El pie es un órgano básico de carga, habiendo varios factores que permiten esto, como son una correcta alineación, estabilidad y movilidad de las articulaciones esenciales del mismo. Se conocen como articulaciones esenciales aquellas en las cuales es necesario un significativo grado de movilidad para una función normal del pie1; el tobillo, la articulación subastragalina, la astrágalo-escafoidea, y las segunda, tercera, cuarta y quinta metatarsofalángicas se consideran esenciales. Gracias a la conjunción de estos tres factores --alineación, estabilidad y movilidad-- el pie puede realizar durante la marcha sus complejas funciones de contacto, amortiguación, carga y despegue, con el consiguiente avance del cuerpo. Cuando éstos se alteran, se produce dolor y una marcha anormal, lo que condiciona la vida del lesionado, no sólo desde el punto de vista laboral sino personal. Las lesiones del calcáneo provocan una alteración de los factores antes mencionados, lo cual da lugar a una incapacidad para caminar normalmente.
Las fracturas de calcáneo son unas de las pocas fracturas intraarticulares que todavía son tratadas de forma conservadora o bien mediante reducción y enclavamiento percutáneo, por el temor a tener complicaciones postoperatorias. Siendo un tratamiento más fácil, no siempre es el mejor, y conduce inevitablemente a una artrosis de la articulación subastragalina y a una incapacidad del paciente para volver a realizar una vida normal. También, muchos de los procedimientos quirúrgicos son llevados a cabo mediante abordajes inadecuados, reducciones incompletas y osteosíntesis mal planteadas. Se estima que este tipo de fracturas deben ser tratadas por cirujanos ortopédicos con buenos conocimientos del funcionamiento del pie y del tobillo, y que al menos hagan una media de 10 reconstrucciones al año. Estudios realizados recientemente, sobre grandes series de pacientes con fracturas intraarticulares desplazadas de calcáneo, demuestran cómo la reducción abierta a través de un abordaje externo es un tratamiento seguro y eficaz2.
Muchos autores han propuesto realizar una triple artrodesis en aquellos pacientes con secuelas de fracturas de calcáneo. Sin embargo, yo pienso que esta operación es una mala indicación de tratamiento, ya que no corrige todas las alteraciones producidas por el traumatismo y fusiona dos articulaciones, como la astrágalo-escafoidea y la calcáneo-cuboidea, que son importantes para el movimiento del pie y que habitualmente no están lesionadas o se pueden descomprimir. Por tanto, la triple artrodesis se debe considerar una técnica de «final de recorrido» y utilizarla si no han tenido éxito el resto de los procedimientos de reconstrucción del calcáneo y de la articulación subastragalina. La razón para reconstruir los calcáneos que han sufrido fracturas y no se han tratado adecuadamente es reducir el estrés repetido sobre el tobillo que puede deteriorarlo, así como al resto de estructuras del pie. El uso de estudios con radiografías convencionales y sobre todo de la tomografía axial computarizada (TAC) ha dado lugar a un mejor conocimiento de las fracturas iniciales y también de las secuelas que se han producido por consolidación viciosa. Se presentan aquí los resultados de la reconstrucción de las secuelas de fractura de calcáneo, sobre todo la consolidación viciosa, mediante diversas técnicas.
