INTRODUCCIÓN
Un reciente editorial1 describe que, desde que llegó por primera vez un aparato de ultrasonidos a una unidad obstétrica, la ultrasonografía se ha apoderado gradualmente de nuestra especialidad, y a partir de ahí empezamos a virar desde el ultrasonido obstétrico a la obstetricia ultrasonográfica2, y también, en gran parte, hacia la ginecología ultrasonográfica.
Hace algunos años la llegada de la tecnología 3D sugería que nos encontrábamos en los albores de una nueva y asombrosa modalidad diagnóstica3.
Hoy, con sus diversas aplicaciones y la introducción de la mal llamada 4D (y sus variadas formas de visualización), no sólo se ha magnificado el potencial diagnóstico, sino que hemos alcanzado cotas increíbles en tan sólo un par de años.
Ésta es una somera revisión de las posibilidades disponibles actualmente, que creemos de interés para los obstetras y ginecólogos.
3D/4D. FUNDAMENTOS Y TÉCNICAS ACTUALES
La base de estas técnicas, radica en la adquisición estandarizada de volúmenes en un sistema ultrasonográfico capaz de procesar imágenes en vóxeles.
Emplea procesos de segmentación para aislar estos vóxeles y así mostrar estructuras anatómicas específicas4 y en movimiento.
La adquisición del volumen se puede realizar de diversas formas:
-- Volumen adquirido 3D de forma estática.
-- Volumen 3D en movimiento o 4D (adquirido en tiempo real).
-- STIC: volumen 4D usando el software de correlación de imágenes espacio-temporales. Permite capturar el ciclo completo del latido del corazón del feto en tiempo real y guardar el volumen para el análisis posterior correlativo con el electrocardiograma (fig. 1A).
Figura 1.A) Reconstrucción 3D-4D de los arcos aórtico y ductal. STIC modo inverso. B) imagen B-Flow del arco aórtico. (Cedido gentilmente por General Electric.)
Una vez identificada la región de interés que se quiere investigar (RDI), ésta puede mostrarse mediante una serie de modos de representación5 (tabla 1), y posteriormente analizarse empleando una amplia gama de herramientas, que pueden utilizarse igualmente de forma combinada6 (fig. 2).
Figura 2.Arriba e izquierda: imagen en modo superficie comparativa con 2D. Puede verse en el interior y el exterior de un tórax fetal con derrame pleural. Arriba y derecha: imagen con mínima transparencia para observar estructuras orgánicas. Abajo e izquierda: con el sistema rayos X y una transparencia máxima se aprecian los huesos del brazo y el tórax fetales. Este sistema es ideal para el estudio de malformaciones óseas y de columna. Derecha: sistema body glass de un folículo.
Herramientas de análisis en la región de interés
Una vez almacenada la imagen, ésta puede tratarse de diversas formas:
1. Translación. Moverse a través de vistas en 2D de un volumen.
2. Rotación. Rotar los planos para mejorar la orientación.
3. Modo multiplanar. Combina las 2 anteriores mostrando cada estructura anatómica en 3 planos ortogonales: visión frontal, sagital y coronal. Ello permite una adecuada localización de la RDI (fig. 3).
Figura 3.A) Imagen multiplanar y reconstrucción en modo inverso de un ovario en un ciclo de estimulación, que muestra nítidamente los folículos desarrollados. Derecha) Imagen ampliada que muestra en detalle los folículos obtenidos y facilita su recuento y medición. B) Sistema VOCALTM de un quiste tabicado de ovario (izquierda) y del endometrio (derecha). Obsérvese el potencial diagnóstico que posee este modo de trabajo al mostrar tan claramente la diferencia entre el endometrio (más denso) y el miometrio (más claro), por ejemplo en el adenocarcinoma. C) Arriba e izquierda, ovario con buena reserva, grandes y voluminosos folículos; arriba y derecha, muy buena reserva en un ovario poliquístico. Obsérvese la uniformidad de todos los folículos y su situación periférica en «rueda de carro»; abajo, mala reserva, pocos folículos y de tamaño entre 5 y 7 mm. El test del clomifeno era de 45 y el estradiol el tercer día de 185 p/ml.
4. Punto de correlación. Aparece un punto en imagen (en color) que permite correlacionar en los 3 planos ortogonales, y en la imagen 3D la situación exacta del objeto estudiado.
5. Dirección de representación. Este modo permite desplazar en cortes ecográficos los 3 planos espaciales en todas las direcciones, tanto conjunta como aisladamente. En realidad, es un algoritmo de representación que delimita con exactitud el área estudiada.
