Appendiceal mucinous neoplasms (AMNs) represent an infrequent type of appendiceal tumour, characterised by their potential for aggressive biological behaviour and the possibility of developing peritoneal carcinomatosis. There is still uncertainty about which variables can predict the clinical evolution and recurrence risk of this disease. The primary objective of this study is to reevaluate cases of AMN diagnosed at our institution to identify morphological and clinical factors that may serve as predictors of recurrence. A retrospective study of 49 patients diagnosed with AMN at tertiary hospital from 2011 to 2023 was carried out. Histological parameters, such as architectural pattern, mitotic index, and loss of polarity, along with pre- and post-operative clinical data were collected. Variables significantly associated with the first recurrence were surgical reintervention (p=0.002), death due to AMN (p=0.008), carcinomatosis at diagnosis (p=0.003), adjuvant therapy (p=0.01), TNM stage (p=0.01), morphological pattern (p=0.02), and loss of nuclear polarity (p=0.02). Survival analysis revealed that an undulating pattern (p=0.04) and the presence of micropapillary structures (p=0.01) were associated with an increased risk of recurrence. In contrast, the risk of recurrence decreased with increasing age (p=0.02) and focal loss of nuclear polarity. The risk was higher in cases classified as HAMN (p=0.008). The results indicate that age and focal loss of nuclear polarity are inversely correlated with recurrence risk, while an undulating pattern and the presence of micropapillary structures are directly correlated with time to first recurrence. These findings contribute to improved risk stratification and the optimization of therapeutic strategies for patients with AMN.
Las neoplasias mucinosas apendiculares (NMA) son tumores infrecuentes del apéndice que pueden mostrar un comportamiento biológico agresivo y producir carcinomatosis peritoneal. Todavía persiste la incertidumbre sobre las variables capaces de predecir la evolución clínica y el riesgo de recurrencia. El principal objetivo de este estudio es reevaluar los casos de NMA diagnosticados en nuestro centro para identificar factores histológicos y clínicos de predicción de recaída. Se realizó un estudio retrospectivo que incluyó a 49 pacientes de un hospital terciario diagnosticados de NMA entre 2011 y 2023. Se recopilaron variables histológicas como patrón epitelial arquitectural, polaridad nuclear e índice mitótico, así como datos clínicos pre y posquirúrgicos. Las variables asociadas significativamente con la primera recaída fueron la reintervención quirúrgica (p=0,002), carcinomatosis en el diagnóstico (p=0,003), fallecidos por NMA (p=0,008), tratamiento adyuvante (p=0,01), estadio TNM (p=0,01), patrón morfológico (p=0,02) y pérdida de polaridad nuclear (p=0,02). El análisis de supervivencia mostró que el patrón ondulante (p=0,04) y la presencia de estructuras micropapilares (p=0,01) aumentaron el riesgo de recurrencia. El riesgo de recurrencia disminuyó con la edad (p=0,02) y la pérdida de polaridad focal (p=0,01), mientras que aumentó en los casos clasificados como HAMN (p=0,008). Estos resultados revelan que la edad y la pérdida de polaridad focal presentaron una correlación inversa, mientras que el patrón ondulante y las estructuras micropapilares se correlacionaron directamente con el tiempo hasta la primera recaída. Estos hallazgos podrían ser relevantes para la estratificación del riesgo y la optimización de las estrategias terapéuticas en pacientes con NMA.
