Introducción: La extrofia vesical complicada se puede dividir en seudoextrofia, extrofia vesical cubierta, fisura vesical y duplicación vesical. La duplicación vesical es extremadamente rara, consistiendo en cámaras vesicales separadas con pared fibromuscular completa, acompañada o no de duplicación de la uretra, frecuentemente se acompaña de anomalías congénitas. Cada vejiga recibe un uréter ipsilateral y drena a una uretra independiente. El objetivo de de presente trabajo fue presentar un caso de extrofia vesical complicada, con duplicación genitourinaria hidronefrosis, reflujo vesicoureteral y su manejo.
Caso clínico: Femenino de 20 años de edad con el antecedente de extrofia vesical con cierre espontáneo. A la exploración física, se encontró la presencia de genitales ambiguos duplicación de clítoris, vagina y uretra. Presentaba dolor en flanco derecho y masa palpable. La tomografía axial computada mostró bolsa hidronefrótica del riñón derecho, dos vejigas con uretras independientes y útero didelfo. En la cistografía, se evidenció duplicación vesical completa y presencia de reflujo vesicoureteral derecho. Se correlacionó con cistoscopia vejigas no comunicantes y uretras independientes. Se diagnosticó doble sistema genitourinario completo, con reflujo vesicoureteral y exclusión renal derecha. Se realizó nefroureterocistectomía derecha. La paciente evoluciona satisfactoriamente.
Conclusiones: La duplicación vesical es una entidad con menos de 50 casos reportados, esta puede ser completa o parcial, sagital o coronal. En la mayoría de los casos, existe duplicación genitourinaria. Existen otras anormalidades asociadas como son la duplicación de pene, vagina y útero. La corrección quirúrgica es el tratamiento de elección en la mayoría de los pacientes, con buenos resultados y pronóstico favorable para el paciente.
Introduction: Complicated bladder exstrophy can be divided into pseudoexstrophy, covered bladder exstrophy, bladder fissure, and double bladder. Double bladder is extremely rare and consists of two bladder chambers separated by a complete fibromuscular wall, with or without double urethra. It is frequently accompanied by congenital abnormalities. Each bladder receives an ipsilateral ureter and drains into an independent urethra. The objective of this article was to present a case of complicated bladder exstrophy with genitourinary duplication, hydronephrosis, and vesicoureteral reflux, along with its management.
Clinical case: Patient is a twenty-year-old woman with past medical history of bladder exstrophy with spontaneous closure. Physical examination revealed ambiguous genitals and double clitoris, double vagina, and double uterus. Patient presented with right flank pain and palpable mass. Computed tomography scan showed right renal hydronephrotic sac, two bladders with independent urethras, and uterus didelphys. Cystography revealed complete double bladder and the presence of right vesicoureteral reflux. Cystoscopy correlated non-communicating bladders and independent urethras. Complete double genitourinary system was diagnosed along with vesicoureteral reflux and functional exclusion of right kidney. Right nephroureterocystectomy was carried out and patient progression was satisfactory.
Conclusions: Fewer than fifty cases of double bladder have been reported and duplication can be complete or partial and sagittal or coronal. There is genitourinary duplication in the majority of cases. Other associated abnormalities are double penis, double vagina, and double uterus. Surgical correction is the treatment of choice in the majority of patients, providing good results and favorable prognosis.
¿ INTRODUCCIÓN
La extrofia vesical es un defecto grave del cierre de la pared abdominal fetal, afecta a uno de 30 000 nacidos. Existen diferentes formas de extrofia vesical complicada, como son la extrofia cloacal, la cual se caracteriza por dos hemivejigas y genitales dobles, seudoextrofia vesical o ectopia vesical, en donde la piel cubre la vejiga que prolapsa, la extrofia vesical cubierta donde un capa delgada de piel cubre la vejiga, fisura vesical en donde existe una defecto infraumbilical y comunicación con una vejiga intacta, la cual comunica con una uretra normal y duplicación vesical.1,2 La duplicación vesical es extremadamente rara, la cual consiste en cámaras vesicales separadas con pared fibromuscular completa acompañada o no de duplicación de la uretra. Esta anomalía es más frecuente en el sexo masculino que en el femenino, con una relación de 2:1. Frecuentemente se acompaña de anomalías congénitas.1-3 Se han reportado un total de 45 casos en la literatura médica, donde las anormalidades de los genitales se asocian en 90% de los casos y las gastrointestinales en 40%.3 Cada riñón drena orina a través de un uréter independiente, hacia la vejiga ipsilateral, con una uretra independiente.2,3 La teoría embriológica más aceptada es la persistencia del septo urogenital con el ensanchamiento de la cloaca, así dividiendo los elementos endodérmicos y formando dos uracos, dos vejigas y dos senos urogenitales. La duplicación es generalmente diagnosticada en la infancia, debido a infecciones urinarias recurrentes. La duplicación de la vejiga puede ocurrir en un plano coronal o sagital, siendo este ultimo el más común, en donde cada vejiga se encuentra separada por peritoneo.
El objetivo del presente trabajo es exponer un caso de extrofia vesical complicada con duplicación genitourinaria hidronefrosis, reflujo vesicoureteral grado IV y su manejo.
