REVISTA DE ORTOPEDIA Y TRAUMATOLOGÍA
Volumen 42, pp 346-350
© 1996 EDITORIAL GARSI
Tratamiento de las fracturas cerradas de la diáfisis tibial mediante enclavado intramedular sin fresado
A. A. MARTÍNEZ MARTÍN, J. J. PANISELLO SEBASTIÁN, A. HERRERA RODRÍGUEZ, J. DOMINGO CEBOLLADA y A. CALVO DÍAZ
Servicio de Cirugía Ortopédica y Traumatología. Hospital Miguel Servet. Zaragoza.
RESUMEN: Han sido tratadas 61 fracturas diafisarias cerradas de tibia mediante enclavado intramedular bloqueado sin fresado. Cincuenta y ocho fracturas consolidaron en 6 meses, hubo dos retardos de consolidación y una pseudoartrosis. Diez pacientes presentaron una angulación en valgo mayor de 5°, 14 de los 226 tornillos de bloqueo se doblaron o partieron y 13 pacientes desarrollaron dolor femoropatelar. La movilidad de la rodilla fue normal en todos los pacientes, pero cuatro presentaron rigidez del tobillo. Sesenta pacientes pudieron andar y subir escaleras sin dificultad; un paciente tuvo cojera permanente y ya no alcanzó el nivel de actividad previo a la fractura. El clavo de 9 mm proporciona una fijación más estable y reduce el riesgo de angulación en valgo. La dinamización entre 4 y 8 semanas tras la fractura estimula la unión precoz sin aumentar el riesgo de angulación en valgo.
PALABRAS CLAVE: Fracturas. Tibia. Oseosíntesis.
TREATMENT OF CLOSED FRACTURES OF THE TIBIAL DIAPHYSIS BY UNREAMED INTRAMEDULLARY NAILING
ABSTRACT: We treated 61 closed diaphyseal fractures of the tibia by blocked unreamed intramedullary nailing. Fifty-eight fractures were consolidated in 6 months and there were 2 delayed consolidations and 1 pseudoarthrosis. Ten patients had valgus angling of more than 5°; 114 blocking screws bent or broke, and 13 patients developed femoral-patellar pain. Knee mobility was normal in all patients, but four had ankle stiffness. Sixty patients could walk and climb stairs without difficulty; one patient had a permanent limp and did not recover the same level of activity as before the fracture. Nine-millimeter nails provided more stable fixation and reduced the risk of valgus angling. Mobilization 4 to 8 weeks after the fracture stimulated early union without increasing the risk of valgus angling.
KEY WORDS: Fractures. Tibia. Osteosynthesis.
Debido al éxito del tratamiento de las fracturas abiertas de la tibia mediante clavos intramedulares sin fresado2,9,19,23 diversos autores han utilizado dicho tipo de clavos para el tratamiento de las fracturas diafisarias cerradas. La disponibilidad de clavos intramedulares rígidos que pueden introducirse sin fresar ha creado la duda de si el fresado intramedular es necesario. El fresado lesiona la vascularización endostal en la zona de fractura y puede ser un factor negativo para el proceso de consolidación,20 aunque permite la inserción de un clavo de mayor diámetro y, por tanto, de mayor rigidez. Los clavos sin fresado ofrecen la ventaja teórica de una menor pérdida sanguínea, un menor tiempo quirúrgico y evitan las complicaciones del fresado. Pueden ocurrir problemas técnicos, desde la encarceración del clavo hasta un inadecuado control de la fractura debido a la falta de relleno del canal medular por parte del clavo.
Se ha revisado retrospectivamente el resultado de los enclavados intramedulares sin fresado realizados en nuestro hospital para el tratamiento de las fracturas cerradas de la diáfisis tibial durante los últimos 5 años.
Material y Método
Desde Enero de 1992 hasta Marzo de 1996 se trataron en nuestro centro 61 fracturas cerradas de la diáfisis tibial mediante enclavado intramedular sin fresado. Se han excluido de este estudio las fracturas abiertas y las fracturas cerradas o abiertas en pacientes polifracturados cuyas lesiones impidieran la deambulación y carga durante más de 1 mes a partir del politraumatismo. Todas las fracturas tenían el peroné fracturado.
