¿ OBJETIVO
Se presentan dos casos de schwannoma intrarrenal, su manejo, evolución y revisión de la literatura.
¿CASO CLÍNICO
CASO 1
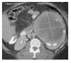
Paciente femenina de 37 años, padre hipertenso. Fumaba 1 a 2 cigarros al día desde hacía 10 años, consumo ocasional de alcohol. Hipertensión arterial de recién diagnóstico controlada con captopril. Acudió por sensación de masa en fosa renal izquierda de 3 meses de evolución no asociado a dolor, pérdida de peso o hematuria. A la exploración física con tensión arterial de 120/90 mmHg, abdomen blando, depresible, presencia de masa firme palpable en flanco izquierdo, no dolorosa. Laboratorio con Hb: 14.3g/dL, creatinina: 0.73 mg/dL, pruebas de funcionamiento hepático y radiografía de tórax normales. Tomografía computadorizada: masa sólida 12 x 12 cm dependiente de riñón izquierdo, con áreas de necrosis y calcificaciones (Imagen1). Se realiza nefrectomía radical izquierda. Se identifica tumor de 20 x 15 x 10 cm dependiente de polo inferior (Imagen 2).
Imagen 1. Tomografía computadorizada: masa sólida 12 x 12 cm dependiente de riñón izquierdo, con áreas de necrosis y calcificaciones.
Imagen 2. Pieza quirúrgica en la que se identifica tumor de 20 x 15 x 10 cm dependiente de polo inferior.
Reporte histopatológico: Schwannoma renal. En tinción especial con inmunohistoquímica: S-100 (+), vimentina (+).
CASO 2
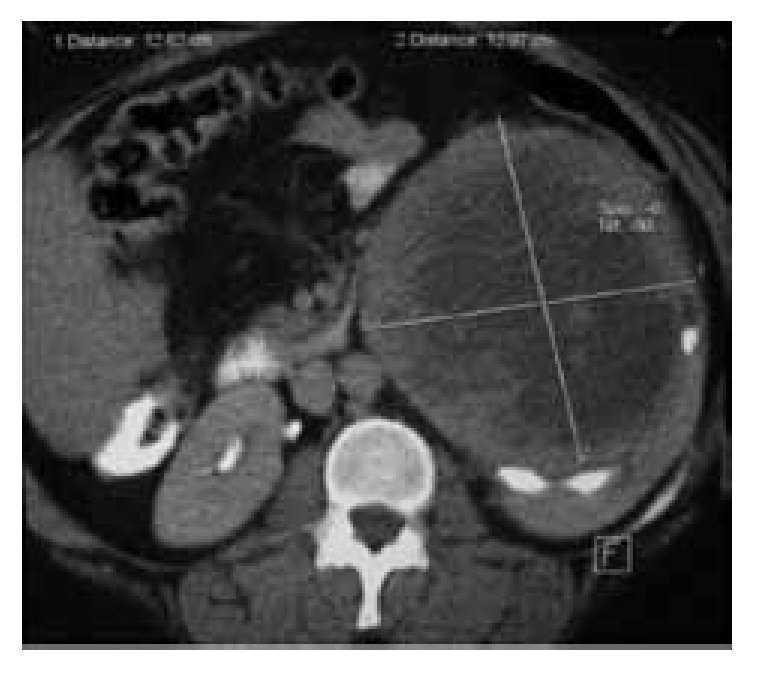
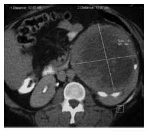
