REV. SENOLOGÍA Y PATOL. MAM., 11, 2 (97-101), 1998
CASOS CLÍNICOS
Cáncer de la mama metastásico en ganglio linfático intramamario: a propósito de cuatro casos
Breast cancer metastasis to intrammamary lymph nodes in 4 cases
H. Maldonado,
F. Tresserra,
J. Feu,
S. López-Lacal P.,
R. Fábregas,
P. J. Grases,
A. Fernández-Cid
Unidad de Patología Mamaria. Institut Universitari Dexeus. Barcelona.
Correspondencia:
F. Tresserra.
Servicio de Anatomía Patológica.
Institut Universitari Dexeus.
Paseo de la Bonanova, 67-69.
08017 Barcelona.
SUMMARY
Introduction. Intramammary Iymph nodes represent a regional Iymphatic group of mammary gland, which can be involved by metastatic breast cancer.
Material and methods. Four patients with metastatic intramammary lymph nodes have been disclosed from 780 patients surgically treated from breast carcinoma.
Results. Ultrasonography and mammography detected 3 of the cases. The most frequent localization was the external quadrants. The metastasis were quite similar to the primary tumors. Medullar carcinoma was the histological type in two patients, and lobular infiltrating carcinoma and ductal infiltrating carcinoma the others. Three of the patients showed also involvement of the axillary Iymph nodes.
Conclusions. Metastatic involvement of intramammary Iymph nodes is infrequent and should be detected for an accurate staging of breast cancer.
Palabras clave
Ganglio linfático intramamario, Metástasis, Cáncer de mama.
Key words
Intramammary Iymph node, Metastasis, Breast cancer.
INTRODUCCIÓN
El drenaje linfático habitual de la mama desemboca en los ganglios linfáticos axilares y los de la cadena mamaria interna ipsilaterales. A estos grupos ganglionares se les añaden en ocasiones otros ganglios de localización intramamaria. Se ha estimado su presencia hasta en un 28% de las mujeres.1 y pueden ponerse de manifiesto con técnicas de imagen convencionales como la mamografía y la ecografía..2, 3
La afectación metastásica de los ganglios linfáticos intramamarios por un tumor primario de la mama se ha descrito hasta en un 10% de las pacientes con cáncer de la mama..1
MATERIAL Y MÉTODOS
De un total de 780 pacientes tratadas por cáncer infiltrante de mama en el Institut Universitari Dexeus desde marzo de 1990 hasta octubre de 1996 se han detectado cuatro casos de pacientes que presentaban metástasis en ganglios linfáticos intramamarios. Se revisan las características clinicopatológicas de estas pacientes y se comparan con el resto de los casos con metástasis axilares.
RESULTADOS
La edad de las pacientes oscilaba entre 41 y 66 años (tabla 1), siendo tres de ellas menopáusicas. Tres de las cuatro lesiones se hallaban en el lado izquierdo y todas se localizaron en los cuadrantes externos. El tipo histológico fue adenocarcinoma medular en dos pacientes, carcinoma lobulillar infiltrante en una y ductal infiltrante en la restante. El tamaño tumoral fue de 6, 2,2, 2,2 y 1,8 cm en cada uno de los casos. Tres de las pacientes mostraron metástasis ganglionares axilares. La estadificación fue II en dos pacientes y III en las otras dos.