Para clasificar las fracturas se usó la clasificación para fracturas de la diáfisis tibial de Johner y Wruhs.11 Veintidós fracturas fueron Tipo A1, 15 fueron B1, ocho B3, 10 C1 y seis C3. Hubo 42 fracturas en hombres y 19 en mujeres, siendo la edad media de 42 años (mínimo: 17 y máximo: 87 años). La intervención se llevó a cabo una media de 26 horas (mínimo: 4 y máximo: 120 horas) tras el traumatismo. Se utilizó un clavo bloqueado intramedular AO/ASIF (Synthes) sin fresar para la tibia. Este clavo de acero tiene un diámetro de 8 ó 9 mm y se inserta sin fresar el canal medular. El diámetro del clavo que se utiliza se selecciona con la radiología preoperatoria. Se utilizó una mesa ortopédica e intensificador de imágenes para su introducción. No se usó manguito de isquemia. El enclavado se realizó a través de un abordaje transrotuliano, siendo el punto de entrada del clavo inmediatamente distal a la superficie articular proximal de la tibia, en la línea media y bajo la porción media del tendón rotuliano. El bloqueo proximal se realizó en todos los pacientes: 47 clavos fueron bloqueados con dos tornillos (uno dinámico y uno estático), ocho clavos con un tornillo dinámico, cinco con un tornillo estático y un clavo fue bloqueado con tres tornillos (dos tornillos estáticos y uno dinámico). Todas las fracturas fueron bloqueadas distalmente para el control axial y rotacional de la fracturas usando una técnica de manos libres (55 fueron bloqueadas con dos tornillos y seis con un tornillo). Postoperatoriamente se aplicó un vendaje de yeso corto y no se permitió cargar hasta la dinamización de la fractura. La dinamización se efectuó en 50 pacientes retirando el tornillo estático proximal. Once pacientes no necesitaron dinamización, ocho de ellos porque sólo tenían un tornillo de bloqueo proximal y tres porque cargaron sin permiso y el tornillo estático proximal se rompió. Los pacientes fueron seguidos hasta la consolidación de las fracturas y la retirada del material. El seguimiento medio fue 13 meses (mínimo: 12 y máximo: 20 meses).
Los resultados finales fueron evaluados según la escala de Johner y Wruh''s11 (Tabla 1). Para el análisis estadístico se utilizó el programa SPSS y se aplicó el test de Chi cuadrado.
Resultados
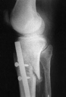
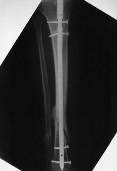
El tiempo medio operatorio fue de 63 minutos (mínimo: 45 y máximo: 90 minutos). Se utilizó un clavo de 8 mm en 29 casos y de 9 mm en 32; se produjo una fractura intraoperatoria de la cortical posterior (Fig. 1). La dinamización se llevó a cabo en una media de 9 semanas (mínimo: 5 y máximo: 20 semanas). La carga completa postoperatoria se inició a una media de 8 semanas (mínimo: 1 y máximo: 19 semanas) tras la intervención. Catorce (6,2%) de los 226 tornillos empleados se doblaron o rompieron (tres tornillos estáticos proximales, uno dinámico proximal y 10 tornillos distales). En tres pacientes el clavo no fue dinamizado antes de cargar peso. En uno de ellos se rompieron todos los tornillos y en dos se rompió el estático proximal y los dos distales (Fig. 2). En tres pacientes se rompieron los tornillos distales a pesar de que el clavo había sido dinamizado.
Cincuenta y ocho fracturas (95%) consolidaron en una media de 20 semanas (mínimo: 11 y máximo: 24 semanas). Hubo dos casos de retardo de consolidación que finalmente consolidaron en 31 y 33 semanas y uno de pseudoartrosis que ocurrió en una fractura Tipo B3 que se dinamizó 19 semanas tras el enclavado. Este paciente fue tratado mediante injerto óseo y enclavado fresado. Hubo una relación estadísticamente significativa (p < 0,01) entre la dinamización temprana (entre las 4 y 8 semanas tras el enclavado) y la consolidación precoz (12-16 semanas tras en enclavado).
Al final del seguimiento seis pacientes (9,8%) presentaron una angulación en valgo menor de 5° y 10 (16%) una angulación en valgo mayor de 5°. No hubo relación estadísticamente significativa entre la dinamización temprana (entre 4 y 8 semanas tras la fractura) o el tipo de fractura y la angulación en valgo, siendo la relación estadísticamente significativa entre el enclavado de 8 mm y la angulación en valgo mayor de 5° (p < 0,01).
