Un importante objetivo en odontología implantológica es lograr un ajuste óptimo de la prótesis para reducir al mínimo las complicaciones biológicas o mecánicas. La inevitable discrepancia entre el implante y el armazón provoca tensión en la restauración, los implantes y el hueso circundante.
Entre las complicaciones biológicas destacan reacciones tisulares adversas, dolor, pérdida de hueso marginal, y la posible pérdida de osteointegración1,2. Informes anteriores indicaron que el fracaso biológico del implante no está relacionado con el mal ajuste de las prótesis3,4. Jemt y Book4 indicaron que existe una cierta tolerancia biológica al mal ajuste y que es clínicamente aceptable con respecto a la pérdida de hueso marginal.
A pesar de que no se ha demostrado de forma concluyente una relación entre el fracaso biológico del implante y el mal ajuste de la prótesis4-6, complicaciones mecánicas como el aflojamiento de los tornillos protésicos o la fractura de los componentes se han descrito con frecuencia en el tratamiento implantológico7-10. Los factores que pueden conducir a la inestabilidad de la junta roscada son el mal ajuste de las prótesis implantosoportadas11, una fuerza inadecuada de ajuste12,13, la tensión del tornillo y la diversidad de materiales y diseños para los tornillos13,14.
Debido a las discrepancias entre los procedimientos técnicos y clínicos, el ajuste pasivo no puede lograrse desde el punto de vista clínico15. Los procedimientos de impresión convencionales comportan un riesgo de error en la producción del modelo maestro final16. Una posibilidad futura sería el uso de la fotogrametría junto con técnicas de fresado controladas numéricamente mediante computadora (CNC) para eliminar cualquier error de transferencia17,18. Los cambios dimensionales de la superestructura están relacionados con el cociente combinado de la impresión y la técnica de modelado19,20.
Se han descrito varios métodos para mejorar la exactitud del modelo y el ajuste del armazón21-24. La forma más habitual de corregir el mal ajuste de un armazón de aleación de oro consiste en seccionar y soldar, incluso a pesar de que este método no logre un ajuste absolutamente pasivo25. La técnica de electroerosión puede mejorar el ajuste de las prótesis de titanio o aleación de oro21,16. Eisenmann y cols.21 describieron distancias promedio de 31,63 μm para los armazones de titanio y de 12,72 μm para los armazones de aleación de oro antes de la electroerosión. Después del tratamiento de electroerosión, estas distancias se redujeron a 7,58 μm y 6,20 μm, respectivamente. La tecnología de diseño/fabricación asistidos por ordenador (CAD/CAM) en odontología ha evolucionado durante las dos últimas décadas para mejorar el ajuste del armazón tanto en las piezas naturales como en los implantes27-29. Jemt y Lie24 y Riedy y cols.30 describieron distancias entre el modelo de aleación de oro y el pilar del implante de 42 a 74 μm, y de 25 μm para las superestructuras mecanizadas Procera y las soldadas mediante láser. Además, la distorsión tridimensional (3D) de los cilindros en los armazones de titanio fresados mediante CNC y los modelos de aleación de oro varía entre 3 y 80 μm23. El nivel de ajuste clínicamente aceptable de los armazones para implantes se ha descrito en el intervalo de 10 a 150 μm24,31.
El método de precisión Cresco Ti (CTiP) utiliza una técnica convencional de molde de cera perdida para la fabricación de armazones de titanio o de aleación de oro. En el segundo paso, el armazón modelo es retenido con yeso en un fijador, manteniendo la relación horizontal y vertical entre el modelo maestro y el armazón. Los cilindros prefabricados de plástico para el modelo o los cilindros mecanizados de titanio compatibles con el sistema de implante se atornillan fuertemente a los análogos del implante en el modelo maestro tras la retención del armazón. En el último paso, las patas del armazón y los cilindros se recortan exactamente en el mismo plano horizontal predeterminado y se arman mediante soldado por láser22. Esta estrategia permite el ajuste de la superestructura sin pilares, independientemente de la aleación dental, en la mayoría de sistemas implantológicos del mercado22,32,33.
