Hasta hace pocos años el pronóstico de las fracturas del cuello de fémur, transcervicales, era muy desfavorable, no sólo quo ad vitam sino incluso quo ad functionem.
El pronóstico era desfavorable, quo ad vitam, pues el pobre fracturado, generalmente un anciano, con frecuencia moría de una complicación de tipo respiratorio o urémico.
El pronóstico era desfavorable, quo ad functionem, porque estas fracturas, tratadas por los métodos clásicos, daban lugar, indefectiblemente, a una seudoartrosis en un porcentaje superior a un 90 por 100. Se exceptúan de esta evolución desfavorable las fracturas enclavadas en abducción (fig. 1), las cuales consolidan siempre aunque no se aplique ningún tratamiento.
Figura 1. Fractura enclavada en abducción. Las fracturas de este tipocuran bien sin ningún tratamiento.
¿A qué es debido el fracaso de los métodos clásicos de tratamiento en las fracturas del cuello del fémur? Se ha invocado la falta de periostio, la interposición de pliegues sinoviales a nivel del foco de fractura y una hipotética acción de la sinovia como retardante de la consolidación ósea. Si la sinovia realmente dificultara la consolidación ósea, ¿cómo curarían las fracturas maleolares, las de la rótula y las del escafoides carpiano, por ejemplo?
Más recientemente se tiende a justificar la tendencia a la seudoartrosis del cuello del fémur en su insuficiente vascularización. En efecto: la arteria del ligamento redondo es inconstante y la mayoría de las ramas de la circunfleja anterior y posterior, por el hecho de ser yuxtacapsulares, son lesionadas por el traumatismo (la parte posterior de la cápsula está, sin embargo, muchas veces intacta) o son comprimidas por los fragmentos desviados. Por otra parte, falta a nivel del cuello femoral, que es intraarticular, inserciones musculares que posibilitarían la existencia de una red vascular perióstica. La consolidación del foco de fractura es imposible sin una revascularización, que en este caso ha de llevarse a cabo principalmente a expensas del fragmento distal del foco.
A pesar de la importancia de la escasa vascularización del cuello del fémur, para explicarnos la tendencia habitual a la seudoartrosis de las fracturas en él localizadas, es evidente que este factor patogénico es insuficiente para justificar el retardo o ausencia de consolidación ósea. También es escasa la vascularización del escafoides carpiano, por ejemplo, y sin embargo, las fracturas en él localizadas consolidan a las pocas semanas de haber aplicado un enyesado inmovilizador, método que casi siempre cosecha fracasos en las fracturas transcervicales del cuello del fémur.
Todos los tejidos mesenquimatosos necesitan la existencia de dos factores fundamentales para que se lleve a cabo su reparación después de un traumatismo. Estos dos factores son: reposo y buena circulación. La suma de ellos permite, como dice Böhler, que el tiempo se encargue de curar la lesión.
Tenemos, pues, que reposo + buena circulación = reparación (consolidación ósea en este caso). Cuando mayor es el reposo, menor se requiere que sea la buena circulación, y viceversa, para la obtención de una misma resultante reparadora.
Para comprender la importancia del reposo en traumatología basta ver lo que ocurre cuando un animal o un hombre salvaje sufren un extenso traumatismo: espontáneamente inmovilizan la región lesionada para evitar el dolor que produce toda movilización. La naturaleza, no fiándose de la inteligencia de las criaturas, apela a este reflejo salutífero, a este centinela vigilante, el dolor, siempre que la movilización de la región traumatizada pueda reportar serios perjuicios al individuo.
Debemos aclarar el concepto del reposo. No debemos entender por él la ausencia absoluta de estímulos mecánicos a nivel del foco traumático, sino la supresión de los estímulos mecánicos nocivos y la persistencia o aparición de estímulos mecánicos favorables a la reparación.
¿Cuáles son los estímulos mecánicos favorables y cuáles los nocivos en el hueso? Sabemos, desde Roux, que en el esqueleto toda presión da lugar a la producción de tejido óseo, y toda tracción, a la de tejido fibroso. La presión constituye, pues, el estímulo más adecuado, el fisiológico, por decirlo así, de la reparación ósea.
Las condiciones mecánico-biológicas del foco de fractura, en el cuello del fémur, ¿favorecen o dificultan la aplicación del precepto reposo, de acuerdo con el concepto que hemos expuesto? Siguiendo las ideas de Pauwels, pueden observarse tres tipos de fractura. En el primero, de oblicuidad de unos 30° (fractura por abducción), actúa esencialmente el componente de presión, cuya potencia es casi igual a la carga, lo que provoca estímulos de presión de casi igual intensidad en todas las superficies del foco de fractura. En el segundo, de oblicuidad de unos 50° (fractura por abducción) sobre la superficie de fractura, actúa el componente de desplazamiento lateral, y el componente de presión juega un papel menor. En el tercero, de oblicuidad de unos 70° sobre la superficie del foco, actúan simultáneamente el componente de desplazamiento lateral y la fuerza de tracción, y el estímulo de presión es nulo.
Es evidente, pues, que las condiciones mecánico-biológicas del foco de fractura, en el cuello del fémur, dificultan la aplicación del precepto reposo. Pero aún hay más: la carga que ha de soportar normalmente el cuello del fémur supera en mucho lo que podría hacer suponer un examen superficial de los hechos. En efecto: como ha demostrado Pauwels, si la carga se sostiene la epífisis femoral superior en la actitud erecta representa algo menos que la tercera parte del peso del cuerpo, dicha carga equivale a cuatro veces y media dicho peso en el acto de la deambulación. Esta proporción parecerá, a primera vista, exagerada, pero hemos de tener presente la fuerza dinámica ejercida por los músculos pelvifemorales, las oscilaciones que efectúa el cuerpo al andar y la longitud del tronco y cabeza, brazo de palanca de dichas oscilaciones.
