Introducción e historia
Las complejidades anatómicas de los conductos radiculares han sido ampliamente destacadas en la literatura. Una raíz palatina doble es una anomalía rara en clínica; Peikoff1 reseñó una incidencia de 1,4% de 4 raíces separadas y 4 conductos separados incluyendo dos raíces palatinas en 520 segundos molares superiores. Este artículo presenta un caso en el que el paciente presentaba un segundo molar superior derecho con 4 raíces y dos conductos vestibulares y dos palatinos (figs. 1 y 2), y un segundo molar superior izquierdo con tres conductos radiculares separados (fig. 3). La anatomía interna de los conductos radiculares de los segundos molares superiores derecho e izquierdo era asimétrica, a pesar de que eran idénticos como normalmente ocurre.
Figura 1. Cámara pulpar en la que se observan los 4 orificios de entrada de los conductos radiculares del segundo molar superior derecho. (MB) vestibulomesial; (DB) vestibulodistal; (P1) palatino principal; (P2) palatino accesorio.
Figura 2. Radiografía inicial preoperatoria del segundo molar superior derecho.
Figura 3. Cámara pulpar en la que se observan los tres orificios de entrada de los conductos radiculares en el segundo molar superior izquierdo. (MB) vestibulomesial; (DB) vestibulodistal; (P) palatino.
Una raíz palatina doble no es fácil de detectar en clínica, ya que en la radiografía el conducto adicional siempre se superpone al otro. Ulusoy y Görgül2 recomiendan seriamente obtener radiografías desde diferentes ángulos para ayudar a identificar a los segundos molares superiores con 2 raíces palatinas. La cavidad de acceso debe tener forma cuadrada y no triangular. Una cavidad de acceso grande ayuda a localizar los dos orificios palatinos. Tanto la forma como el tamaño de la cavidad de acceso son de gran importancia, sobretodo para encontrar raíces palatinas divergentes.
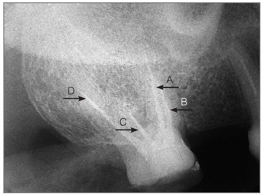
La radiografía postoperatoria del segundo molar superior derecho mostró que el diente presentaba dos raíces palatinas muy divergentes, cada una de ellas con su conducto radicular y foramen bien definidos a nivel apical (figs. 4 y 5). En base a ello se clasificó como de tipo I, de acuerdo con Christie et al3.
Figura 4a. Ajuste de las 4 puntas de gutapercha. (A) vestibulomesial; (B) palatino accesorio; (C) vestibulodistal; (D) palatino principal.
Figura 4b. Obturación de los 4 conductos radiculares con gutapercha. (A) vestibulomesial; (B) palatino accesorio; (C) vestibulodistal; (D) palatino principal.
Figura 5. Radiografía postoperatoria del segundo molar superior izquierdo. (A) vestibulomesial; (B) palatino; (C) vestibulodistal.
Correspondencia: Lu Qun.
Changle West Road. Xi'an 710032, China.
Correo electrónico: luqun22@hotmail.com







