Introducción: La resección endoscópica de la mucosa (REM) se desarrolló con el propósito de preservar la función gastrointestinal íntegra, después de resecar una lesión en la mucosa del aparato digestivo. El objetivo del este estudio fue evaluar la eficacia de la sangre autóloga, ácido hialurónico, glicerol, metilcelulosa y solución salina (SS) 0.9%, en la elevación submucosa en modelos animales vivos. Buscando como eficacia evaluar los cambios histológicos a las 24 horas, tres y siete días, posterior a la elevación submucosa, además del tiempo de duración de la elevación y el tamaño de la elevación alcanzado con cada solución.
Material y métodos: Se realizó un estudio experimental, comparativo, abierto, prospectivo, longitudinal. Se trabajo con 10 cerdos criollos con peso entre 16-25 Kg, obtenidos por el bioterio del hospital. Entre enero del 2013 y junio del 2013.
Resultados: Se completó el procedimiento en 10 cerdos criollos con peso entre 16-25 Kg. La sangre autóloga mantuvo mayor tiempo la elevación, además de una mayor altura de elevación. La glicerina presentó el menor tiempo de duración de la elevación, así como altura de la misma. No se presentaron complicaciones transendoscópicas, ni postendoscópicas.
Conclusiones: La sangre entera autóloga fue superior para facilitar la elevación submucosa y el tiempo de la elevación, en comparación con la solución fisiológica, glicerol, ácido hialurónico y metilcelulosa, sin presentar datos de reacción inflamatoria.
Background: Endoscopic mucosal resection (EMR) was developed with the purpose of preserving the full gastrointestinal function after resection of a lesion in the gastrointestinal mucosa. The objective of this study was to evaluate the efficacy of autologous blood, hyaluronic acid, glycerol, methylcellulose and 0.9% saline, in elevation submucosa in live animal models.
Material and methods: We performed a pilot study, comparative, open, prospective, longitudinal. We worked with 10 pigs weighing between 16-25 kg, obtained from the animal facility of the hospital. Between January 2013 and June 2013.
Results: The procedure was completed in 10 pigs weighing between 16-25 Kg. Autologous blood remained elevated as long as the addition of increased lift height. The glycerin present in the shortest time duration of elevation and height thereof. No complications were reported.
Conclusions: Autologous whole blood was superior to facilitate lifting and submucosa lifting time, compared with saline, glycerol, hyaluronic acid and methylcellulose, with no inflammatory reaction data.
Introducción
El desarrollo de nuevas técnicas endoscópicas ha revolucionado el manejo mínimamente invasivo del cáncer en etapa temprana del tracto gastrointestinal.1
La resección endoscópica de la mucosa (REM) se desarrolló con el propósito de preservar la función gastrointestinal íntegra después de resecar una lesión en la mucosa del aparato digestivo, además de obtener especímenes más grandes que permitieran un diagnóstico histopatológico preciso.2 En Japón se han desarrollado diversas técnicas para la resección endoscópica que se dividen en tres modalidades: REM con endoscopio de doble canal, REM por aspiración y disección endoscópica de la submucosa (DESM).3
La primera técnica desarrollada fue la REM con endoscopio de doble canal. En 1980 Takekoshi, desarrolló un método denominado polipectomía endoscópica con doble asa ("EDSP", por sus siglas en inglés). En 1984 el Dr. Tada aplicó una técnica, la más difundida en todo el mundo, denominada biopsia por denudación ("strip biopsy") o "inyectar, elevar y cortar". Para realizarla, se inyecta solución salina en la lesión para elevarla y hacerla susceptible de corte con un asa de polipectomía.4 Debido a la relativa sencillez de las técnicas con inyección de solución salina y epinefrina para elevar las lesiones y hacerlas susceptibles de corte por técnicas de resección endoscópica como la biopsia por denudación y la REM por aspiración con ligas, su uso se ha globalizado a lo largo de 30 años.5-7
