CASOS CLÍNICOS
Receptores estrogénicos y cáncer de mama en el varón: estudio clinicopatológico de cuatro casos*
Estrogenic receptors and male breast cancer: a clinical and pathological study of four cases
F. J. Vera-Sempere*, M. J. Artes*, J. S. Burgos*, S. Espinosa**, T. Mataix**
* Servicio de Anatomía Patológica.
** Servicio de Cirugía General. Unidad de Patología Mamaria. Hospital Universitario La Fe. Valencia.
Correspondencia:
F. J. Vera-Sempere.
Daoiz y Velarde, 8, 14.
46021 Valencia.
* El presente trabajo fue presentado como comunicación libre oral a la XV Reunión Anual de la Sociedad Española de Senología y Patología Mamaria. Gandía (Valencia), mayo de 1996.
SUMMARY
Male breast cancer is very rare representing about 1% of breast cancer. Various data exist which consider the implication of hormonal factors in the pathogenesis of this entity, but immunohistochemical studies in relation to detect ER in male population are scarce, given its rarity.
From 1992 to 1996 a total of 304 breast cancer cases were diagnosed at our institution, only four of which corresponded to male patients. All tumors revealed after immunohistochemical analysis the presence of ER by means of ERICA method using the MoAb H222Spy. The four cases were infiltrating ductal carcinomas NOS type; malignancy was initially diagnosed in two of them using FNAB.
Immunohistochemical study showed ER+ with histocores ranging between 100 and 300. Among the possible data of prognostic value in these patients, the presence of skin ulceration and lymph node affection is to be noted. Our data, in spite of the very limited number of observations, supports the hypothesis of hormone dependency in breast male cancer.
Palabras clave
Cáncer de mama, Varón, Receptores estrogénicos, Immunohistoquimia.
Key words
Breast cancer, Male, Estrogen receptors, Immunohistochemistry.
INTRODUCCIÓN
El cáncer de mama en el varón es una enfermedad infrecuente que representa aproximadamente el 1% de todos los cánceres mamarios, 1 siendo la tasa estandarizada de mortalidad anual por esta causa en nuestro país de 1,8 muertes por millón de varones en el período 1975-1989, 2 representando menos del 0,1% de todas las muertes atribuibles a enfermedad cancerosa en varones, 3 si bien, al igual que ocurre en la mujer, la existencia de una historia familiar de cáncer mamario parece incrementar este riesgo de dos a cuatro veces. 4
Diferentes datos (asociación con síndrome de Klinefelter, cirrosis, ginecomastia o administración exógena de estrógenos) 5 apuntan a considerar la implicación de factores hormonales en la génesis del cáncer de mama en el varón. Asímismo, la frecuente presencia de niveles elevados de estradiol u otras hormonas estrogénicas en sangre periférica de estos pacientes 6 y la ocasional asociación a procesos tales como parotiditis urliana, 3, 5 criptorquidia 6 o traumatismo testicular con atrofia y secundaria hiperestrogenemia, 3 apoyan esta hipótesis etiopatogénica hormonal. A pesar de ello, y dada la relativa rareza de estos tumores, son escasos los estudios en los que se aborde la detección de receptores hormonales en cánceres de mama en población masculina. 7, 8
En un intento de evaluar esta posible influencia etiopatogénica hormonal nos hemos planteado revisar de forma retrospectiva la presencia de receptores hormonales estrogénicos (RE) en un grupo de cánceres mamarios afectando varones. Para ello hemos revisado un total de 304 cánceres mamarios diagnosticados morfológicamente en el Hospital Universitario La Fe de Valencia en el período 1992-1996, detectando cuatro casos en varones, practicándose en todos ellos una determinación inmunohistoquímica de RE mediante el método ERICA sobre material histológico en congelación.