¿ PRESENTACIÓN DEL CASO
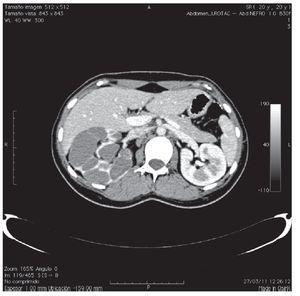
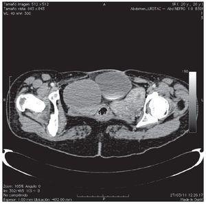
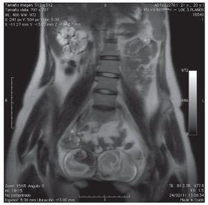
Paciente femenino de 20 años de edad, antecedente de extrofia vesical con cierre espontáneo. A la exploración física, se encuentra la presencia de duplicación de genitales internos y externos (clítoris, vaginas, útero), así como falta de fusión de la pelvis ósea (Figura 1). Paciente acudió al servicio de urología, por la presencia de dolor en el flanco derecho y una masa palpable. Se le realizó tomografía, donde se evidenció una bolsa hidronefrótica derecha y la presencia de dos vejigas con uretras independientes y un útero doble (Figuras 2 y 3). En la resonancia magnética, se pudieron identificar dos vejigas no comunicantes con interface entre las dos (Figuras 4 y 5). Se envió a genética reportándose cariotipo de 46XX. Se realizó cistografía, donde se evidenció la presencia de duplicación vesical completa y presencia de reflujo vesicoureteral derecho grado IV. Se realizó cistoscopia con lente pediátrico de 30 grados, observando en la uretra derecha hemivejiga con meato ureteral ortotópico dilatado, sin visualizarse el izquierdo, ni conexión a hemivejiga izquierda. Se realizó el mismo procedimiento en la uretra izquierda, visualizando uréter ortotópico y eyaculante. Se diagnosticó doble sistema genitourinario completo, con reflujo vesicoureteral grado IV y exclusión renal derecha. Se programó para nefroureterocistectomía derecha.
Figura 1. Duplicación de genitales internos y externos (clítoris, vaginas, útero).
Figura 2.La tomografía axial computada, muestra riñón derecho hidronefrótico.
Figura 3. El corte tomográfico de abdomen inferior, muestra dos vejigas.
Figura 4. En la resonancia magnética se pudieron identificar dos vejigas no comunicantes con interface entre ellas.
Figura 5. Otra proyección de la resonancia magnética. Se identifican dos vejigas no comunicantes con interface entre ambas.
Se realizó abordaje mediante lumbotomía y disección extra peritoneal, se encontró uréter derecho dilatado con presencia de hidronefrosis severa, sin parénquima renal residual. A través de una incisión tipo Gibson, se procedió a continuar la disección del uréter distal y de la hemivejiga derecha, identificándose ambas hemivejigas con presencia de peritoneo y tejido fibromuscular (Figura 6). La paciente cursó con un posoperatorio sin complicaciones, siendo egresada al cuarto día.
Figura 6.Pieza quirúrgica obtenida de nefroureterectomía.
¿ DISCUSIÓN
En 1961, Abrahamson clasificó la duplicación vesical en completa e incompleta. En la completa se encuentran dos vejigas, separadas por mucosa y capa muscular, cada una drena a una uretra independiente como en el presente caso. En la incompleta, se encuentra comunicación entre ambas vejigas y una sola uretra común.3 El diagnóstico se realiza, mediante uretrocistograma retrograda bilateral. La duplicación de la vejiga puede ocurrir en un plano sagital o coronal, dependiendo del eje del septo. La variante sagital aparentemente es más común que la coronal, con una relación de 2.5:1.4 Dentro de lo reportado por la literatura médica, se encuentra una relación de 2:1 en relación al sexo, siendo más común en el hombre. Kossow y Morales revisaron 40 casos, encontrando una relación de malformaciones gastrointestinales hasta en un 42% y malformaciones genitales hasta en un 90%.5 Berrocal encontró la relación de malformaciones genitales dependientes del eje del septum intervesical, en donde se asociaban frecuentemente con el plano coronal.6 Desde sus primeras descripciones, se han reportando un total de 45 casos.7-9 La teoría de Abrahamson acerca de la persistencia del septum urogenital y la división de la cloaca, sigue siendo la más aceptada.3 Dentro de la revisión de la literatura, se pueden encontrar una variedad de duplicaciones vesicales por lo que no se puede estandarizar el manejo quirúrgico. Cada caso debe de ser evaluado individualmente, en nuestro paciente decidimos realizar nefroureterocistectomía, puesto que la vejiga no es funcional y secundariamente, provocar reflujo y exclusión renal. Este es el primer caso documentado en la literatura urológica mexicana.
Correspondencia: Dr. Santiago Fulda-Graue.
División de Urología. Hospital General "Dr. Manuel Gea González". Secretaria de Salud. Calzada de Tlalpan 4800. Col. Sección XVI. C.P. 14080. México D.F., México.
Teléfono: (55) 4000 3044.