Figura 1. Rotura intraoperatoria de la cortical posterior de la tibia.Postoperatoriamente no hubo ningún síndrome compartimental, infección, embolia grasa o complicación neurológica. Dos pacientes desarrollaron distrofia simpaticorrefleja, tres presentaron un acortamiento de 6-10 mm y 13 pacientes (21%) desarrollaron dolor femoropatelar que desapareció al retirar el clavo. Todos los pacientes presentaron una movilidad completa de la rodilla. Hubo cuatro casos de rigidez del tobillo con falta del 20% de extensión. Sesenta pacientes (98%) volvieron a caminar sin claudicación y sin bastones y a subir escaleras normalmente. Todos ellos recuperaron su nivel de actividad previa a la fractura.
Cuando los datos se analizaron de acuerdo a los criterios de Johner y Wruh hubo 39 (64%) pacientes con un resultado excelente, 11 (18%) con un resultado bueno, 10 (16%) con un resultado regular y uno con un resultado malo (Tabla 1).
| Tabla 1. Criterios de Johner y Wruhs para la evaluación de los resultados de las fracturas diafisarias de tibia. | ||||
| Criterio | Excelente | Bueno | Regular | Malo |
| Pseudoartrosis/infección | No | No | No | Sí |
| Lesión neurovascular | No | Mínima | Moderada | Grave |
| Deformidad: | ||||
| -- Varo/valgo | No | 2-5° | 6-10° | Mayor de 10° |
| -- Ante/recurvatum | 0-5° | 6-10° | 11-20° | Mayor de 20° |
| -- Rotación | 0-5° | 6-10° | 11-20° | Mayor de 20° |
| -- Acortamiento | 0-5 mm | 6-10 mm | 11-20 mm | Mayor de 20 mm |
| Movilidad: | ||||
| -- Rodilla | Completa | Mayor del 80% | Mayor del 75% | Menor del 75% |
| -- Tobillo | Completa | Mayor del 75% | Mayor del 50% | Menor del 50% |
| -- Subtalar | Mayor del 75% | Mayor del 50% | Menor del 50% | -- |
| Dolor | No | Ocasional | Moderado | Severo |
| Marcha | Normal | Normal | Cojera leve | Cojera grave |
| Actividades de fuerza | Posible | Limitación leve | Muy limitada | Imposible |
| Resultados del estudio | 39 (64%) | 11 (18%) | 10 (16%) | 1 |
Discusión
Los primeros tipos de clavos intramedulares de tibia se colocaban sin fresar y sin bloquear. Se han usado los clavos de Ender10,14 y el clavo de Lottes.15
Figura 2. Rotura de tornillos de bloqueo.Estos clavos no tenían la posibilidad de ser bloqueados y, por tanto, no proporcionaban estabilidad. Actualmente se dispone de una variedad de clavos que se insertan sin fresar y que tienen la posibilidad de bloquearse. Su facilidad de colocación y la posibilidad de bloqueo, unido a la lesión potencial que el fresado puede suponer para la consolidación de la fractura, ha puesto de manifiesto el interrogante de si el fresado es necesario. La técnica sin fresado ofrece las ventajas teóricas de disminuir la pérdida de sangre y el tiempo quirúrgico y evitar las complicaciones técnicas del fresado. El fresado del fémur se ha demostrado que produce un aumento de la presión intramedular y una embolización de triglicéridos y otros elementos de la médula ósea en los pulmones.22También destruye la vascularización intramedular, creando una situación de avascularidad transitoria en la zona cortical interna del hueso.12,13 Esta avascularidad puede retardar el proceso de consolidación. Rhinelander18 encontró que el fresado retarda la revascularización del hueso cortical y por tanto la consolidación. Usando técnicas de doppler para medir el flujo vascular en la tibia de oveja se ha demostrado que existe una mayor desvascularización inicial y una revascularización más lenta cuando se ha realizado fresado de la cavidad medular comparado con el enclavado sin fresado.20 Sin embargo, esta diferencia en el flujo cortical no se ha demostrado que produzca un retardo de consolicación.