Las divergencias entre implantes de hasta 90 grados pueden compensarse sin el uso de pilares, reduciéndose así el coste para los pacientes. El resultado de un experimento fotoelástico descrito por Helldén y Dérand22 demostró una reducción de las tensiones en un modelo óseo de resina cuando los armazones pasivados se montaron en los implantes. A pesar de no disponer de valores absolutos sobre la reducción de la distancia entre el armazón y los implantes con el método CTiP, es notable la pasivación del armazón frente a los análogos de los implantes en los modelos maestros34.
Para lograr una precarga óptima y una larga duración de la junta roscada sin aflojamiento o rotura es esencial que el ajuste sea aceptable y los valores de torque correctos11,35. La precarga adecuada aumentará al máximo la resistencia a la fatiga del tornillo a la vez que ofrecerá un grado razonable de protección frente al aflojamiento36. No se dispone de resultados clínicos que comparen la pérdida de precarga en las estructuras pasivadas mediante CTiP y en los modelos convencionales.
El objetivo de este estudio fue comparar la estabilidad de la junta roscada tras la función clínica entre los armazones CTiP y los modelos convencionales no pasivados. Se emitió la hipótesis de que la pérdida del valor de torque se ve reducida en los armazones pasivados (CTiP) en comparación con las barras modelo.
Materiales y métodos
Esta investigación clínica prospectiva y aleatorizada se llevó a cabo en la Dental Clinic 2 - Prosthetic de la Friedrich-Alexander University de Erlangen-Nuremberg. Los pacientes procedían de una clínica implantológica interdisciplinar y los tratamientos impantológicos fueron llevados a cabo por dos cirujanos y protésicos dentales experimentados. Los criterios de inclusión fueron los siguientes: personas con una edad mínima de 18 años y maxilar inferior totalmente edéntulo, debían haber solicitado una prótesis removible implantorretenida, no debían necesitar ningún procedimiento de aumento antes de la colocación de los implantes y debían estar física y psicológicamente preparados para el tratamiento implantológico. Los criterios de exclusión fueron: presencia de enfermedad periodontal maxilar no tratada, presencia de enfermedades sistémicas, pacientes sometidos a radioterapia en la zona de la cabeza y el cuello durante los 12 meses anteriores a la cirugía, hábitos parafuncionales severos (p. ej. bruxismo) y mala higiene oral o poca motivación.
Se solicitó la participación de todos los pacientes del estudio, que fue autorizado por el comité de ética de la FAU (n. 3084) y los pacientes firmaron el consentimiento informado. En el maxilar superior, 10 pacientes presentaban una dentición completa, 6 presentaban prótesis parciales removibles sobre la dentición natural, y 2 presentaron prótesis removibles implantosoportadas. Dos pacientes llevaban prótesis parciales fijas sobre la dentición natural.
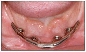
Veinte pacientes con maxilar inferior edéntulo fueron tratados de forma consecutiva con 4 implantes intraforaminales. Los implantes (Brånemark System, Nobel Biocare; Standard Implant, Straumann) se colocaron en la región del primer premolar y el segundo incisivo en ambas zonas del maxilar inferior y cicatrizaron de forma sumergida durante un mínimo de 3 meses. Los grupos Straumann y Brånemark formados cada uno por 10 pacientes se dividieron aleatoriamente en 2 subgrupos de 5 participantes. Estos subgrupos recibieron una superestructura de barra convencional o CTiP pasivada (figuras 1 y 2). Un paciente del grupo Brånemark convencional perdió un implante durante el período de cicatrización, y la barra se montó sobre 3 implantes. Se fabricaron cubetas de impresión personalizadas utilizando placas de resina fraguadas por luz (Palatray XL, Heraeus Kulzer). Después de la inserción de las cofias de impresión de los implantes se utilizó un poliéter (Impregum Penta, 3M, ESPE) para la impresión pick-up (técnica de la cubeta abierta). La réplica laboratorial del implante se unió a las cofias y se fabricó un modelo maestro con reproducción gingival de silicona.
Figura 1 Barra modelo de un paciente del grupo Cresco. Obsérvense las cabezas de los tornillos con la ranura.
