La cefalea se define como el dolor o malestar referido a la cabeza, esencialmente en el cráneo, originado en estructuras craneales o bien irradiados a las mismas. Es un síntoma muy frecuente en la infancia que se refleja, según la edad del niño, con una gran variabilidad sintomática. Constituye el motivo más frecuente de la consulta neuropediátrica.
Prevalencia
La prevalencia de este trastorno es muy variable, en función de los rangos etarios y la metodología diagnóstica. A los 14 años, sólo el 4% de los niños estudiados no han padecido algún episodio de cefalea. En la edad escolar, entre el 30 y el 60% de los niños tienen cefaleas, duplicándose el absentismo escolar respecto a la población que no presenta cefaleas.
Etiología
Las causas de cefalea difieren según la frecuencia de los episodios. Las causas de cefalea aguda, subaguda y recurrente se describen en la tabla 1.
La causa más frecuente de cefalea aguda son los procesos febriles. La causa de la cefalea febril podrá estar relacionada con procesos infecciosos que no afecten al sistema nervioso. Indudablemente, los signos meníngeos y neurológicos debe señalar la presencia de una infección que afecta primaria o secundariamente al sistema nervioso central.
La causa más prevalente de cefalea crónica es la migraña, a la cual dedicaremos un apartado especial.
Clasificación de las cefaleas
La International Headache Society (IHS) estableció los criterios diagnósticos y, atendiendo a éstos, la clasificación de las cefaleas, la neuralgias y los dolores faciales (tabla 2).
Diagnóstico etiológico
Historia clínica
Debe recoger datos obtenidos de los padres y, siempre que sea posible, del propio paciente. La anamnesis incluirá:
Antecedentes personales: infecciones recurrentes, procesos alérgicos, dolor abdominal recurrente, vómitos, vértigo-mareos, trastornos del sueño, traumatismos, etcétera.
Antecedentes familiares: historia de cefaleas vasculares o tensionales, antecedentes psiquiátricos, facomatosis, epilepsia, etc.
Anamnesis de los episodios: tipos de cefalea, frecuencia, factores precipitantes, ritmo horario, síntomas acompañantes, localización-irradiación, características del dolor, repercusión social, medidas terapéuticas y duración de los episodios.
Exploración física
Será sistemática y minuciosa, recogiendo los siguientes aspectos:
Examen físico general que incluirá desarrollo ponderostatural, perímetro cefálico, examen cutáneo, coloración general, auscultación cardíaca, respiratoria y craneal (presencia de soplos sugestivos de malformaciones vasculares), palpación abdominal y presión arterial.
Examen neurológico completo, con exploración del fondo de ojo en todos los casos. Se debe descartar la presencia de papiledema, pulso venoso anormal, hemorragias retinianas y atrofia óptica.
La historia clínica nos aportará la presencia de signos de organicidad: edad menor de 5 años, vómitos «en escopetazo» sin náusea previa, cefalea de predominio matutino, cefalea que despierta por la noche o aumenta con maniobras de Valsalva, tos o defecación, cefalea crónica y progresiva, exploración neurológica anormal, edema de papila, macrocefalia, etc.
Exploraciones complementarias
Las exploraciones complementarias rara vez son necesarias. En la tabla 3 se señala la indicación de exploraciones complementarias en niños con cefalea.
Se realizará hemograma y bioquímica sanguínea ante la sospecha de procesos infecciosos, en los cuales la exploración física y la anamnesis lo indiquen.
La realización de punción lumbar se indicará ante la presencia de meningismo o signos de hipertensión intracraneal (HIC). La realización de punción lumbar ante HIC precisa la ausencia de alteraciones en la TC craneal.
