Introducción
La arteritis de células gigantes (ACG), también denominada arteritis de la temporal o arteritis granulomatosa, es una vasculopatía inflamatoria idiopática que afecta a arterias de mediano y gran calibre. La lesión anatomopatológica se caracteriza por la infiltración de linfocitos T y macrófagos, que en ocasiones se organizan formando auténticos granulomas1. La inflamación de la pared de los vasos conduce a la oclusión de la luz arterial y a la isquemia de los tejidos. Aunque las manifestaciones clínicas características de la ACG dependen en gran medida de la afectación de arterias de calibre mediano dependientes de la arteria carótida, recientemente ha suscitado un gran interés la afectación de la aorta, principalmente en su primer y segundo tramos, en el seno de la ACG, que en ocasiones puede condicionar la formación de un aneurisma o la disección de la pared del vaso1. Presentamos un caso de ACG complicado con un aneurisma de la aorta ascendente.
Caso clínico
Varón de 76 años, de raza blanca, con antecedentes personales de hipertensión arterial, litiasis renal y resección transuretral de un adenoma de próstata. En diciembre de 1998 desarrolló cefalea holocraneal de reciente comienzo y sensibilidad dolorosa en el cuero cabelludo, sin otra sintomatología acompañante. La exploración física puso de manifiesto sensibilidad dolorosa a la presión en la arteria temporal izquierda, con pulsos conservados y sin nodulaciones. El resto de la exploración general fue normal. Las series hemáticas demostraron como única alteración una hemoglobina de 12 g/dl. La velocidad de sedimentación globular (VSG) fue de 116 mmHg a la primera hora. Se realizó una biopsia de arteria temporal izquierda que puso de manifiesto una proliferación de la íntima y un engrosamiento de la media, sin infiltrado inflamatorio. La evaluación oftalmológica fue normal. El paciente fue diagnosticado de ACG y tratado con prednisona (40 mg/día), ácido acetilsalicílico, omeprazol, suplementos de calcio y vitamina D, y risedronato, con un espectacular control de sus síntomas en las primeras 48 h de tratamiento, así como normalización de la VSG. El paciente permaneció asintomático durante 2 años, hasta la suspensión completa del tratamiento esteroideo. En octubre de 2001 reaparecieron la cefalea holocraneal y la elevación de los reactantes de fase aguda, y se trató de nuevo con prednisona, con favorable respuesta clínica y analítica.
En enero de 2004 el paciente acudió de nuevo por un cuadro de dolor en la pantorrilla izquierda, con aumento del perímetro de ambas piernas, sobre todo de la izquierda. La presión arterial era de 145/75 mmHg en el brazo derecho y 135/75 mmHg en el izquierdo. No existían cordones venosos y la prueba de Hommans fue negativa. La auscultación cardíaca mostraba un soplo sistólico polifocal, no recogido en las anteriores exploraciones físicas.
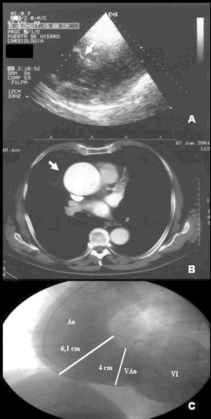
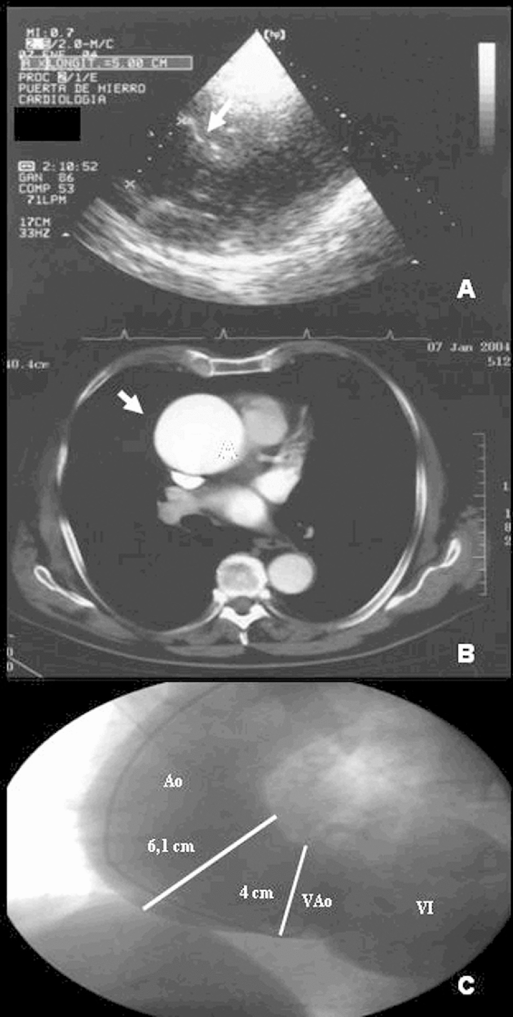
Se realizaron diferentes pruebas complementarias. La ecografía-Doppler descartó trombosis venosa o quiste de Baker. El electrocardiograma mostró un bloqueo anterior de la rama izquierda y fibrilación auricular. La radiografía de tórax puso de manifiesto un ensanchamiento de la silueta de la aorta torácica. El ecocardiograma evidenció una insuficiencia aórtica grave y una dilatación de la aorta ascendente, con un diámetro de 50 mm (fig. 1A). La tomografía computarizada (fig. 1B) confirmó la presencia de un gran aneurisma de la aorta ascendente, sin signos de disección. El estudio hemodinámico previo a la cirugía puso de manifiesto una dilatación aneurismática de la aorta ascendente (fig. 1C).