MATERIAL Y MÉTODOS
Durante el período junio de 1992-junio de 1996 se han diagnosticado 304 casos de cáncer de glándula mamaria, afectando cuatro de ellos a pacientes varones. En dos de ellos el diagnóstico morfológico se obtuvo mediante punción-aspiración con aguja fina (PAAF). En todos ellos se practicó estudio biópsico intraoperatorio mediante cortes de congelación para la confirmación diagnóstica de malignidad. En cortes histológicos seriados se realizó asimismo de forma sistemática estudio inmunohistoquímico para la detección de RE, empleando un método ERICA mediante la utilización del anticuerpo monoclonal H222Spy (Abbot®), determinando el histore hormonal, utilizando la formula HS = (i + 1) * % células marcadas de acuerdo con la metodología propuesta por McCarty et al (1986) 9 en todos ellos. En uno de los casos también se dispuso de la determinación cuantitativa de REn mediante el método del carbón-dextrano (DCC). 10
Se revisó de forma retrospectiva las historias clínicas de estos pacientes, recopilando los datos referentes a antecedentes anamnésicos, exploración física, radiología, tratamiento efectuado y seguimiento clínico. Todos los pacientes fueron estadiados de acuerdo con el esquema de la UICC. 11 Se evaluaron de forma conjunta los especímenes biópsicos obtenidos en la cirugía, determinándose el tipo histológico de acuerdo con la clasificación de la OMS (1980), 12 el índice de Scarff-Bloom, 13, 14 así como la afectación axilar por niveles y diversos datos clinicopatológicos tales como la infiltracción de piel y/o pezón, infiltración de vasos linfáticos locales y dérmicos, infiltración vascular, bordes tumorales (expansivos/infiltrativos), fenómenos de rotura capsular, micrometástasis, etc., todo ello de acuerdo con el protocolo de estudio anatomopatológico de la Unidad de Cáncer de Mama del Hospital la Fe de Valencia.
RESULTADOS
Clínicos
La edad media de presentación de los cuatro pacientes varones diagnosticados de cáncer de mama fue de 60,7 años, con edades comprendidas entre los 45 y los 80 años. En tres casos la afectación fue de mama derecha y en un caso de la izquierda. Dos pacientes presentaban tumoraciones retroareolares con retracción del pezón. En un tercero la tumoración ocupaba toda la mama con infiltracción asimismo de pezón y fijación a planos profundos. La cuarta observación se situó en línea intercuadrántica superior, excéntrico a aréola. La duración de los síntomas fue en dos casos de 1 año y en los dos restantes de 1 a 2 meses. Como antecedentes de interés cabe destacar la existencia de una parotiditis epidémica en un caso, una historia familiar de primer grado de cáncer de mama en otro, así como un tratamiento farmacológico antiulceroso con antagonistas H2. El estudio radiológico con mamografía detectó numerosas calcificaciones heterogéneas tan sólo en un caso. En todos ellos se practicó mastectomía radical modificada como tratamiento quirúrgico. Un paciente recibió radioterapia locorregional (Co60 + e 7 mew) junto a quimioterapia (seis ciclos de CMF) y hormonoterapia. En los tres restantes el tratamiento fue únicamente quirúrgico, sin evidencia de recidiva local o metástasis en controles posteriores (seguimiento medio practicado: 19 meses de evolución).
Histopatológicos
El estudio histopatológico convencional demostró en los cuatro casos la existencia de un carcinoma ductal infiltrante de tipo convencional (tipo NOS). El borde tumoral periférico en todos ellos era de carácter infiltrativo. El tamaño tumoral osciló entre 3 y 7 cm de diámetro máximo, siendo la evaluación pTNM de T4 N0 M0 en dos casos, T2N1bi M0 en un caso y de T4N1biii M0 en el caso restante. En tres casos se detectaron imágenes de embolización linfática peritumoral, comprobándose en dos asimismo la existencia de invasión de luces vasculares. En una de las observaciones existía afectación de pezón con imagénes microscópicas de enfermedad de Paget y en dos casos adicionales se apreció infiltración de tejido dérmico areolar. La afectación ganglionar metastásica se comprobó en dos casos, con nueve y una adenopatías axilares afectas, existiendo en el primero de ellos rotura capsular en una adenopatía metastásica. El índice de Scarff-Bloom se situó entre 6 y 8 (estadios II/III).