En resumen: si las fracturas del cuello de fémur no consolidan tratadas por los métodos clásicos, ello es debido, además de a una deficiente vascularización de la cabeza femoral, a que las condiciones mecánico-biológicas impiden o dificultan de un modo extraordinario la aplicación del precepto reposo, de acuerdo con el concepto que ya hemos expuesto; supresión de los estímulos mecánicos nocivos y persistencia de los estímulos mecánicos favorables a la consolidación.
Se comprende, después de lo expuesto, que sea considerada la inmovilización del foco de fractura mediante un clavo o un tornillo, como el mejor método para conseguir la consolidación ósea.
Nosotros, desde el año 1934, hemos practicado 36 enclavijamientos extraarticulares en fracturas intracapsulares del cuello del fémur. En 31 de estos casos hemos empleado el clavo de Sven Johansson; en 1, el de Felsenreich, y en 4, el de Böhler. (Como es sabido, el clavo de Felsenreich y el de Böhler son de laminillas mucho más amplias que el de Sven Johansson.) No hemos empleado el tornillo de Putti, el cual, por el hecho de favorecer la impactación de los fragmentos (la fuerza que es posible realizar con un tornillo sin fin es muy superior a la de unos enérgicos martillazos) permite la aplicación mucho más estricta del precepto reposo, de acuerdo con el concepto que hemos expuesto. Después de efectuar pruebas en 45 cadáveres, Luigi Bader y Leonardo Gui1 han comprobado que para incurvar en varus del cuello femoral fracturado y atornillado con la técnica de Putti, se necesitaba una fuerza que oscilaba entre 60 y 375 kilogramos. Algunos años antes, Kotrnetz, experimentando con el clavo de Sven Johansson, comprobó la incurvación del cuello femoral al sobrepasar el peso empleado, los 50 kilogramos. Con el clavo de Felsenreich se necesitan de 80 a 90 kg para incurvar el cuello femoral, lo que explica que a los operados se les permita deambular precozmente (a la tercera semana, sólo con la ayuda de un bastón), siempre que la técnica del enclavijamiento haya sido correcta.
1. Luigi Bader y Leonardo Gui. La chirurgia degli organi di movimento. Año 1940, pág. 321.
Como los fracasos son fuente de enseñanzas, insistiremos especialmente en ellos, y también en los resultados tardíos, que son los que en realidad tienen valor.
Nuestra mortalidad es nula.
Hemos observado un caso de muerte por sepsis en una fractura que no intervinimos nosotros. El desenlace fatal en este caso, que se produjo a los dos meses de la intervención, probablemente se hubiera evitado por la extracción precoz del clavo.
En un caso nuestro, en que el clavo era intolerante y provocaba una supuración (obs. núm. 18), la extracción de éste con raquianestesia, a los cinco meses del enclavijamiento provocó la muerte de la enferma a la media hora de la intervención, probablemente por embolia (fig. 17, A y B). Considerando en este caso la muerte como provocada por el enclavijamiento, la mortalidad de nuestra estadística asciende a 2,8 por 100 (Böhler-Jeschke, 3,8 por 100; García Díaz, 4 por 100).
De nuestros 36 casos sólo publicamos las radiografías de 4 fracasos; de 2 de los casos (obs. núms. 4 y 9), que aún viven y que hace más tiempo que han sido operados (1935 y 1937, respectivamente); de un caso (obs. núm. 23) que obtuvimos buen resultado a pesar de una colocación defectuosa del clavo (más defectuosa que en un caso de Böhler, que fue un rotundo fracaso); de la observación núm. 18, que murió al sacar el clavo, y de los 10 últimos casos, en los cuales hemos aplicado una técnica personal.
Estamos completamente convencidos, de acuerdo con Böhler y Jeschke2, que los fracasos no dependen del método, sino de un error de técnica: del tratamiento postoperatorio o a defecto del material de osteosíntesis empleado.
2. L. Böhler y W. Jeschke. Tratamiento operatorio de las fracturas y de las seudoartrosis del cuello del fémur y sus resultados. Edit. Labor, S.A., 1941.
A continuación vamos a resumir la historia clínica de los 4 casos en los cuales obtuvimos un rotundo fracaso. Los 2 primeros ya fueron publicados en un trabajo nuestro, en el año 19363.
3. La Medicina Ibera, núm. 961, 11 abril 1936.
Fracaso número 1(observación número 8). A. B., ochenta y seis años. Con frecuencia presentaba pérdidas de conocimiento momentáneas, debidas probablemente a lesiones de esclerosis vascular cerebral. Fue en una de estas ausencias cuando cayó.
Ingresa en nuestro servicio del hospital de Badalona presentando una fractura mediana del cuello del fémur.