Figura 1. A) Ecocardiografía que pone de manifiesto un aneurisma de aorta ascendente. B) Tomografía computarizada que muestra la existencia de aneurisma de aorta ascendente. C) Aortografía realizada en proyección oblicua anterior izquierda que muestra dilatación aneurismática de aorta (Ao) ascendente. Contrastación de ventrículo izquierdo (VI) similar a la Ao, que indica la presencia de insuficiencia aórtica grave. VAo: válvula aórtica.
El paciente fue tratado quirúrgicamente mediante sustitución valvular aórtica e implantación de un tubo aórtico supracoronario, con evolución clínica favorable.
Discusión
La ACG aparece preferentemente en individuos mayores de 50 años, y su incidencia aumenta progresivamente con la edad. Las mujeres se afectan con mayor frecuencia, con una relación de 2-3/12. La frecuencia de la ACG es mayor en países escandinavos y en regiones habitadas por individuos descendientes de europeos septentrionales, con una incidencia anual de entre 15-25/100.000 habitantes3. Se ha descrito la implicación del complejo mayor de histocompatibilidad de clase II en la susceptibilidad a desarrollar ACG, en concreto el HLA-DRB1*04, en una población afecta de esta enfermedad en Lugo4.
El proceso inflamatorio en la ACG se localiza principalmente en los vasos que se originan en el cayado aórtico. La afectación vascular suele ser parcheada o segmentaria. En estudios de necropsia se han hallado lesiones en la aorta proximal y distal en un 1,6% de 889 casos post mortem5. Se puede observar necrosis en porciones de la pared arterial, así como granulomas. La trombosis puede aparecer como un proceso secundario a la inflamación activa de la pared arterial. Más tarde, estas áreas pueden recanalizarse. Es importante resaltar que la disección aneurismática del vaso y la hemorragia no ocurren en las arterias de mediano calibre (arterias temporal, subclavia o axilar) sino que se limitan a la arteria aorta1.
Las manifestaciones clínicas de la ACG dependen del daño vascular y de la presencia del proceso inflamatorio sistémico1. Las manifestaciones relacionadas con el daño vascular son típicamente la cefalea, la hiperestesia del cuero cabelludo, la claudicación mandibular o los síntomas oculares, como la amaurosis fugax y diplopía.
Se calcula que entre un 10 y un 15% de los pacientes con ACG presentan afectación aórtica sintomática pero, debido a la clínica silente, esta afectación podría ser incluso más frecuente1. La aorta puede afectarse en toda su extensión pero las complicaciones se localizan más frecuentemente en el cayado aórtico y en la aorta torácica, y es más infrecuente la afectación de la aorta abdominal6.
Hoffman ha resaltado las diferencias anatómicas y fisiológicas entre las diferentes porciones de la aorta7. De hecho, la aorta es un vaso heterogéneo a lo largo de su extensión. Los estudios post mortem han demostrado que la localización más frecuente de los aneurismas aórticos de origen inflamatorio es la aorta torácica. El grosor de la pared y la concentración de vasa vasorum en la pared aórtica van disminuyendo desde la región torácica hasta la abdominal. Diferentes estudios han demostrado que la síntesis del colágeno y la elastina, así como el grosor de la membrana elástica y el número de láminas elásticas, disminuyen conforme nos alejamos de la raíz aórtica7. Con el envejecimiento, la aorta presenta un aumento de la fragmentación y degeneración de la elastina que conduce a una mayor rigidez y pérdida de elasticidad.
Nuenninghoff et al8 han publicado recientemente un estudio sobre la incidencia y los factores predictores de complicaciones en arterias de gran calibre en pacientes con ACG. En el estudio se obtuvo un 27% de casos incidentes de complicaciones en arterias de gran calibre en el grupo estudiado. Predominaron los casos de disección de aneurisma aórtico, la mayoría en la aorta torácica. La hiperlipemia y la enfermedad coronaria se asociaron al desarrollo de aneurisma aórtico y/o disección en el seno de la ACG. Comparadas estas cifras con la frecuencia de complicaciones de grandes vasos en la población general no diagnosticada de ACG, la frecuencia de aneurisma de aorta torácica y abdominal era 17,3 y 2,4 veces superior, respectivamente.
La afectación de la aorta ascendente clínicamente puede manifestarse como insuficiencia aórtica, disnea de esfuerzo, dolor torácico resultante de la disección aórtica, cardiopatía isquémica o muerte súbita. La afectación de la aorta ascendente es un evento tardío de la ACG, y se presenta varios años después del diagnóstico de la enfermedad, con una mediana de 7 años6. En otros enfermos, la afectación aórtica o de sus ramas principales puede manifestarse únicamente como un síndrome de cayado aórtico caracterizado por claudicación vascular de miembros superiores, soplos arteriales, disminución de pulsos y asimetría en la determinación de la presión arterial.
El pronóstico de la afectación de la aorta torácica en la ACG es malo. El estudio de Nuenninghoff et al, referido previamente9 demuestra que la mortalidad es marcadamente mayor en los pacientes con disección de la aorta torácica, con una mediana de supervivencia de 1,1 años. Este aumento de mortalidad se relacionaba con un tratamiento glucocorticoideo insuficiente durante el primer año tras el diagnóstico.
En resumen, presentamos un caso que ejemplifica la asociación característica, aunque infrecuente, de aneurisma de aorta ascendente en un paciente previamente diagnosticado de ACG. El clínico debe mantener un alto grado de sospecha sobre estas complicaciones en la aorta en los pacientes diagnosticados de ACG por las implicaciones pronósticas y la gravedad de estas manifestaciones tardías de la ACG.
