Editado por:
Luis Cajas
National University of Colombia Bogotá
Ingrid Möller
University of Barcelona Barcelona
Esperanza Naredo
Autonomous University of Madrid
Última actualización: Febrero 2026
Más datosMusculoskeletal ultrasound has emerged as an important imaging modality in the diagnosis and management of spondyloarthritis and psoriatic disease offering detailed insights that help guide clinical decision-making and optimizing patient care. We aim to review its utility in diagnosis, treatment, prognosis and special situations in both diseases.
La ecografía musculoesquelética ha surgido como una modalidad de imagen importante en el diagnóstico y manejo de las espondiloartritis y la enfermedad psoriásica, ofreciendo información detallada que ayuda a guiar la toma de decisiones clínicas y optimizar el cuidado de los pacientes. Nuestro objetivo es revisar la utilidad en el diagnóstico, en el tratamiento, en el pronóstico y en situaciones especiales de ambas enfermedades.
We aimed to review the evidence supporting the use of musculoskeletal ultrasound in spondyloarthritis and psoriatic arthritis through a narrative review of the literature, focusing on the peripheral manifestations the diseases. We highlighted the application of musculoskeletal ultrasound in the diagnosis and treatment of peripheral manifestations of spondyloarthritis and psoriatic arthritis. We explored the usefulness of this technique in special situations (such as axial compromise, skin and nail compromise in psoriatic arthritis) and its potential role in prognostic evaluation.
IntroductionThe term Spondyloarthritis (SpA) embraces a group of heterogeneous inflammatory diseases that include reactive arthritis, psoriatic arthritis (PsA), juvenile SpA, SpA associated with inflammatory bowel disease, undifferentiated SpA, peripheral SpA and axial SpA (axSpA) [1]. Spondyloarthritis is classified as axSpA when the axial involvement is predominant (including non-radiographic (nr-axSpA) and radiographic axSpA) or peripheral SpA in the presence of peripheral manifestations without concurrent axial involvement [2].
PsA is included in the spectrum of SpA through common genetic, pathophysiological, and clinical characteristics with these diseases. Patients with psoriasis (PsO) can be classified as having PsA according to the classification criteria for psoriatic arthritis (CASPAR) [3]. Patients with subclinical PsA (Sub-PsA), escape the classification through CASPAR criteria but represent patients with psoriasis and evidence of silent synovio-entheseal inflammation on imaging, without significant symptoms of arthritis [4]. Difficulty in determining synovitis, tenosynovitis, or enthesitis by physical examination (PE) has limited the diagnostic ability of CASPAR for PsA and MSK US could be useful for increasing its sensitivity [5].
Importance of imaging techniques in the evaluation of SpA and PsA, and possible advantages of US- •
The limitations of clinical examination: The reliability and accuracy of clinical examination to assess entheses is not satisfactory [6,7]. Subclinical enthesitis by US has been demonstrated in 56% of evaluated entheses in lower limbs of patients with SpA, compared with clinical detection in 22% of the same subjects [8]. At the entheses of the lower limbs, 60.8% of asymptomatic patients diagnosed with SpA present at least one sign of enthesopathy evaluated by US [9].
- •
The shortcomings of conventional radiography: Radiography detects only structural bone changes and does not inform of the presence of active inflammatory changes [10], leading to a low sensitivity [11]. This has led to an increase predilection for high sensitivity imaging tests such as MRI and US for the diagnosis of active disease in patients with SpA [10].
- •
The possibilities and limitations of MRI: MRI can assess peripheral joints for inflammatory lesions such as synovitis, tenosynovitis, periarticular inflammation, and bone marrow edema (BME), and structural lesions such as bone erosion and bone proliferation [12]. Its high sensitivity allows detection of inflammatory and structural involvement in patients with psoriasis without clinical signs and symptoms of pain and inflammation by MRI of the feet [13]. Unfortunately, MRI is neither very sensitive nor specific for enthesitis [10,14].
- •
Probable advantages of MSK US: US has several technical advantages: it provides real-time and high-resolution imaging, it is safe and well accepted by patients [15], it has low running costs, it is easy to handle and portable [15], and it allows to examine multiple joints during the same evaluation with an affordable cost, explaining its increasing use in rheumatology practice [16]. It offers the possibility of guiding different needle procedures including synovial fluid aspiration, injections and biopsies; it improves the accuracy of clinical examinations in detecting synovitis and enthesitis and improves the sensitivity of conventional radiography (CR) in detecting erosions [10,17].
