INTRODUCCION
Los tumores carcinoides son tumores primarios raros dentro del ovario1,2. Son más frecuentes cuando son de tipo metastático con origen apendicular, en cuyo caso son bilaterales3,4. La mayoría de los carcinoides primitivos ováricos aparecen asociados a un teratoma maduro y siempre son unilaterales3. Se especula que podrían derivar de las células neuroendocrinas del epitelio respiratorio y gastrointestinal presentes en el teratoma4.
Según el patrón histológico, el carcinoide primario se subclasifica en 5 tipos: insular, trabecular, estromal, mucinoso y mixtos. El más frecuente es el insular, que se presenta en el 26-53% de los casos. Le sigue en frecuencia el estromal (26-44%), el trabecular (23-29%), el mucinoso (15%) y los de tipo mixto (generalmente son insulares y trabeculares). El síndrome carcinoide, caracterizado por enrojecimiento facial, diarreas, broncospasmo, disnea y fallo cardíaco tricuspídeo, se estima que sólo aparece en un tercio de los carcinoides ováricos y sólo en el tipo insular. No obstante, actualmente se admite que si bien en dicho tipo es más frecuente (30%), puede observarse también en el trabecular (13%) y en el estromal (3,2%)
CASO CLINICO
Paciente de 88 años de edad, que ingresa en el servicio de ginecología, remitida del servicio de aparato digestivo, por una tumoración pélvica de probable origen ginecológico detectada en la ecografía abdominal.
Entre sus antecedentes personales destacan los siguientes: hipertensión, hiperuricemia e hipotiroidismo subclínico. Y en los antecedentes obstétrico-ginecológicos: grávida 3 para 3, con menopausia a los 55 años.
Inicialmente, acudió al servicio de aparato digestivo por un cuadro de diarreas líquidas, sin sangre ni moco, que presentaba desde hacía 3 meses, y una pérdida de peso de hasta 10 kg.
En la ecografía abdominal se apreció una tumoración heterogénea sólido-quística, de 85 × 65 mm, que podría corresponder al ovario. La ecografía ginecológica informaba de una tumoración sólida en el saco de Douglas, heterogénea, de contornos bien definidos, con un tamaño de 93 × 62 × 88 mm, un mapa vascular rico e índice de resistencia de 0,38-0,60, muy probablemente de origen ovárico (figs. 1 y 2).
Figura 1.Imagen ecográfica de la tumoración anexial.
Figura 2.Doppler del tumor anexial.
La tomografía computarizada (TC) abdominopélvico confirmaba los mismos hallazgos; se hallaron patrones de normalidad en el resto de las vísceras estudiadas; no se observaban adenopatías ni líquido libre.
El estudio de los marcadores tumorales (CEA, AFP, B-HCG, Ca 125, Ca 19,9) fue normal.
Al presentar la paciente un cuadro diarreico, se le realizó una colonoscopia, que detectó la existencia de diverticulosis en el colon izquierdo y hemorroides internas.
La paciente fue sometida a una laparotomía, donde se puso de manifiesto la presencia de una tumoración retrouterina, de unos 10 cm, dependiente del ovario derecho, de aspecto sólido-quístico, bien delimitada, fija a órganos adyacentes, en la cara posterior del útero y el recto. No había líquido libre, y el útero y el ovario izquierdo eran normales. Se procedió a realizar un lavado peritoneal seguido de una histerectomía total con doble salpingo-ooforectomía.
El examen macroscópico reveló un útero atrófico y un anejo izquierdo normal. La tumoración ovárica derecha tenía un tamaño de unos 10 cm, ovoidea y de superficie externa lisa. Esta formación, al corte, ofrecía aproximadamente en su mitad, o algo menos, una formación quística rellena de pelos y material cremoso. La superficie de este quiste era lisa. La otra zona, que suponía unos 6 cm del total, era más sólida y también presentaba quistes menores, algunos de ellos con material hemático. El resto era sólido, grisáceo, fibroso y bastante homogéneo, con alguna zona amarillenta.