Appendiceal mucinous neoplasms (AMNs) are a relatively rare type of appendiceal tumour, accounting for 1% of all appendectomies.1,2 According to the latest edition of the World Health Organization (WHO) Classification of Digestive Tumours, AMNs are subdivided into two categories: low-grade appendiceal mucinous neoplasms (LAMN) and high-grade appendiceal mucinous neoplasms (HAMN).3,4
LAMN is characterized by a flat, undulating, or villous architectural pattern, accompanied by low-grade cytological atypia. High-grade appendiceal mucinous neoplasm (HAMN) may exhibit patterns similar to LAMN but typically shows high-grade cytological atypia and a more complex architecture, including micropapillary, cribriform, or multilayered epithelial growth.3,5,6 Both categories are defined by a pushing margin, unlike appendicular adenocarcinoma. However, they can perforate the appendicular serosa and spread throughout the peritoneal cavity, leading to a condition clinically termed pseudomyxoma peritonei (PMP).7,8 As a result, these neoplasms can present a wide range of clinical symptoms, from acute appendicitis to abdominal distension caused by mucin accumulation in the peritoneum.3 This latter presentation is common, as most studies reviewed report a high percentage of appendiceal rupture on macroscopic evaluation.2,6
The treatment of AMNs is guided by the histological subtype and the presence of PMP. For cases of LAMN without perforation or peritoneal involvement, both European and American guidelines of Colon and Rectum Surgery concur that appendectomy alone is sufficient, with low recurrence rates.8,9 The management of HAMN remains more controversial. Although it does not present an infiltrative margin, some authors recommend treating it as a mucinous adenocarcinoma and thus consider surgical treatment with right hemicolectomy to reduce the risk of developing peritoneal disease.9 For both LAMN and HAMN with evidence of peritoneal dissemination, the recommended therapy is cytoreduction surgery (CRS) and hyperthermic intraperitoneal chemotherapy (HIPEC).8,9
Despite numerous studies and consensus guidelines on how to manage these neoplasms, predicting which cases will develop PMP and recurrence remains challenging.7,8 Clinicopathological variables such as involved margins, appendiceal rupture, or the presence of mucin and neoplastic cells outside the appendix at diagnosis are strongly correlated with a worse prognosis and a high risk of developing PMP.7,10 However, few studies compare LAMN and HAMN to determine if there are prognostic differences between the two groups, and the results remain variable.2,11
The aim of this study is to reevaluate 49 cases of AMNs collected at our institution to identify clinical and histopathological parameters that could serve as predictive factors for recurrence.
Material and methodsStudy designRetrospectively, we selected a cohort of 49 patients diagnosed at our institution with AMN or PMP secondary to AMN between January 2011 and January 2023. Mucinous neoplasms of non-appendiceal origin and mucinous adenocarcinoma were specifically excluded from this study. Cases were retrieved from the databases of the “Pat-Win v.4.11.11.0” program in the Pathology Unit at Hospital Universitario y Politécnico La Fe in Valencia. This study was approved by our Institutional Review Board (approval number 2023-1221-1).
Histological and immunohistochemical studyHistological data from 49 cases were collected and validated by two pathologists (CR and FG) specialized in digestive pathology. The primary appendiceal tumour and peritoneal carcinomatosis were evaluated in all cases, except for two patients where only peritoneal carcinomatosis data were available. The two pathologists reviewed haematoxylin and eosin-stained (H&E) slides for each case, blinded to the clinical data. The following histological features were assessed for each case: grade of cytological atypia, loss of nuclear polarity, architectural pattern (flat, undulating, villous), presence or absence of cribriform and micropapillary structures, presence of multilayered epithelial growth, mitotic index, perforation of the serosa, and TNM stage. TNM staging was performed according to the 8th edition of the American Joint Committee on Cancer (AJCC) guidelines. Two grades of cytological atypia were determined: low-grade (nucleomegaly, mild nuclear stratification, and rare mitotic figures) and high-grade (full-thickness nuclear stratification, hyperchromatic nuclei, prominent nucleoli, and high mitotic activity).
Each appendiceal tumour was categorized based on its predominant architectural pattern. For cases of HAMN, we also recorded the presence or absence of cribriform structures, micropapillary structures, and multilayered epithelium growth. A flat pattern was defined when the tumour predominantly consisted of a single layer of neoplastic mucinous epithelium, whereas the undulating pattern showed occasional small epithelial tufts. The villous pattern was characterized by villous projections. Cribriform structures consisted of tumoral glands with multiple lumens, and micropapillary structures were defined by epithelial cells arranged in clusters towards the lumen, without associated supporting fibrovascular tissue. Lastly, multilayered epithelial growth was characterised by multiple layers of disordered tumour cells.
Tumours were reclassified as LAMN or HAMN based on the morphological criteria (architecture and grade of cytologic atypia) outlined by the WHO. We specified whether nuclear polarity loss was focal, observed in some areas of the tumour epithelium, or diffuse, involving the entire epithelium. Mitotic counting involved assessing the number of mitotic figures in 10 fields at 40× magnification within the neoplastic epithelium. We also performed the Ki67 proliferation index, quantifying it as a percentage in the hot-spot area at 40× magnification.
