yeso.
¿Cuando se debe realizar?El momento más adecuado para realizar esta cirugia es previo al crecimiento rápido puberal vale decir de los 10 a 12 años en la mujer y de los 11 a 13 años en el hombre, aunque el promedio de edad reportado en publicaciones internacionales fue de 10 años (3). El objetivo es realizar la menor cantidad de cirugías posibles durante el desarrollo del menor y si se realiza la primera CMN muy precozmente, es probable que requiera otras más posteriormente.
Consideraciones quirúrgicasCorrección del pie equinoLos pacientes con PC tienden a desarrollar equino durante su crecimiento y generalmente es en base a la retracción de los músculos gastrocnemios. Estos tienden a retraerse más porque son músculos biarticulares (se insertan sobre la rodilla y bajo el tobillo a través del tendón de Aquiles) a diferencia del músculo Soleo que es mono articular (se inserta en la tibia y bajo el tobillo). El músculo Soleo frena el avance de la tibia durante la marcha, lo que es un mecanismo antigravitatorio fundamental y debido a esta delicada función, es muy importante diferenciar el alargamiento de los gastrocnemios por separado del músculo Soleo a pesar de pertenecer al mismo grupo muscular (tríceps sural), evitando, en lo posible, el alargamiento a nivel del tendón de Aquiles donde se alargan los tres músculos. Es muy posible que el músculo Soleo no requiera elongarse, solo los gastrocnemios; por ello, para proteger el músculo Soleo, se prefieren técnicas de alargamiento muscular a nivel de la inserción de los gastrocnemios en la pantorrilla, como por ejemplo la técnica de Strayer (18,19).
Equino plano valgoLa corrección del pié equino plano valgo neurológico se puede lograr con éxito en la mayoría de los casos con la Osteotomía de Evans (15,16). Este procedimiento consiste en el alargamiento del calcáneo a través de una osteotomía lateral interponiendo un injerto óseo para lograr alinear el antepié con el retropié, evitando artrodesar articulaciones. Sin embargo esta cirugía tiende a no ser tan efectiva en casos más severos (22) (Figura 6) donde puede ser necesario una artrodesis para estabilizar el mediopié. La fijación que recomendamos es la artrodesis talonavicular (17) ya que corrige la alineación e inestabilidad de esta enartrosis. Son frecuentes los problemas en la consolidación de la artrodesis talonavicular por lo que puede ser necesario la utilización de dos o tres tornillos para estabilizarla.
Rotación de extremidades inferioresEl procedimiento de elección para la marcha en rotación interna secundaria a una anteversión femoral aumentada, es la Osteotomía femoral proximal intertrocantérea desrotadora(10). La anteversión femoral frecuentemente se encuentra aumentada en pacientes con PC y se ha reportado que los resultados de su corrección, perduran en el tiempo con seguimiento a más de 5 años de evolución, especialmente si la cirugía es realizada después del crecimiento rápido (10,11).
Frente a la rotación tibial externa, la técnica de elección es la Osteotomía desrotadora de la tibia distal, técnica que logra corregir el ángulo de progresión del pié en la marcha, mejorando el brazo de palanca efectivo para la extensión de la rodilla (8) (Figura 7).
Flexión de rodillaPara corregir una flexión de rodilla irreductible, lo que se recomienda hoy en dia es una Osteotomía extensora distal a nivel del fémur, siempre que las caderas se encuentren estables. Esta cirugía debe ir acompañada de un descenso de patela, ya que al realizar la extensión distal del fémur, la estructura del aparato extensor de la rodilla, queda sin la tensión suficiente. Por ello es necesario retensarlo para ubicar la patela en una posición más baja y así lograr una función adecuada (13, 21).