6. Algoritmos de representación. Permite combinar, por ejemplo, una imagen 2D con una 3D o con Doppler, o sólo áreas vasculares, todo en la misma imagen. Por tanto, mezcla 2 modos escogidos. Adicionalmente, hay la posibilidad de afinar el volumen de datos y extraer más información.
7. Umbral (threshold). Aumento o disminución de la amplitud de onda sónica de forma que pueden eliminarse ecos no deseados. Mejora enormemente la calidad de la imagen.
8. Corte mágico (Magic Cut, tijera o escalpelo electrónico). Permite realizar cortes tridimensionales dentro de la imagen adquirida, eliminando el área no deseada y dejando sólo la estructura que desea mostrarse (figs. 4A y 5A).
Figura 4.A) Útero didelfo. Presentación multiplanar (izquierda) y la imagen de la cavidad endometrial extraída del útero (derecha y corte mágico). Nótese que el tabique es largo y se extiende hacia abajo separando 2 cuellos independientes. El contorno exterior del fondo uterino está mostrado en el plano coronal de forma lisa, que indica un tabique o separación, no un septo y no es un útero bicorne. B) Vista en modo inverso de un hidrosalpinx; nótese, además, el uso de la herramienta Magic Cut que deja la trompa aislada con el hidrosalpinx. (Cedido gentilmente por I.E. Timor-Tritsch15.)
Figura 5.A) VCI de 2 casos de dispositivos intrauterinos (DIU). Ambos casos se estudian mediante el VCI junto con planos ortogonales y corte mágico o tijera. En los planos ortogonales se observan los 3 ejes espaciales. En VCI el DIU en el endometrio y la tijera ha recortado los 2 tipos de DIU. B) Feto de 11 semanas visto en modo TUI, que permite una inspección completa en diversos cortes de la región de interés.
9. VOCALTM (Virtual Organ Computer Aided Analysis). Método de representación y cálculo automático de volúmenes (fig. 3B).
10. Modo Inverso. Visualiza estructuras hipoecoicas complejas, incluida la información del flujo vascular. El modo inverso consiste en un software que invierte las estructuras llenas de fluido, anecoicas, a vóxeles ecoicos, de esta manera desaparece la estroma y se muestra nítidamente la estructura llena de líquido estudiada (fig. 4B).
11. B-Flow (flujo B). Detecta células sanguíneas en movimiento con una tecnología no Doppler. El tejido de fondo se elimina, lo que permite la visualización sólo del flujo (fig. 1B).
12. Modo VCI. Evalúa los márgenes de las regiones y las estructuras internas. Permite el suministro de información de cortes adyacentes en un volumen. Puede seleccionar un grosor de corte, en particular desde 2 hasta 15 mm, y visualizar la imagen 2D y de VCI simultáneamente y en tiempo real. El modo VCI está disponible tanto en el plano de exploración adquirido (VCI-A) como en el coronal (VCI-C) (fig. 5A).
13. TUI (Tomographic Ultrasound Imaging). Corta automáticamente la RDI produciendo una vista simultánea de múltiples cortes de un conjunto de datos volumétricos; de esa manera, proporciona una serie de imágenes similares a las obtenidas en la tomografía computarizada o la resonancia magnética; además, permite seleccionar el grosor de corte (fig. 5B).
Técnicas complementarias
Flujo de alta definición (HD flow)
Es una técnica del Doppler en banda ancha, que permite aumentar la sensibilidad en los flujos vasculares pequeños (fig. 6A).
Figura 6.A) Flujo de alta definición. Obsérvese la calidad de imagen obtenida del arco aórtico, la aorta descendente y los vasos hepáticos, junto a la imagen 2D. (Cedido gentilmente por General Electric.) B) A la izquierda STIC cardíaco con body glass de una comunicación interventricular (foto propia). A la derecha STIC con Doppler color en vista cráneo caudal. En el centro, el cruce normal de los grandes vasos. En la derecha, el curso paralelo de ambos vasos demuestra claramente la transposición de las grandes arterias. (Cedido gentilmente por R. Chaoui11.) C) Las imágenes de la izquierda y central muestran al mismo feto normal en modo Doppler solamente (izquierda) y en modo body glass con power Doppler (centro). En comparación, la imagen derecha muestra un feto con isomerismo izquierdo (polisplenia) con típica interrupción de la porción intrahepática de la vena cava. (Cedido gentilmente por R. Chaoui11.)
