Objetivo. Mejora de la movilidad del codo asistida por artroscopia. La planificación de la intervención quirúrgica requiere, además de la anamnesis, un amplio diagnóstico preoperatorio mediante radiografías, TAC y RMI.
Indicaciones. Déficit en extensión < 30º y/o déficit en flexión de máximo 100º, junto con una causa intraarticular de la limitación de la movilidad (por ejemplo, cuerpos articulares libres, osteofitos o contractura capsular).
Contraindicaciones. Déficit en extensión > 30º y causas extraarticulares de la limitación de la movilidad (por ejemplo, osificaciones heterotópicas). Irritaciones nerviosas o superficies articulares incongruentes, infección aguda de la articulación.
Técnica quirúrgica. Posición en decúbito prono, relleno de la articulación con lactato de Ringer. Artroscopia del compartimento anterior y posterior. Sinovialectomía parcial y desbridamiento, así como liberación capsular, resección de osteofitos y extracción de cuerpos articulares libres.
Tratamiento postoperatorio. Ejercicios intensivos de fisioterapia, férula de movilización de codo. Anestesia del plexo y administración de antiflogísticos no esteroides.
Resultados. Se realizó un seguimiento posterior durante un periodo medio de 15,4 meses a un total de 29 pacientes sometidos a una artrolisis artroscopia del codo. La extensión del codo mejoró de 23º en el preoperatorio a 5º en el postoperatorio. La flexión aumentó de 115º en el preoperatorio a 131º en el postoperatorio. El rango de movilidad del codo aumentó, por tanto, 34º. No se observaron lesiones neurológicas ni vasculares. No aparecieron infecciones peri ni postoperatorias. En un caso se produjo una recidiva, para la que fue necesario realizar una nueva artroscopia. La satisfacción de los pacientes con el resultado fue de 8,9 puntos en la escala análoga visual (VAS). El índice Mayo de la funcionalidad del codo fue de 92,9 puntos de media (70-100 puntos; SD 7,0).
Redacción
M. Hessmann, Fulda
Ilustraciones
R. Himmelhan, Heidelberg
Introducción
Un déficit de movimiento del codo no solo puede afectar significativamente la función de la mano, sino también repercutir en la función de palanca del brazo9. Según Morrey, el 90% de las actividades de la vida diaria se pueden realizar con un rango de movimiento de 100º de la articulación húmero-ulnar. El sistema de determinación denominado «método del cero neutro» indica un rango de movimiento de 0-30-130º, así como de 50º en pronación y supinación respectivamente5. El déficit en extensión del codo se puede compensar más fácilmente con la movilidad del hombro que el déficit en flexión8. Los pacientes que practican deporte son los que, precisamente, menos toleran a largo plazo pequeñas limitaciones en el movimiento del codo3,7.
En cuanto a las causas de rigidez del codo, se diferencia entre causas intraarticulares y extraarticulares, aunque con frecuencia aparece también una mezcla de ambas (tabla 1). En la rigidez del codo por causas intraarticulares está indicado realizar una artrolisis artroscópica7,10.
La limitación funcional del codo se traduce en un déficit en extensión y/o en flexión. El déficit en flexión puede ser debido a la presencia de osteofitos en la zona del húmero anterior o del proceso coronoides, o bien a cuerpos libres en el compartimento anterior, así como a adherencias masivas en la zona de la fosa olecraniana (fig. 1).
Fig. 1 Representación de las causas del déficit en flexión. En el compartimento anterior existen cuerpos libres articulares y/o osteofitos, y en el compartimento posterior son frecuentes adhesiones en la zona de la fosa olecraniana.
En el déficit en extensión a menudo se encuentran cuerpos libres articulares, formaciones osteofíticas en la zona del olécranon o incluso una fibrosis capsular en la zona de flexión (fig. 2).
Fig. 2 Representación de las causas de un déficit en extensión. En el lado de flexión puede ser causado por una fibrosis capsular; en el lado de extensión existen cuerpos libres articulares y osteofitos.
Para determinar el tratamiento terapéutico, así como para indicar una artrolisis artroscópica, se requiere una valoración conjunta de los resultados de la anamnesis, del diagnóstico y de la amplitud de movimiento funcional. En función de ello, en nuestra clínica clasificamos las rigideces de codo en dos tipos (tabla 2).
