La subluxación rotatoria atlanto-axial, descrita por Bell en 1830, es una de las causas más frecuentes de tortícolis en el niño y puede ser debida a traumatismos de variable entidad, infección respiratoria superior --conocida como síndrome de Grisel1--, cirugías en cabeza y cuello, artritis inflamatorias, etc. El término subluxación rotatoria, ha sido cuestionado por diferentes autores, debido a que el desplazamiento rotacional se mantiene dentro de los amplios rangos normales de la movilidad cervical del niño2; así, se han propuesto diferentes denominaciones para definir esta entidad clínica: luxación rotatoria, deformidad rotatoria, desplazamiento rotatorio y luxación hiperémica espontánea3. El paciente presenta tortícolis con la cabeza inclinada lateralmente y con rotación contralateral, existiendo espasmo del esternocleidomastoideo ipsilateral en un intento de vencer la situación de tortícolis. El diagnóstico radiológico es difícil y por ello suele ser preciso recurrir a las imágenes de tomografía axial computarizada (TAC) que mostrarán claramente la lesión4. Cuando la deformidad persiste, puede llegar a ser irreductible, provocando un cuadro de fijación rotatoria que fue clasificado por Fielding en 4 tipos5, suponiendo una verdadera subluxación rotatoria crónica atlanto-axial (SRCAA). El tratamiento generalmente admitido es la tracción craneal o cervical con reducción progresiva seguida de inmovilización, pero no existen pautas de tratamiento establecidas, así como de la necesidad o no de estabilización quirúrgica6,7. Las series publicadas son cortas y no existe unanimidad de criterios en cuanto a su diagnóstico y tratamiento, por lo que el propósito de este trabajo es analizar nuestra casuística y, comparándola con la literatura existente, proponer un protocolo de tratamiento de la SRCAA.
CASOS CLINICOS
Se presentan tres casos de SRCAA tratados en nuestro centro entre 1989 y 2003. Los tres enfermos, remitidos de otros centros, presentaban deformidad típica de cabeza en flexión lateral y rotación contralateral; se efectuó un estudio mediante TAC (en el tercer caso tridimensional), y resonancia magnética nuclear (RMN) en los dos primeros, estableciéndose el diagnóstico de SRCAA. Fueron clasificados utilizando la clasificación de Fielding efectuada según el desplazamiento sagital del atlas5: tipo I, no desplazamiento; tipo II, desplazamiento anterior de 3-5 mm; tipo III, más de 5 mm y tipo IV, desplazamiento posterior. Todos los pacientes fueron tratados mediante tracción halo-gravedad progresiva en cama y silla de ruedas hasta alcanzar aproximadamente un cuarto del peso corporal, durante un total de 3 semanas, durante las cuales se realizó una TAC de control y se testó clínicamente la movilidad cervical.
Caso 1
Paciente varón de 9 años con tortícolis asociada a fractura de clavícula por una caída en gimnasia. Tratado en su ciudad de origen mediante vendaje en 8 para la fractura de clavícula, y relajantes musculares y fisioterapia, fue remitido a nuestro centro a las 15 semanas por persistencia de la sintomatología (fig. 1). Las radiografías eran poco demostrativas, por lo que se practicaron estudios mediante TAC y RMN diagnosticándose de SRCAA tipo I3, con una divergencia C1-C2 de 42° (fig. 2); se instauró tracción halo-gravedad progresiva hasta un peso de 7 kg, en que se detuvo por aparición de disartria (17 días de tracción), con una movilidad rotacional levemente disminuida, la TAC de control mostró una divergencia residual de 11°, por lo que para evitar la recidiva se efectuó un artrodesis posterior C1-C2 in situ con injerto de cresta ilíaca (fig. 3), manteniendo la tracción durante la intervención e inmovilizándose con halo-yeso 3 meses. Una vez retirada la tracción, la disartria remitió espontáneamente. Quince años después, el paciente presenta una movilidad cervical prácticamente normal, con una limitación de la rotación izquierda de 10°.
Figura 1. Aspecto clínico de la deformidad del primer caso.