Clinical data sourceThe clinical and demographic data of 49 patients were extracted from the clinical records provided by the Colorectal Surgery Unit of our institution. The recorded clinical variables included age, sex, peritoneal carcinomatosis at diagnosis, type of surgical procedure, adjuvant therapy, recurrence, surgical reintervention, follow-up time and time to death (in months since diagnosis).
Carcinomatosis at diagnosis was determined using computed tomography (CT). The types of surgery performed included appendectomy, right hemicolectomy, cytoreductive surgery, and surgeries for exploration or management of complications.
Furthermore, we documented patients’ first recurrence, including those who initially had appendiceal tumour and developed carcinomatosis after surgery, as well as those who presented with AMN and peritoneal carcinomatosis and experienced their first recurrence after surgery. The partial or complete resolution of the disease between the initial surgery and recurrence was confirmed in all cases through follow-up imaging. Additionally, we recorded the time, in months, from the initial surgery to the first recurrence.
Statistical analysisWe performed descriptive data analysis, determining frequencies and percentages for categorical variables, and expressing continuous variables as medians. We evaluated the association between each variable and first recurrence using Fisher's exact test for categorical variables and the Mann–Whitney test for continuous variables. The Kaplan–Meier method was used to analyse the effects of each variable on survival outcomes, and multivariable Cox regression was employed to assess each variable's impact on the time to recurrence. Statistical significance was defined as a p-value <0.05.
ResultsClinical findingsIn this study, we identified 49 patients who were diagnosed with AMN between January 2011 and January 2023. Clinical details for these patients are summarised in Table 1, including overall data as well as stratification by the presence or absence of recurrence. The patients’ ages ranged from 16 to 80 years (mean age, 61 years), and 77.55% were female. Of these patients, 41 (83.67%) were diagnosed with LAMN, and 8 (16.33%) were diagnosed with HAMN. Peritoneal dissemination was present at diagnosis in 63.27% of cases, as detected by CT. Most primary surgeries performed included CRS (55.10%), appendectomy (26.53%) and right hemicolectomy (12.24%). HIPEC was administered during the first surgery in 43.48% of cases. Additionally, 17.78% of patients received adjuvant chemotherapy.
Clinical and demographic features of patients stratified by recurrence.
| Parameter | Non-recurrenceN=38 | RecurrenceN=11 | TotalN |
|---|---|---|---|
| Age in years, median (range) | 64.5 (16–80) | 59.0 (36–72) | 61 (16–80) |
| Gender, n (%) | |||
| Male | 8 (72.73%) | 3 (27.27%) | 11 (22.45%) |
| Female | 30 (78.95%) | 8 (21.05%) | 38 (77.55%) |
| Surgery, n (%) | |||
| Right hemicolectomy | 5 (83.33%) | 1 (16.67%) | 6 (12.24%) |
| Appendectomy | 12 (92.31%) | 1 (7.69%) | 13 (26.53%) |
| CRS | 19 (70.37%) | 8 (29.63%) | 27 (55.10%) |
| Others | 2 (66.67%) | 1 (33.33%) | 3 (6.12%) |
| HIPEC during first surgery, n (%) | 13 (65.00%) | 7 (35.00%) | 20 (43.48%) |
| Peritoneal carcinomatosis at diagnosis of AMN, n (%) | 20 (64.52%) | 11 (35.48%) | 31 (63.27%) |