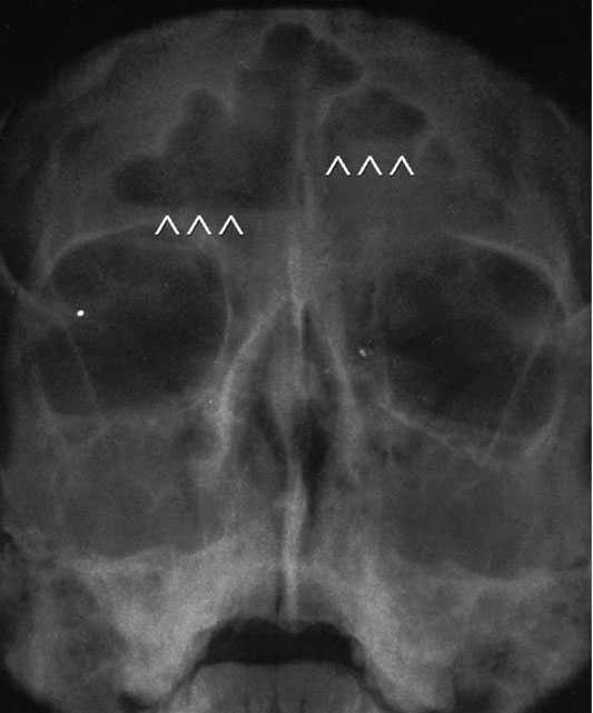
Los estudios radiográficos convencionales se indicarán atendiendo a los datos de la historia clínica. La radiografía de senos paranasales debe realizarse ante la sospecha de sinusitis (fig. 1). La radiografía craneal aporta escasa información en el estudio de las cefaleas (diastasis de suturas, fracturas, impresiones digitiformes).
Fig. 1. Sinusitis en un paciente de 13 años con cefalea frontal intensa. Ocupación predominante de senos maxilares y frontales (las flechas señalan la presencia de áreas de mucosa).
La TC craneal se llevará a cabo ante la presencia de cefalea aguda e intensa, cefalea crónica, sospecha de proceso expansivo o HIC (v. signos de organicidad), signos meníngeos sin fiebre acompañante (descartar hemorragia subaracnoidea), focalidad neurológica o portadores de válvula de derivación ventrículo-peritoneal. La realización de otros estudios neurorradiológicos es excepcional en el estudio de la cefalea infantil.
El EEG tiene escasa utilidad en el diagnóstico etiológico de la cefalea. Las alteraciones del trazado en la migraña son frecuentes, aunque no específicas, observá ndose un trazado enlentecido o fenómenos paroxísticos hasta en el 75% de los casos. Puede ser útil en el diagnóstico diferencial entre la migraña y la epilepsia, especialmente en la cefalea vascular que se acompaña de focalidad neurológica. Su normalidad con frecuencia tranquiliza al paciente y a la familia, por lo que en casos determinados, su realización tiene fines terapéu-
ticos.
Migraña
Es la causa más frecuente de cefalea en la infancia y la adolescencia, al igual que ocurre en los adultos. La prevalencia se sitúa en el 1-4% en la edad prepuberal, donde la distribución por sexos es similar. A partir de esta edad, la migraña se presenta más frecuente en las niñas (6%) que en los niños (3,5%), situación que se mantiene hasta la edad adulta.
Las caracterísitcas diferenciales más significativas en relación con la migraña del adulto son:
Antecedentes familiares positivos con mayor frecuencia: la ausencia de los mismos debe hacer dudar el diagnóstico, al menos inicialmente.
Factores precipitantes diversos (tabla 4): en más de la mitad de los casos no se objetiva ningún factor causal.
Aura poco frecuente por debajo de la edad puberal.
Asociación a sintomatología gastrointestinal: vómitos, náuseas o dolor abdominal.
Duración menor de los episodios.
Localización bifrontal.
Ritmo horario vespertino.
Mayor limitación en la vida diaria.
Aparición de letargia después de los episodios.
La presencia de características determinantes en la migraña infantil ha motivado la existencia de diferentes criterios diagnósticos, tal como se refleja en la tabla 5.
La IHS diferencia varios tipos de migraña (tabla 6).
La migraña sin aura, antes denominada migraña común, es la más frecuente en la infancia, caracterizada por cefaleas recurrentes, pulsátiles, unilaterales, acompañadas de sintomatología abdominal o aura visual, con gran carga familiar. Los episodios pueden ser breves, incluso con duración inferior a las 2 h. En ocasiones se preceden por cambios conductuales, irritabilidad y palidez cutaneomucosa.
