Las anomalías congénitas del tracto urinario son diversas, estas involucran la ausencia total del riñón, la ubicación, orientación o forma aberrante de éste, así como alteraciones del sistema colector y de la irrigación sanguínea.
Presentamos el caso de un masculino de dos meses de edad, quien debutó con un cuadro de distensión abdominal progresiva y fiebre, secundario a una ruptura renal espontánea. Se evidenció una fusión renal y piélica, con un sistema único asociado a estenosis de la unión ureterovesical (UV). Se realizó derivación mediante nefrostomía, posteriormente reimplante ureteral tipo Politano y remodelación ureteral tipo Hendren.
Wilmer en 1938 clasificó las anomalías con fusión renal por primera vez. Posteriormente, McDonald y McClellan en 1957, mejoraron y ampliaron esa clasificación e incluyeron la ectopia cruzada con fusión, la ectopia cruzada sin fusión, la ectopia cruzada solitaria y la ectopia cruzada bilateral. Las anomalías con fusión pueden ser: 1) riñón fusionado unilateral con ectopia inferior, 2) riñón sigmoide o con forma de S, 3) riñón en bulto o en torta, 4) riñón en L o en tándem, 5) riñón en disco o en escudo y 6) riñones unilaterales fusionados con ectopia superior. Nuestro caso no cae dentro de ninguna de las mencionadas clasificaciones, ya que tenemos la presencia de un sistema excretor único, asociado a megauréter obstructivo secundario a estenosis UV.
En la literatura médica se han reportado solamente cinco casos de fusión renal y piélica con un solo uréter, el presente caso es en el momento, el único reporte asociado a ruptura renal espontánea en un paciente pediátrico.
Congenital anomalies of the urinary tract are diverse and they include the total absence of the kidney, its location, orientation, or aberrant shape, as well as collecting system and blood irrigation alterations.
We present the case of a 2-month old male infant with symptoms of progressive abdominal distension and fever secondary to spontaneous kidney rupture. A renal and pyelic fusion with a single system associated with ureterovesical junction stricture was identified. Diversion was carried out by means of nephrostomy, after which Politano ureteral reimplantation and Hendren ureteral refashioning were performed. We also present a literature review.
In 1938 Wilmer first classified anomalies presenting with renal fusion, and then in 1957 McDonald and McClellan improved and broadened that classification to include crossed ectopia with fusion, crossed ectopia without fusion, solitary crossed ectopia, and bilaterally crossed ectopia. Anomalies with fusion can be 1) unilateral fused kidney with inferior ectopia, 2) sigmoid or S-shaped kidney, 3) lump or "cake" kidney, 4) L-shaped or tandem kidney 5) disc or shield kidney, and 6) unilateral fused kidney with superior ectopia. Our case did not fall into any of these classifications due to the presence of a single excretory system associated with obstructive megaureter secondary to ureterovesical junction stricture.
Only five cases of renal and pyelic fusion with a single ureter have been reported in the literature. Up to now, the present case is the only one associated with spontaneous kidney rupture in a pediatric patient that has been reported.
INTRODUCCIÓN
Las anomalías congénitas del tracto urinario superior comprenden una gran diversidad de alteraciones, desde la ausencia completa hasta una localización, orientación y forma del riñón. La nefropatía obstructiva congénita (NOC) es la causa más común de nefropatía crónica en niños, ubicándose entre las tres principales causas de enfermedad renal terminal (ERT). La NOC es clasificada junto con la displasia, hipoplasia, aplasia y otras anormalidades del sistema urinario, como una entidad heterogénea llamada "Anomalías congénitas del riñón y del tracto urinario" (CAKUT). CAKUT es relativamente común, afectando a más del 2% de los embarazos, siendo el responsable del 51% de la enfermedad renal crónica en Norte América. Entre la variedad de diagnósticos de CAKUT, la enfermedad obstructiva confiere el mayor riesgo para desarrollar ERT.1
PRESENTACIÓN DEL CASO
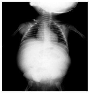
Paciente masculino de dos meses de edad, sin antecedentes de importancia. Inició su padecimiento con distensión abdominal progresiva, tres semanas previas a su ingreso, asociado a fiebre y disminución de los volúmenes urinarios de manera progresiva hasta presentar insuficiencia renal aguda, y posteriormente anuria. A la exploración física se encontraba con una gran distensión abdominal, observándose en la radiografía simple de abdomen una imagen radioopaca generalizada (Figura 1).