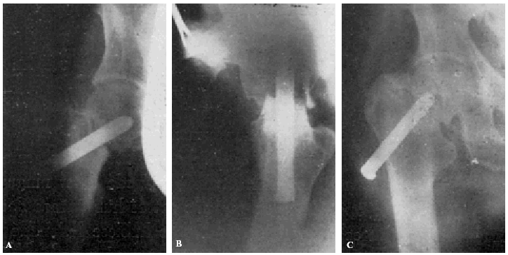
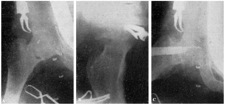
Teniendo en cuenta el mal estado general de la enferma se procede a la tracción continua, con ocho kilos de peso, mediante el procedimiento de Kirschner. A los ocho días ha mejorado extraordinariamente el estado general de la enferma, procediendo entonces a la osteosíntesis. Hay que advertir que la radiografía anteroposterior ha sido practicada antes de la completa penetración del clavo (fig. 2., A y B).
Figura 2. A: obs. núm. 8. Radiografía practicada antes de la completa penetración del clavo. Este está colocado en una posición demasiado craneal. B: Obs. núm. 8. El clavo fue colocado siguiendo la dirección del Kirschner superior. C: obs. núm. 8. El clavo se ha salido de la cabeza por su parte superior y su punta está situada a nivel de la parte superior de la caja cotiloide.
A los siete días de intervenida aparece una parálisis del pie del lado fracturado, y que corresponde al territorio del ciático poplíteo externo. Los reflejos de esta pierna están abolidos. Se queja de dolor en la región intervenida y no presenta motilidad activa de la coxofemoral de este lado, cosa que nos llama la atención, ya que todos los operados, a los ocho días de la intervención, acostumbran a movilizar activamente la pierna fracturada con relativa facilidad. Pasa a su domicilio a los veinte días de haber sido intervenida. Pasados veinte días es visitada por nosotros, observando un acentuado acortamiento de la pierna fracturada, debido a que el trocánter mayor ha ascendido. La espina ilíaca de este lado está mucho más elevada. Se queja continuamente de dolor en la región fracturada. Existe una paresia manifiesta de la otra pierna con los reflejos casi abolidos.
La radiografía (fig. 2., C) demuestra que el trocáncer ha ido ascendiendo, cortando el clavo el hemisferio superior de la cabeza hasta que, por haber chocado con la ceja cotiloidea, la ascensión del trocánter se ha detenido; pero entonces la pelvis ha basculado, ascendiendo la cresta ilíaca de este lado.
La enferma presenta un grave estado general y, según su médico, está afecta de un proceso pulmonar agudo.
Colocamos con anestesia local un Kirschner en la tuberosidad tibial, haciendo tracción continua con nueve kilos. Al día siguiente ha desaparecido completamente el dolor. La sintomatología del proceso pulmonar está muy mejorada.
Pasados quince días nos vemos obligados a quitar la tracción debido a la intolerancia del Kirschner, el cual está situado en un trayecto óseo de una capacidad mucho mayor que el volumen del alambre.
El estado general de la enferma decae extraordinariamente al retirar la tracción. Pasados tres días colocamos una tracción continua mediante un vendaje de cola de cinc. Continúa empeorando el estado general de la enferma, muriendo a los tres meses de haber sido intervenida.
Copiamos de nuestro trabajo anteriormente citado:
«Este caso presenta una serie de hechos que interesa comentar:
La parálisis del pie del lado fracturado no puede tener ninguna relación con el acto operatorio, a no ser que nosotros hubiésemos dado al Kirschner una dirección tan posterior que éste hubiese lesionado el ciático. Esta suposición no puede admitirse, ya que en las radiografías se comprueba que el Kirschner no sobrepasa la cortical por su parte posterior.
El clavo de Smith Peterson estaba situado correctamente. La impactación era perfecta, excepto en la parte superior de la fractura, donde había una pequeña separación de los fragmentos que no justifica, empero, que el clavo haya ascendido, habiendo la enferma permanecido en cama. La causa del desplazamiento del clavo no puede ser otra que las lesiones de osteoporosis, comprobadas también en la tibia, ya que a los quince días, con una tracción de cuatro kilos tuvimos que suspender la tracción.
Esta osteoporosis evidentemente que podría estar relacionada con las lesiones de esclerosis medular, a las cuales hemos atribuido nosotros los fenómenos paralíticos de las extremidades.
La mejoría del estado general que presentó la enferma cuando, al observar la ascensión del trocánter a los pocos días de la intervención, le aplicamos una extensión continua con tracción directa desde la tuberosidad tibial, nos muestra la importancia que tiene el dolor en las complicaciones de orden general que presentan estos fracturados.
En este caso la intervención, a pesar de la buena colocación del clavo, ha sido un fracaso, pero ha servido para demostrar su inocuidad.»
Actualmente nuestra mayor experiencia nos permite afirmar que el clavo, en este caso, había sido colocado demasiado cranealmente, y que, con toda probabilidad, una mejor exploración del estado general de la enferma nos hubiera indicado la inoperancia de la intervención.
Fracaso número 2(observación número 2). F. S., setenta años4. Ingresa en el servicio con una fractura mediana del cuello femoral izquierdo. Osteosíntesis extraarticular (fig. 3. A y B). La impactación no ha resultado perfecta.
4. En nuestro trabajo anteriormente mencionado consta, por error, que la edad del enfermo es de ochenta y ocho años.
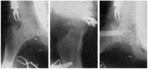
Figura 3. A: obs. núm. 2. El clavo no penetra suficientemente y la impactación, salvo en la parte superior de la línea de fractura, es muy defectuosa. B: obs. núm. 2. La posición del clavo es buena. C: obs. núm. 2. El clavo tiende a ser expulsado hacia fuera y apenas penetra en la cabeza femoral.