Angle y Blue1 encontraron que las fracturas tratadas con enclavados sin fresado consolidaron en 34 semanas, mientras que las tratadas con enclavados fresados tardaron 22 semanas. Court-Brown y cols.,3 comparando fracturas diafisarias cerradas de la tibia tratadas mediante enclavado con y sin fresar, llegando a la conclusión que el tiempo de consolidación para los pacientes tratados mediante enclavado fresado fue de 15 semanas, significativamente menor que para los enclavados sin fresar que fue de 22 semanas. Todos los pacientes tratados con clavos fresados consolidaron sin problemas, mientras que el 20% del grupo de pacientes tratados sin fresar requirió un cambio del clavo por otro fresado para lograr la consolidación. Gregory y Sanders5 encontraron que el tiempo medio de consolidación fue de 16 semanas en un grupo de 38 fracturas diafisarias cerradas de tibia tratadas mediante clavos no fresados. Nuestra serie tiene una alta tasa de consolidación (98%). Howard y cols.,9 en una serie de 40 fracturas cerradas de tibia obtienen una tasa de consolidación del 97,5% con el clavo de Lottes. Gregory y San-ders5 en su serie de 38 fracturas diafisarias de tibia tratadas mediante el clavo intramedular sin fresado AO/ASIF han tenido un 8% de pseudoartrosis. Duwelius y cols.4trataron 31 fracturas cerradas de la tibia con este mismo clavo y 30 de ellas (97%) consolidaron en 1 año. Anglen y Blue1 constataron un 21% de pseudoartrosis en 23 enclavados sin fresar de tibia, no habiendo clavos rotos en esta serie. Whittle y cols.24 en una serie de 130 fracturas tibiales estabilizadas con clavos sin fresar encontraron un 3% de clavos rotos. Todos los casos de rotura de clavo ocurrieron en fracturas abiertas con retardo de consolidación, y todos los clavos estaban estáticamente bloqueados durante la rotura del clavo. De los 226 tornillos de bloqueo usados en nuestra serie 14 se doblaron o rompieron, en algunos probablemente porque el clavo no fue dinamizado antes de cargar peso. En tres pacientes los tornillos distales se rompieron aunque el clavo había sido dinamizado. Gregory y Sanders5 tuvieron 12 (15%) tornillos rotos de los 80 usados. Estos autores permitían la carga sin dinamizar del clavo, y esto podría influir en que los tornillos estáticos de bloqueo se rompieran.
Una de las principales complicaciones de nuestra serie fue la angulación en valgo (mayor de 5° en 10 pacientes). Duwelius y cols.4 encontraron dos an-
gulaciones en valgo mayor de 5° en su serie de 31 pacientes, y Gregory y Sanders5 hallaron dos pacien-tes con angulación residual en valgo mayor de 5° tras 38 enclavados de tibia sin fresar. Nuestros da-tos muestran una asociación estadísticamente significativa entre el enclavado con clavos de 8 mm de diámetro y la angulación en valgo mayor de 5°. Henly y cols.8 realizaron un análisis biomecánico del enclavado sin fresar de tibia, demostrando que el contacto del clavo con la cortical disminuye la movilidad axial, rotatoria y la traslación de la fractura. Nosotros pensamos que si el canal medular lo permite el clavo de 9 mm debe ser usado siempre que sea posible ya que proporciona una mayor estabilidad a la fractura y por tanto disminuye la angulación residual en valgo.
En nuestra serie existe una baja tasa de dolor patelofemoral. Haddad y cols.6 han encontrado una alta incidencia (55%) de dolor anterior de rodilla y que frecuentemente necesitaban retirar el clavo para que cediera el dolor. En nuestra serie no hubo síndromes compartimentales. Estudios previos han demostrado que la presión compartimental se eleva durante el fresado.16,17 El enclavado sin fresado evita el incremento de la presión compartimental que produce el fresado.7
Se puede concluir que el enclavado intramedular bloqueado sin fresar es un tratamiento efectivo para las fracturas cerradas de la diáfisis tibial, con una alta tasa de consolidación y con pocas complicaciones, recomendando el clavo de 9 mm siempre que sea posible. La dinamización debe realizarse entre las 4 y las 8 semanas tras el enclavado. Retrasar la carga hasta que el clavo se ha dinamizado puede evitar la rotura de tornillos de bloqueo.
Correspondencia:
Dr. A. MARTÍNEZ MARTÍN.
Princesa, 11-13, 1.° C.
50005 Zaragoza.
En Redacción: Octubre de 1997.
Bibliografía
1. Anglen, J, y Blue, M: A comparison of reamed and unreamed nailing of the tibia. J Trauma, 39: 351-355, 1995.
2. Bone, L; Kassman, S; Stegemann, P, y France, J: Prospective study of unio rate of open tibial fractures treated with locked, unreamed intramedullary nails. J Orthop Trauma, 8: 45-49, 1994.