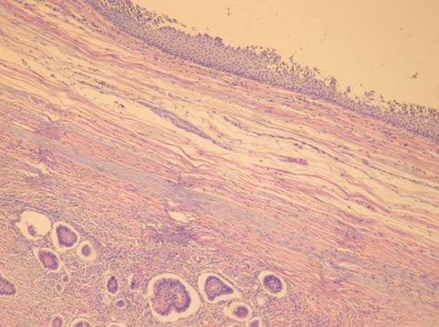
En el estudio microscópico de la zona sólida (fig. 3) encontramos una neoformación epitelial con claros carácteres «insulares». Los grupos neoformativos se disponen en islotes de tamaño medio y pequeños muy bien definidos, con celularidad redondeada con núcleos hipercromáticos, isonucleosis, isocariosis y escasa mitosis. Estos islotes presentan luces alrededor de las cuales se distribuyen en forma de empalizada de células cuboidales o cilíndricas. En otras zonas, la neoformación adopta una disposición glanduloide, mezclada con el tejido insular descrito que muestra en esta zona criterios de atipia nuclear y celular más acentuada (fig. 4).
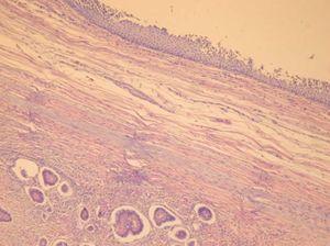
Figura 3.1) En la parte superior se observa un margen de epitelio escamoso bien diferenciado, que corresponde a la pared quística del teratoma. 2) En el ángulo inferior izquierdo se aprecian islotes de la neoformación carcinoide (HE, ×40).
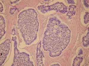
Figura 4.Tumor carcinoide, con islotes patrón insular típico (HE, ×400).
Con pruebas de inmunohistoquímica se observan las siguientes reacciones: cromogranina positiva, sinaptofisina positiva, enolasa positiva amplia pero parcialmente, CK-PAN positivo, tiroglobulina negativa, CEA con focos positivos restringidos y antígeno epitelial de membrana (EMA) negativo.
De acuerdo con los hallazgos descritos, la paciente sólo presenta un tumor carcinoide limitado a un ovario, en estadio Ia de la FIGO. El pronóstico es excelente y no precisa terapia adyuvante.
DISCUSION
Los carcinoides son tumores endocrinos asociados a un síndrome característico, y son más frecuente en pacientes con tumores localizados en el intestino delgado y con metástasis hepáticas. En raras circunstancias, cuando el síndrome está presente sin metástasis hepáticas, el tumor primario está localizado en el bronquio o el ovario y segrega hormonas directamente a la circulación sistémica5.
Los carcinoides primitivos de ovario son raros y suponen menos del 0,1% de los carcinomas de ovario. La mayoría aparecen asociados a quistes dermoides, y podrían surgir de las células neuroendocrinas presentes en el componente epitelial respiratorio y gastrointestinal1.
Según el tipo histológico, se dividen en insular, trabecular, estromal y mucinoso. El insular es el más frecuente seguido del estromal. Sólo el insular se asocia a un síndrome carcinoide2. Los patrones de tipo trabecular y estromal liberan también péptidos neurohormonales, concretamente el péptido YY, un inhibidor de la motilidad intestinal que produce defecación dolorosa y grave constipación6.
Los carcinoides primarios son siempre unilaterales, mientras que los metastásicos afectan a ambos ovarios. La edad de aparición es muy variable, pero la mayoría aparecen en mujeres posmenopáusicas4. El volumen del tumor es el factor determinante más importante para que el síndrome carcinoide esté presente, de manera que casi todos los tumores funcionantes medían al menos 10 cm de diámetro7. Robboy et al3 estudiaron 48 casos de carcinoides insulares primarios de ovario, y comprobaron que cuando el tamaño era entre 4 y 7 cm, el síndrome carcinoide se presentaba en la mitad de las pacientes. La diferenciación acinar prominente también estaba correlacionada con la presencia del síndrome, así como la argentafinidad3.
En nuestro caso, la paciente comenzó con un cuadro de diarrea y pérdida de peso, que le provocó adelgazamiento y motivó su consulta al servicio de aparato digestivo.
Otro de los síntomas que puede aparecer formando parte del síndrome carcinoide es el fallo cardíaco derecho, con ortopnea e insuficiencia tricuspídea, pero esto ocurre sólo en menos del 0,1% de todos los carcinomas ováricos y sólo en el 5% de todos los carcinoides. Con la exéresis del tumor, la sintomatología desaparece y la función cardíaca se estabiliza9.