A los veinte días de la intervención pasa el enfermo a su domicilio, recomendándole que continúe en la cama. Pasado un mes vemos nuevamente al enfermo, el cual nos manifiesta que anda con mucha más dificultad que en los primeros días de permanecer en su domicilio, que fue cuando, por no haber interpretado bien nuestras indicaciones, comenzó a emprender la marcha. La radiografía (fig. 3. C) demuestra que el clavo apenas penetra en la cabeza femoral. A los ocho días hacemos otra radiografía (fig. 4. A), observándose que el trocáncer ha ascendido, a pesar de continuar guardando cama el enfermo. Ingresa nuevamente en el servicio, donde, con anestesia raquídea, retiramos el clavo, reduciendo las fracturas y volviendo a colocar un clavo más largo en buena dirección (fig. 4. B). Una radiografía practicada siete años y medio más tarde demuestra la no consolidación de la fractura, trastornos tróficos en cuello y cabeza femoral y que el cabo ha penetrado en el fondo de la cavidad cotiloidea, en donde ha labrado una cavidad (fig. 4. C).
Figura 4. A: obs. núm. 2. El trocánter ha ascendido francamente con relación a la radiografía anterior. El clavo tiende a salir de la cabeza por su parte superior. B: obs. núm. 2. Se extrajo el clavo y se colocó otro. El nuevo clavo está colocado en buena dirección, pero la reducción no es perfecta. C: obs. núm. 2. El clavo ha penetrado en el fondo de la cavidad cotiloidea, en cuyo lugar ha labrado una cavidad. Trastornos tróficos en cuello ycabeza femoral. El cuello del fémur ha desaparecido casi completamente.
En este caso el fracaso se debe a que la impactación no fue perfecta, y sobre todo, a haber el enfermo iniciado la deambulación al mes de intervenido, a pesar de que nosotros le ordenamos que guardara cama.
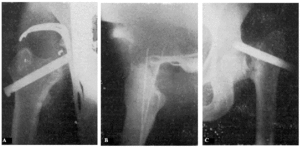
Fracaso número 3(observación número 7). Carmen J., sesenta años. A los cincuenta y tres días de presentar una fractura transcervical del cuello del fémur intentamos el enclavijamiento, que no pudimos realizar por no funcionar los rayos X a causa de una avería eléctrica. No pudimos repetir la intervención hasta pasados veinticuatro días, resultándonos entonces imposible reducir correctamente la fractura (fig. 5., A y B). Enclavijamiento (fig. 5. C) técnicamente defectuoso. A los cuatro meses a causa de presentar una supuración en la herida ingresa nuevamente en el servicio. Una radiografía practicada la misma tarde demuestra la ascensión del clavo, el cual está a punto de perforar el borde superior de la cabeza. Un mes después se extrae dicho clavo. La radiografía parece demostrar una ausencia de consolidación. La enferma deambulaba relativamente bien con ayuda de un bastón.
Figura 5. A: obs. núm. 7. En esta proyección la reducción es, aparentemente, buena; sin embargo, la zona clara que existe a nivel de la línea de fractura, demuestra la ausencia de reducción. B: obs. núm. 7. La fractura no está reducida. C: observación núm. 7. El clavo ha sido colocado de-masiado cranealmente.
La causa fundamental del fracaso en esta observación reside en no haber reducido correctamente la fractura, cosa que hubiéramos conseguido con toda probabilidad gracias a una tracción continua mediante un Kirschner colocado en la metáfisis femoral inferior.
Fracaso número 4(observación número 21). Josefa T., setenta años. Afecta de síntomas de reblandecimiento cerebral. Dos meses antes de producirse la fractura, en un intervalo de quince días, tuvimos que extraerle por dos veces una cánula de lavativa de su ampolla rectal. La fractura fue tratada con el clavo de Sven Johansson (fig. 6. A y B), según la técnica habitual. A los veinte días de la intervención tuvo que pasar a su domicilio ante las quejas de los enfermos de las habitaciones próximas. La enferma estaba en una agitación constante y se quejaba continuamente. En su domicilio, donde la vigilancia no era tan severa como la de la clínica, abandonaba el lecho con frecuencia. Al mes y medio de la intervención notaron los familiares que la enferma, a pesar de su agitación, permanecía siempre en el lecho. Explorada entonces por nosotros, después de haber transcurrido una semana sin haberla visitado, comprobamos que el clavo hacía una prominencia bajo la piel, que estaba a punto de ser perforada.
Figura 6. A: obs. núm. 21. Radiografía practicada antes de la penetración completa del clavo, que en esta proyección está situado algo cranealmente. B: obs. núm. 21. Radiografía practicada antes de la penetración completa del clavo. La situación de éste es buena; con relación a la cabeza, es ligeramente ventral, debido a que la fractura no ha sido perfectamente reducida.
A pesar de que la situación del clavo no era ideal en este caso, no hay duda de que el resultado desfavorable obtenido fue condicionado por el estado mental de la enferma, la cual, o no hubiera tenido que ser operada, o, en todo caso, sometida, en el curso postoperatorio a una vigilancia más estricta.
Ninguno de estos fracasos son imputables al método, sino a un error en la indicación, en la técnica o en el tratamiento postoperatorio.
Con buena técnica, todos los resultados son favorables, a pesar de que al cabo de algunos años exista un grado más o menos acentuado de artrosis (véanse la observación núm. 4, fig. 7., A y B, y la observación núm. 9, fig., 8. A, B y C), que corresponden a los dos enfermos que hace más tiempo que están operados, y que en la actualidad aún viven.