3. Court-Brown, CM; Wil, E; Christie, J, y McQueen, MM: Reamed or unreamed nailing for closed tibial fracture. J Bone Joint Surg, 78B: 580-583, 1996.
4. Duwelius, P; Schmidt, A; Rubinstein, R, y Green J: Nonreamed interlocked intramedullary tibial nailing. Clin Orthop, 315: 104-113, 1995.
5. Gregory, P, y Sanders, R: The treatment of closed, unstable tibial shaft fractures with unreamed interlocking nails. Clin Orthop, 315: 48-55, 1995.
6. Haddad, FS; Desai, K; Sarkar, JS, y Dorrell, JH: The AO unreamed nail: Friend or foe. Injury, 27: 261-263, 1996.
7. Hak, DJ, y Johnson, EE: The use of the unreamed nail in tibial fractures with concomitant preoperative or intraoperative elevated compartment pressure or compartment syndrome. J Orthop Trauma, 8: 203-211, 1994.
8. Henley, MB; Meier, M, y Tencer, AF: Influences of some design parameters on the biomechanics of the unreamed tibial intramedullary nail. J Orthop Trauma, 7: 311-319, 1993.
9. Howard, MW; Zinar, DM, y Stryker, WS: The use of Lotte''s nail in the treatment of closed and open tibial shaft fractures. Clin
Orthop, 279: 246-253, 1992.
10. Jahnke, AH; Fry, PJ; Swanson, KR; Watson, RC, y Tapper, EM: Treatment of unstable tibial shaft fractures by closed intramedullary nailing with flexible (Ender''s-type) pins. Clin Orthop, 276: 267-271, 1992.
11. Johner, R, y Wruhs, O: Classification of tibial shaft fractures and correlation with results after rigid fixation. Clin Orthop, 178: 7-25, 1983.
12. Kessler, SB; Hallfeldt, KKJ, y Perren, SM: The effects of reaming and intramedullary nailing on fracture healing. Clin Orthop, 212: 18-25, 1986.
13. Klein, MPM; Rahn, BA; Frigg, R; Kessler, S, y Perren, SM: Reaming versus non-reanimg in medullary nailing: Interference with cortical circulation in the canine tibia. Arch Orthop Trauma Surg, 109: 314-316, 1990.
14. Levy, AS; Levitt, LE; Gunher, SF, y Wetzler, MJ: The role of Ender rodding in tibial fractures with an intact fibula. J Orthop Trauma, 4: 75-80, 1990.
15. Lottes, JO: Medullary nailing of the tibia with triflange nail. Clin Orthop, 105: 53-66, 1974.
16. Mawhinney, IN; Maginn, P,y McCoy, GF: Tibial compartment syndromes after tibial nailing. J Orthop Trauma, 8: 212-214, 1994.
17. Moed, B, y Strom, D: Compartment syndrome after closed intramedullary nailing of the tibia: A canine model and report of two cases.
J Orthop Trauma, 5: 71-77, 1991.
18. Rhinelander, FW: The vascular response of bone to internal fixation. En: Browner, BD, y Edwards, CC (Eds): The Science and Practice of Intramedullary Nailing. Philadelphia. Lea & Febiger, 1987.
19. Sanders, R; Jersinovich, Y; Anglen, J; DiPasquale, T, y Herzcovici, D: The treatment of open tibial shaft fractures using an inter-
locked intramedullary nail without reaming. J Orthop Trauma, 8: 504-510, 1994.
20. Schemitsch, EH; Kowalski, MJ; Swiontkowski, MF, ySenft, D: Cortical bone blood flow in reamed and unreamed locked intrame-
dullary nailing: A fractured tibia model in sheep. J Orthop Trauma, 8: 373-382, 1994.
21. Tischenko, G, y Goodman, S: Comparment syndrome after intramedullary nailing of the tibia. J Bone Joint Surg, 72A:41-44, 1990.
22. Wenda, K; Runkel, M; Degreif, J, y Ritter, G: Pathogenesis and clinical relevance of bone marrow embolism in intramedullary nailing demonstrated by intraoperative echocardiography. Injury, 24 (suppl 3): 73-81, 1993.
23. Whittle, A; Russell, TA; Taylor, JC, y LaVelle, DG: Treatment of open fractures of the tibial shaft with the use of interlocking nailing without reaming. J Bone Joint Surg, 74A: 1162-1171, 1992.
24. Whittle, A; Wester, W, y Russell, T: Fatigue failure in small diameter tibial nails. Clin Orthop, 315:119-128, 1995.