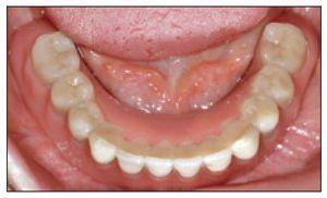
Figura 2 Prótesis removible de un paciente del grupo Cresco el día de la colocación.
Para la fabricación de barras convencionales sobre implante Straumann se utilizaron pilares SynOcta (altura de 1,5 mm). El resto de barras se modelaron directamente a nivel del implante. Los cilindros de oro mecanizados y de rotación simétrica se incluyeron en el encerado del armazón en los grupos convencionales Straumann (Sc) y Brånemark (Bc). Tras el encerado se realizó la inyección con una aleación reducida en oro (61 Z6, Teamziereis).
Para las barras pasivadas en los grupos Straumann-Cresco (SCr) y Brånemark-Cresco (BCr), los cilindros plásticos se atornillaron fuertemente en los análogos de los implantes y se completó el encerado y modelado de las barras con una aleación reducida en oro (61 Z6). Adicionalmente se incluyeron los cilindros de plástico prefabricados compatibles con el sistema de implantes y se modelaron con la misma aleación. Posteriormente, el modelo maestro unido al armazón se montó en un fijador y el armazón se sumergió en yeso en una posición horizontal y vertical fija. La unidad del armazón se separó del modelo maestro y los cilindros modelo con superficies idénticas a los implantes se ajustaron a los análogos de los implantes. Estos cilindros y las patas correspondientes del armazón se recortaron en el mismo plano horizontal y se armaron mediante soldadura láser, dando lugar a una superestructura ajustada de forma pasiva a los análogos. La fabricación de ambos tipos de armazones fue realizada por un laboratorio dental acreditado.
Antes de la colocación de las barras convencionales en los implantes Straumann, se ajustaron los pilares SynOcta a 35 Ncm. Esta junta se mantuvo durante todo el período.
Se utilizo un torquímetro electrónico personalizado con indicadores de tensión y una precisión de 0,1 Ncm para ajustar los tornillos del pilar. El torquímetro se conectó a una computadora para registrar los datos mediante un software personalizado.
Exceptuando las barras del grupo Sc, que fueron atornilladas aplicando 15 Ncm a nivel del pilar, el resto de barras (Bc, SCr y BCr) se atornillaron directamente a los implantes a 35 Ncm. En los grupos SCr y BCr se aplicaron tornillos de ranura recta fabricados con titanio de grado V. El tornillo de titanio de grado V del grupo Bc, así como el tornillo de titanio de grado IV presentaron una ranura hexagonal interna, y permitieron atornillar las barras del grupo Sc a los pilares SynOcta (figura 3). Antes del ajuste definitivo, los pernos se atornillaron una vez y se liberaron para suavizar las superficies de contacto. La pérdida de torque se determinó 1 semana (T1) y 3 meses (T2) después de colocar la superestructura protésica, y los tornillos se reajustaron hasta los valores recomendados.
Figura 3 Tornillos protésicos (de izquierda a derecha: Cresco, Brånemark, Straumann).
Todos los datos estadísticos fueron procesados mediante SPSS 14.0 para Windows. Las diferencias en la reducción de torque se compararon mediante el test no paramétrico de Kruskal-Wallis con un nivel de significancia de 0,05. Dado que se recomendaron diferentes valores de torque en función del sistema utilizado, además de los valores absolutos de pérdida de torque se evaluó el porcentaje de pérdida de torque para cada sistema.
Resultados
Todos los pacientes finalizaron el estudio y se evaluó el torque de aflojamiento de 79 tornillos de retención protésica. Los pacientes de los grupos estudiados, Straumann convencional (SC), Straumann Cresco (SCr), Brånemark convencional (Bc) y Brånemark Cresco (BCr) presentaron diferentes valores promedio de torque de desinserción (tabla 1). Los valores de torque de desinserción de los grupos estudiados presentaron diferencias estadísticamente significativas tanto en los períodos de observación T1 como T2 (p = 0,002 y p = 0,000, respectivamente) (figuras 4a y 4b), según el test de Kruskal-Wallis. La pérdida más pequeña de los valores absolutos de torque de desinserción 1 semana después de la colocación se produjo en el grupo Sc, que presentó un promedio de 4,51 Ncm. En comparación, el grupo Bc mostró la mayor reducción absoluta de los valores de torque, con un promedio de 11,24 Ncm (tabla 1).