| Reintervention, n (%) | 13 (54.17%) | 11 (45.83%) | 24 (50%) |
| Adjuvant therapy, n (%) | 3 (37.50%) | 5 (62.50%) | 8 (17.78%) |
| Recurrence, n (%) | 11 (22.45%) | ||
| Time to first recurrence in months, median (range) | 22.36 (3–72) | ||
| Follow-up period in months, median (range) | 65 (9–131) | ||
| Death, n (%) | 2 (40.00%) | 3 (60.00%) | 5 (10.20%) |
| Death by AMN, n (%) | 0 (0%) | 2 (100%) | 3 (6.12%) |
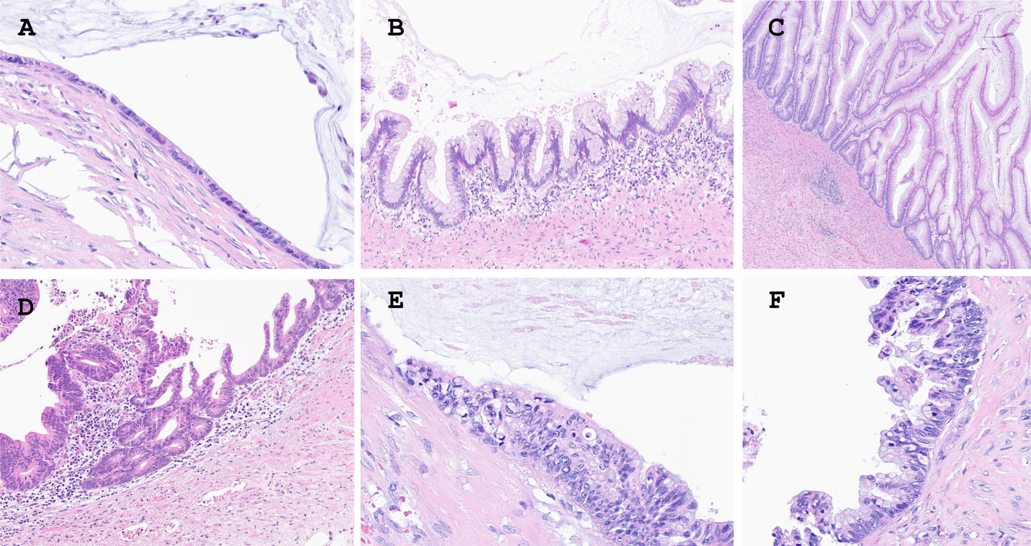
Histological characteristics of the overall cohort and stratified by recurrence are described in Table 2. Margins were free after primary surgery in 75.51% of patients. Microscopic perforation of the appendiceal serosa was identified in 64.58% of cases. The predominant TNM stage in both LAMN and HAMN was pT4a, observed in 61.22% of cases. However, within LAMN, a higher proportion of cases were classified as pTis compared to HAMN (34% vs 12.5%). Typical histological patterns are shown in Fig. 1. The most frequently observed architectural pattern was flat (50%), followed by villous (31.25%) and undulating (18.75%). While HAMN exhibited architectural features like those of LAMN, it also demonstrated areas of greater architectural complexity, with cribriform and multilayered patterns being the most prevalent. Loss of nuclear polarity was observed in 44.89% of cases, with diffuse loss in 10.20% of cases. The average mitotic count was 3.2, with a minimum of 0 and a maximum of 26. The average Ki67 index was 12%, with a minimum of 0% and a maximum of 70%.
Histological characteristics of the sample stratified by recurrence.
| Parameter | Non-recurrenceN=38 | RecurrenceN=11 | TotalN |
|---|---|---|---|
| Histological subtype, n (%) | |||
| LAMN | 33 (80.49%) | 8 (19.51%) | 41 (83.67%) |
| HAMN | 5 (62.50%) | 3 (37.50%) | 8 (16.33%) |
| pTNM, n (%) | |||
| pTis | 15 (100%) | 0 (0%) | 15 (30.61%) |
| pT3 | 1 (100%) | 0 (0%) | 1 (2.04%) |
| pT4a | 19 (63.33%) | 11 (36.67%) | 30 (61.22%) |
| pT4b | 3 (100.00%) | 0 (0%) | 3 (6.12%) |
| Margins following primary surgery, n (%) | |||
| Free margins | 30 (81.80%) | 7 (18.92%) | 37 (75.51%) |
| Margins involved | 1 (100.00%) | 0 (0%) | 1 (2.04%) |
| Not evaluable | 7 (63.64%) | 4 (36.36%) | 11 (22.45%) |
| Perforation of the serosa, n (%) | |||
| Yes | 22 (70.97%) | 9 (29.03%) | 31 (64.58%) |
| No | 16 (94.12%) | 1 (5.88%) | 18 (35.42%) |
| Architectural pattern, n (%) | |||
| Flat | 19 (79.17%) | 5 (20.83%) | 24 (50%) |
| Villous | 14 (93.33%) | 1 (6.67%) | 15 (31.25%) |
| Undulating | 4 (44.44%) | 5 (55.56%) | 9 (18.75%) |
| Not applicable | 1 | 0 | 1 |
| Cribriform structures, n (%) | |||
| Yes | 4 (66.67%) | 2 (33.33%) | 6 (12.24%) |
| No | 34 (79.07%) | 9 (20.93%) | 43 (87.76%) |
| Micropapillary structures, n (%) | |||
| Yes | 2 (40.00%) | 3 (60.00%) | 5 (10.20%) |
| No | 36 (81.82%) | 8 (18.18%) | 44 (89.90%) |
| Multilayered growth, n (%) | |||
| Yes | 8 (88.89%) | 1 (11.11%) | 9 (18.37%) |
| No | 30 (75.00%) | 10 (25.00%) | 40 (81.63%) |
| Multilayered | 8 (88.89%) | 1 (11.11%) | 9 (18.37%) |
| Loss of polarity, n (%) | |||
| Absent | 20 (74.07%) | 7 (25.93%) | 27 (55.10%) |
| Focal | 16 (94.12%) | 1 (5.88%) | 17 (34.69%) |
| Diffuse | 2 (40.00%) | 3 (60.00%) | 5 (10.20%) |
| Mitotic index, median (range) | 3.3 (0–26) | 2.5 (0–10) | 3.2 (0–26) |
| Ki 67%, median (range) | 2.5 (0–70) | 7 (0–20) | 12 (0–70) |