Doppler energía (Power Doppler)
Codifica la amplitud de la onda sónica, es decir, la cantidad de glóbulos rojos en movimiento. No proporciona información de la dirección del flujo, pero permite detectar flujos muy lentos y en vasos de mínimo calibre.
Doppler color
Permite la visualización de la vascularización de la RDI, empleando los cambios de frecuencias.
Estas 3 técnicas pueden obtenerse en 2D y 3D tanto de forma aislada (sólo los vasos) como combinadas con escala de grises (vasos e imagen en escala de grises).
APLICACIONES OBSTÉTRICO-GINECOLÓGICAS ACTUALES
Ya han sido desarrolladas en numerosas áreas:
Aplicaciones obstétricas
Ultrasonografía cardíaca
Las malformaciones cardíacas inciden en el 5/1.000 de los nacidos vivos y es la causa principal de muerte durante el primer año de vida. Se han aplicado prácticamente todos los modos descritos8-13.
DeVore7, en el año 2003, describe el STIC. El volumen adquirido se estudió en un ciclo cardíaco repetitivo gracias al cine loop, y presentado en forma lenta para ver las diversas fases del ciclo cardíaco, las cámaras del corazón, las válvulas, el septo y el tracto del flujo de salida, sin aumentar la duración del examen. En modo superficie, permitió establecer diagnósticos de las alteraciones de la superficie y de las cámaras cardíacas11.
Al agregar al STIC, TIU, Doppler color, power o flujo B, se ha podido observar la representación hemodinámica, lo que facilita la demostración de los flujos durante un ciclo cardíaco en los diferentes planos seccionales escogidos11 (fig. 1A y B)
La representación del STIC con body glass mode, es ideal para demostrar la relación espacial o las diferencias de tamaño de los grandes vasos conectados con el defecto del septo ventricular, el cruce de los grandes vasos, la transposición de las grandes arterias o el origen de la arteria subclavia aberrante (fig. 6B).
Anormalidades fetales
Se han aplicado recientemente para diagnosticar enfermedades fetales, especialmente combinando con el modo inverso, ya que así es posible visualizar las colecciones líquidas de cualquier etiología y observar su relación anatómica con los órganos adyacentes.
Se han realizado estudios4 sobre hidrocefalias, derrames pleurales (fig. 7), atresias duodenales y enfermedad renal (fig. 8).
Figura 7.El modo inverso muestra la dilatación bilateral de los ventrículos laterales. Un tercer ventrículo dilatado está presente con conexiones superiores hacia los ventrículos laterales a través del agujero de Monro. (Cedido gentilmente por W. Lee4.). Abajo se observa una colección pleural, y un hidrotórax que desplaza y comprime corazón. Se ven parcialmente 3 costillas y el corte del resto. El modo inverso muestra el área cardíaca desplazada y comprimida.
Figura 8. Poliquistosis renal (modo inverso). Se aprecian varios quistes e hidronefrosis marcada por la flecha amarilla.
Técnicas invasivas
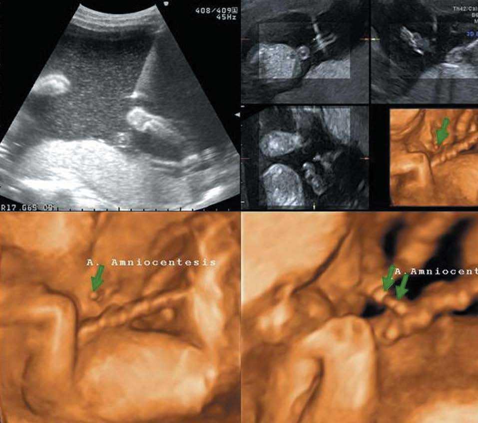
El modo 4D ha permitido mejorar las técnicas invasivas (amniocentesis, biopsia de vellosidades coriales, toracocentesis, cordocentesis y transfusión intrauterina), al lograr la visualización de la aguja en los 4 planos ortogonales y eliminar el fenómeno de lateralización14 (fig. 9).
Figura 9.Imagen 4D de una amniocentesis. Arriba) Planos ortogonales con la aguja entrando. Abajo (flechas verdes) La aguja ha penetrado en la cavidad y se aproxima al cordón para practicar la cordocentesis.
Aplicaciones ginecológicas
Hay escasas publicaciones al respecto15, aunque el futuro es muy prometedor.
Patología tumoral
Ovárica
Tiene especial aplicación en las tumoraciones ováricas, especialmente las que implican colecciones líquidas (fig. 10).