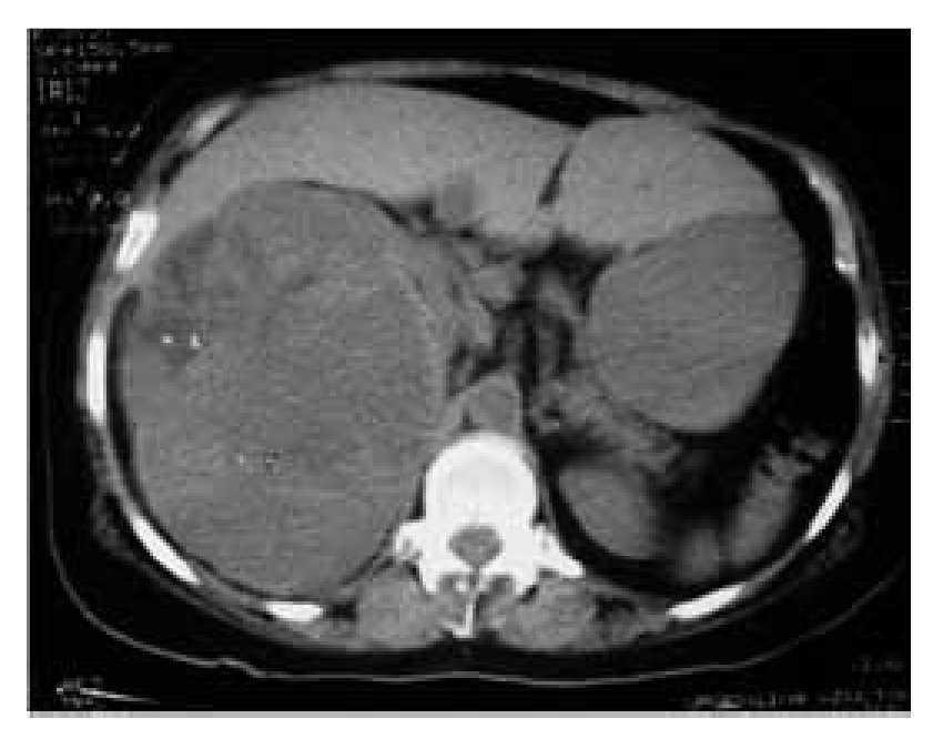
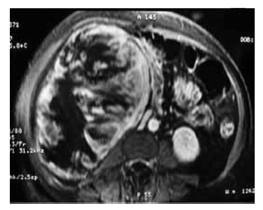
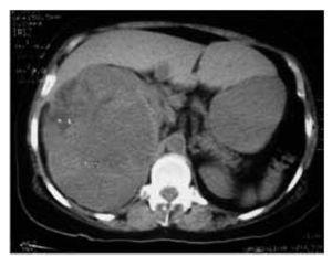
Paciente femenina de 71 años de edad, padre diabético, madre hipertensa. Acudió por masa dolorosa en flanco derecho, de 2 meses de evolución, asociada a pérdida de peso de 7 kg y escalofrío eventual. A la exploración física con presión arterial de 120/80 mmHg, tórax normal, abdomen blando, depresible, masa dura, dolorosa, que involucra todo el hemiabdomen derecho. Exámenes de laboratorio con Hb: 10.7, creatinina: 1.22, examen general de orina: 3-4 eritrocitos por campo, pruebas de funcionamiento hepático normales, radiografía de tórax normal, tomografía computadorizada y angiorresonancia: masa sólida heterogénea, con áreas de necrosis y con escasa captación de contraste, sin afección de grandes vasos (Imágenes 3 y 4). Se efectuó nefrectomía radical, tumor con dimensiones de 27 x 15 x 18 cm dependiente de polo inferior (Imagen 5).
Imagen 3. Tomografía computadorizada a los dos meses de evolución, en la que se identifica una masa sólida heterogénea.
Imagen 4. Angiorresonancia: masa sólida heterogénea, con áreas de necrosis y con escasa captación de contraste, sin afección de grandes vasos con áreas de necrosis y con escasa captación de contraste, sin afección de grandes vasos.
Imagen 5. Pieza quirúrgica; tumor con dimensiones de 27 x 15 x 18 cm dependiente de polo inferior.
Reporte histopatológico: Schwannoma renal, inmunohistoquímica: S-100 (+), vimentina (+).