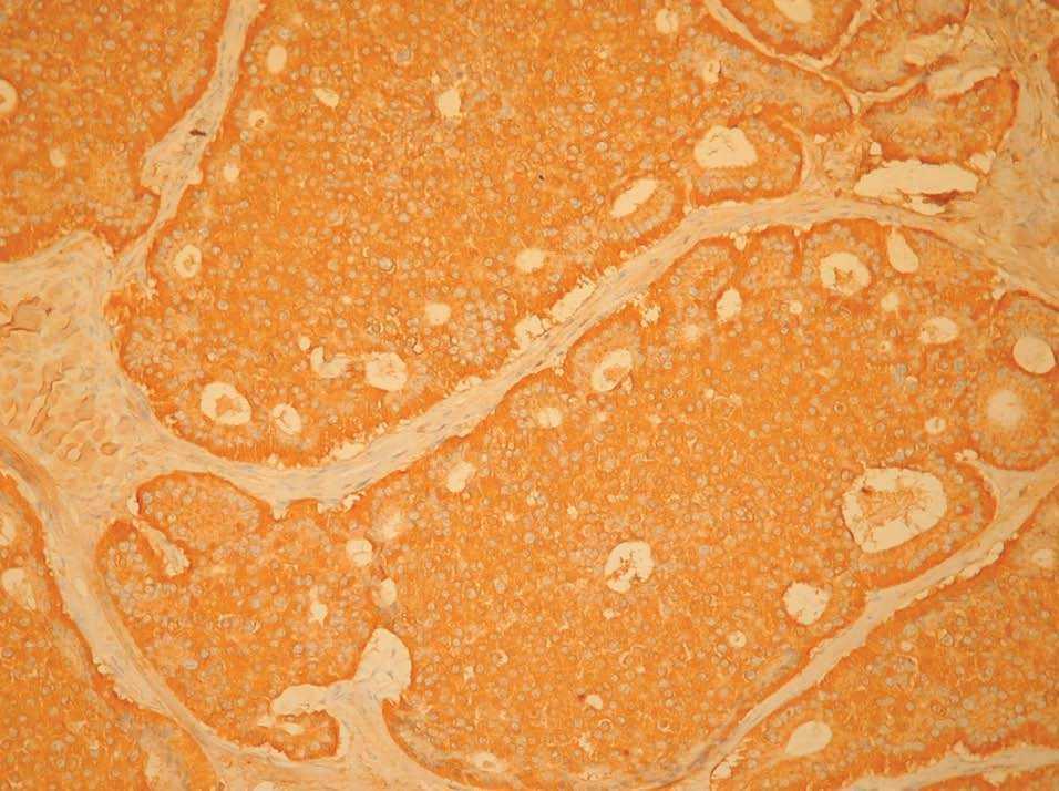
A través de las pruebas inmunohistoquímicas llegamos a la confirmación histológica de tumor carcinoide de ovario, identificando la presencia de gránulos citoplasmáticos neurosecretores de cromogranina y sinaptofisina1 (fig. 5).
Figura 5. Visión microscópica con cromogranina positiva (HE, ×200).
La liberación de péptidos neurohormonales es más frecuente en los tipos trabeular (53%) y estromal (42%) frente al insular (7%), sobre todo el polipéptido pancreático inmunorreactivo, el glucagón, la encefalina y la somatostatina10,11.
Cuando los tumores están limitados a un ovario, como en el caso que nos ocupa, la supervivencia es excelente; el tratamiento es quirúrgico y deben considerarse como tumores de bajo potencial maligno, con una supervivencia del 95% a los 5 años y del 88% a los 10 años en los carcinoides de tipo insular. El índice de recurrencias es muy bajo por el lento crecimiento y la baja malignidad, pero éstas pueden aparecer incluso de forma muy tardía, por lo que es necesario efectuar un seguimiento a largo plazo12.
Correspondencia:
Dra. C. Salvador Ballada.
Duques de Nájera, 49, 3.o D.
26005 Logroño. La Rioja. España.
Correo electrónico: csalvador@eniac.es
Fecha de recepción: 27/12/2005. Aceptado para su publicación: 26/5/2006.