Determinación de RE
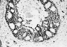
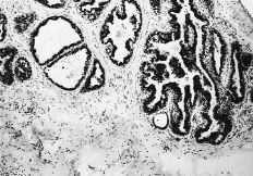
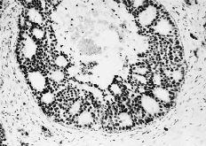
Las cuatro observaciones mostraron positividad a los RE con histocores superiores a 100. La evaluacion inmunomorfológica de los RE arrojó cifras de histocore hormonal (HH) comprendidas entre 108 y 300, con intensidades de ++/+++, en un porcentaje celular comprendido entre el 36 y el 75% (Figs. 1 y 2). La positividad a los RE se manifestaba por la presencia de inmunotinción especifica nuclear. En general, la positividad a los RE mostró un carácter de heterogeneidad de forma que no todas las áreas tumorales presentaban el mismo nivel de positividad o bien existían diferentes porcentajes en el número de núcleos marcados. En dos casos existían en periferia a las áreas tumorales imágenes de ginecomastia proliferativa, que asimismo mostraba positividad al receptor estrogénico (Fig. 3). En un caso (HH de 108) asimismo se cuantificaron en 230 fmol/mg ADN los REn mediante el método bioquímico DCC.
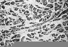
Fig. 1. Visión panorámica de un carcinoma ductal infiltrante con inmunorreactividad a los REn. (ERICA, 200*.)
Fig. 2. Imagen microscópica del componente intraductal de uno de los casos estudiados mostrando positividad nuclear para los REn con un carácter heterogéneo. (ERICA, 400*.)
Fig. 3. Área de ginecomastia en el tejido mamario peritumoral con positividad asimismo para el REn. (ERICA, 200*.)
DISCUSIÓN
El cáncer de mama afectando a varones es una enfermedad muy infrecuente, y así en la casuística estudiada por nosotros entre 1992 y 1996 en el Hospital La Fe de Valencia representa tan sólo un 1,3% de todos los cánceres mamarios diagnosticados. Esta escasa incidencia, referida por todos los autores, parece no haberse modificado durante los últimos 20 años, 15, 16 si bien en ocasiones se han indicado incidencias más altas en sujetos de raza negra. 17 Cabe destacar asimismo cómo en estos pacientes la edad promedio en el momento de la presentación (63,6 años) es mayor que en las mujeres, 17 siendo excepcional su aparición por bajo de los 30 años; en concordacia con estos datos nuestros pacientes mostraron edades comprendidas entre los 45 y los 80 años, con una edad media de 60,7 años.
El cáncer de mama en el varón suele presentarse clínicamente como una masa firme e indolora retroareolar, 17 a menudo con ulceración cutanea, siendo el riesgo de bilateralidad menor del 3%. 18 De hecho, tres de los cuatro pacientes estudiados por nosotros presentaban esta localización retroareolar, existiendo en uno de ellos una imagen microscopica de enfermedad de Paget. Este último aspecto de la enfermedad de Paget ha sido descrito hasta en un 2% de los cánceres mamarios en el varón, 19 no difiriendo su imagen microscópica de la observada en la mujer. 17 La inmensa mayoría de los casos de cáncer mamarios descritos en hombres corresponden, como ocurrió en nuestros cuatro casos, a carcinomas ductales infiltrantes, 20 de forma que este tipo histológico viene a representar el 85% de los tumores malignos descritos en la mama del varón. Las formas intraductales puras y el carcinoma papilar representan un 5%, 20 siendo raros los carcinomas tubulares y coloides. Con respecto al carcinoma lobulillar, durante mucho tiempo se consideró que esta forma histológica no era propia de la glándula mamaria del varón dada la ausencia de diferenciación lobulillar en el hombre, si bien de forma excepcional se han descrito algunos casos afectando a varones con síndrome de Klinefelter. 21
El estudio inmunohistoquímico practicado en las muestras tisulares de nuestros pacientes demostró en todos ellos la presencia de receptores hormonales estrogénicos, observándose asimismo en dos de ellos en las áreas de ginecomastia la presencia de RE+. Así, los cuatro casos estudiados de carcinoma ductal infiltrante afectando a varones pueden ser considerados desde esta perspectiva como cánceres mamarios hormonodependientes. Nuestra determinación inmunohistoquímica mediante el método ERICA se vio refrendada en un caso por un cuantificación de los REn mediante el método bioquímico DCC. Nuestros datos, a pesar del muy limitado número de observaciones, apoyan la hipótesis del frecuente carácter de hormonodependencia del cáncer de mama en el varón.