Figura 4 Valores de la pérdida de torque en cada grupo de implante (a) 1 semana (T1) y (b) 3 meses (T2) después de la reconstrucción.
Después de 3 meses (T2), el grupo Sc presentó de nuevo la menor reducción en los valores absolutos de torque de desinserción (promedio: 5,08 Ncm).
Sin embargo, a la hora de evaluar el porcentaje de pérdida de torque en los diferentes grupos con respecto a los diferentes valores de torque inicial, no se observaron diferencias estadísticamente significativas con respecto al tiempo o al sistema (figuras 5a y 5b). En T1, los valores promedio del porcentaje de pérdida de torque fueron del 28,60 % para el grupo Sc, 30,04 % para el grupo Scr, 32,11 % para el grupo Bc y 25,33 % para el grupo BCr (p = 0,849). Tres meses después de la colocación de las prótesis, los valores promedio del porcentaje de pérdida de torque fueron del 32,85 % para el grupo Sc, 30,80 % para el grupo SCr, 21,03 % para el grupo Bc y 27,83 % para e grupo BCr (p = 0,058) (tabla 2).
Figura 5 Porcentaje de pérdida de torque en cada grupo de implante (a) 1 semana (T1) y (b) 3 meses (T2) después de la reconstrucción.
Discusión
El objetivo de este estudio fue evaluar la estabilidad de la junta roscada de los armazones pasivados CTiP tras su función clínica en comparación con los modelos convencionales no pasivados.
En la literatura, los estudios in vitro sin cargar la conexión del pilar al implante describen valores de torque de aflojamiento que oscilan entre el 70 y el 90 % del torque de ajuste inicial13,37-39. En una situación clínica, las fuerzas inducidas por la masticación son transferidas a través de la prótesis hacia el implante y el hueso40; asimismo, la junta roscada está cargada y pueden disminuir las fuerzas de precarga.
Se tuvieron en cuenta los diferentes valores de torque de 15 Ncm frente a 35 Ncm de los tornillos de las prótesis y se evaluó el porcentaje de pérdida de torque, prefiriéndose sobre los valores absolutos. En el estudio clínico aquí descrito, el porcentaje de la pérdida de torque osciló entre el 21,03 y el 32,85 %. Esto concuerda con otros estudios realizados in vitro13,37,38. La tensión en los tornillos inducida por las fuerzas masticatorias después del funcionamiento clínico a corto plazo pareció estar dentro del intervalo elástico, ya que no se produjo ninguna pérdida de torque adicional a los resultados in vitro sin que se ejerciera tensión en la junta donde se detectaron13,37,38. No se detectaron diferencias estadísticamente significativas con respecto al porcentaje promedio de pérdida de torque en los grupos en T1 y T2. Se detectaron porcentajes equivalentes de pérdida de los valores de torque en cada período de observación. Por tanto, se rechazó la hipótesis de trabajo que proponía que la estabilidad de la junta roscada de los armazones CTiP tras su función clínica sería superior a la de los modelos convencionales no pasivados; en lugar de ello, las superestructuras pasivadas no mostraron resultados superiores comparados con las barras modelo convencionales. Estos resultados concuerdan con los de Hjalmarsson y Smedberg, cuyo estudio clínico retrospectivo sobre la estabilidad de los tornillos de retención protésica de los armazones Cresco no arrojó resultados superiores en comparación con los modelos convencionales35.
La pasivación de las superestructuras protésicas es un objetivo clínico esencial ya que severas discrepancias entre los implantes y la superestructura pueden provocar fallos mecánicos en la restauración y los implantes, o complicaciones biológicas en los tejidos circundantes31,41. Una tensión mecánica excesiva podría provocar fracasos, incluido el aflojamiento de los tornillos de la prótesis y los pilares o la fractura de diferentes componentes del sistema42,43. Puesto que el modelo maestro es la base de la técnica CTiP, es imposible que se produzca un ajuste pasivo completo. Sin embargo, se proclama que los armazones fabricados mediante la técnica CTiP tienen un mejor ajuste en comparación con los modelos tradicionales22,34,44.