MATERIAL Y MÉTODO
Se realizó un estudio retrospectivo de 24 pacientes tratados en los últimos 4 años; todos fueron operados por el autor y han tenido un seguimiento mínimo de 6 meses. En los casos estudiados, los pacientes habían sufrido fracturas de calcáneo tratadas en otros centros bien de forma conservadora (15 casos), bien quirúrgicamente (9 casos) mediante osteosíntesis con agujas de Kirschner o placas de calcáneo, pero con una incorrecta reducción de la articulación subastragalina posterior. Para la inclusión en este estudio se utilizaron los siguientes criterios: todos los pacientes habían sufrido fracturas intraarticulares de calcáneo tratadas de forma conservadora o quirúrgica y presentaban intenso dolor al caminar, mal alineamiento de la tuberosidad posterior, subluxación de la articulación calcáneo-cuboidea y luxación de ambos tendones peroneos. El tiempo medio desde que se produjo la fractura hasta que se les trató en nuestra institución fue de dos años y seis meses, con un rango de 9 años a 9 meses. La mayor parte de las lesiones fueron producidas por traumatismos de alta energía, como accidentes de tráfico o caídas desde grandes alturas. En todos se realizó una completa valoración clínica y exploración, determinando el rango de movilidad del tobillo, articulación subastragalina, alineamiento del retropié, movilidad de la articulación de Chopart y, de forma muy importante, la situación de los tejidos blandos alrededor del calcáneo. El síntoma principal en todos los pacientes fue dolor de localización lateral inframaleolar, también plantar a nivel del talón o bien en el tobillo al caminar o permanecer de pie parados, que incluso en uno de los casos necesitó tratamiento en la clínica del dolor ante la imposibilidad de sus médicos de darle una solución definitiva a su problema. También presentaban rigidez, deformidad del retropié, dificultad para caminar descalzos, imposibilidad de encontrar zapatos adecuados y torceduras repetidas de tobillo.
Se utilizó la clasificación de Stephens y Sanders3 para valorar la consolidación viciosa realizada sobre los hallazgos en la TAC en cortes coronales y que consta de los siguientes tipos: tipo 1, aquellos casos que presentaban una exostosis en la pared lateral con mínima artrosis en lado externo de la articulación subastragalina; tipo 2, exostosis en la pared lateral con artrosis más amplia subastragalina; y tipo 3, exostosis en la pared lateral con artrosis subastragalina y desviación en varo de la tuberosidad posterior, aunque a veces puede aparecer valgo.
En los dos últimos tipos existía una artrosis subastragalina con incongruencia de la articulación posterior y la presencia de la exostosis lateral4. Ésta aparece en el momento del traumatismo, al producirse la segunda línea primaria de fractura como consecuencia de una fuerza de compresión que se inicia en el ángulo de Gissane, continuando por la pared lateral, lo que da lugar al desplazamiento de toda la parte externa del calcáneo que, junto con la pérdida de altura de todo el hueso, da lugar a la expulsión de los tendones peroneos de su corredera y a la luxación de éstos. En el plano transversal se pudo observar la existencia de una subluxación calcáneo-cuboidea por mala posición de la tuberosidad anterior, un acortamiento longitudinal del hueso y en muchos casos la tuberosidad posterior en varo.
Los fines del tratamiento fueron revertir los problemas anatómicos, por lo que cuando se encontraron alteraciones degenerativas de la articulación subastragalina hubo que fusionarla. Otro objetivo fue restaurar la relación del astrágalo con el resto de la pierna, como es en el caso de la horizontalización de aquel en el plano sagital (ángulo de Böhler disminuido) y descomprimir el espacio submaleolar externo, mediante la retirada de la prominencia lateral.
Antes de operar a los pacientes se determinó si la consolidación viciosa afectaba a la articulación subastragalina y si había artrosis, la existencia de «impingement» anterior del tobillo, varo y/o ensanchamiento del calcáneo y la situación del espacio submaleolar externo, cuál era el estado de la articulación calcáneo-cuboidea y la posibilidad de corregir el alineamiento mecánico del astrágalo con respecto al tobillo en todos los planos.
Se realizó una ostectomía de la tuberosidad cuando la articulación estaba intacta pero con mal alineamiento mecánico, había un componente intraarticular simple, la pared lateral elevada y el dolor se «correspondía» con el problema anatómico. Se indicó una artrodesis subastragalina in situ cuando había una alteración del alineamiento en no más de un plano, o si aquel se producía sólo a través de la articulación, para lo cual fue necesario mantener un correcto alineamiento del astrágalo con el tobillo y el pie. Se hizo una osteotomía de la tuberosidad posterior cuando hubo mal alineamiento de ésta, tanto en el plano sagital como en el coronal. La más frecuentemente usada fue la osteotomía de Dwyer para corrección de varo, aunque en la mayoría de los casos en que se realizó fue combinada con artrodesis subastragalina. Se llevó a cabo una osteotomía con desplazamiento de la tuberosidad cuando existió una disminución extraarticular del ángulo de Böhler o para corrección del valgo/varo. La osteotomía intraarticular se realizó en los casos en que existía una única línea de fractura a través de la articulación subastragalina y no se encontró artrosis y se planteó sobre la línea primaria de fractura.