Figura 7. A: obs. núm. 4. Enfermo de sesenta y cuatro años, operado en noviembre de 1935. La situación del clavo puede aceptarse como buena (ligeramente craneal). B: obs. núm. 4. Radiografía del mismo enfermo de las dos figuras anteriores, practicada en la actualidad (julio de 1943). Artrosis manifiesta. La cabeza del fémur tiende a aplastarse. Deambulación perfecta.
Figura 8. A: obs. núm. 9. Enferma de cuarenta y cinco años, operada en enero de 1937. El clavo procedía del cadáver de la observación mencionada como fracaso número I, y presentaba unos ligeros depósitos de herrumbre. La situación del clavo es buena. B: obs. núm. 9. El mismo caso de la figura anterior. En proyección lateral también es perfecta la situación del clavo. Éste tuvo que ser extraído a los siete meses de intervenida la fractura, a causa de una persistente supuración. C: obs. núm. 9. Radiografía del caso de las dos figuras anteriores, practicada en julio de 1943. Artrosis muy ligera. El cuello del fémur parece muy estrechado, pero esta deformidad también puede apreciarse en la figura B. Deambulación perfecta.
No consideramos como un fracaso el tener que sacar el clavo, maniobra que hemos practicado en tres casos (en la obs. núm. 9, fig. 8., A, B y C; la núm. 30, C y D, y núm. 18, fig. 17, A y B) que hemos citado anteriormente, en el cual la extracción provocó el exitus letalis.
Para clasificar los resultados de un modo análogo a como lo ha hecho García Díaz5, hemos procurado adaptarnos al rapport del 14 de enero de 1941 del Comité de la Academia Americana de Cirujanos Ortopédicos, la cual, de 1.481 observaciones, sólo considera utilizables 241. Las condiciones exigidas eran: 1.a Comprobación, mediante radiografía, de que la fractura era intracapsular, completa y con desplazamiento. 2.a Comprobación radiográfica de la calidad de la reducción obtenida y posición del agente de osteosíntesis empleado. 3.a Control radiográfico a los doce meses de la intervención, como plazo mínimo.
5. F. García Díaz. Cirugía del aparato locomotor. Vol. I. Fasc. 1.o, pág. 43.
En el período comprendido entre el mes de julio de 1936 y el de enero de 1939 hemos operado 11 casos. Sólo hemos podido conservar la documentación radiográfica (aunque en muchos casos defectuosa) de 7 de ellos, que fueron operados en nuestro Servicio del Hospital de Badalona. En otras observaciones tampoco poseemos radiografías obtenidas en un plazo mínimo de doce meses después de la intervención, aunque en todos los casos intervenidos, menos en uno, la observación número 16, hemos podido comprobar el estado del operado al cabo de un plazo superior al año y medio.
Hay que advertir que, como en todas nuestras observaciones, excepto en cinco (observaciones núms. 5, 33, 34, 35 y 36), hemos empleado el clavo de Sven Johansson, y por ello la deambulación no ha sido permitida hasta seis meses después de la intervención; los enfermos, especialmente si son ancianos, no alcanzan, a veces, el máximo de restitución funcional hasta pasado el año.
Putti clasifica los resultados en excelentes u óptimos y buenos, criterio que con ciertas reservas es aceptado por García Díaz. Es muy difícil, a veces, decidir en qué grupo debe incluirse un caso determinado, pues, por ejemplo, lo referente al uso del bastón tiene un valor muy relativo en ancianos de setenta y cinco a ochenta años, los cuales, aun sin haber sufrido ninguna fractura, tienen con frecuencia la marcha incierta. Incluso en un caso (observación núm. 13), anciana de setenta y dos años, la deambulación mejoró después de la intervención, cosa explicable, dado que la enferma presentaba una artritis deformante bilateral y la intervención actuó como un «forage».
Con las salvedades expuestas de nuestros 30 casos (excluimos los 5 últimos porque ninguno de ellos hace más de un año y medio que fueron intervenidos, y la observación núm. 16, cuyo paradero actual ignoramos, operada en 1938, y que vimos por última vez a los trece meses de operada, andando perfectamente con ayuda de un bastón), podemos considerar todos como resultados excelentes u óptimos, excepto los 4 fracasos cuya historia ya hemos expuesto, y las observaciones 15 y 17, cuyos resultados pueden considerarse como buenos, de acuerdo con la clasificación de Putti. Tenemos pues un 13,3 por 100 de fracasos; un 80 por 100 de resultado excelentes, y un 6,6 por 100 de resultados buenos.
Los resultados obtenidos por nosotros son análogos a los de otros autores.
Putti tiene un 12 por 100 de fracasos, un 20 por 100 de resultados buenos y un 68 por 100 de excelentes u óptimos. Böhler-Jeschke tienen un 10 por 100 de fracasos, un 20 por 100 de resultados buenos y un 74,4 por 100 de excelentes u óptimos. García Díaz, un 13,3 por 100 de fracasos (porcentaje idéntico al nuestro), 20 por 100 de resultados buenos y un 66 por 100 de excelentes u óptimos.
NUESTRA TÉCNICA PERSONAL
Son innumerables las técnicas recomendadas para el enclavamiento del cuello del fémur (técnica de Delbet, modificación de Girode, aparato de Brocq y Dulot, goniógrafo de Boppe, técnica de Freak, A. Lorenzo, etc.)6. Lo que quizás sea debido a que ninguna permite resolver de una manera simple y perfecta el problema de la colocación correcta del clavo.