| TABLA 1 | ||||||||
| CARACTERÍSTICAS CLINICOPATOLÓGICAS DE LOS CASOS | ||||||||
| Caso | Edad | Tratamiento quirúrgico | Localización lesión | Diagnóstico | Localización ganglio | Tamaño ganglio (cm) | Ruptura capsular | Evolución |
| 1 | 41 | Mast.+LA izq. | UCE | Adenoca. lobulillar Met. axilares (5/25) Met. GLI | CSE | 0,6 | Focal | SEE 1 año |
| 2 | 52 | Mast.+LA dcha. | CSE | Carcinoma medular Met. axilares (3/25) Met. GLI | CSE | 1,5 | No | SEE 4 años |
| 3 | 76 | Tum.+LA izq. | CSE | Carcinoma medular Met. axilares (1/15) Met. GLI (2/4) | CSE | 0,8/1 | No | SEE 1 año |
| 4 | 66 | Biopsia incisional Resección GLI | CSE | Adenoca. ductal Met. GLI | UCE | 5 | No | SEE 2 años |
| Mast.+LA: mastectomía y linfadenectomía axilar. Tum.+LA: tumorectomía y linfadenectomía axilar. GLI: ganglio linfático intramamario. Met.: metástasis. UCE: unión de cuadrantes externos. CSE: cuadrante superior externo. SEE: sin evidencias de enfermedad. | ||||||||
En cada una de ellas se pudo constatar la presencia de al menos un ganglio linfático intramamario metastásico y en el caso 3 se detectaron dos ganglios normales y dos afectados. La localización de estos ganglios fue en todas las ocasiones los cuadrantes externos, coincidiendo con el cuadrante en el cual estaba el tumor. El tamaño oscilaba entre los 0,6 y 5 cm (Fig. 1). La sustitución del tejido linfoide era prácticamente total en todos los casos a excepción de en uno de los ganglios del caso 3 en el que existía una micrometástasis. Las características histológicas de las metástasis fueron similares a las del tumor primario y a la de las metástasis axilares en cada uno de los casos y en todos ellos se constató la presencia de tejido mamario sano circundando al ganglio linfático (Fig. 2).
Fig. 1. Imagen macroscópica del ganglio del caso 4 en el que se aprecia sustitución total de la arquitectura ganglionar por un tejido blanquecino y lobulado (caso 4).
Fig. 2. Aspecto microscópico de un ganglio linfático intramamario rodeado por tejido mamario sano en el cual se aprecia infiltración neoplásica (flecha) (caso 2).
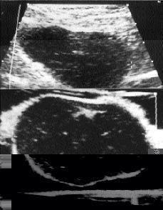
En todos los casos, excepto el número 1, tanto la mamografía (Fig. 3) como la ecografía detectaron la presencia de los ganglios intramamarios. Todos ellos se presentaron como nódulos bien circunscritos. En la ecografía practicada in vitro en el ganglio del caso 4 se apreciaron las características propias de las adenopatías metastásicas como son una morfología esférica y ausencia de la región hiliar (Fig. 4).
Fig. 3. Mamografía donde se observa un tumor y una imagen nodular cercana que corresponde a un ganglio linfático intramamario metastásico (flecha) (caso 4).
Fig. 4. A: Ecografía del ganglio linfático intramamario metastásico demostrando una homogenicidad en su ecoestructura. B: Ecografía in vitro del mismo ganglio donde se observa una forma esférica y ausencia de la zona hiliar (caso 4).
En dos pacientes se efectuó mastectomía y linfadenectomía axilar, en otra tumorectomía y linfadenectomía y en la restante se resecó el ganglio intramamario y se practicó una biopsia incisional del tumor primario. La evolución de las pacientes fue satisfactoria, encontrándose todas libres de enfermedad en un período de seguimiento que oscila entre 1 y 4 años.