Efectivamente, los factores hormonales parecen desempeñar un papel crucial en el desarrollo de estas neoplasias. 17 Así se ha comprobado cómo los pacientes con síndrome de Klinefelter presentan un riesgo del 3% de padecer cáncer mamario. 22 Otro dato con posible implicación hormonal es la existencia en ocasiones de un antecedente de parotiditis epidémica en los pacientes con cáncer de mama tal como ocurrió en uno de nuestras observaciones. La fiebre urliana en varones mayores de 20 años se acompaña de un riesgo aumentado de cáncer mamario, 3 probablemente como consecuencia de la orquitis infecciosa generalmente asociada. 23 Asimismo, factores ocupacionales 17 tales como trabajadores en contacto con cremas estrogénicas, estrógenos animales o trabajadores de la fundición (con exposición a altas temperaturas ambientales con efecto supresor de la función testicular) de clara implicación hormonal, apoyan esta hipótesis etiopatogénica.
La presencia de receptores hormonales en el cáncer de mama del varón presenta asimismo implicaciones terapéuticas. De nuestros cuatro pacientes tan sólo uno fue tratado con terapéutica adyuvante hormonal. Sin embargo, en la literatura, Ribeiro et al (1985) 16 indican el uso de terapéutica adyuvante con tamoxifeno (20 mg durante 12 meses) en 23 pacientes con cáncer de mama en estadio II (ganglios linfáticos axilares positivos) y en estadio III (limitado a la mama). El análisis de los RE en esta serie fue llevado a cabo en ocho pacientes, siete de los cuales mostraron tumores RE+ y RPG+; el caso restante fue negativo. Estos autores 16 indican un índice de supervivencia a los 5 años del 55% para el grupo con receptores hormonales en comparación con una supervivencia del 28% para pacientes en estadio similar y previamente no tratados. Del mismo modo, la hormonoterapia está indicada en los casos de enfermedad avanzada en los cuales el tamoxifeno incrementa el tiempo libre de enfermedad respecto a los no tratados, siendo la tasa de respuesta del 71% cuando los RE son positivos. 24
Todos estos datos obligan a considerar la necesidad de determinar la presencia de receptores hormonales por métodos inmunohistoquímicos y/o bioquímicos en todos los cánceres de mama en el varón dada la implicaciones terapéuticas que esta determinación conlleva, sabiendo de antemano que un 80-85% de los cánceres mamarios en el varón son RE+, 7, 24 un porcentaje mayor que el encontrado habitualmente en la población femenina con cáncer de mama, si bien la positividad al receptor no parece influenciar al menos a juicio de algunos autores de forma decidida la supervivencia 5 de estos pacientes.
RESUMEN
El cáncer de mama en el varón es una enfermedad infrecuente que representa aproximadamente el 1% de todos los cánceres mamarios. Existen diversos datos que orientan a considerar la implicación de factores hormonales en la génesis del cáncer de mama en el varón, aunque son escasos los estudios inmunohistoquímicos en los que se aborde la detección de RE en cánceres de mama en población masculina dada su rareza. En el período comprendido entre 1992-1996 se han diagnosticado en el Hospital Universitario La Fe de Valencia un total de 304 cánceres de mama, de los que cuatro correspondieron a varones (1,3% del total de cánceres mamarios), practicándose en todos ellos una determinación inmunohistoquímica de la presencia de RE mediante el método ERICA, utilizando el AcMo H222Spy. En los cuatro casos estudiados se trataba de carcinomas ductales infiltrantes tipos NOS, realizándose en dos de ellos el diagnóstico inicial de malignidad mediante punción-aspiración con aguja fina (PAAF).
El estudio inmunohistoquímico en los cuatro casos arrojó determinaciones de RE+ con histocores comprendidos entre 108 y 300. Entre los posibles datos de valor pronóstico referidos en estos pacientes destaca la presencia de ulceración de la piel y la afectación ganglionar. Nuestros datos, a pesar del muy limitado número de observaciones, apoyan la hipótesis del frecuente carácter de hormonodependencia del cáncer de mama en el varón.