En los casos de rigidez de codo de tipo II damos la indicación de realizar una artrolisis artroscópica, mientras que en los casos de rigidez de tipo I se realiza la artrolisis abierta. En caso de una patología combinada de tipo I y II, el procedimiento quirúrgico se debe planificar para cada caso en función de la causa patológica y tomar una decisión conjunta con el paciente.
Principio y objetivo de la intervención
Mejora de la movilidad de la articulación del codo mediante artrolisis artroscópica con sinovialectomía parcial, desbridamiento y capsulotomía en el compartimento anterior y posterior. Resección de patologías asociadas intraarticulares para la mejora de la capacidad de extensión y de flexión.
Ventajas
- Procedimiento poco invasivo.
- No daña las partes blandas ni el tejido.
- Tasas de complicación reducidas en el procedimiento estándar.
- Menos dolores postoperatorios en comparación con la artrolisis abierta.
- Buen resultado cosmético.
Desventajas
- Procedimiento técnicamente complejo.
- Indicaciones limitadas.
- Desventajas generales de un procedimiento quirúrgico.
Indicaciones
- Déficit en extensión hasta 30º.
- Flexión mínima de 100º.
- Combinación de déficit en flexión y en extensión ante pronación y supinación ligeramente limitadas.
- Causas intraarticulares: cuerpos libres articulares, osteofitos o contractura capsular.
Contraindicaciones
- Causas extraarticulares, por ejemplo, osificaciones heterotópicas.
- Superficies articulares incongruentes.
- Lesión nerviosa del nervio ulnar (en este caso, se debería realizar una descompresión, así como una neurolisis. En función de la génesis, también puede resultar necesaria una transposición).
- Infección articular aguda.
Información para el paciente
- Riesgos quirúrgicos generales.
- Riesgos especiales: lesión de vasos sanguíneos y de nervios por la realización del portal (portal anteroradial: nervio radial; portal anteroulnar: nervio mediano; portal transtendinoso: nervio ulnar).
- Fístula persistente en la zona del portal.
- Limitación de la movilidad persistente.
- Programa de rehabilitación: fisioterapia intensiva a partir del primer día postoperatorio, catéter en plexo.
Preparación de la intervención
- En la fase preoperatoria: anamnesis y examen del rango de movimiento.
- Documentación del movimiento y de la sensibilidad de los nervios ulnar, radial y mediano verificando los miotomas y las áreas sensibles.
- Verificación de la vascularización periférica.
- Diagnóstico radiológico estándar: radiografías del codo en dos planos (fig.3).
Fig. 3 a, b) Vista general sobre el diagnóstico radiológico preoperatorio. En la radiografía estándar de la articulación del codo se observan cambios óseos, incongruencia articular, presencia de osteofitos y cuerpos libres articulares.
- Diagnóstico radiológico ampliado en caso de dudas especiales: tomografía por resonancia magnética, por ejemplo, para comprobar la presencia de cuerpos libres articulares (fig. 4a).
- Tomografía computarizada, por ejemplo, para la valoración de las superficies articulares y la localización de osteofitos (fig. 4b).
Fig. 4 a) En la imagen de la RMI se observan osteofitos en la zona del húmero anterior. b) El control mediante TAC muestra la magnitud y la localización de las formaciones osteofíticas.
- Afeitado de la zona a operar.
- Marcado de las referencias anatómicas y de los portales.
- Profilaxis antibiótica preoperatoria una hora antes de la intervención (cefuroxima de 1,5 g intravenosa en una dosis única).
Instrumental
- Artroscopio con cámara de alta resolución (4 mm, ángulo de visión 30º, Karl Storz, Tuttlingen, Alemania).
- Cable de luz y sistema de documentación.
- Trocar con entrada y salida de agua.
- Resector sinovial motorizado (diámetro 3,5-4,5 mm, Karl Storz, Tuttlingen, Alemania).
- Fresa de bola motorizada (diámetro 4,2 mm, Karl Storz, Tuttlingen, Alemania).
- Cincel Lambotte.