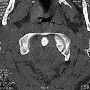
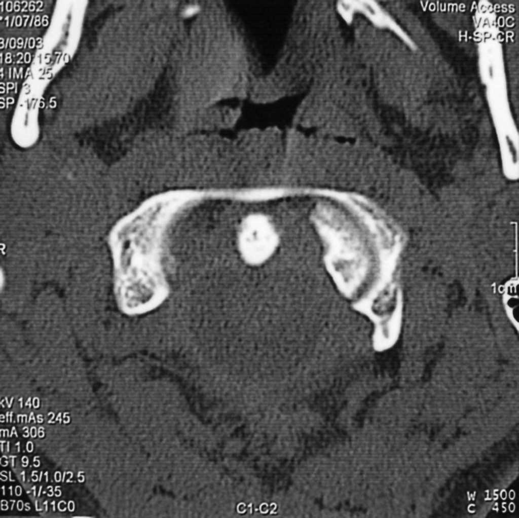
Figura 2. Imagen de la tomografía axial computarizada (TAC) del paciente n.O 1 que muestra el método de medición, con una divergencia atlanto-axial de 42°.
Figura 3. Tomografía axial computarizada posoperatorio del primer paciente, donde se comprueba la buena masa de artrodesis y la divergencia residual de 11°.
Caso 2
Niño de 7 años de edad con historia de tortícolis fija de 17 semanas de evolución a raíz de una infección respiratoria superior; antes de ser remitido, fue tratado mediante antiinflamatorios no esteroideos (AINE), ortesis cervical tipo Schanz y tracción elástica seguida de ortesis cervical sin resultado positivo. Mediante TAC se diagnosticó de SRCAA ipo I con una divergencia de 25° (fig. 4) y se inició un tratamiento con tracción hasta llegar a 8 kg, a las 3 semanas presentó unas rotaciones simétricas y la TAC (fig. 5) mostró una reducción completa, por lo que se inmovilizó mediante halo-yeso que se mantuvo 6 semanas, continuándose el tratamiento 6 semanas más con ortesis cervical blanda. Ocho años después, la función es normal, no presentando secuelas.
Figura 4. Tomografía axial computarizada donde se puede apreciar la deformidad rotacional del complejo C1-C2 en el segundo paciente con angulación de 25°.
Figura 5. Reconstrucción de la tomografía axial computarizada de control 3 semanas después, donde se aprecia la simetría entre la apófisis odontoides y las masas laterales del atlas con corrección completa de la rotación.
Caso 3
Mujer de 16 años con historia por tortícolis fija aparecida tras cirugía tiroidea; tratada mediante AINE y ortesis cervical blanda, no mejora por lo que a las 10 semanas es enviada a nuestro centro. El diagnóstico, SRCAA tipo I de Fielding, se obtuvo mediante TAC (fig. 6A) con reconstrucción tridimensional (fig. 6B) utilizándose el mismo protocolo de tratamiento que en los otros pacientes, llegando a 14 kg; a las 3 semanas la movilidad era simétrica y la TAC confirmó la reducción completa de la divergencia rotacional (fig. 7), inmovilizándose con halo-yeso 6 semanas y ortesis cervical blanda otras 6 semanas. Dos años después, la función es completamente normal, no habiendo presentado episodios de cervicalgia ni tortícolis.
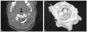
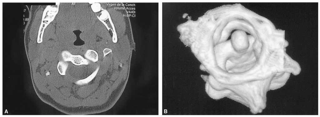
Figura 6. A: tomografía axial computarizada convencional en la que se puede apreciar la rotación de 32° entre C1-C2 en el paciente n.O 3. B: la reconstrucción tridimensional nos muestra la deformidad típica de rotación y pinzamiento C1-C2.
Figura 7. Imagen de tomografía axial computarizada correspondiente a la tercera paciente, que muestra la correcta reducción tras tres semanas de tracción.
DISCUSION
La SRCAA es una patología típica del niño por las características anatómicas de la articulación atlanto-axial en la infancia, bien descritas por Kawabe et al8: existencia de pliegues sinoviales ricos en vascularización en las articulaciones laterales que van desapareciendo con la edad, mayor inclinación y convexidad de facetas de C2 e hipermovilidad C1-C21. La secuencia posible de establecimiento de la SRCAA sería: inflamación sinovial o ruptura de cápsula articular, desplazamiento rotacional, espasmo muscular que fija la posición rotacional, interposición de sinovial hipertrófica o de cápsula rota y finalmente establecimiento de la irreductibilidad con fibrosis local y espasmo muscular definitivo6,8.