El tipo de solución empleada para la infiltración submucosa desempeña un papel importante en la prevención de complicaciones, la solución ideal debe a su vez producir una elevación hemisférica, de larga duración lo suficientemente alta para realizar un corte seguro, permitiendo una adecuada separación de la muscularis propia, sin causar daño al tejido, además de ser de bajo costo. 8-11
Con este propósito se han empleado diversas soluciones:
Solución salina (SS). Hasta la fecha se mantiene como el estándar de referencia, es segura, barata y muy accesible; se emplea al 0.9% con o sin epinefrina, su principal limitante es la dificultad para mantener la elevación durante tiempo prolongado debido a su rápida absorción, necesitándose múltiples infiltraciones lo cual interfiere con la adecuada observación del corte inicial que delimita el margen de la lesión y orienta la dirección del corte. 12
Glycerol (Glyceol, Chungai Pharmaceutical Co. Tokio, Japan). Es una solución hipertónica compuesta por glicerina al 10% y fructuosa al 5%. Se ha utilizado en el tratamiento del edema cerebral, sin haberse registrado hasta el momento toxicidad sistémica. Torii en 1995 describe por primera vez su uso en 24 pacientes con cáncer gástrico temprano tratados con REM, sin embargo ninguna investigación fue llevada a cabo sobre la eficacia de esta solución.13
Debido a que es relativamente económico y fácilmente disponible, algunos autores lo consideran superior a la SS.
Ácido hialurónico. Es un tipo de glicosaminoglicano presente en el tejido conectivo, posee alta viscosidad y capacidad de retener agua sin tener efectos antigénicos o tóxicos en el humano. Las indicaciones probadas para su uso son en inyecciones intraarticulares para osteoartritis y cirugía ocular. Su inyección submucosa crea una protrusión más prominente y duradera que usando SS. También retiene localmente la adrenalina y es inocua en los tejidos debido a su isotonicidad, comparado con soluciones hipertónicas como la glucosa al 50% y el glicerol. Su desventaja es el alto costo, requerimientos especiales de almacenamiento y no estar ampliamente disponible.14
Metilcelulosa. La hidroxipropilmetilcelulosa, es un derivado de la celulosa con propiedades viscoelásticas, se utiliza por los oftalmólogos para crear lágrimas artificiales. Feitoza (2003) demostró la larga duración y elevación de la mucosa en modelo porcino vivo con mínima reacción tisular.15 La metilcelulosa es barata y de fácil acceso, su principal limitante es que es un producto sintético que podría conducir a reacciones alérgicas. Aún faltan estudios en fase preclínica para establecer la seguridad del producto.
Fibrinógeno. Lee en 2005 describió a la mezcla de fibrinógeno como una solución viscosa que produce una elevación submucosa por largo tiempo, pero que además tiene el efecto de la hemostasia microvascular, de esta forma se consigue un campo visual claro durante la RME. La solución se inyecta con una jeringa de 10 mL y una aguja. La mixtura de fibrinógeno fue hecha mezclando 4 componentes: 1 g de fibrinógeno (9 mL de mixtura), 50 mL de SS normal, 0.5 mL de índigo carmín y 0.5 mL de adrenalina 1:1 000. Debido a que se produce por fragmentación de proteínas de la coagulación en el suero humano, la contaminación por hepatitis u otros virus es posible, por lo que en la actualidad su empleo es limitado.16
Dextrosa. Es una solución hipertónica que produce una elevación submucosa superior a la solución fisiológica; es barata, fácilmente disponible, se ha asociado a daño tisular cuando se usa en concentraciones superiores al 20%, lo que podría afectar la cicatrización posterior de la úlcera.17
Sangre entera y sus componentes. Al-Taie 2012 investigó la eficacia de diferentes componentes sanguíneos en comparación con otras soluciones en fragmentos de 5 x 5 cm de estómago porcino resecado, demostrando la superioridad de la sangre entera en la duración de la elevación submucosa.