Cualquier laboratorio que trabaje con tecnología de unión, ya sea soldado o soldado mediante láser, debe prestar atención a la interfase. A pesar de que el análisis de elemento finito (FEM) indica que una unión mediante soldado por láser de 0,64 mm de grosor muestra una fuerza suficiente para resistir factores de tensión biomecánica, constituye un punto débil a lo largo del tiempo, ya que la tensión máxima se concentra en la interfase de soldado al armazón45,46. No se produjo ninguna fractura de las superestructuras en ninguno de los grupos durante todo este examen.
Un modelo de una sola pieza da lugar a una reconstrucción extremadamente estable y tiene la ventaja de reducir el riesgo de fractura de los armazones en comparación con los armazones soldados47,48. Sin embargo, no es fácil lograr la precisión adecuada de los armazones para implantes de arcada completa en una sola pieza en los casos en que se aplica la técnica de la cera perdida49. Para corregir un ajuste inaceptable de los modelos de aleación de oro, deben seccionarse y soldarse varias veces. Algunos autores desmienten que se produzca un mejor ajuste de las prótesis parciales fijas (PPF) tras dichos procesos25,47. Además, la fatiga de tracción en el punto de soldadura es responsable del fracaso, principalmente en las extensiones en cantiléver distal de las barras50. En el estudio aquí descrito, las barras no requirieron el proceso de separado y unión.
A la hora de colocar restauraciones implantorretenidas, es obligatorio utilizar un controlador de torque en lugar de un ajustador manual para obtener una precarga óptima. Un fuerte ajuste no comporta que los componentes del implante tengan la fuerza adecuada51. Para obtener valores de precarga comparables en este estudio se utilizó un dispositivo de torque calibrado. El ajuste de los componentes, la lubricación, el torque aplicado y su velocidad influyen en el coeficiente de fricción y, por lo tanto, el torque se aplicó de forma constante y repetida39. Para reducir la microrrugosidad de las superficies de contacto, aumentar la precarga y reducir al mínimo los efectos presivos de la junta roscada, los tornillos se atornillaron una vez y se liberaron antes del ajuste definitivo. Tras varios ciclos repetidos de ajuste y aflojamiento, la fricción disminuyó y la precarga aumentó13,39. El ajuste y la precisión de los componentes también influyeron en la precarga alcanzada. El uso de cilindros prefabricados tiene una ventaja sobre los patrones de plástico, tanto en la magnitud de la precarga como en la precisión37,52. Por tanto, los valores de la pérdida de torque de los armazones Cresco pueden verse afectados de forma negativa por el proceso de modelado de los cilindros plásticos en comparación con los cilindros de oro mecanizados en los grupos con barras convencionales.
Un examen más detallado permitió visualizar la dentición del maxilar superior y la posición del tornillo protésico en relación a la línea de fulcro. Las fuerzas inducidas por la masticación también dependen de la dentición opuesta y del tipo de restauración53,54. Por tanto, las fuerzas en los tornillos protésicos diferirán en función del diferente soporte oclusal. Además, los tornillos protésicos anteriores y posteriores en una barra de arcada completa están sometidos a diferentes cargas55,56. Al Jabbari y cols. detectaron una tasa notable de agrietamiento y una tasa de fractura mayor en los tornillos de retención anteriores de las prótesis híbridas tras el uso a largo plazo in vivo57,58.
Se ha recomendado que los pacientes acudan de forma regular para realizar controles clínicos y radiográficos que permitan mantener el éxito clínico de cualquier restauración2,59. Dado que el aflojamiento, la deformación y la fractura de los tornillos son las complicaciones más habituales en odontología implantoprotésica, es de interés clínico primordial programar las citas de los pacientes a intervalos adecuados42. En general, el análisis después de 3 meses indica una precarga suficiente de los tornillos, independientemente del sistema utilizado. Es aconsejable el retorque de los tornillos de retención después de los primeros 6 meses para compensar el aflojamiento a corto plazo57.