- Cuchara afilada.
- Pinza de agarre.
Anestesia y posición del paciente
- Anestesia general combinada con un catéter en el plexo.
- Posición del paciente: decúbito prono, brazo abducido a 90º apoyado sobre un rodillo, antebrazo colgando hacia abajo, codo en flexión de 90º (no deberá estar comprimido) (fig. 5). Ventajas frente a la posición en decúbito supino: buena accesibilidad a las zonas articulares dorsales, posición estable del brazo, distracción del antebrazo por su propio peso.
Fig. 5 Representación de la posición del paciente en decúbito prono. El brazo en abducción de 90º se posiciona sobre un rodillo, el antebrazo cuelga hacia abajo y el codo está flexionado a 90º. Además, se aplicará una isquemia neumática.
- El cirujano está sentado delante de la articulación del codo.
- Isquemia.
Técnicas quirúrgicas (Figs. 6-15)
Fig. 6 Para evitar lesiones nerviosas es necesario el posicionamiento exacto de las vías de abordaje. En primer lugar se palpan y se marcan los puntos de referencia anatómicos: el epicóndilo medial, el epicóndilo lateral y el olécranon, así como el recorrido del nervio ulnar. Tras una dilución suficiente de la articulación del codo, se realizan los abordajes mediante el procedimiento estándar. Después de palpar las referencias anatómicas se realiza una incisión cutánea a la altura del abordaje marcado anteriormente. Con una pinza pequeña se lleva a cabo la separación roma del tejido subcutáneo y se puede introducir el artroscopio. Para la artrolisis artroscópica del codo se realizan cuatro abordajes artroscópicos. Para la valoración del compartimento anterior del codo se requiere un portal anteroradial, así como un portal anteroulnar. La artroscopia en el compartimento articular dorsal se realiza a través de un abordaje posterorradial y uno transtendinoso. a) El abordaje anteroradial se encuentra aproximadamente a 1-2 cm distal y a 1-2 cm anterior del epicóndilo lateral, directamente proximal delante de la cabeza palpable del radio. En la proximidad inmediata del portal transcurren dos nervios: el nervio cutáneo antebraquial posterior y el nervio radial. b) El portal anteroulnar se posiciona a 1-2 cm delante y a 1-2 cm distal del epicóndilo medial palpable. En esta misma zona transcurre el nervio cutáneo antebraquial medial, y en la profundidad se encuentra el nervio mediano. Este portal se realiza mediante la técnica de tornillos canulados (Fig. 9), de modo que el punto de inserción óptimo para los demás instrumentos se puede elegir bajo visión artroscópica. c) El abordaje posteroradial se posiciona a 1 cm proximal de la punta del olécranon directamente lateral al tendón del tríceps, y a la misma altura se perfora el centro exacto del tendón del tríceps y se ubica el portal transtendinoso.
Fig. 7 Debido a la proximidad entre los portales y las estructuras neurovasculares, se deberá prestar especial atención a la continua distensión de la articulación durante la intervención. a) En primer lugar, se rellena la articulación del codo con una solución de Ringer realizando una punción transtendinosa con una aguja canulada, para lo que se usará una jeringa estéril de 20 ml. b) Una vez la articulación tenga el relleno suficiente, se tapará la aguja para evitar la salida de la solución de Ringer. c) La ubicación del abordaje anteroradial se realizará a través de una pequeña incisión cutánea de 5 mm de longitud con el bisturí (cuchilla de 15) por encima de la referencia anatómica palpada y marcada previamente. A continuación se retrae con cuidado el tejido subcutáneo con una pinza pequeña. d) El trocar romo se introduce a través del abordaje anteroradial y se orienta en dirección al epicóndilo medial.
Fig. 8 a) Mediante un artroscopio estándar (ángulo visual de 30º) es posible visualizar el compartimento anterior. Primero se observa el húmero distal (1), la cabeza del radio (2) y el tejido sinovial (3). b) A continuación se desplaza el artroscopio más hacia el interior del compartimento anterior. Aquí se pueden observar la tróclea humeral (1), el proceso coronoides (2) y el tejido sinovial (3). Con frecuencia se observan osteofitos (4) en la zona del húmero anterior, así como cuerpos articulares libres (5).