Programa de rehabilitaciónLa CMN es de gran envergadura e inevitablemente producirá, debido al trauma quirúrgico y al reposo, un periodo de atrofia muscular y pérdida de capacidades motoras que hay que recuperar rápidamente. Es necesario supervisar de cerca la rehabilitación peri cirugía, la que debe ser muy precoz. El programa de rehabilitación pre y post cirugía es fundamental y debe incluir, además de las evaluaciones funcionales, la evaluación psicosocial para determinar la capacidad del paciente de tolerar un procedimiento quirúrgico de esta magnitud (20).
Si bien es posible que un paciente mal preparado física y psicológicamente, en un ambiente psicosocial inapropiado, pueda perder capacidades de marcha posterior a una cirugía Multinivel, es poco probable que esto ocurra en un contexto de trabajo multidisciplinario, ya que el riesgo se minimiza al hacer una adecuada elección y preparación del paciente. El programa de rehabilitación es tan importante como la cirugía misma y debe ser supervisado de cerca (20). Todos los profesionales que componen el equipo de rehabilitación trabajando en coordinación, son fundamentales para obtener un buen resultado final.
Objetivación de los resultadosPara ayudar a la objetivación de los aportes de la cirugía multinivel en pacientes con PC, se han desarrollado diversos métodos de evaluación funcional.
El avance más importante en este campo, es el desarrollo y aplicación clínica, del análisis tridimensional de la marcha. Este incluye un examen físico estandarizado, la grabación de vídeo en dos dimensiones de la marcha, la kinemática tridimensional para medir el rango de las articulaciones involucradas durante todo el ciclo de la marcha, la kinética para evaluar las fuerzas o momentum presentes, electromiografía dinámica para determinar la correcta o incorrecta activación de los músculos, además del estudio de las presiones plantares llamada pedobarografía, incluyendo la medición del costo energético. Este estudio ha contribuido en gran medida a la comprensión de los patrones de la marcha patológica y ha proporcionado una herramienta objetiva de evaluación pre y post corrección de distintos procedimientos. Ésto incluye no solo de la cirugía ortopédica sino también de otras intervenciones como infiltración de toxina botulínica, risotomía dorsal selectiva, kinesiterapia, entre otros (7,10,26,29). En paralelo a lo anterior, se han desarrollado distintos índices de evaluación, validados internacionalmente, donde entre otros, destacan la clasificación motora funcional (GMFCS) (28), la escala de movilidad funcional (FMS) (27), y el Gillette deviation index (GDI) (26). Esto junto a mediciones de calidad de vida FAQ y el PODCI (35), han permitido confirmar los beneficios del tratamiento de la cirugía multinivel, teniendo el mejor resultado funcional después de 2 a 3 años de evolución postcirugía (11, 23, 25) (Figura 8).
DiscusiónLa cirugía multinivel ha significado un cambio importante en el manejo de los pacientes con Parálisis Cerebral, ya que genera un incremento funcional significativo en la marcha de los pacientes operados que perdura en el tiempo, lo que se ha confirmado a través de múltiples publicaciones internacionales (11,23-25). Este tratamiento constituye un nuevo standard en el manejo de esta patología, pero es necesario que los profesionales que la ejecuten tengan la experiencia y/o capacitación necesaria (23) para disminuir la posibilidad de malos resultados, ya que son muchos los factores que influyen para obtener un resultado óptimo. Así por ejemplo, es muy importante una adecuada evaluación previo a la cirugía que incluya un análisis tridimensional de la marcha junto con la colaboracion de otros profesionales como asistente sociales, psicólogos y/o psiquiatras que pueden ayudar a identificar anticipadamente los pacientes que podrían no tolerar el procedimiento quirurgico por inmadurez o por poca tolerancia a la frustración.
El desafío futuro es difundir este manejo terapéutico a nivel nacional, no solo a los médicos traumatólogos, sino que también a todos los integrantes del equipo de rehabilitación, de tal forma que se logre trabajar en equipo, corrigiendo en forma coordinada las deformidades secundarias de la espasticidad, evitando utilizar técnicas quirúrgicas que deterioran la función, revirtiendo de esta forma el curso progresivo de la enfermedad.
El autor declara no tener conflictos de interés, en relación a este artículo.