6. Freak, A. Lorenzo, Surg. Gyn. and Obst. Julio 1941, pág. 100.
Böhler determinaba la proyección del centro de la cabeza femoral en la siguiente forma: unía la espina ilíaca anterosuperior con un punto situado a 1 cm. y medio por fuera de la espina del pubis; 2 centímetros por debajo del punto medio de esta línea se hallaba el centro de la cabeza femoral. Actualmente Böhler coloca a nivel del punto citado la red de alambre de Jeschke en el eje longitudinal del cuerpo, de manera que el cuadro más alto quede aproximadamente sobre el centro de la cabeza femoral. Una técnica algo semejante emplea la escuela de Putti.
Con la finalidad de simplificar la técnica y ahorrar exámenes radiográficos hemos intentado precisar exactamente la situación topográfica del centro de la cabeza femoral. En 9 cadáveres, en ambos lados, con las articulaciones coxofemorales colocadas en el mismo grado de abducción y rotación interna que en el acto operatorio (distancia entre los talones, de 65 a 70 cm., y rotación interna del pie, de 30 a 40°), hemos hallado que el centro de la cabeza femoral correspondía a la piel de la región inguinocrural a un punto preciso: el lugar de entrecruzamiento de una línea horizontal que pase inmediatamente por el borde superior del pubis con otra línea que siga el trayecto de la arteria femoral por su parte externa (figs. 9, 10, 11 y 12). En dicho punto clavamos verticalmente, hasta que se insinúe en el hueso, una aguja de Kirschner, provista de un mango adecuado que permita hacer presión. La introducción de la aguja mediante un taladro tiene un peligro: el que se enrollen alrededor de aquellas ramas del nervio crural, como hemos podido comprobar nosotros en el cadáver.
Figura 9. Experiencia cadavérica núm. 2. Se ha clavado verticalmente un Kirschner en el lugar de entrecruzamiento de una línea horizontal que pasa inmediatamente por el borde superior del cuerpo del pubis, con el borde externo de la arteria femoral.
Figura 10. Experiencia cadavérica núm. 2. El mismo caso de la figura anterior. Se han colocado dos Kirschner verticales: uno, inmediatamente por encima, y otro, inmediatamente por debajo de la periferia del borde posterior de estos dos tercios de esfera que representa la cabeza femoral.
Figura 11. Experiencia cadavérica núm. 6.
Figura 12. Experiencia cadavérica núm. 6.
Como punto de entrada del alambre conductor a nivel de la región trocantérea buscamos la intersección de una línea que descienda siguiendo la dirección del fémur, a partir del punto más prominente del trocánter, con otra línea perpendicular a aquélla, que pasa por el tubérculo innominado y que sirve de inserción al vasto externo (fig. 13).
Figura 13. Obsérvese cómo de la intersección de una línea que desciende siguiendo la dirección del fémur a partir del punto más prominente del trocánter, con otra línea perpendicular a aquella que pase por el tubérculo innominado, A, que sirve de inserción al vasto externo, resulta un punto ideal para entrada del clavo.
Conociendo estos dos puntos de referencia, la proyección del centro de la cabeza femoral en la piel de la región inguinocrural y el punto de entrada del alambre en la región trocantérea es muy fácil, con el mínimo error a que dan lugar las variaciones del diámetro anteroposterior de la cabeza femoral (promedio de 4 cm., según nuestras investigaciones cadavéricas), colocar, mediante un conductor adecuado, muy semejante al de Valls-Lagomarsino (fig. 13), un alambre de Kirschner en una dirección muy próxima a la del eje anatómico del cuello femoral. En proyección frontal el alambre queda de 1 a 3 mm. por debajo de la línea media, precisamente en la posición considerada por Böhler y Jeschke7 como ideal. Clavando algunos milímetros en la cabeza femoral el alambre de Kirschner, vertical (siempre mediante presión en el mango), puede conseguirse que el clavo quede algo más dorsal que ventral, en beneficio de la función mecánica que ha de cumplir mientras se lleva a cabo la consolidación ósea.
7. Böhler y W. Jeschke. Tratamiento operatorio de las fracturas y de las seudoartrosis del cuello del fémur y sus resultados. Edit. Labor, S.A. 1941.
Al aplicar dicha técnica en el vivo, hay que tener sumo cuidado de que la línea que pasa por ambas espinas ilíacas anterosuperiores se mantenga perpendicular a la línea xifoidea púbica (véase la fig. 14).
Figura 14. A: radiografía obtenida sin exploración radioscópica previa. Obsérvese cómo el alambre de Kirschner que pasa inmediatamente por encima de la espina del pubis, corresponde, en ambos lados, exactamente a la fosita de inserción del ligamento redondo. El fémur, en ambos lados, está colocado en la misma posición que en el acto operatorio. B: si se bascula la pelvis, y por lo tanto, la línea que pasa por ambas espinas ilíacas anterosuperiores deja de ser perpendicular a la línea xifoidopúbica, deja de tener valor el punto de referencia que preconizamos.
La técnica que preconizamos la creemos muy útil, especialmente para los cirujanos generales, que no realizan, con frecuencia, el enclavijamiento del cuello del fémur (fig. 20).
El diferente grado de obesidad del enfermo no ha influido en los resultados obtenidos.
¿Cuál es la mejor posición en que debe colocarse el clavo? Es preferible que éste, como insiste Böhler, en lugar de ocupar el mismo eje longitudinal del fémur sea algo más caudal y dorsal que craneal y ventral, respectivamente. Ello no sólo por razones mecánicas, sino también biológicas.