Fig. 9 La perforación del abordaje anteroulnar se realiza mediante una aguja canulada. a) Bajo visión artroscópica desde anteroradial se realiza en primer lugar la punción con la aguja en el portal anteriormente marcado. b) Si la aguja está correctamente posicionada, tras la incisión cutánea se procederá al corte romo con tijeras del tejido subcutáneo y de la cápsula. c) A través de este portal se introducirá a continuación un resector sinovial motorizado. A través del portal anteroulnar se puede quitar la membrana sinovial inflamada.
Fig. 10 Después de la sinovialectomía se extraen los cuerpos articulares libres. Según el tamaño de estos cuerpos, la extracción se realizará mediante pinzas o un resector sinovial.
Fig. 11 a, b) Los osteofitos en la zona del proceso coronario se extraen con un cincel Lambotte. c) Los fragmentos osteocondriales se extraen de la articulación con una pinza de agarre. d) El proceso coronoides remanente se alisa con el resector sinovial o una fresa de bola (no representado en la imagen).
Fig. 12 Las formaciones osteofíticas del borde del húmero anterior se pueden extraer progresivamente con una fresa de bola.
Fig. 13 Para finalizar, se verifica la amplitud de movimiento del codo. En caso de déficit en flexión remanente se puede realizar una liberación capsular en el compartimento anterior bajo control artroscópico. La cápsula se separa con precaución de sus inserciones en el húmero distal mediante el resector sinovial. Como alternativa se puede utilizar también un raspador.
Fig. 14 La artroscopia en el compartimento posterior se inicia con la realización del abordaje dorsorradial y del abordaje transtendinoso desde el cual se introducirán los instrumentos (Figs. 6c). En el ángulo visual de la cámara por encima del portal posteroradial se encuentran la punta del olécranon y la fosa olecraniana. a) Con frecuencia existen adherencias masivas en la zona de la fosa olecraniana, que se separan con un resector sinovial y se extraen. b) En los casos con graves limitaciones de movimiento se puede realizar también una cirugía de la fosa con una fresa para hueso (no se representa en la imagen). Mediante esta cirugía se extraen las formaciones óseas molestas, así como formaciones osteofíticas en la zona de la fosa olecraniana, hasta que se restituye la libre movilidad entre el olécranon y la fosa olecraniana.
Fig. 15 a) Las formaciones osteofíticas en la zona del olécranon se extraen mediante un pequeño cincel Lambotte (5-6 mm) a través del portal transtendinoso. b) Después de haber desprendido los osteofitos, estos se extraen con una pinza de agarre. Para que la unión sea suave, se puede alisar la zona con un resector sinovial. Para finalizar, se verificará y documentará el rango de movimiento, se introducirá un drenaje de Redon en la articulación y se cerrarán los abordajes mediante una sutura de punto simple.
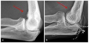
Fig. 16 Para la documentación de los resultados de la intervención quirúrgica se realiza un control radiológico en dos planos del codo antes del alta del paciente. a, b) Se pudieron extraer los osteofitos humerales presentes en el preoperatorio (flechas).
Tratamiento postoperatorio Vendaje compresivo
- Cambio de vendaje el primer día postoperatorio.
- Extracción del drenaje de Redon el primer día postoperatorio.
- Vendaje adhesivo hasta la cicatrización de la herida.
- Extracción de los hilos el décimo día postoperatorio.
Fisioterapia
- Ejercicios activos y pasivos a partir del primer día postoperatorio.
- Estiramientos isométricos, terapia manual.
- Proseguimiento de la fisioterapia durante seis semanas postoperatorias.
- Aplicación de férula para MPC a partir del primer día postoperatorio durante el periodo del tratamiento estacionario además de la fisioterapia.
- Crioterapia.
Terapia del dolor
- Catéter del plexo hasta el 2.º-4.º día postoperatorio.
- Administración de medicamentos antiflogísticos (Indometacin) con protector de estómago durante 2 semanas postoperatorias.
- Control radiológico postoperatorio en 2 planos (fig. 16).
- Estancia hospitalaria: 2-7 días.