Figura 1. Radiografía simple de abdomen con radio-opacidad que abarca la totalidad de la región abdominal.
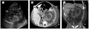
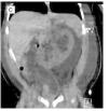
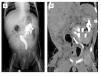
A su ingreso se reportó una creatinina sérica de 6.22 mg/dL, urea de 141 mg/dL, BUN 66 mg/dL, leucocitos de 26.2, hemoglobina de 7.44 g/dL. Se realizó un ultrasonido abdominal y una tomografía axial computada de abdomen, en los cuales se logró observar una fusión renal con presencia de ectasia de cavidades renales, y la pérdida de la continuidad del parénquima renal, así como la presencia de gran cantidad de líquido libre perirrenal sugestivo de un urinoma (Figura 2).
Figura 2. A) Ultrasonografía renal que muestra dilatación de cavidades. B) TAC corte axial en el que se observa périda de la continuidad del parénquima renal y líquido libro perirrenal. C) TAC corte coronal en el que se observa fusión renal con gran cantidad de líquido libre.
Ante los hallazgos en la tomografía, se decidió realizar una cistoscopía en la cual se observó un meato ureteral izquierdo único, sin ser posible su cateterización para la realización de una pielografía retrógrada, por lo que se procedió a realizar una exploración quirúrgica por lumbotomía y drenaje del urinoma, con colocación de nefrostomía. Se realizó una pielografía anterógrada demostrando la fusión renal y piélica, con presencia de un uréter único asociado a un megauréter obstructivo secundario a la estenosis de la unión ureterovesical (UV) (Figura 3). En un segundo tiempo quirúrgico, se efectuó una remodelación ureteral tipo Hendren con reimplante tipo Politano Leadbetter. El paciente evolucionó satisfactoriamente, se corroboró el paso del medio de contraste hacia la vejiga en una pielografía anterógrada de control (Figura 4). Se retiró la sonda de nefrostomía de manera definitiva, cursando hasta el momento con la función renal conservada.
Figura 3. A) Pielografía anterógrada en la que se observa un sistema colecto único con un megauréter obstructivo secundario a estenosis de la unión ureterovesical. B) Nefrostografía combinada con cortes tomográficos coronales en la que se observa la presencia de nueve grupos caliciales.
Figura 4. A) y B) Fotografías en donde se observa el megauréter obstructivo secundario a estenosis de la unión señalada con la flecha. C) Reimplante politano Leadbetter con colocación con catéter ureteral tipo doble J. D) Nefrostografía de control posterior a reimplante y remodelación tipo Hendren, en donde se observa paso del medio de contraste hacia vejiga.