Figura 10.La imagen de la izquierda muestra una vista multiplanar y en modo VOCALTM de un quiste ovárico. Nótese la visualización espacial y la mejor definición volumétrica de la región de interés (arriba e izquierda). Arriba y derecha) Visión multiplanar y de superficie de un quiste endometriósico. Abajo) Quiste endometriósico. Nótese la nitidez de las superficies interna y externa. La imagen de la derecha muestra una adenomiosis y una congestión pélvica en modo inverso.
Patología tubárica
El modo inverso permite una delimitación precisa de las trompas con colecciones líquidas, como el hidrosalpinx y el piosalpinx (fig. 4B). Ha tenido especial aplicación en el estudio de todos los trastornos inflamatorios.
Patología uterina
Casi todas las enfermedades benignas y malignas pueden beneficiarse al situar de forma más exacta las lesiones, pero en especial las que precisan otras técnicas para el completo diagnóstico (histerosalpingografía, histeroscopía, etc.). Un campo de especial aplicación, donde ha supuesto un avance diagnóstico excepcional, mejor que las técnicas radiográficas, es en el estudio de la malformaciones müllerianas16 (fig. 4A).
Sin embargo, hay otros campos menos desarrollados, pero de tanto interés como el anterior. Nos referimos al caso concreto de la adenomiosis, muy difícil de diferenciar de la miomatosis (fig. 10).
Patología mamaria
Tradicionalmente, el ultrasonido se ha utilizado como complemento de la mamografía para la detección de las alteraciones mamarias. Con el desarrollo de estas nuevas tecnologías se vislumbra un papel importante en el diagnóstico de las tumoraciones, sobre todo en el diagnóstico precoz, al incrementar notablemente la nitidez de la imagen obtenida (visión posible de microcalcificaciones) y aumentar la capacidad de análisis de la RDI por medio de las diversas modalidades de visualización, como las mostradas en la figura 11.
Figura 11.4D de mama. Otra excelente aplicación de esta nueva tecnología. A) Mastopatía fibroquística. B) Quiste con papilas y calcificaciones. C) Fibroadenoma. D) Prótesis mamaria mal colocada que hace ondas en su pared anterior. (Cedido gentilmente por L. Machado.)
Aunque hasta el momento los estudios realizados no muestran una diferencia significativa entre ultrasonografía 2D y 3D17,18, hay trabajos18 que señalan que la visualización del fenómeno de retracción en el plano de corte coronal en 3D tendría un significativo valor pronóstico para el cáncer de mama.
Reproducción humana
Valoración de la reserva ovárica
Representa una aplicación de enorme potencial, pues permite clasificar las pacientes candidatas o no a reproducción asistida19.
Estas aplicaciones, especialmente el modo inverso, permiten una mejor observación, contar y calcular los tamaños y el volumen de los folículos restantes en el ovario, al eliminar todo el parénquima. Por otro lado, se corresponde mejor con los éxitos de la estimulación que las determinaciones hormonales, los tests del clomifeno y las determinaciones de la hormona foliculoestimulante y el 17β estradiol del tercer día de ciclo.
Para las pacientes mayores de 37 años y en programas de reproducción asistida, lo consideramos de empleo imprescindible para conocer las posibilidades de éxito (fig. 3A y C).
Valor del volumen ovárico
Su estudio se ha relacionado con la posibilidad de predecir la respuesta en los ciclos de estimulación ovárica.
Estudio de receptividad endometrial
La receptividad (dinámica de los cambios titulares y de angiogénesis) puede aproximarse con el 3D asociado a power Doppler y VOCALTM, que pone de manifiesto el patrón de remodelación con el índice de flujo vascular20,21.
CONCLUSIONES
El actual desarrollo de los modos de adquisición y software permite el manejo de las imágenes para optimizar el análisis de los datos y, de este modo, mejorar la certeza diagnóstica en diferentes áreas de la ginecología y la obstetricia.
Esta revisión es una muestra de los conocimientos que día a día se van adquiriendo con el uso de las nuevas opciones y modos ecográficos, y un intento de llevar a cabo las acciones oportunas en pro de los mejores resultados, no sólo perinatales sino los relacionados con la salud integral de la mujer.
Correspondencia:
Dr. F. Bonilla-Musoles.
Departamento de Obstetricia y Ginecología. Facultad de Medicina de Valencia.
Blasco Ibáñez, 17. 46010 Valencia. España.
Correo electrónico: bonilla_fer@gva.es
Fecha de recepción: 12/6/06. Aceptado para su publicación: 11/1/07.