Por lo tanto, cada uno de estos tratamientos o bien la combinación de los tres fue la forma más idónea de tratar las secuelas por mala consolidación de las fracturas de calcáneo. En todos los casos es preciso que el cirujano ortopédico comprenda bien la anatomía de la fractura del calcáneo para elegir uno u otro tratamiento.
Tratamiento quirúrgico
Todos los pacientes fueron operados mediante anestesia epidural más bloqueo poplíteo. Se utilizó torniquete en muslo sin expresión, colocando al paciente en decúbito lateral, dejando libre la cresta ilíaca postero-superior del mismo lado, para extraer injerto autólogo estructurado en los casos en que fue necesario. No se utilizó injerto homólogo criopreservado. Se abordó el pie por una incisión lateral5, levantando un colgajo de forma subperióstica que dejó al descubierto el maléolo peroneo, el cuello del astrágalo y el cuboides, englobando los tendones peroneos y el nervio sural. Para separar se utilizó la técnica non touch.
En los casos tipo 1 de la clasificación, se realizó una ostectomía mediante una sierra oscilante, resecando la exostosis lateral y una pequeña parte del borde lateral de la articulación subastragalina posterior. Si existía una mala alineación de la tuberosidad posterior se llevó a cabo una osteotomía de ésta para corregir una deformidad en varo que es la más frecuente. También en los casos en que existía desplazamiento dorsal o medial, una vez cortada la tuberosidad se desplazó corrigiendo la deformidad y se fijó con dos tornillos de 6,5 mm de esponjosa corta y compresión interfragmentaria.
En los casos tipo 2 en los que había una disminución del ángulo de Böhler con artrosis subastragalina se extrajo primero la exostosis lateral, realizando la descompresión de la articulación calcáneo-cuboidea, lo que devolvió movilidad en el plano transversal, procediendo a una liberación de la cápsula articular para dar movilidad a la articulación de Chopart. Se limpió el espacio entre astrágalo, maléolo peroneo, articulación subastragalina posterior y seno del tarso. A continuación se extrajo de la cresta ilíaca postero-superior un injerto estructurado en forma de cuña, de igual tamaño de base que la pérdida de altura del lado lesionado comparada con el lado sano, en el caso de lesiones unilaterales.
Una vez extraído y con ayuda de un separador se introdujo el injerto en la parte posterior de la articulación previamente decorticada, y controlando la alineación para no producir un varo de talón, se fijó con dos tornillos de 6,5 mm de rosca total no canulados, desde el talón introduciéndolos de plantar lateral a medial superior, uno hacia el cuerpo del astrágalo cogiendo el bloque de injerto y otro hacia el cuello del mismo hueso más medial. Se realizaron radiografías intraoperatorias en 4 proyecciones para comprobar la correcta alineación del astrágalo con respecto al tobillo y pie y la situación de los tornillos (fig. 1). Cuando existía una desviación en varo del talón se realizó una artrodesis subastragalina in situ y previamente a la fijación con tornillos una osteotomía de Dwyer o bien de lateralización de la tuberosidad posterior (fig. 2).
Figura 1. Paciente que sufrió una fractura de calcáneo por accidente de tráfico hace 9 años, siendo tratada ortopédicamente. A: la radiografía lateral muestra un hundimiento de la articulación subastragalina posterior con disminución del ángulo de Böhler. B: la radiografía postoperatoria muestra cómo se ha reducido el calcáneo debajo del astrágalo, recuperando la altura perdida mediante la colocación de un injerto estructurado de cresta ilíaca, mejorando además la alineación del astrágalo con el tobillo. C: imagen axial que muestra cómo existe un buen alineamiento de la tuberosidad posterior del calcáneo y cómo éste está bien reducido por debajo del astrágalo.