REFERENCIAS
1.Cunha F, Andre S, Soares J. Morphologic of male breast carcinoma in the evaluation of prognosis. Path Res Pract 1990;186:746-50.
2.La Vecchia C, Levi F, Lucchini F. Descriptive epidemiology of male breast cancer in Europe. Int J Cancer 1992;51:62-6.
3.Mabuchi K, Bross DS, Kessler II. Risk factors of male breast cancer. J Natl C Inst 1985;74:371-5.
4.Sasco AJ, Lowenfelds AB, Pasker-De Jong P. Epidemiology of male breast cancer. Int J Cancer 1993;53: 538-49.
5.Hecht JR, Winchester DJ. Male breast cancer. Am J Clin Pathol 1994;102(suppl 1):S25-S30.
6.Thomas DB, Kiminez LM, McTiernan A. Breast cancer in men: risk factors with hormonal implications. Am J Epidemiol 1992;135:734-48.
7.Fox SB, Rogers S, Day CA, Underwood JCE. Oestrogen receptor and epidermal growth factor receptor expression in male breast carcinoma. J Pathol 1992;166: 13-8.
8.Kardas I, Seitz G, et al. Retrospective analysis of prognostic significance of the estrogen-inducible pS2 gene in male breast carcinoma. Cancer 1993;72:1652-6.
9.McCarty JS Jr, Szabbo E, et al. Use of a monoclonal anti-estrogen receptor antibody in the immunohistochemical evaluation of human tumors. Cancer Res 1986;46(suppl):S4244-S9.
10.Leake RE, Laing L, McCardle C, Smith DC. Soluble and nuclear estrogen receptor status in human breast cancer in relation to prognosis. Br J Cancer 1981;43:67-71.
11.UICC. TNM atlas illustrated guide to TNM/pTNM classification of malignant tumors, 3.a ed. Berlín: Springer-Verlag; 1992.
12.World Health Organization. Histological typing of breast tumors. International histological classification of tumors, 2.a ed. Génova: WHO; 1981.
13.Scarff RW, Torloni H. Histological typing of breast tumors. Génova: WHO; 1968.
14.Bloom H, Richardwon W. Histological grading and prognosis in breast cancer. Br J Cancer 1957;11:359-77.
15.Haagensen CD. Diseases of the breast, 3.a ed. Philadelphia: WB Saunders; 1985.
16.Ribeiro G. Male breast cancer: review of 301 cases from Christie Hospital and Holt Radium Institute, Manchester. Br J Cancer 1985;51:115-9.
17.Wilhelm MC, Wanebo HJ. Cáncer de mama en el hombre. En: La mama: manejo multidisciplinario de las enfermedades benignas y malignas. Madrid: Médica Panamericana; 1993.
18.Langlannds AO, MacLean N, Kerr GR. Carcinoma of the male breast: report of a series of 88 cases. Clin Radiol 1976;27:21-5.
19.Spence RA, MacKenzie G, Anderson JR, Lyons AR, Bell M. Long-term survival following cancer of the male breast in Northem Ireland. A report of 81 cases. Cancer 1985;55:648-52.
20.Heller K, Rosen PP, Schattenfeld D, Ashiarhi R, Kinne D. Male breast cancer. Ann Surg 1978;188:60-5.
21.Sánchez AG, Villanueva AG, Redondo C. Lobular carcinoma of the breast in a patient with Klinefelter''s syndrome. A case with bilateral syncronous histologically different breast tumors. Cancer 1986;57:1181-3.
22.Evans DB, Crichlow RW. Carcinoma of the male breast and Klinefelter syndrome. Is there an association? CA Cancer J Clin 1987;37:246-51.
23.Schattenfeld D, Lilenfield A, Diamond H. Some observation on the epidemiology of breast cancer among males. Am J Public Health 1963;53:890-7.
24.Raymond WA, Leong SY. Oestrogen receptor staining of paraffin embedded breast carcinoma following short fixation in formalin: a comparison with cytosolic and frozen section receptor analysis. J Pathol 1990;160: 296-303.