La migraña con aura, anteriormente descrita como migraña clásica, es poco frecuente en el niño; el aura es generalemente visual (70%), presentándose en forma de escotomas, alucinaciones, amaurosis, alteraciones campimétricas, etc. También puede manifestarse mediante alteraciones auditivas, motoras (hemiparesia, afasia) y sensitivas (parestesias, hemidisestesias), incluso apareciendo con posterioridad al aura visual. En ocasiones, el aura puede prolongarse durante horas o días, o aparecer sin cefalea posterior.
La migraña hemipléjica familiar se caracteriza por la presencia de hemiparesia, pudiendo asociarse a afasia o déficit sensitivo. Estos síntomas son contralaterales a la cefalea, no afectan generalmente a la motilidad facial y pueden persisitir en forma de debilidad muscular e hiperreflexia tras la desaparición de la cefalea. Es obligada la existencia de antecedentes familiares positivos para su diagnóstico.
La migraña basilar se caracteriza por una sintomatología positiva o negativa de la fosa posterior: vértigo, ataxia, diplopía, disartria, nistagmo, tinnitus, etc. Se acompañan de cefalea generalmente occipital bilateral y somnolencia. Para su diagnóstico es preciso excluir procesos expansivos de la fosa posterior y la epilepsia occipital. Como en la migraña hemipléjica, es obligada la realización de estudios neurofisiológicos y de neuroimagen.
Cefalea tensional
La cefalea tensional, antes denominada psicógena, es un trastorno frecuente en el niño en edad escolar, aunque no alcanza la prevalencia del adulto. Aparece con mayor frecuencia en el adolescente de sexo femenino. Se caracteriza por una cefalea opresiva, prolongada, bilateral, que no se acompaña de focalidad neurológica ni sintomatología digestiva, no limitante; tampoco repercute en el sueño, una vez iniciado, y rara vez se asocia a fotofobia o fonofobia. Los factores desencadenantes son siempre psicógenos: situaciones escolares, problemas sociales, estrés familiar, etc. Aunque el neuropediatra generalmente aborda el diagnóstico con la anamnesis y la exploración física, es habitual la realización de exploraciones complementarias dada la enorme ansiedad que genera la frecuencia de los episodios.
Cefalea en racimos (cluster headache)
Afecta prácticamente de forma exclusiva a niños de más de 10 años (90%). Son cefaleas recurrentes, intensas, periorbitarias, que se generalizan al hemicráneo homónimo. Se asocian a hiperemia conjuntival, epífora y rinorrea. A veces se observa rubefacción, agitación y un síndrome de Horner también ipsolateral. Recurren durante días o semanas, predominantemente por las noches, siguiéndose de intervalos libres de un año o más.
Cefalea postraumática
Es frecuente como síntoma acompañante de traumatismos craneales incluso leves. Pueden acompañarse de vómitos o náuseas, así como palidez cutaneomucosa. Su presencia no señala la existencia de lesiones intracraneales, siendo su origen probablemente vascular. Suelen ser autolimitadas y ceden en pocas horas o días.
Cefalea por hipertensión intracraneal
La HIC es una causa infrecuente de cefalea en el niño (1-2%). Por otro lado, la cefalea está presente en las tres cuartas partes de los procesos expansivos intracraneales, en ocasiones de forma unisintomática (fig. 2). Clínicamente, puede simular una cefalea tensional o vascular. En general, se asocia a los signos de organicidad que se referían previamente. La sospecha de este trastorno obliga la realización de exámenes neurorradiológicos.
Fig. 2. Proceso expansivo intracraneal en una niña de 5 años. Cefalea aguda como único síntoma. Edema de papila bilateral asociado.
Tratamiento de las cefaleas
Migraña
El primer paso debe ser la identificación de los factores desencadenantes, en caso que existan. En ocasiones puede ser útil la realización de un diario o calendario en el que se señalen los episodios de forma regular, sus características y los factores asociados. Inicialmente, deben evitarse los factores desencadenantes más frecuentes como las alteraciones del sueño, el estrés y los ayunos prolongados, para pasar a medidas más específicas dependiendo del caso.