Se han realizado algunos estudios comparativos con diferentes soluciones y objetivos, entre estos: Yamamoto y colaboradores en 1999, comparó la eficacia del ácido hialurónico contra la SS isotónica en mantener la elevación submucosa (en fragmentos de estómago de cerdos ex vivo), demostrando la superioridad del ácido hialurónico al crear una protrusión más prominente y de mayor duración.18 Más tarde Conio en 2002, investigó el rendimiento de cinco soluciones (SS normal, SS con epinefrina, dextrosa al 10%, glicerina 10% y ácido hialurónico) en la realización del cojín submucoso en 25 cerdos, demostrando la superioridad del ácido hialurónico en la elevación submucosa.19 Posteriormente, Fujishiro en 2005 evaluó el daño potencial de las soluciones empleadas en la RME. Las soluciones examinadas fueron solución salina isotónica, glicerol, ácido hialurónico, dextrosa (10%, 20%, 30%, 40%). Se emplearon cuatro cerdos para el estudio. Se inyectaron 2 cc de cada solución en el estómago de cada cerdo, dos cerdos fueron sacrificados a los 30 minutos y dos a la semana de la inyección, la dextrosa presentó la mayor reacción tisular y daño al tejido, por lo que en concentraciones superiores al 20% no es recomendable.20 En 2005, Uraoka comparó la efectividad del glicerol contra SS isotónica en resección en bloque en 110 pacientes con lesiones en colon y recto, encontrando mayor porcentaje de resección completa 63.3% con el empleo del glicerol contra 48% con el empleo de SS 0.9%, sin diferencia significativa en relación al número de complicaciones.21 Jin en 2006, comparó las propiedades físicas y químicas (viscosidad, osmolaridad), así como la elevación submucosa; del manitol, metilcelulosa, ácido hialurónico y fibrinógeno. Encontrando correlación entre la duración de la elevación submucosa y la viscosidad.22 Para el 2009, Bures evalúa los cambios histológicos e inmunológicos en 21 cerdos después de la REM con el empleo de glicerol e hidroximetilcelulosa. Evidenciando una mayor migración de linfocitos T CD4, lo que se asoció a una cicatrización más rápida.23 Polymeros (2010) evalúa el efecto del polietilenglicol y el polivinilalcohol, comparándolos con el ácido hialurónico y la solución fisiológica en fragmentos de estómago de cerdos ex vivo. No encontrando diferencias significativas en cuanto a duración de la elevación submucosa.24 Finalmente, Al-Taie en 2012 evalúa la eficacia de diferentes soluciones (SS, ácido hialurónico, glicerol, hidroximetilcelulosa) y componentes sanguíneos (sangre entera, suero, plasma) en fragmentos de 5 x 5 cm de estómago porcino resecado, demostrando la superioridad de la sangre entera en la duración de la elevación submucosa.25
El objetivo del este estudio fue evaluar la eficacia de la sangre autóloga, ácido hialurónico, glicerol, metilcelulosa y SS 0.9%, en la elevación submucosa en modelos animales vivos. Buscando como eficacia evaluar los cambios histológicos a las 24 horas, tres y siete días, posterior a la elevación submucosa, además del tiempo de duración de la elevación y el tamaño de la elevación alcanzado con cada solución.
Materiales y métodos
Se realizó un estudio experimental, comparativo, abierto, prospectivo, longitudinal. Se trabajo con 10 cerdos criollos con peso entre 16-25 Kg, obtenidos por el bioterio del hospital, entre enero del 2013 y junio del 2013. Considerando una diferencia de las medias a detectar en la elevación de la mucosa de 1 mm a los 60 min entre la sangre y las demás soluciones. Con una desviación estándar de 0.4 nivel de confianza del 95% y una potencia de 80%, se calculó una muestra de cuatro cerdos por grupo, en cada cerdo se aplicaron las cinco soluciones. Sin embargo, se realizaron en 10 cerdos.
Se dividieron en cinco grupos: grupo 1, sangre; grupo 2, ácido hialurónico; grupo 3, metilcelulosa; grupo 4, glicerina; grupo 5, SS 0.9%.