Mecánicamente se comprende que el clavo haga mejor presa en el fragmento distal que en el proximal, por lo que es mucho más fácil que se desplace a nivel de este último, previa lesión del hueso. Por la acción de la carga y del predominio de determinados músculos, el clavo, a nivel del fragmento proximal tiende a ascender y a dirigirse hacia la cara ventral, obedeciendo a la tendencia del trocánter mayor a ascender y a colocarse en rotación externa.
Por otra parte, un mejor conocimiento de la vascularización de la articulación coxofemoral nos demuestra que cuanto más caudalmente se introduzca el clavo, menos lesiones vasculares se producen.
INMOVILIZACION POSTOPERATORIA
Böhler deja levantar al enfermo apoyándose en unos banquillos a los quince días de la operación. Catorce días más tarde anda sólo con un bastón.
La escuela de Putti no permite el apoyo sobre el miembro afecto antes de los dos meses, y esto siempre que la exploración radiológica no demuestre ninguna alteración en la reducción y en la situación del clavo.
Nosotros creemos que con el clavo de Sven Johansson no debe permitirse el apoyo sobre el miembro afecto durante todo el tiempo que tarda en consolidar la fractura, o sea seis meses (éste es el plazo de inmovilización preconizado por el Comité de la Academia Americana de Cirujanos Ortopédicos). Durante este período de tiempo, el enfermo lleva a cabo un intenso tratamiento funcional, y además, practica sesiones de carga en decúbito lateral, apoyando sobre unos almohadones el trocánter del lado afecto con la extremidad colocada en abducción.
En los casos en que hemos colocado el clavo de Felsenreich, la deambulación ha sido autorizada a los dos meses (obs. núm. 5). Claro que, en muchos casos, una deambulación más precoz no hubiera causado ningún perjuicio al enfermo.
Observación número 3. M. F., de setenta y dos años. Fractura simultánea del cuello humeral y femoral derechos, por caída, en una enferma afecta de un angor pectoris y de una bronquitis crónica. Visto su mal estado general, se renuncia a todo tratamiento en la fractura humeral y se coloca un Kirschner en la tuberosidad tibial, para reducir, mediante la extensión continua, la fractura femoral. Se digitaliza a la enferma.
A los veinte días ha mejorado de tal manera su estado general que se intenta la intervención quirúrgica. Pasados diez días vuelve a su domicilio. Al mes y medio de la intervención es visitada por nosotros, diciéndonos la enferma que, a pesar de haberle dicho que no anduviese, ha podido hacerlo con mucha facilidad. Le recordamos que de continuar andando no respondemos del resultado definitivo de la intervención. Vista la enferma a los dos años, se comprueba la normalidad absoluta de la deambulación.
Sin embargo, creemos que el reposo en cama, prolongado (de dos a tres meses con el clavo de Felsenreich o su modificación de Böhler, y de seis meses con el clavo de Sven Johansson), ha sido una de las causas fundamentales de que en nuestros treinta y cinco casos sólo hayamos tenido cuatro fracasos, cuya causa ya ha sido analizada anteriormente.
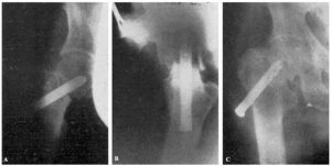
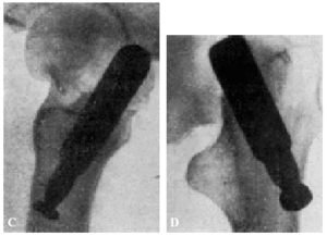
Muchos fracasos de Böhler se deben a haber cargado precozmente la extremidad. La figura 15, A y B8, corresponde a un fracturado operado por Böhler. El clavo está bien colocado en las dos proyecciones, aunque es poco profundo y ligeramente ventral en lugar de dorsal. A los dos meses, cuando el enfermo andaba perfectamente bien, nota el enfermo bruscamente dolores y se comprueba a la exploración radiográfica que el clavo se había salido de la cabeza del fémur (fig. 15, C y D). Dice Böhler, referente a este caso: «Este desprendimiento no habría ocurrido si el clavo se hubiera colocado algo más caudal y más dorsal respecto a la línea media del cuello y de la cabeza y, a la vez, hubiese penetrado lo suficiente en ésta». Y añadimos nosotros: a pesar de que la situación del clavo no era idealmente perfecta en este caso, la culpa del fracaso reside fundamentalmente en la carga precoz del miembro fracturado. Si observamos la figura 16, A y B (observación núm. 23), aunque en proyección anteroposterior, la situación del clavo puede considerarse perfecta; en proyección lateral, está en situación mucho más ventral que la observación anterior de Böhler, y sin embargo la enferma, operada en mayo de 1941, anda en la actualidad, a pesar de sus setenta y ocho años, sin la ayuda de ningún bastón y sin presentar ninguna molestia (fig. 16 C). La situación del clavo en este caso es muy semejante a la de la enferma citada anteriormente, que falleció al extraerle el clavo intolerante (supuración de la herida, sin síntomas generales de infección) (fig. 17 A y B; obs. núm. 18), por lo que todo hace suponer que, en caso de no haberse presentado el desenlace fatal, el resultado funcional hubiera sido bueno.
8. L. Böhler. Tratamiento operatorio de las fracturas y de las seudoartrosis del cuello del fémur y sus resultados. Edit. Labor, S.A. 1941. Leyendas de las figuras 274, 275 y 276, pág. 63.