El tratamiento de la crisis aguda incluye el reposo en un ambiente oscuro y tranquilo, administrándose los analgésicos habituales de forma precoz. Se emplea el ácido acetilsalicílico o paracetamol a 10-15 mg/kg/día. Los antiinflamatorios no esteroides son el tratamiento alternativo: naproxeno a 10-15 mg/kg/día en dos tomas o ibuprofeno a 30-60 mg/kg/día en 3-4 dosis. Una alternativa a los antiinflamatorios pueden ser las asociaciones analgésicas con codeína. En niños mayores y adolescentes se puede hacer uso de los ergotamínicos (excepto en la migraña complicada); se iniciará la dosificación con 2 mg de ergotamina, preferentemente rectal, seguido de dosis adicionales de 1 mg cada 30 min hasta obtener una mejoría (máximo 6 mg en 24 h). Si los vómitos son frecuentes o interfieren en el tratamiento, debe recurrirse al empleo de antieméticos: metoclopramida (0,1-0,2 mg/kg por vía oral), clorpromazina (1 mg/kg i.m.) o domperidona (0,3 mg/kg por vía rectal).
Una alternativa a los tratamientos convencionales en la migraña infantil son los triptanes. En la infancia, la experiencia es limitada. Se han obtenido efectos favorables en adolescentes tratados con sumatriptán en las crisis agudas resistentes a otros tratamientos, haciendo uso de la vía subcutánea, intranasal u oral. En la práctica diaria, hemos podido constatar beneficios similares con naratriptán y zolmitriptán en adolescentes refractarios a otros tratamientos.
En aquellos casos excepcionales en los que la cefa lea persiste más de 72 h (estado migrañoso), es obligado el ingreso hospitalario, debiendo instaurarse un tratamiento analgésico y antiemético intravenoso precoz; si los ergotamínicos no mejoran la sintomato logía se debe iniciar el tratamiento con prednisona a 1-2 mg/kg/día v.o. (máximo 60 mg) o dexametasona a 0,5 mg/kg/día i.v., con una duración no superior a 4-5 días.
En aquellos casos en los que la frecuencia de las cefaleas supera los dos episodios al mes, éstos no respondan adecuadamente al tratamiento analgésico o repercutan notoriamente en la calidad de vida del paciente, se debe administrar un tratamiento preventivo durante un mínimo de 3 meses. Básicamente, disponemos de tres opciones terapéuticas: bloqueadores beta, antagonistas del calcio y antagonistas serotoninérgicos. Entre los bloqueadores beta, el más seguro es el propranolol a 1-2 mg/kg/día en 2-3 dosis; recomendamos iniciar el tratamiento lento con 5-10 mg tres veces al día, con aumentos lentos hasta 40-120 mg/día. Sus efectos adversos más frecuentes son la hipotensión arterial, la bradicardia, los trastornos del sueño y los trastornos gastrointestinales. Están contraindicados ante la presencia de depresión, diabetes, hiperreactividad bronquial, arritmias cardíacas e hipotiroidismo. La otra opción profiláctica son los antagonistas del calcio, siendo la flunarizina el fármaco de elección. La dosis habitual es de 5 mg por la noche, pudiendo duplicarse la dosis en adolescentes. Su efecto es notable a partir de las 4-6 semanas. El tratamiento es muy seguro, aunque puede asociarse a un aumento del apetito y somnolencia. La tercera alternativa son los antagonistas serotoninérgicos, especialmente la ciproheptadina, 4-16 mg/día (aproximadamente 0,25 mg/kg/día) en 2-3 dosis, y 0,125 mg/kg/día en menores de 6 años. La ganancia ponderal y la somnolencia limitan ocasionalmente su empleo.
En pacientes que asocian síntomas depresivos, puede ser útil el empleo de los antidepresivos tricíclicos. La amitriptilina se dosifica a 1 mg/kg/día (25-75 mg/día) en 1-2 dosis. Otras opciones, como el uso de fármacos antiepilépticos (carbamazepina, ácido valproico, fenitoína, gabapentina), han sido utilizadas con resultados también favorables, quedando todavía relegadas a pacientes que no responden a las medidas habituales.