Errores, riesgos y complicaciones
- Dificultades durante el proceso artroscópico: la visibilidad limitada, así como dificultad en el uso de los instrumentos debido a un posicionamiento desfavorable de los portales, la hinchazón de partes blandas y/o la acumulación de líquidos en el tejido subcutáneo a causa de múltiples perforaciones capsulares, provocan la compresión de la cápsula articular y desviaciones de la úvula. En posición de decúbito supino existe poca visibilidad sobre el compartimento dorsal.
- Lesión de vasos sanguíneos o de nervios durante la realización del portal: es importante rellenar suficientemente la articulación del codo con medio de distensión (solución de Ringer) y prestar atención a los puntos de referencia anatómicos. En caso de producirse una lesión de los nervios, se realizará inmediatamente una revisión mediante cirugía abierta. Además de la neurólisis y de la descompresión, también puede resultar necesaria una reconstrucción y/o interposición nerviosa.
- Si durante la incisión transversal para la realización del abordaje transtendinoso se corta el tendón del tríceps, entonces será necesaria una refijación del tendón mediante anclaje óseo o sutura.
- Limitaciones de movimiento: recidivas en caso de fisioterapia insuficiente o de limitaciones de movimiento a causa de una postura que alivie el dolor.
Resultados
Entre abril de 2008 y setiembre de 2010 intervenimos a 29 pacientes (9 m; 20 v; edad media: 40,2 años) mediante una artrolisis artroscópica del codo. Realizamos un seguimiento posterior de todos los pacientes.
En todos los casos se trató de pacientes con una rigidez de codo del tipo II, que se caracteriza por la presencia de microtraumas repetitivos que se producen como consecuencia de una sobrecarga crónica de la articulación. En el control radiológico con frecuencia se observan formaciones osteofíticas o cuerpos articulares libres. En cuanto a la función de la articulación, suelen aparecer limitaciones en la extensión y en la flexión; la pronación y la supinación están solo ligeramente limitadas.
En la fase preoperatoria no había presencia de lesiones neurovasculares.
Todos los pacientes pudieron ser sometidos a un control postoperatorio. Se midieron el rango de movimiento de la articulación del codo, la satisfacción del paciente y el índice Mayo de la funcionalidad del codo4. El tiempo de seguimiento posterior medio fue de 15,4 meses. El tiempo más corto supuso nueve meses, y el más largo, 26 meses.
La extensión mejoró de 23º (mín. 10º, máx. 30º) a 5º (mín. 0º, máx. 15º). La flexión aumentó de 115º a 131º. El rango de movimiento total aumentó de una media de 92º (mín. 85º, máx. 130º) en el preoperatorio a una media de 126º (mín. 90º, máx. 140º) en el postoperatorio.
En el momento del seguimiento posterior, el índice Mayo de la funcionalidad del codo fue de 92,2 puntos (70- 100 puntos; SD 7,0). Se valoraron el dolor, el movimiento, la estabilidad y la funcionalidad (tabla 3). 19 pacientes en total obtuvieron un resultado muy bueno, 9 pacientes uno bueno y en un paciente el resultado fue suficiente.
La satisfacción de los pacientes con el resultado postoperatorio, la mejora de la movilidad del codo y los dolores todavía existentes fue de una media de 8,9 puntos en una escala de 1-10.
No se observaron lesiones neurológicas o vasculares. No aparecieron infecciones perioperatorias o postoperatorias. La única complicación que observamos fue una recidiva temprana en un paciente, que fue sometido inmediatamente a una intervención quirúrgica con la consecuente mejora de la movilidad del codo.
Los resultados que se indican en la literatura tras la realización de una artrolisis artroscópica se han reflejado en la tabla 4.
Conflicto de intereses. El autor del presente trabajo declara que trabaja como asesor para la empresa Karl Storz (W. Petersen).
Correspondencia
Prof. Dr. W. Petersen
Klinik für Orthopädie und Unfallchirurgie,
Martin-Luther-Krankenhaus,
Berlin-Grunewald Caspar-Theyss-Str. 27-31,
14193 Berlín (Alemania)
w.petersen@mlk-berlin.de





