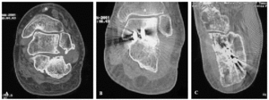
Figura 2. Paciente que tras una caída desde 4 metros de altura sufrió una fractura intraarticular de calcáneo, tratada con reducción cerrada. A: imagen coronal de tomografía axial computarizada (TAC) en la que se muestra la fractura intraarticular del calcáneo mal consolidada, disminución del espacio submaleolar externo y una importante exostosis lateral. B: imagen postoperatoria del mismo paciente en la que se ve la perfecta fusión subastragalina, y la descompresión del espacio submaleolar externo. C: imagen transversal de TAC, con una correcta alineación del calcáneo después de osteotomía de Dwyer, descompresión de la calcáneo-cuboidea y resección de la exostosis lateral, consiguiendo una buena alineación del calcáneo y descompresión lateral.
En el caso tipo 3, en que el calcáneo mostraba una combinación de mal alineamiento y artrosis, con una altura correcta y buen alineamiento coronal, sin retirar la exostosis lateral se hizo una osteotomía a lo largo de la línea primaria de fractura o simplemente longitudinal, desplazando la tuberosidad posterior, medial y distalmente, con lo que se corrigió la longitud del calcáneo en el plano longitudinal y axial, fijando las dos partes del hueso mediante tornillos a compresión de 3,5 mm para la osteotomía y tornillos de 6,5 mm para la artrodesis subastragalina. Posteriormente se despejó el espacio submaleolar externo6.
Se repusieron los tendones peroneos a nivel retromaleolar y con una sutura de Maxon® se reconstruyeron el retináculo peroneo superior y se suturó el ligamento peroneo-calcáneo, comprobando su funcionalidad. En el caso en que hubo una dorsiflexión de tobillo limitada se realizó un alargamiento del músculo gastrocnemius o bien un alargamiento percutáneo del tendón de Aquiles, mediante dos incisiones. Se colocó un redón y la herida quirúrgica se cerró, mediante una sutura con Maxon® de 3/0 y la piel con minigrapas o Prolene® de 3/0 según técnica de Donati.
Tratamiento postoperatorio
Se inmovilizó a todos los pacientes con una bota de escayola abierta por la parte anterior y se mantuvo la pierna elevada durante 48 a 72 horas, retirando el redón al final de este período. A las dos semanas se quitó la escayola y se colocó una inmovilización de plástico removible. No se permitió el apoyo hasta pasadas 6 a 8 semanas, una vez que se vió una consolidación radiográfica, pudiendo mientras tanto retirar la inmovilización dos veces al día para mover el tobillo. Posteriormente se permitió el apoyo del pie operado, manteniendo la inmovilización hasta cumplir las 12 semanas y se comprobó radiográficamente que existía consolidación. A continuación se colocó un calzado con una suela gruesa de poliuretano, para compensar la pérdida de la capacidad de amortiguación del pie.
RESULTADOS
Se valoraron todos los casos operados mediante la escala de la AOFAS7 para tobillo y retropié. La media de puntuación preoperatoria fue de 28 (rango de 14 a 45), siendo la puntuación postoperatoria media de 79 (rango de 54 a 87), con un valor p significativo a 0,0001. La valoración media preoperatoria del dolor fue de 10 (rango de 0 a 20) pasando a 35 (rango de 25 a 40) después de la operación, siendo una situación indolora alcanzar 40 puntos, lo que indica la importante mejoría de dolor que presentaron los pacientes una vez operados.
La función media antes de la reconstrucción estaba muy alterada, ya que fue de 18 puntos (rango de 15 a 25), obteniendo después de la cirugía una media de 31 (rango de 25 a 38), lo que supone un importante incremento de la función para caminar largas distancias, con alguna dificultad en los terrenos irregulares. El alineamiento pasó de pies con importantes deformidades en varo con una media preoperatoria de 2 (rango de 0 a 4), a una postoperatoria de 9 (mejoría), siendo 10 el alineamiento perfecto según el sistema de valoración utilizado.