La subluxación rotatoria atlanto-axial es una de las causas más frecuentes de tortícolis en el niño y puede ser debida a traumatismos de variable entidad6, infección respiratoria superior1, cirugías en cabeza y cuello9, artritis inflamatorias10, etc., habiéndose descrito también varios casos asociados a fractura de clavícula11; clínicamente el paciente presenta un cuello rígido con inclinación compensadora del tronco, que paulatinamente va progresando a la clínica definitiva: cabeza inclinada hacia un lado y rotada contralateralmente, con gran espasmo del esternocleidomastoideo ipsilateral a la rotación cefálica (fig. 1) en un intento de corregir la deformidad, gran rigidez cervical e incapacidad de rotación. Una vez diagnosticada en sus estadios iniciales, suele responder a tratamientos conservadores como ortesis cervicales asociadas a AINE, tracción seguida de ortesis, fisioterapia, etc.9; en los casos no diagnosticados o tratados insuficientemente puede cronificarse, estableciéndose la SRCAA rígida, también conocida como fijación rotatoria crónica atlanto-axial5,6,8.
Fielding clasificó la SRCAA en 4 tipos, según el desplazamiento sagital del atlas5, en el tipo I el ligamento transverso estaba intacto y en los otros tres podría existir ruptura e inestabilidad potencial; esta clasificación se diseñó antes de la aparición de la TAC, en función de las radiografías laterales y de las cinerradiografías, por lo que Waegeneers ha hecho un nuevo intento de clasificación por medio de TAC12, compleja y de difícil manejo, ya que define 5 tipos y 24 subtipos diferentes, pero que cuestiona la validez del tipo IV, ya que no parece existir ruptura del ligamento transverso, por lo que podría encuadrarse en variante del tipo I.
El diagnóstico radiológico es difícil, ya que la deformidad y el dolor impiden obtener buenas proyecciones, así en la radiografía anteroposterior simple se superpone la cabeza, y en la lateral se puede observar una falta de paralelismo entre el cráneo y la columna; la radiografía transoral de odontoides puede ser de gran valor, mostrando una asimetría entre el diente del axis y las masas laterales del atlas con posible pinzamiento de las facetas8. Se ha sugerido la utilización de la TAC dinámica, con rotación a izquierda y derecha de la cabeza, pero en situación de SRCAA la movilización es dolorosa, por lo que difícilmente se obtendrá la cooperación del paciente, pudiendo llevar a confusión en el diagnóstico13. En una tortícolis aguda no parece estar indicado el estudio con TAC14,15, pero en casos persistentes con sospecha de SRCAA es muy útil para confirmar el diagnóstico, ya que mostrará la divergencia rotacional C1-C2 que se puede cuantificar midiendo la angulación existente entre las líneas que unen las apófisis transversas del atlas y del axis (fig. 2)16. En la TAC tridimensional se puede apreciar la deformidad rotacional con el desplazamiento completo de las facetas articulares, la situación asimétrica de la odontoides en el arco anterior del atlas --que asimismo puede orientar sobre la integridad del ligamento transverso-- y el desplazamiento de la espinosa de C24. La RMN es un buen complemento, ya que puede informar de interposición de partes blandas7, así como de la posible lesión del ligamento transverso17, por lo que en caso de duda puede indicar la necesidad de estabilización quirúrgica. En nuestra serie, ante una sospecha de SRCAA, se utilizó la TAC simple como método diagnóstico (fig. 2 y 4A), completándose en el tercer caso con reconstrucción tridimensional (fig. 4B) en la cual fueron muy evidentes las alteraciones torsionales del complejo atlantoaxial.