Figura 15. A: comprobación roentgenológica después de colocar el clavo e impactar los fragmentos. La diástasis entre éstos ha desaparecido. El clavo está en el centro del cuello y de la cabeza, pero no lo suficiente profundo, puesto que su punto dista 13 mm. de la superficie de la cabeza, en vez de 3 a 6 mm. B: en la proyección lateral, el clavo está colocado algo hacia delante, es decir, demasiado ventral, en la cabeza del fémur. (De Böhler Jeschke.)
Figura 15. C y D: al principio andaba perfectamente, pero de pronto se le presentaron dolores, y en la roentgenografía se vio que el clavo se había salido de la cabeza del fémur y los fragmentos habían vuelto a desviarse a la posición que tenían antes de la reducción. Este desprendimiento no habría ocurrido si el clavo se hubiera colocado algo más caudal y más dorsal respecto a la línea media del cuello y de la cabeza, y, a la vez, hubiese penetrado lo suficiente en ésta. (De BöhlerJeschke.)
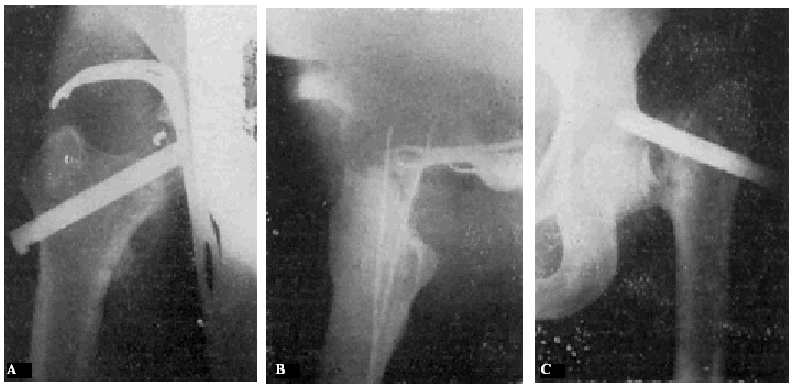
Figura 16. A: obs. núm. 23. La situación del clavo en esta proyección es buena. B: obs. núm. 23. El mismo caso de la figura anterior, en proyección lateral. La situación del clavo es excesivamente ventral. C: Obs. núm. 23. El mismo caso de la figura anterior, en la actualidad. A pesar de la artro-sis existente, la enferma no presenta la más mínima molestia ni se halla limitada la movilidad articular.
Figura 17. obs. núm. 18. La fractura está enclavada en valgus. El clavo está bien colocado, aunque es algo corto. B: obs. núm. 18. El mismo caso de la figura anterior, en posición lateral. El clavo, algo corto, está colocado en la misma posición defectuosa que el caso de la figura 16, B.
Figura 18. A: obs. núm. 33. La situación del clavo de Böhler es ligeramente craneal y ha penetrado demasiado profundamente. B: obs. núm. 33. El mismo caso de la figura anterior, en proyección lateral. El alambre de Kirschner, vertical, se ha desclavado de la cabeza. Esto ha sido la causa de la situación excesivamente ventral del clavo. (Véase la figura siguiente.) C: obs. núm. 33. (Véase la figura anterior.)
García Díaz, comentando su observación núm. 2, dice: «El caso es interesantísimo y su enseñanza la recogemos al plantear alguna de nuestras conclusiones. El resultado se hubiera, indudablemente, comprometido por el apoyo precoz. Demuestra hasta qué punto imperfecciones de técnica de alguna importancia pueden ser compensadas por el tratamiento postoperatorio prudente».
Nuestra estadística, relativamente reducida pero equiparable, en cuanto a resultado se refiere, a la de otros autores de mayor experiencia, confirma que el enclavijamiento es el procedimiento de elección de tratamiento de las fracturas del fémur intracapsulares, pues aparte de que permite de un 70 a un 80 por 100 de buenos resultados funcionales, ha disminuido de un modo extraordinario la mortalidad de los pobres ancianos fracturados, hecho que, teniendo en cuenta las estadísticas de mortalidad senil (se ha llegado a considerar la fractura del cuello del fémur como una manera casi fisiológica de terminar la vida de un anciano), tiene una gran trascendencia social.
En la actualidad, siguiendo a Rankin, García Díaz y otros autores, también intervenimos las fracturas del cuello del fémur extracapsulares, y como que en ellas permitimos que el paciente abandone el lecho a los quince días de la intervención, acortamos de un modo extraordinario el período de recuperación funcional (fig. 21, A y B).
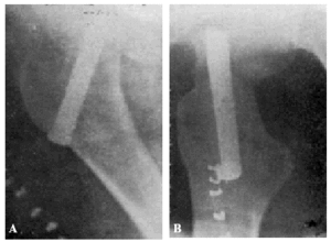
Figura 19. A y B: obs. núm. 34. Buena colocación del clavo.
Figura 20. A y B: obs. núm. 35. Perfecta colocación del «Kirschner» en ambas proyecciones. C y D: obs. núm. 35. Buena colocación del clavo.
Figura 21. A: obs. núm. 37. Fractura pertrocantérea. B: obs. núm. 37. Reducción y situación del clavo. Sin embargo es preferible, en este tipo de fractura, que el punto de entrada del clavo sea más inferior para que haga más buena presa en el fragmento distal. Un clavo de aletas más anchas en su parte proximal sería muy recomendable en estos casos.
En resumen, creemos que el enclavijamiento constituye el procedimiento de elección en el tratamiento de las fracturas intracapsulares del cuello del fémur, pues permite cumplir las dos finalidades que debe de tener presente el cirujano ante toda lesión del aparato locomotor: salvar la vida del paciente y conseguir una restitución funcional completa.