DISCUSIÓN
Para que un ganglio linfático pueda considerarse intramamario éste debe de estar completamente rodeado de tejido mamario y debe distinguirse de los grupos ganglionares axilares..3 La presencia de ganglios linfáticos intramamarios ha sido descrita por Egan et al.1 hasta en un 28% de las mujeres, donde detectaron 45 ganglios intramamarios en 158 pacientes. Gordon et al.4en el estudio de 1.030 pacientes observaron cinco ganglios intramamarios (0,5%). Dowson et al.5 describen 18 pacientes con ganglios en esta localización. Meyer et al.6 evidenciaron seis pacientes con ganglios intramamarios de un total de 108 enfermas (5,5%). Jadusingh.3describe una incidencia del 1% (7/681). Lindfors et al.2 y Svane et al,.7por medio de mamografía, detectaron 5 de 16.000 (0,03%) pacientes y 64 de 3.623 (2%) con ganglios intramamarios, respectivamente. Mamográfica o ecográficamente suelen presentarse como nódulos únicos, generalmente no palpables, localizados en la mayoría de ocasiones en el cuadrante superoexterno..4, 7, 8 Aunque también pueden encontrarse en otros cuadrantes,.9, 10 con estas técnicas debe establecerse el diagnóstico diferencial con un fibroadenoma. La patología que puede afectar a los ganglios intramamarios es múltiple; así se han descrito además de cambios inespecíficos como fibrosis, histiocitosis sinusal e hiperplasia linfoide, neoplasias como linfomas.11, 12depósitos de material extraño como sales de oro que pueden confundirse con microcalcificaciones en pacientes en tratamiento por artritis reumatoide,.13 linfadenopatía por silicona tras mamoplastia,.14linfadenopatía dermatopática.15 y linfadenitis tuberculosa..16 Sin embargo, la mayoría de ellas constituyen situaciones aisladas. La afectación metastásica por un carcinoma de la glándula mamaria es quizá la patología más frecuente de estos grupos ganglionares. En nuestra casuística aproximadamente un 40% de las pacientes presentan metástasis axilares, y de éstas, algo más de un 1% metástasis en ganglios linfáticos intramamarios. Egan et al.1 describen 15 casos en una serie de 158 tumores (10%), Svane et al.7 en un total de 3.623 mamografías detectaron 64 adenopatías intramamarias con criterios de malignidad (2%); sin embargo, sólo obtuvieron confirmación histológica en tres de estos ganglios. Cawson et al.17 describen dos casos. Lindfors et al,.2 en una serie de 16.000 mamografías, tan sólo detectan cuatro ganglios intramamarios metastásicos (0,02%), todos ellos confirmados histológicamente. Jadusingh.3 describe un solo ganglio afectado de un total de 681 pacientes (0,1%).
El tamaño de los ganglios linfáticos intramamarios con metástasis oscila entre 0,3 y 3 cm de diámetro.1, 3 y la mayoría se localizan en los cuadrantes externos; sin embargo, esta localización no es específica..1 Generalmente suelen ser nódulos únicos; sin embargo, como sucede en el caso 3, existen otros casos en la literatura en el que hay más de un ganglio intramamario afectado o bien coexisten con ganglios indemnes..1, 3
En nuestra serie no hemos encontrado diferencias entre la edad de la paciente y el tamaño del tumor en función de la existencia o no de metástasis intramamarias al compararlos con el resto de pacientes con metástasis axilares. Como en otras series, en las pacientes con ganglios linfáticos intramamarios positivos en las que se ha efectuado linfadenectomía axilar existen siempre metástasis en esta localización..17 Contrasta la situación del caso 3, en el que se evidenciaron 2 ganglios intramamarios metastásicos y en la axila sólo se demostró un ganglio con micrometástasis (inferior a 0,2 cm).
En la mayoría de ocasiones la presencia de ganglios linfáticos intramamarios metastásicos se acompaña de un tumor primario en la misma mama y en la mitad de los casos en el mismo cuadrante;.1 sin embargo, existen casos en los que éste no se ha podido demostrar..2 El tipo histológico de estos tumores suele ser el ductal infiltrante,.1, 2, 17 aunque también se han descrito el medular,.2 mucinoso, tubular e incluso coexistiendo con enfermedad de Paget de la mama..1 Sin embargo, no hemos encontrado en la literatura referencias a metástasis de carcinoma lobulillar como en el caso 1.
En ocasiones el ganglio linfático intramamario metastásico puede verse totalmente sustituido por el tumor, confundiéndose entonces con otro nódulo tumoral..1 Raras veces se ha descrito la presencia de inclusiones mullerianas con cuerpos de psammoma en estos grupos ganglionares las cuales pueden confundirse con metástasis..18
La presencia de un ganglio linfático intramamario metastásico debe de considerarse como si se tratase de un ganglio linfático axilar a efectos de estadificación de la lesión..19, 20 Su hallazgo no modifica el pronóstico en los tumores en estadio II, aunque parece ser que sí conllevan un peor pronóstico en aquellas pacientes sin afectación de ganglios axilares..1, 21
RESUMEN
Introducción. Los ganglios intramamarios constituyen un grupo de linfáticos regionales de la glándula mamaria los cuales pueden presentar metástasis de un carcinoma mamario.
Material y métodos. De un total de 780 pacientes operadas por cáncer de mama se han detectado cuatro con metástasis en ganglios linfáticos intramamarios.