DISCUSIÓN
Dentro de las obstrucciones congénitas del tracto urinario superior se incluyen la estenosis de la unión ureteropiélica (UP), la estenosis de la unión UV, así como ureteroceles y otras anomalías de la estructura y localización ureteral. La obstrucción de la unión UP se presenta en uno por cada 1 000-2 000 nacimientos, siendo bilateral en el 20% a 25% de los casos, predominando en el sexo masculino con una relación de 3:1. La obstrucción intrínseca de la unión UP, se origina de un segmento proximal de uréter adinámico. Este segmento de uréter disfuncional a menudo exhibe una distribución anormal de colágeno y músculo liso, y puede mostrar alteración de la inervación o de la vasculatura. La obstrucción de la UV o un megauréter obstructivo primario están también asociados con un segmento de uréter adinámico. La obstrucción de la UV es cuatro veces más común en hombres, y se presenta más frecuentemente en el lado izquierdo, observándose una presentación bilateral en el 25% de los casos.1
Las anomalías de la fusión renal se dividen en ectopia renal cruzada con fusión y riñón en herradura, la frecuencia de esta es de uno en 7 500 autopsias, siendo menos frecuente que el riñón en herradura, cuya frecuencia se reporta de uno por cada 400. Más de la mitad de los pacientes con ectopia renal cruzada con fusión tienen otras anomalías urogenitales, gastrointestinales, cardiopulmonares, esqueléticas o cromosómicas.2
Se conoce como ectopia cruzada a la ubicación del riñón en el lado opuesto a la inserción de su uréter en la vejiga. El 90% de los riñones ectópicos cruzados están fusionados al riñón del mismo lado, estos casos representan la mayoría de los defectos con fusión. Wilmer en 1938 clasificó las anomalías con fusión renal por primera vez. Posteriormente, McDonald y McClellan en 1957, mejoraron y ampliaron esa clasificación e incluyeron la ectopia cruzada con fusión, la ectopia cruzada sin fusión, la ectopia cruzada solitaria y la ectopia cruzada bilateral (Figura 5). Las anomalías con fusión pueden ser: 1) riñón fusionado unilateral con ectopia inferior, 2) riñón sigmoide o con forma de S, 3) riñón en bulto o en torta, 4) riñón en L o en tándem, 5) riñón en disco o en escudo y 6) riñones unilaterales fusionados con ectopia superior3 (Figura 6). En el presente caso, a pesar de que la conformación de ambos riñones podría pensarse que corresponde a un riñón en L, consideramos que no pertenece a ninguna de las clasificaciones ya mencionadas, puesto que tenemos la presencia de un sistema excretor único asociado a megauréter obstructivo secundario a estenosis de la unión UV. En la literatura médica se han reportado solamente cinco casos de fusión renal y piélica con un solo uréter, el presente caso es hasta el momento, el único caso reporte asociado a estenosis de la unión UV y ruptura renal espontánea en un paciente pediátrico.
Figura 5. Tipos de ectopia renal cruzada. A) Ectopia renal cruzada con fusión. B) Ectopia renal cruzada sin fusión. C) Ectopia renal cruzada simple. D) Ectopia renal cruzada bilateral.
Figura 6. Seis formas de ectopia renal cruzada con fusión. A) Riñón con fusión unilateral (ectopia inferior). B) Riñón sigmoideo o en S. C) Riñón en torta. D) Riñón en L. E) Riñón en disco. F) Fusión renal unilateral (ectopia superior).
El diagnóstico se realizaba en el pasado a través de la urografía excretora, pero actualmente el ultrasonido y la tomografía han revelado un mayor número de casos asintomáticos. La cistoscopia y la pielografía retrógrada son útiles para valorar el sistema colector y el patrón de drenaje. La tomografía axial computada y la resonancia magnética ofrecen gran calidad de imágenes, mediante las cuales se pueden clasificar la mayoría de las anomalías de la fusión renal.4 Con el advenimiento del ultrasonido prenatal es posible sospechar la presencia de una anomalía congénita de las vías urinarias, con lo cual se busca evitar el desarrollo de una nefropatía crónica, realizando un manejo oportuno de las diferentes patologías.
CONCLUSIÓN
Es poco común la presentación de un urinoma espontáneo en la población pediátrica, debido a que la mayoría de ellos se presentan en población adulta, asociados a traumatismos. Sin embargo, cuando se detecta uno de estos casos en el paciente pediátrico es necesario sospechar de patologías congénitas obstructivas (estenosis de la unión UP, UV, valvas uretrales, entre otros), que pueden ocasionar una ectasia severa en las cavidades renales. La asociación con anomalías de fusión renal son poco comunes, pero se debe considerar siempre la posibilidad de que se asocien a estas patologías obstructivas. El presente caso hace patente la secuencia de eventos clínicos, que se presentan como repercusión de la asociación de múltiples anomalías congénitas del tracto urinario.5-10