Los criterios de inclusión: cerdos criollos con peso entre 16-25 Kg, de cualquier sexo. Criterios de exclusión: cerdos que tengan residuo alimenticio en la cavidad gástrica que impida la adecuada visualización de la totalidad de la mucosa. Criterios de eliminación: muerte transendoscópica por complicaciones anestésicas.
Procedimiento: panendoscopia mas inyección submucosa. Los animales fueron inducidos con una combinación de tiletamina zolazepam (4.4 mg/Kg IM) y xilazina (2.2 mg/kg IM), una vez sedados fueron sometidos a intubación endotraqueal para el paso de oxígeno y posterior paso de isofluorano al 3% para su inducción y al 2% para el mantenimiento de la anestesia general. Previo protocolo de desinfección de equipo de endoscopia, al puerco se le realizó una endoscopia superior empleando un endoscopio estándar de 9 mm de diámetro con un canal de trabajo de 2.8 mm marca Olympus®. Una vez aspirado el contenido gástrico se aplicó dimeticona en la cavidad gástrica con un irrigador. Se seleccionó el sitio de punción en el cuerpo gástrico marcándose con azul de metileno. Se infiltró la submucosa en sentido horario con una separación de 3 cm entre cada solución con, 2 cc de sangre entera, 2 cc de ácido hialurónico, 2 cc metilcelulosa, 2 cc de glicerol y por último, 2 cc de SS isotónica (el orden de las soluciones fue aleatorio mediante un programa de números aleatorios asignado por computadora). Se tomaron medidas de elevación de cada sustancia, además de tiempo de duración de la elevación, cronometrado hasta desaparecer. Se tomaron los datos en una hoja de captura de datos para posterior análisis estadístico. Al término del procedimiento endoscópico se verificarán signos vitales, se extrajo la sonda endotraqueal y se colocó la mascarilla para el paso de oxígeno. Una vez recuperado el animal se retiró la venoclisis y se administraron por vía intramuscular meglumina de flunixin (2 mg/Kg) y al día siguiente enrofloxacina (2.5-5 mg/Kg).
Medidas pre-endoscópicas
• Ayuno de 12 horas previas al procedimiento endoscópico.
• Canalizar 60 minutos previos a la endoscopia con solución fisiológica 500 cc para mantener vena permeable.
• Dosis profiláctica de antibiótico (enrofloxacina 2.5-5 mg/Kg IM) 30 minutos previo al procedimiento endoscópico.
Seguimiento: los animales serán evaluados diariamente por un veterinario y el investigador principal, se registrará en su expediente su evolución (fiebre, pérdida del apetito, distención abdominal) y se modificarán las indicaciones veterinarias y médicas de acuerdo a la evolución del animal.
Eutanasia: los animales serán sacrificados a las 24 horas, 72 horas y a siete días empleando pentobarbital sódico 90-210 mg/Kg IV (previa sedación). El estómago será enviado a patología para análisis histológico. Los cadáveres generados fueron manejados conforme a la NOM-087-ECOL-SSA1-2002 depositándose en bolsas color amarillo, las que fueron trasladas por el personal encargado al depósito temporal de desechos del hospital. Este trabajo fue aceptado por el comité de bioética del Hospital General "Dr. Manuel Gea González".
Resultados
Se completó el procedimiento en 10 cerdos criollos con peso entre 16-25 Kg, sin complicaciones transendoscópicas, ni postendoscópicas, ni referentes a la anestesia. Se logró realizar la inyección submucosa de las cinco sustancias en todos los cerdos. Se cronometró el tiempo que se mantuvo la elevación en de cada sustancia y se registraron en una base de datos. Además, se midió la máxima elevación alcanzada con cada sustancia con el "software image J" de la National Healt Institute (NHI) y se registraron en la base de datos.
Se encontró que la sangre autóloga mantuvo mayor tiempo la elevación, además de una mayor altura de elevación. La glicerina presentó el menor tiempo de duración de la elevación, así como altura de la misma. La metilcelulosa y el ácido hialurónico presentaron un tiempo similar de duración de la elevación. En la tabla 1 se encuentran los resultados completos de todos los cerdos.