Resultados. Tres de los casos pudieron ser detectados ecográfica y mamográficamente. La localización más frecuente de los ganglios intramamarios fue los cuadrantes externos. Las metástasis presentaron unas características histológicas similares a las del tumor primario. El tipo histológico de éste fue adenocarcinoma medular en dos pacientes, carcinoma lobulillar infiltrante en una y ductal infiltrante en la restante. Tres de las cuatro pacientes mostraron además metástasis en ganglios linfáticos axilares.
Conclusiones. La afectación de ganglios linfáticos intramamarios es poco frecuente y debe descartarse para poder estadificar correctamente la lesión.
REFERENCIAS
1. Egan RL, McSweeney MB. Intramammary Iymph nodes. Cancer 1983;51:1838-42.
2. Lindfors KK, Kopans DB, McCarthy KA, Koerner FC, Meyer JE. Breast cancer metastasis to intramammary Iymph nodes. Am J Roentgenol 1986;146:133-6.
3. Jadusingh IH. Intramammary Iymph nodes. J Clin Pathol 1992;45:1023-6.
4. Gordon PB, Gilks B. Sonographic appearence of normal intramammary Iymph nodes. J Utrasound Med 1988;7:545-8
5. Dawson PM, Shousha S, Bum JI. Lymph nodes presenting as a breast lump. Br J Surg 1987;74:1167-8.
6. Meyer JE, Kopans DB, Lawrence WD. Normal intramammary Iymph nodes presenting as occult breast masses. Breast 1982;40:30-2.
7. Svane G, Franzen S. Radiologic appearence of nonpalpable intramammary Iymph nodes. Acta Radiol 1993;34:577-80.
8. Feig SA. Breast masses. Mammographic and sonogra-phic evaluation. Radiol Clin North Am 1992;30:67-92.
9. Meyer JE, Ferraro FA, Frenna TH, DiPiro PJ, Denison CM. Mammographic appearence of normal intramammary lymph nodes in an atypical location. Am J Roentgenol 1993;161:779-80.
10. Shamlou KK, Steinbach BG, Hardt NS. Intramammary Iymph node in the lower outer quadrant detected mammographically [letter]. Am J Roentgenol 1992;159:899.
11. Caimi F, Menozzi C, Freschi M. Intramammary Iymph node localization of malignant non-Hodgkin''s Iymphoma. Description of a case. Radiol Med (Torino) 1989;78: 266-8.
12. Meis JM, Butler JJ, Osborne BM. Hodgkin''s disease involving the breast and chest wall. Cancer 1986;57: 1859-65.
13. Carter TR. Intramammary lymph node gold deposits simulating microcalcifications on mammogram. Hum Pathol 1988;19:992-4.
14. Rivero MA, Schawrtz DS, Mies C. Silicone Iymphadenopathy involving intramammary Iymph nodes: a new complication of silicone mammoplasty. Am J Roentgenol 1994;162:1089-90.
15. Kopans DB, Meyer JE, Murphy GF. Benign Iymph nodes associated with dermatitis presenting as breast masses. Radiology 1980;137:15-9.
16. Arnaout AH, Shousha S, Metaxas N, Husain OA.
Intramammary tuberculous Iymphadenitis. Histopathology 1990;17:91-3.
17. Cawson J, Rose AK. Intramammary Iymph node metastases: a rare presenting sign of breast cancer. Breast 1995;4:122-6.
18. Henley JD, Michael HB, English GW, Roth LM. Benign Mullerian Iymph node inclusions. An unusual case with implications for pathogenesis and review of the
literature. Arch Pathol Lab Med 1995;119:841-4.
19. Tavasoli FA. Pathology of the breast. Norwa!k, Connecticut: Appleton and Lange; 1992.
20. Rosen PP, Oberman HA. Miscellaneous neoplasms. En: Rosen PP, Oberman HA, eds. Atlas of tumor pathology. Tumors of the mammary gland. Washington DC: Armed Forces Institute of Pathology; 1993.
21. McSweeney MB, Egan RL. Prognosis of breast cancer related to intramammary Iymph nodes. Recent Results Cancer Res 1984;90:166-72.