Typical architectural features of LAMN. (A) This LAMN case shows flat epithelial growth (H&E, 40×). (B) A LAMN case with an undulating pattern (H&E, 40×). (C) A LAMN case with a villous pattern (H&E, 20×). (D) A HAMN showing the presence of cribriform structures (H&E, 40×). (E) A HAMN case with multilayered epithelial growth (H&E, 40×). (F) A HAMN case with presence of micropapillary structures (H&E, 40×).
Follow-up data were available in all cases, with a median follow-up period of 65 months. Recurrence occurred in 22.45% of patients after the first surgery, and 62.50% of these cases required reintervention. Among patients who experienced their first recurrence, a higher percentage of cases was observed in HAMN compared to LAMN (37.50% vs 19.51%). Only 5 patients died, 3 of whom died due to AMN (2 of which were LAMN), while the remaining 2 patients died due to other unrelated causes.
Statistical studyAll clinical, histological and immunohistochemical parameters were studied as described in Tables 1 and 2. The results of the univariate analysis using Fisher's exact test for the association between categorical variables and recurrence are shown in Table 3. Reintervention (p=0.0002), carcinomatosis at diagnosis (p=0.003), death due to AMN (p=0.008), adjuvant therapy (p=0.01), TNM stage (p=0.01), loss of nuclear polarity (p=0.02), and architectural pattern (p=0.02) were all significantly associated with recurrence. No statistical differences in recurrence were identified based on the histological subtype of AMN (p=0.35).
Results of the association study between categorical variables and recurrence using Fisher's exact test.
| Parameter | p-Value |
|---|---|
| Reintervention | 0.0002 |
| Carcinomatosis at diagnosis | 0.0037 |
| Death due to AMN | 0.0089 |
| Adjuvant therapy | 0.0140 |
| TNM stage | 0.0154 |
| Loss of nuclear polarity | 0.0297 |
| Architectural pattern (flat/undulating/villous) | 0.0268 |
| Subtype of AMN (LAMN/HAMN) | 0.3554 |
| Micropapillary structures | 0.0676 |
| Cribriform structures | 0.6051 |
| Multilayered growth | 0.6622 |
| Sex | 0.6922 |
| Type of surgery | 0.4401 |
| Perforation of the serosa | 0.0743 |
There was no significant association between the Ki-67 index and the incidence of recurrence in the univariate analysis using the Mann–Whitney U test for continuous variables (p=0.76).
The same parameters that showed a significant association with recurrence in the univariate analysis (reintervention, carcinomatosis at diagnosis, death due to AMN, adjuvant therapy, TNM stage, loss of nuclear polarity, and architectural pattern) were also significant in the survival analysis. Fig. 2 shows the results of the survival analysis, focusing on the probability of non-recurrence based on the predominant architectural patterns (flat, undulating, villous) at 12, 24, 72, and 120 months. Interestingly, patients with a villous architectural pattern (p=0.04) and absence of papillary structures (p=0.01) demonstrated a significantly lower risk of recurrence in survival analysis, while those with an undulating pattern and presence of papillary structures showed a higher risk of recurrence. As in the univariate analysis, no significant differences in recurrence were found regarding the histological subtype of AMN in the survival analysis (p=0.3).