Se realizó análisis de varianza para duración y altura máxima, siendo estadísticamente significativo (p=0.00), la sangre contra las demás sustancias (Tabla 2).
De los 10 cerdos, cuatro cerdos se sacrificaron a las 24 horas de realizado el procedimiento, tres cerdos a los tres días y tres cerdos a los siete días, y se envío la pieza (estómago) para análisis histológico.
El Servicio de Anatomía Patológica del hospital revisó las piezas enviadas en los diferentes días, encontrando los siguientes resultados:
Reporte histopatológico
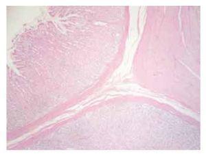
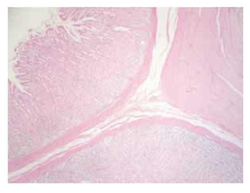
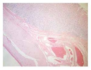
Descripción microscópica: cambios histológicos observados en la región fúndica y antral del modelo porcino a las 24 horas y a los tres días postinyección endoscópica de cinco soluciones (Figuras 1 y 2).
Figura 1. Cuadrantes con ácido hialurónico, glicerol, solución salina 0.9% y sangre. Submucosa con marcada rarefacción y edema, además de escasos elementos inflamatorios no específicos y fibroblastos.
Figura 2. Cuadrante con metilcelulosa. Presencia de focos de inflamación granulomatosa a nivel submucoso.
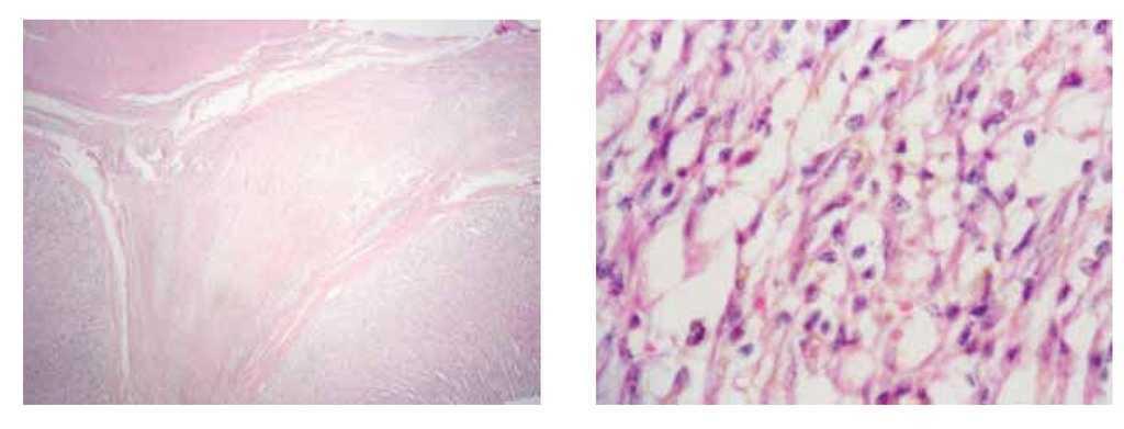
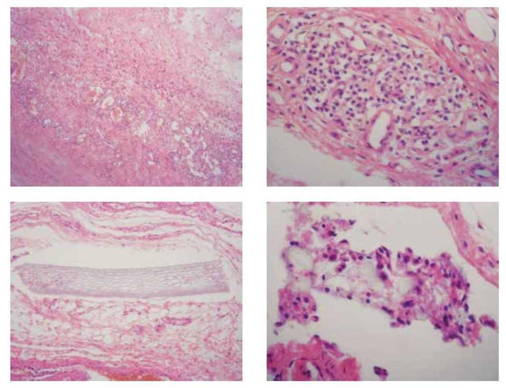
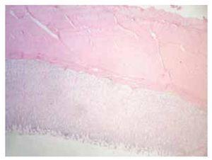
Descripción microscópica: cambios histológicos observados en la región fúndica y antral del modelo porcino a los siete días de la inyección endoscópica de cinco soluciones (Figuras 3 a 7). Hallazgos patológicos adicionales: gastritis folicular con actividad leve asociada a Helicobacter pylori, sin atrofia ni metaplasia intestinal.