Cefalea tensional
La información y tranquilidad del paciente y los padres del mismo son fundamentales en el tratamiento de este tipo de cefalea. Es frecuente la disminución de la frecuencia de los episodios tras la exploración física y la normalidad de las exploraciones complementarias. En los casos con cefaleas ocasionales, en la fase aguda se podrá hacer uso de analgésicos a dosis habituales, sedantes suaves o técnicas de relajación. En muchos casos puede ser suficiente el empleo de placebo.
Ante procesos frecuentes, que repercuten en la vida diaria, es necesaria la intervención de un psicoterapeuta. Ocasionalmente, se recurrirá al empleo de ansiolíticos o antidepresivos durante períodos cortos de tiempo.
Cefalea en racimos
Los tratamientos para este tipo de cefaleas son poco eficaces, en general. En el episodio agudo pueden ser útiles la oxigenoterapia durante 20-30 min al 100%, analgésicos a dosis elevadas, la ergotamina rectal o el sumatriptán inhalado. Para prevenir los siguientes episodios se podrá hacer uso de antiinflamatorios no esteroides o corticoides durante 5-7 días, con una pauta de retirada lenta.
Bibliografía general
Alarcón J. Cefalea vascular en el niño: triptanes. En: Calleja B, Fernández-Jaén A, editores. Manejo clínico del paciente pediátrico. Vigo: Gráficas Diumaro, 2000; 322-337.
Artigas J. Cefaleas en el niño. En: Neurología pediátrica. Madrid: Ediciones Ergón, 2000; 373-382.
Campistol J. Cefaleas en Pediatría. En: Prandi F, editor. Pediatría práctica. Barcelona: Prous Science, 2000; 103-123.
Fernández-Jaén A, Calleja B, García JA. Traumatismo craneoencefálico en la infancia. Medicina Integral 2001; 37: 1-9 (en prensa).
Garaizar C. Migraña común, migraña con aura y complejo migraña-epilepsia. Rev Neurol Clin 2001; 2: 272-278.
Hamailen ML, Hoppu K, Santavouri P. Is response to oral sumatriptan in childhood migraine different from adults? Cephalalgia 1996; 16: 358-359.
Headache Classification Committeee of the International Headache Society. Classification and diagnostic criteria for headache disorders, cranial neuralgias and facial pain. Cephalalgia 1988; 8 (Supl 7): 8-96.
Hernández MA, Roig M. Migraña en la infancia: la cefalea en la edad pediátrica. En: Titus F, Acarín N, Dexeus S, editores. Cefalea Madrid: Harcourt, 1999; 87-94.
Hernández S, Roselló B, Mulas F, Morant A. Cefaleas no migrañosas: aspectos psicológicos de las cefaleas. Rev Neurol Clin 2001; 2: 279-300.
Hockaday JM, Whitty CWM. Factors determining the EEG in migraine. Brain 1969; 92: 769-788.
Maytal J, Bienkowski RS, Mahendra P, Eviatar L. The value of brain image in children with headaches. Pediatrics 1995; 96: 413-416.
Pascual-Castroviejo I, Fernández-Jaén A. Síndromes hipertensivos intracraneales. Pediatr Integral 1999; 3: 413-419.
Piñeiro R. Migraña y epilepsia. En: Díaz-Obregón MC, Gómez-Utrero E, Gudín MA, editores. Avances en epileptología. Madrid: Grupo Aula Médica, S.A., 2000; 131-144.
Rasmussen BK, Olesen J. Epidemiology of migraine and tension type headache. Curr Opin Neurol 1994; 7: 264-271.
Smeyers P. Tratamiento profiláctico-preventivo de las cefaleas infantiles. Rev Neurol Clin 2001; 2: 320-334.
Téllez de Meneses M, Pitarcch I. Morbilidad y factores epidemiológicos de las cefaleas en la infancia. Rev Neurol Clin 2001; 2: 255-262.
Tepper SJ, Rapoport AM. Triptanes. CNS Drugs 1999; 12: 403-419.
Ueberall MA, Wenzel D. Intranasal sumatriptan for the acute treatment of migraine in children. Neurology 1999; 52: 1507-1510.