Kaplan–Meier curves showing the overall probability of non-recurrence, stratified by the most common architectural patterns (red line: flat; green line: undulating; blue line: villous). Time in months is displayed on the x-axis, and the probability of non-recurrence is shown on the y-axis. At the bottom of the figure, a risk table indicates the number of patients at risk at each time point.
Multivariate analysis using the Cox proportional hazards model identified younger age, HAMN subtype, and undulating pattern as significant factors associated with increased recurrence rates, while focal loss of polarity was linked to a lower risk of recurrence (Table 4). Specifically, each additional year of age decreased the risk of recurrence by a factor of 0.92 (p=0.02), while focal loss of polarity reduced the risk by a factor of 0.02 (p=0.01). Cases classified as HAMN had a higher risk of recurrence, with a hazard ratio of 41.1 (p=0.008), while those with an undulating pattern showed an increased risk, with a hazard ratio of 8.03 (p=0.02).
Cox regression coefficients, exponentiated coefficients (Exp), and p-values for the overall cohort.
| Parameter | Coefficient | Exp (coefficient) | p-Value |
|---|---|---|---|
| Age | −0.076 | 0.926 | 0.027 |
| Mitotic index | −0.185 | 0.830 | 0.306 |
| Focal loss of polarity | −3.733 | 0.023 | 0.019 |
| Diffuse loss of polarity | 0.628 | 1.875 | 0.480 |
| HAMN | 3.717 | 41.14 | 0.008 |
| Undulating pattern | 2.084 | 8.038 | 0.028 |
| Villous pattern | −0.354 | 0.701 | 0.811 |
| Multilayered growth | −0.131 | 0.876 | 0.935 |
Appendiceal mucinous neoplasm is a relatively rare tumour that can follow an aggressive course with peritoneal dissemination and a variable prognosis 3. The results of our present study highlight the clinical and histological aspects of AMNs and demonstrate how these factors influence prognosis.
In terms of demographics, the mean age of our patients aligns with findings in the literature, with a higher frequency of these tumours observed in the sixth decade of life.1,3,10 Regarding gender distribution, results from different studies are mixed. According to the WHO and other series, there is no sex preference3,10; however, other reports indicate a slight predominance in women, as observed in our study.12
LAMN was the most frequent subtype, as reported in most reviewed studies.2,11,13 In our series, the tumour cells within LAMN contained multiple mucin vacuoles, and the nuclei were elongated, slightly hyperchromatic, and lacked prominent nucleoli. Mitotic figures were scarce. In contrast, HAMN exhibited a greater degree of cytological atypia, with neoplastic cells displaying reduced mucin, pseudo-stratified, hyperchromatic nuclei, prominent nucleoli, and abundant mitotic figures. Both LAMN and HAMN shared similar architectural patterns (flat, undulating, and villous). However, HAMN demonstrated areas of greater complexity, frequently showing cribriform and multilayered epithelial growth in our study. All these features are consistent with the reviewed literature.5,6,12
HAMN remains controversial, as it is treated and staged as an adenocarcinoma despite the absence of infiltrative margins. To diagnose HAMN, it is crucial to thoroughly examine the entire appendix and rule out the presence of stromal desmoplasia or overtly infiltrative tumour glands, as these findings indicate adenocarcinoma.4 At our institution, the most common surgical treatment for HAMN has been right hemicolectomy, as recommended by consensus guidelines.9 Only one patient diagnosed with HAMN was treated solely with appendectomy and experienced no recurrence. Over the past 10 years, we have identified only eight cases of HAMN, a finding consistent with the literature, as the largest published series includes 35 cases.5 This makes the management and prognosis of HAMN even more uncertain compared to LAMN.