¿REVISIÓN BIBLIOGRÁFICA
Los tumores del parénquima renal constituyen un amplio grupo de neoformaciones uroteliales con características histológicas clínicas y terapéuticas bien definidas. En el riñón pueden originarse neoplasias de diferente naturaleza: epitelial, mesenquimal, neuroendocrina, hematopoyética, entre otras. La inmensa mayoría de los tumores son de naturaleza epitelial y de comportamiento maligno. Los denominados carcinomas de células renales, a diferencia de los schwannomas renales, son neoplasias raras clasificadas como de origen mesenquimatoso.1-3
Los tumores del retroperitoneo suelen ser poco frecuentes y se clasifican según el tejido del que se originan. Dentro de los tumores derivados de las vainas nerviosas se encuentra el schwannoma, cuya prevalencia varía entre 1% a 10% del total de las neoplasias primarias retroperitoneales y entre 0.2% a 0.6% de todas las neoplasias; los schwannomas dependientes de riñón son aun más raros y solamente hay diez casos reportados en la literatura.2-4
En 1954, Ackerman clasificó los tumores retroperitoneales primarios ateniéndose a los hallazgos histológicos y los divide en: tumores de origen nervioso, de origen mesodérmico y originados a partir de restos embrionarios.3-4 El schwannoma maligno es un tumor raro, proveniente de las células de Schwann, las cuales constituyen el tejido de soporte de los nervios periféricos.2-4 Afectan igualmente a hombres que a mujeres y la edad de presentación es de 30-60 años, pueden asociarse con enfermedad de von Recklinghausen, lo que le confiere mal pronóstico.1-3 El diagnóstico prequirúrgico es raro, las imágenes de ultrasonido muestran ecogenicidad mixta y la tomografía computadorizada muestra áreas quísticas, necróticas y sólidas con calcificaciones en su interior .4-7
Su histología expone células fusiformes con núcleos ovalados (Antoni A) y pleomorfismo nuclear (Antoni B), con inmunohistoquímica: vimentina (+), proteína S-100 (+), enolasa neuroespecífica (+).2,4,7
¿DISCUSIÓN Y CONCLUSIONES
En el adulto, la mayoría de las neoplasias renales son de origen epitelial, siendo las de origen mesenquimatoso las menos frecuentes. El leiomiosarcoma es el sarcoma más común y el angiomiolipoma la neoplasia mesenquimatosa benigna más frecuente. Los tumores de las vainas nerviosas en riñón son extremadamente raros y en la actualidad solamente existen diez casos reportados.
Clínicamente la mayoría son asintomáticos, presentando en su mayoría únicamente sintomatología relacionada con efecto de masa y en raras ocasiones fiebre, anemia y pérdida de peso.
El diagnóstico preoperatorio en la mayoría de los casos es el de un tumor renal maligno, por lo que el tratamiento es la nefrectomía radical. La cirugía preservadora de nefronas debe ser un procedimiento considerado en casos seleccionados, ya que esta patología tiene un comportamiento benigno.
En los casos en los cuales no hay relación con enfermedad de von Recklinghausen, la nefrectomía radical, por sí sola, generalmente es suficiente como tratamiento para esta enfermedad; sin embargo, cuando estas patologías se encuentran asociadas, el uso de quimioterapia no ha tenido efecto en la sobrevida, y el manejo con radioterapia no está indicado.
La recurrencia de los schwannomas retroperitoneales por sí solos es de 20% a 30% a 5 años, y su asociación con enfermedad de von Recklinghausen aumenta la tasa a 45% a 75% a 5 años, por lo cual el seguimiento es el mismo que para los pacientes con carcinoma de células claras, con un seguimiento más estrecho en los portadores de enfermedad de von Recklinghausen.
Correspondencia:
Víctor A. Hernández Castellanos.
División de Urología, Hospital General "Dr. Manuel Gea González", Secretaría de Salud. Calzada de Tlalpan 4800, Col. Sección XVI, C.P. 14080, Delegación Tlalpan. México, D.F. Teléfono: 4000-3000, Ext.: 3044.
Correo electrónico: vahcmed@yahoo.com






