INTRODUCCION
El cáncer de ovario es la quinta neoplasia más frecuente entre las mujeres y es la principal causa de mortalidad entre los cánceres que afectan al tracto genital femenino.
El patrón de diseminación más frecuente es el transcelómico, por exfoliación de las células que se implantan en la superficie peritoneal, seguido de la diseminación linfática. La diseminación hematógena en el momento del diagnóstico es excepcional, y las metástasis sistémicas son infrecuentes y prácticamente sólo se observan en pacientes que han sobrevivido varios años.
Las metástasis cerebrales son muy raras y su incidencia oscila entre el 0,49 y el 2,2%1. Sin embargo, algunos estudios recientes sugieren un aumento en su incidencia2. La supervivencia media de las pacientes con metástasis cerebral es baja, y depende de la presencia de enfermedad extracraneal, del tiempo transcurrido entre el diagnóstico del cáncer de ovario y la aparición de las metástasis cerebrales1 y de la opción terapéutica indicada. La mayoría de los autores coincide en que el tratamiento de elección en caso de lesión única es la resección quirúrgica total y la radioterapia holocraneal3.
CASO CLINICO
Paciente de 48 años de edad sin antecedentes patológicos de interés. TPAL 1011; TM 4-5/28. Ingresó en marzo de 1991 por presentar un cuadro de accidente cerebrovascular y trombosis de la vena poplítea izquierda. Durante el ingreso se diagnosticó una neoplasia de ovario bilateral. Se realizó una laparotomía en abril del mismo año, detectándose un tumor limitado a la pelvis, que resultó inextirpable por la gran fijación a la misma. Las biopsias fueron de carcinoma serosopapilar.
Efectuó un tratamiento quimioterápico con 6 ciclos de cisplatino 75 mg/m2 y ciclofosfamida 750 mg/m2. En noviembre de 1991, tras finalizar el tratamiento quimioterápico, se comprobó una respuesta parcial (reducción de masa tumoral superior al 50%) y se indicó cirugía de rescate, que consistió en histerectomía abdominal con anexectomía bilateral, apendicectomía, omentectomía y exploración de ganglios pelvianos y paraaórticos; en esta intervención se dejó una masa residual menor de 1 cm en la pelvis. En junio de 1992 la paciente siguió tratamiento con radioterapia pelviana (50 Gy).
Figura 1. Evolución de los marcadores tumorales.
Los controles posteriores fueron negativos (exploración física, citología, CEA, CA 125, CA 19.9 y tomografía computarizada [TC]).
En agosto de 2000, a los 9 años del diagnóstico, la paciente acudió a urgencias por presentar disnea de reposo y dolor en el hemitórax derecho de características pleuríticas de 2 semanas de evolución. La TC toracoabdominal mostró un derrame pleural derecho masivo y múltiples engrosamientos pleurales compatibles con metástasis; el abdomen fue normal. La citología del líquido pleural confirmó la presencia de células de adenocarcinoma, con un CA 125 de 572. Se administraron 6 ciclos de carboplatino (AUC 5) + taxol 175 mg/m2, y se comprobó la remisión completa, tanto clínica como por exploración mediante imagen. Los controles posteriores fueron negativos.
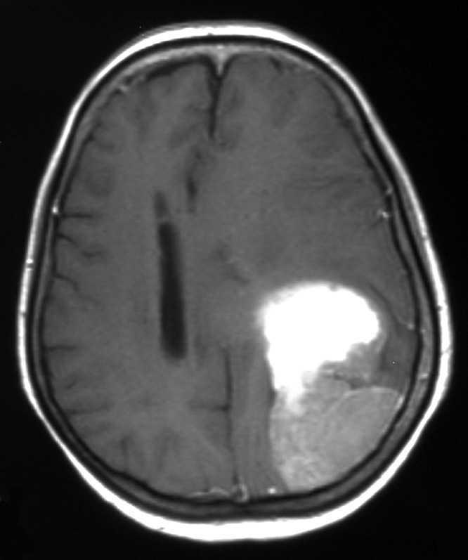
En febrero del 2002, a los 11 años del diagnóstico, la paciente consultó por un cuadro de afasia y hemiparesia derecha. Por resonancia magnética (RM) se objetivó una lesión expansiva de 8 cm temporal-occipital-parietal izquierda (figs. 2 y 3). Los marcadores tumorales fueron negativos. Dado el buen estado general de la paciente y la ausencia de enfermedad extracraneal se realizó una craneotomía con extirpación total de la lesión. El estudio anatomopatológico confirmó su naturaleza metastásica. Se efectuó radioterapia holocraneal y boost en el lecho quirúrgico (dosis total de 48 Gy), y el tratamiento finalizó en mayo de 2002. Los controles posteriores han sido negativos y la paciente se encuentra actualmente asintomática, sin secuelas neurológicas significativas y libre de enfermedad.
Figura 2. Metástasis cerebral única temporal-occipital-parietal izquierda de 8 cm.
Figura 3. Metástasis cerebral única.
DISCUSION
El desarrollo de metástasis cerebrales a partir de tumores sólidos primarios, como el de pulmón, mama o próstata, es relativamente frecuente4. Sin embargo, la aparición de metástasis cerebrales por neoplasia de ovario es muy rara. Se estima una incidencia del 1%, con un rango del 0,49-2,2%1, aunque algunos autores recientemente han sugerido un aumento de la incidencia5-10.
El intervalo transcurrido entre el diagnóstico de cáncer de ovario y la aparición de metástasis cerebral fue de 29 meses (rango, 0-101) en una revisión reciente de la bibliografía1. En el caso clínico que presentamos, dicho intervalo fue de 131 meses. El pronóstico empeora cuanto más breve es el intervalo transcurrido.
La supervivencia de las pacientes con cáncer de ovario en estadios avanzados ha aumentado en los últimos años gracias a los avances en los tratamientos quirúrgicos y quimioterápicos.
La supervivencia en pacientes con metástasis cerebral de neoplasia de ovario es limitada y depende en gran medida del tratamiento. Diversos estudios1-3 demuestran que sin tratamiento la supervivencia media es de 1,5 meses; cuando se aplica radioterapia como tratamiento único es de 5,5 meses y cuando se combinan radioterapia y quimioterapia es de 7,2 meses. Pero los mejores resultados se obtienen en las pautas terapéuticas que incluyen la cirugía, con una supervivencia media de 15,5 meses para la combinación de cirugía y radioterapia, y de 14,5 meses si se añade quimioterapia.
Los factores que más influyen en la elección del tratamiento son la presencia o no de enfermedad extracraneal y si la metástasis es única o múltiple. Para pacientes con una lesión cerebral única, como en el caso que presentamos, la resección quirúrgica seguida de radioterapia holocraneal y quimioterapia sistémica ofrece mejores resultados que la radioterapia sola y se asocia con una mayor supervivencia global (tabla 1) y un menor riesgo de recurrencia8,9. Para pacientes con múltiples metástasis cerebrales, la radioterapia holocraneal, con o sin quimioterapia, es el tratamiento de elección11.
Este caso clínico es un claro ejemplo del proceso de «cronificación» del cáncer de ovario que experimentan algunas mujeres gracias a los avances en el tratamiento.
Correspondencia:
Dra. S. Bonino Álvarez.
Sección de Ginecología Oncológica. Instituto Clínico de Ginecología, Obstetricia y Neonatología. Hospital Clínic. Universidad de Barcelona.
Villarroel, 170. 08036 Barcelona. España.
Correo electrónico: silvanab@menta.net
Fecha de recepción: 17/2/06.
Aceptado para su publicación: 11/4/06.