Although there are clear morphological differences between LAMN and HAMN, and our study demonstrated a higher percentage of recurrences in patients with HAMN compared to LAMN, we did not find significant differences in either univariate or survival analysis. Similarly, other studies with comparable sample sizes have reported higher recurrence rates in HAMN, but these differences were also not statistically significant when compared to LAMN.11 However, in our multivariate analysis, which included additional factors such as architectural pattern, HAMN was found to significantly influence recurrence risk, increasing it. This suggests that, in addition to classifying the histological subtype (LAMN or HAMN), assessing the architectural pattern is also important, as the combination of these factors can indeed modify the risk of recurrence.
Our recurrence rate was 22.45%, which highlights the high potential for this disease to recur, which is consistent with other rates reported in the literature.14 Despite this, the mortality rate from AMN was low, with only three patients in our study dying from the disease. This aligns with findings from other studies, which also report low mortality rates associated with AMN.6
According to the univariate, survival and Cox regression analyses, we found that the undulating pattern and the presence of papillary structures were significantly associated with a higher risk of recurrence. In contrast, the survival analysis showed that the villous pattern was significantly linked to a lower probability of recurrence. Therefore, we conclude that the undulating pattern and the presence of papillary structures are factors of poor prognosis. Further studies are needed to clarify whether the villous pattern is associated with higher or lower recurrence, as the survival and multivariate analyses yield opposite results. Previous studies have also identified complex architectural patterns as poor prognostic factors, although this association was only significant in univariate analysis.6
There are only a few studies comparing disease free-survival and recurrence rates between LAMN and HAMN,2,11 with significant differences reported in only one of them.2,11 However, both studies compare LAMN with HAMN and adenocarcinoma, which differs from our study. This difference may influence the results, as adenocarcinoma is a neoplasm with a known worse prognosis due to its infiltrative nature.
In our sample, stage pT4 was associated with a higher likelihood of recurrence and a shorter time to recurrence compared to stage pTis, an observation consistent with other published articles.6,10 Additionally, in line with the reviewed literature,6,13,14 the presence of peritoneal dissemination was significantly associated with an increased risk of recurrence in our study. Other clinical factors, including surgical reintervention and adjuvant therapy, were also significantly linked to an increased risk of recurrence in our findings.
We have not identified any articles specifically evaluating the loss of nuclear polarity in AMNs. In our study, we found that focal loss of polarity may act as a protective factor against recurrence. However, other studies have reported the loss of cellular polarity as a risk factor for tumour progression and metastasis.15 Based on our findings, we hypothesise that AMNs exhibiting slight and focal loss of nuclear polarity have better prognoses compared to tumours with diffuse and complete loss of polarity. Therefore, focal loss of polarity alone does not appear to be a sufficient indicator of risk for recurrence.
In our analysis, the Ki67 index was not found to be a predictive factor for recurrence. Previous studies have similarly reported that this index does not serve as a predictive factor for recurrence in patients with PMP secondary to LAMN following treatment.16
Interestingly, we found a significant inverse correlation between age and recurrence rate. Recent articles have explored the clinical, biological, and histological differences in colorectal cancer (CRC) based on the age of presentation, noting a trend over the past two decades for CRC to occur at younger ages. Younger patients are more likely to present with more advanced disease stages and worse histological features.17 However, we have not found other studies specifically linking age with recurrence in AMNs. One study reports a higher frequency of histological appendiceal wall invasion in patients under 65,18 which, combined with potentially worse biological behaviour, might help explain our results.
Nevertheless, although our sample size is small, it is comparable to those in other studies in the literature, and we believe it is representative of this type of neoplasm. Our findings highlight the important role of the combination of architectural patterns and histological subtypes in determining clinical outcomes. Additionally, our study emphasizes the potential aggressiveness of these neoplasms, as the recurrence rate remains high despite current treatments.
The identification of clinicopathological factors such as age, loss of nuclear polarity, and architectural patterns could help stratify patients according to their risk of recurrence and optimise therapeutic strategies and follow-up approaches. Further studies are needed to corroborate these results with a larger number of cases from multiple institutions.
Ethical considerations (informed consent)It is declared that no patient data is included in the article, and if any is present, it does not violate the privacy and confidentiality of the patient, nor does it allow for their identification. In any case, informed consent has been obtained.
FundingThis publication is part of the R&D&I project type B with reference PID2020-117114GB-I00, funded by the Ministry of Science and Education of Spain, MCIN/AEI/10.13039/501100011033/.
Conflict of interestNone declared.