La mayor parte de los pacientes necesitó utilizar zapatos con suelas de poliuretano gruesas, como los zapatos deportivos, para compensar la pérdida de la capacidad de amortiguación del pie como consecuencia de la fusión de la articulación subastragalina. Subjetivamente, 22 pacientes estuvieron satisfechos con el tratamiento y dos no, ya que presentaron dolor intermitente a nivel plantar, posiblemente por lesión en el momento del accidente de la almohadilla grasa especializada que existe en el talón. La consolidación radiográfica completa de la artrodesis y la osteotomía se obtuvo a las 12 semanas (rango de 10 a 15). La mayor parte de los pacientes notaron una desaparición de los síntomas a partir de los 6 meses de haber sido hecha la reconstrucción. Ninguno presentó dolor postoperatorio en el tobillo, aunque esto es un dato que habría que analizar en revisiones a más largo plazo.
No ha habido ningún caso de infección profunda o superficial de las heridas quirúrgicas, lesión de los nervios sural o tibial posterior, o síndromes de dolor regional complejo tipo 1. Tampoco ha sido necesario retirar ningún material de osteosíntesis. Hubo dos casos de retardo de cicatrización de la herida quirúrgica, provocado por la toma de corticoides como consecuencia de una enfermedad intestinal en uno y una artritis reumatoide en otro; ambos respondieron bien al tratamiento con curas con suero salino según el sistema húmedo a seco, cerrándose antes de la sexta semana postoperatoria.
DISCUSION
El tratamiento conservador de las fracturas intraarticulares desplazadas de calcáneo suele provocar una incongruencia articular con la consiguiente degeneración de la articulación subastragalina. Ésta pierde su función de convertidor de torsión al no aumentar el ángulo astrágalo-calcáneo y al no desbloquear las articulaciones medio-tarsianas hace que se pierda la capacidad de inversión y eversión por lo que el pie no puede adaptarse a las irregularidades del terreno con el consiguiente aumento de estrés sobre la articulación del tobillo y la aparición de dolor muy intenso que impide realizar una marcha normal8,9.
Por ello, un tratamiento inicial mediante reducción abierta y una correcta osteosíntesis de las fracturas puede evitar en muchos casos la necesidad de una reconstrucción posterior del calcáneo. El objetivo de este estudio ha sido comprobar los resultados de los procedimientos quirúrgicos empleados para tratar pacientes con mala consolidación de fracturas de calcáneo. Los resultados han sido muy satisfactorios, ya que se ha devuelto a la mayor parte de los pacientes tratados en esta serie la capacidad de caminar sin dolor e incluso retornar a su trabajo.
CONCLUSIONES
El uso de las técnicas descritas de reconstrucción de las fracturas de calcáneo mejora un deficiente tratamiento inicial y constituye una buena alternativa a una triple artrodesis, recuperando la capacidad de andar sin dolor, reparando la anatomía del calcáneo en todos los planos y la relación del astrágalo con el resto de los huesos del pie y del tobillo. Se mantienen móviles articulaciones importantes para el movimiento del pie, como la astrágalo-escafoidea y la calcáneo-cuboidea. En el campo laboral, se agiliza la recuperación para la vuelta de los lesionados a su puesto de trabajo o a otro puesto que no requiera mucho tiempo de bipedestación, evitando una invalidez permanente.
Es necesario cambiar los protocolos de tratamiento de las fracturas intraarticulares de calcáneo que se utilizan habitualmente y que dan un porcentaje muy elevado de malos resultados o complicaciones, mediante la instauración de tratamientos quirúrgicos de las lesiones agudas. Para ello es importante por parte de los cirujanos que los traten que estén especializados en este tipo de reconstrucciones, así como comprender bien los tipos de las lesiones agudas. De esta forma disminuirán el porcentaje tan elevado de malos resultados y por tanto la necesidad de recurrir a posteriori mediante los tratamientos aquí expuestos.
AGRADECIMIENTOS
A Ramón Noriega, Pilar Rodríguez, Carlos Fernández Galván y Ester López por su inestimable ayuda en la realización de este trabajo.