Figura 3. Cuadrante con glicerina: ausencia de reacción inflamatoria.
Figura 4. Cuadrante con sangre: ausencia de reacción inflamatoria.
Figura 5. Cuadrante con metilcelulosa: presencia de reacción granulomatosa a nivel submucoso.
Figura 6. Cuadrante con solución salina 0.9%: ausencia de reacción inflamatoria.
Figura 7. Cuadrante con ácido hialurónico: ausencia de reacción inflamatoria.
Discusión
En el tracto gastrointestinal, la mucosa y la capa muscular tienen diferente origen embriológico, estando unidas por un tejido conectivo laxo de la submucosa y pueden ser fácilmente separados por una fuerza externa.
Así, mediante la inyección submucosa de ciertos materiales, se puede "separar" o "elevar" la lesión haciendo más fácil y segura la escisión de la mucosa, evitando comprometer la capa muscular y la perforación. Para este propósito, la SS normal es ampliamente usada debido a su simplicidad, bajo costo y disponibilidad. Sin embargo, la elevación de la mucosa creada por la inyección submucosa de la SS normal es mantenida por solo un corto periodo de tiempo durante el procedimiento. Por lo cual, se requieren múltiples inyecciones durante los procedimientos de resección para mantener una adecuada elevación. En este estudio se repite lo antes mencionado en la literatura, al presentar el menor tiempo de elevación, así como ser simple, de bajo costo y disponible.
Por lo que, otras sustancias tales como el glicerina, hidroxipropil metilcelulosa, ácido hialurónico, han sido probados para la creación de una "almohadilla" submucosa más duradera. Las elevaciones mucosas creadas por estos nuevos materiales, debido a su viscosidad, persisten por periodos más largos de tiempo que la SS y por tanto, definen mejor los límites de la lesión. En este trabajo se presentó mayor tiempo de duración la elevación con metilcelulosa y con el ácido hialurónico comparados con la SS, a excepción de la glicerina.
Los resultados experimentales ex vivo han demostrado que la sangre entera autóloga y sus componentes podrían ser una alternativa económica, segura y superior para facilitar la elevación submucosa, sin embargo no se han realizado aún estudios para evaluar su seguridad en modelos vivos. En este estudio con modelo porcino vivo se encuentra mayor tiempo de duración y altura de la elevación de la mucosa y sin presentar datos de respuesta inflamatoria.
En este estudio a pesar de que la metilcelulosa fue la segunda sustancia con mayor tiempo en permanecer la elevación, también es la sustancia con mayor reacción inflamatoria, siendo la sangre autóloga la que presente mayor duración, elevación y sin respuesta inflamatoria a las 24 horas, tres días, ni siete días.
En conclusión la sangre entera autóloga fue superior para facilitar la elevación submucosa y el tiempo de la elevación, en comparación con la solución fisiológica, glicerol, ácido hialurónico y metilcelulosa, sin presentar datos de reacción inflamatoria. La metilcelulosa a pesar de formar una adecuada elevación y tiempo de elevación, fue la única sustancia en producir respuesta inflamatoria, lo que pueda afectar los procedimientos de cicatrización posteriores a la disección de mucosa endoscópica. Se necesitan más estudios prospectivos en modelo vivo, además de transpolar este estudio a la disección de mucosa endoscópica con las diferentes sustancias.
Conflicto de intereses
Los autores declaran no tener ningún conflicto de intereses.
Financiamiento
No se recibió patrocinio para llevar a cabo este artículo.
Correspondencia:
Dr. José Manuel Morales Vargas.
Calzada de Tlalpan N° 4800, Sección XVI,
Delegación Tlalpan, C.P. 14370, México D.F., México.
Correo electrónico: drmanuelmorales@hotmail.com