Debido a la cortedad de las series publicadas, no existe unanimidad en cuanto al tratamiento, así, Scapinelli4 efectuó una reducción bajo anestesia general e inmovilización con yeso tipo Minerva durante tres meses; Phillips13 hizo una propuesta de tratamiento, en la que las subluxaciones de más de un mes de evolución serían tratadas mediante tracción, preferentemente halo y fijación, si no existe mejoría o hay redesplazamiento. Loder y Hensinger3 postulan artrodesis C1-C2 en los casos de más de tres meses de evolución o si existe ruptura del ligamento transverso. Fielding5, en la SRCAA recomienda la tracción seguida de artrodesis in situ, aunque la corrección de la deformidad sea incompleta. Subach et al9 sugieren la utilización de tracción seguida de in-movilización durante 3 semanas, aunque en un caso de SRCAA practicaron una reducción abierta y artrodesis posterior; Park et al18 aportan un caso en el que practicaron tracción craneal 6 semanas e inmovilización durante 6 meses. Govender y Kumar7 presentaron 7 casos de SRCAA en los que al no conseguir reducción tras tracción craneal durante 11 días, practicaron artrodesis posterior in situ previa exéresis de tejido fibroso interpuesto entre las articulaciones atlanto-axiales y atlanto-odontoidea efectuado por vía transoral; Crockard et al19, en dos casos, efectuaron reducción abierta por vía lateral, encontrando incluso unión ósea. La utilización de tracción craneal goza de gran aceptación17 y es utilizada por la mayoría de los autores3,5-7,9,13,17, pero no existe unanimidad en el tipo de tracción: blanda o esquelética, con halo o compás, y tampoco en la cantidad de peso que se utiliza, aunque Fielding arbitrariamente sugiere un límite de tracción de 6,8 kg en niños20, ni de la sistemática de tracción. El tratamiento posterior tampoco está bien definido; así, si se ha llegado a reducción, algunos autores proponen inmovilización con ortesis cervical, aunque en los casos de SRCAA parece existir una decantación hacia la artrodesis3,5,9,13. En nuestra casuística se ha seguido siempre una estrategia definida: tracción halo-gravedad progresiva tipo Stagnara21 hasta alcanzar un cuarto del peso corporal, siguiendo los principios manejados en el tratamiento de la escoliosis22 y manteniendo la tracción durante tres semanas, ya que consideramos que la tracción con halo da mayor control y es más confortable que el compás, permitiendo completar inmovilización con chaleco y yeso, y que tres semanas son suficientes para la reducción progresiva, que es favorecida por el aumento gradual de peso. En el primer caso, hubo que detener la tracción por aparición de disartria, posiblemente debida a la excesiva tracción del nervio hipogloso23 que se corrigió espontáneamente; una vez comprobada le reducción mediante TAC. En 2 casos el tratamiento se continuó mediante inmovilización halo-yeso (que es mucho más fiable que el halo-chaleco y es bien tolerado por el niño) durante 6 semanas y ortesis cervical blanda 6 semanas más sin recidiva de la SRCAA. La fijación posterior mediante artrodesis que, como se ha visto más arriba, es propuesta por varios autores como tratamiento de elección, en nuestros casos solamente se consideró en el que hubo una reducción incompleta, al igual que proponen Arlet et al24; la técnica utilizada, artrodesis in situ con tracción intraoperatoria mantenida utilizando injerto autólogo extraído de cresta ilíaca e inmovilización con halo-yeso, parece suficiente, ya que al gran poder osteogénico específico del niño a y la buena tolerancia a la inmovilización hay que añadir la tendencia a la fusión espontánea tras la disección subperióstica25, por lo que parece innecesario la utilización de alambres sublaminares o cualquier otro tipo de osteosíntesis.
En conclusión, la SRCAA es una patología rara, secundaria a un cuadro de tortícolis de cualquier etiología, por lo que la primera cuestión es evitar que se establezca mediante los tratamientos oportunos tipo ortesis cervical, AINE, tracción blanda, fisioterapia etc.; en los casos en que se presenta, el tratamiento debe ser inmediato, para lo cual nosotros proponemos el siguiente protocolo:
1. Tracción mediante halo-gravedad durante 3 semanas hasta alcanzar, si es preciso o posible, un cuarto del peso corporal.
2. Si la reducción es completa (demostrada por TAC), inmovilización con halo-chaleco o halo-yeso durante 6 semanas seguido de 6 semanas más con collarín blando.
3. Si la reducción es incompleta y queda divergencia residual atlanto-axial, artrodesis posterior C1-C2 in situ seguida de inmovilización similar a la antedicha.
Conflicto de intereses. Los autores no hemos recibido ayuda económica alguna para la realización de este trabajo. Tampoco hemos firmado ningún acuerdo por el que vayamos a recibir beneficios u honorarios por parte de alguna entidad comercial. Por otra parte, ninguna entidad comercial ha pagado ni pagará a fundaciones, instituciones educativas u otras organizaciones sin ánimo de lucro a las que estamos afiliados.
Correspondencia:
J.L. González López.
Sección de Ortopedia Pediátrica. Hospital General Universitario Gregorio Marañón.
C/ Doctor Esquerdo, 46. 28007 Madrid.
Correo electrónico: jgonzalezlo.hgugm@salud.madrid.org
Recibido: noviembre de 2005. Aceptado: junio de 2006.