En ambos períodos de observación, el menor porcentaje de pérdida de torque se detectó en los grupos en los que las barras se modelaron directamente a nivel del implante, mientras que el mayor porcentaje se detectó al cabo de 3 meses, en el grupo Straumann con el uso de pilares SynOcta. Si la angulación del implante y la forma de la conexión interna no requieren el uso de pilares, la ventaja adicional de las sobredentaduras retenidas mediante barras no es destacable. Para una apreciación más exacta es necesario un examen más detallado con el mismo número de barras con y sin el uso de pilares.
Los diseños geométricos como la longitud y el diámetro de la espiral, la microestructura y los principales componentes de la aleación influyen en la precarga de los tornillos de retención57,60. Desgraciadamente, no existen especificaciones escritas sobre los componentes de los implantes protésicos58. Todos los tornillos estuvieron formados por una aleación de titanio con cabeza plana, garantizando la retención segura de las restauraciones61. El tornillo protésico convencional Straumann con el menor valor de torque presentó el mayor porcentaje de pérdida de torque. El diámetro principal y su corta longitud total evitan la fractura por fatiga en la zona que soporta la carga62. Quizás un aumento de valor de torque podría ser beneficioso para la estabilidad entre el armazón, los pilares SynOcta y los impantes60.
Los resultados de los autores después de 3 meses indican que la menor reducción de los valores precarga de los tornillos se registró en el grupo de modelo convencional. Una explicación del mejor resultado mostrado por la barra convencional es que en los grupos CTiP se utilizaron los tornillos de ranura recta suministrados por el fabricante, mientras que en la unión de las barras convencionales a los implantes se utilizaron tornillos de hexágono interior. Asumiendo que los armazones fabricados con la técnica CTiP tienen un mejor ajuste que los modelos convencionales, el diseño de los tornillos es uno de los factores decisivos para obtener valores de torque ideales44. En un estudio clínico retrospectivo, Kallus y Bessing destacaron que eran preferibles las cabezas de tornillo con hexágono interior, ya que el ajuste era mayor que con los tornillos de ranura10.
Esto probablemente se deba a que la fuerza de transferencia no es la ideal al ajustar tornillos con ranura, ya que existe una mayor probabilidad de resbalamiento y desangulación del destornillador. Además, un tornillo con ranura acepta solamente una posición del torquímetro en contraposición a las 6 posiciones de un tornillo con hexágono interior, lo que complica la aplicación del torque por accesos profundos restringidos y mala visibilidad51. Si los implantes están angulados en el método CTiP sin pilares, solamente una determinada porción del destornillador encaja con la ranura, lo que provoca una reducción del torque y una precarga insuficiente.
Por tanto, un tornillo con hexágono interno y una angulación mínima del destornillador con respecto a la ranura proporcionan una precarga adecuada. Esto, junto con la pasivación de la superestructura protésica, creará las bases para una junta roscada fiable sometida a desgaste clínico. Independientemente del ajuste más o menos pasivo, es esencial realizar el retorque anual de los tornillos tras el primer año de funcionamiento57.
Conclusión
Sobre la base de la propuesta de que las barras de precisión Cresco Ti tienen un mejor ajuste en comparación con las barras modelo, pueden derivarse las siguientes conclusiones:
La mejora del ajuste de la barra modelo con la técnica de precisión Cresco Ti no permite reducir la inevitable disminución de la precarga del tornillo pilar.
En situaciones clínicas cabe esperar una reducción general de aproximadamente el 30 % de los valores de torque iniciales, independientemente del sistema de implante utilizado.
El uso de un controlador de torque permite obtener conexiones fiables entre la barra y el implante.
Los tornillos protésicos de ranura hexagonal interior transfieren mejor la fuerza de ajuste del torque aplicado.
Correspondencia: Dr Johannes Schmitt,
Department of Prosthodontics, Friedrich-Alexander-University Erlangen-Nuremberg, Glueckstr. 11, 91054 Erlangen, Germany.
Fax: 09131/8536781.
e-mail: johannes.schmitt@uk-erlangen.de