- •
US has a high agreement with MRI and CR in PsA patients: Polacheck et al. assessed the differences and agreements between ultrasound, MRI, and CR in the hands of patients with PsA [18]. They found that the prevalence of synovitis, flexor tenosynovitis, extensor paratenonitis, and erosions was similar for ultrasound and MRI, whereas the prevalence of bone proliferation was significantly increased in ultrasound and radiography compared with MRI (P<0.001). Absolute agreement between ultrasound and MRI was good to very good for synovitis, flexor tenosynovitis, and extensor paratenonitis. The agreement between ultrasound, MRI and radiography was 96–98% (PABAK=0.92–0.97) for erosions and 71–93% (PABAK=0.47–0.87) for bone proliferations. The sensitivity of ultrasound with MRI as the gold standard was higher for synovitis (0.5–0.86) and extensor paratenonitis (0.63–0.85) than for flexor tenosynovitis (0.1–0.75), whereas specificity was high for each pathology (0.89–0.98) [18].
- •
US might have higher sensitivity than MRI for peripheral enthesopathy in spondyloarthritis: Comparing the diagnostic efficacy of US and MRI in detecting heel enthesopathies of subjects with seronegative arthropathies, resulted in a lower sensitivity of MRI for the detection of early enthesopathic changes. Fatty degeneration appeared late on MRI, whereas it was detected earlier with US. MRI could not detect any calcification process at the insertion site, whereas US images clearly showed very early signs [19].
- •
Synovitis (Figs. 1 and 2): Joint involvement is variable in PsA and SpA. Ultrasound findings in these conditions are not specific, as it may also occur in patients with other inflammatory conditions, such as RA [20]. US can detect subclinical synovitis, which is quite common in early PsA [21]. Similar findings have been observed in patients with psoriasis with joint symptoms, where up to 50% of clinically inactive joints had positive US findings for synovitis with or without Doppler activity [22].
Fig. 1.Psoriatic arthritis. Wrist. Right (A)–left (B) comparison. Ultrasound images acquired using a dorsal median longitudinal A. Evident active synovitis of the wrist. B. Subclinical mild active synovitis of the radio-carpal joint (arrow). r=radius; l=lunate bone; c=capitate bone; m=base of the third metacarpal bone.
The Outcome Measures in Rheumatology (OMERACT)US working group defines synovitis as the presence of hypoechoic synovial hypertrophy regardless of the presence of effusion or any degree of Doppler signal, and synovial hypertrophy as the presence of abnormal hypoechoic synovial tissue within the capsule that is non-displaceable and poorly compressible and may exhibit Doppler signals [23]. Synovial effusion is defined as hypoechoic or anechoic (relative to subdermal fat) intra-articular material that is displaceable and compressible and has no Doppler signal [24]. Synovitis can be graded according to a semiquantitative scoring system (see Table 1) [25].
- •
Dactylitis: Clinical presentation of dactylitis entails a uniform and diffuse swelling of the whole digit to the point that actual joint swelling can no longer be independently recognized [26]. It is a common feature of PsA [20], and it is due to both flexor tenosynovitis and articular synovitis [27]. It occurs in about 40% of cases at some point during the disease [28]. Dactylitis may also occur in other types of SpA, particularly reactive arthritis [26]. However, dactylitis is not specific to SpA and may also be present in patients with gout, syphilis, tuberculosis, flexor sheath infections, sickle cell disease, and sarcoidosis [29].
OMERACT defines tenosynovitis as abnormal (relative to tendon fibers) anechoic and/or hypoechoic widening of the tendon sheath, which may be related to the presence of abnormal tenosynovial fluid and/or hypertrophy. A Doppler signal may be considered present if seen in 2 perpendicular planes, within the peritendinous synovial sheath, excluding normal feeder vessels (i.e., vessels in the mesotenon or links or vessels entering the synovial sheath from surrounding tissues) [23]. During US examination of dactylitis in patients with PsA, it is possible to detect a variable combination of the following pathological conditions: tenosynovitis of the finger or toe flexor tendons, synovitis (mainly in distal and proximal interphalangeal joints), and diffuse soft tissue oedema [20]. It has long been considered that the onset of disease in PsA could be related to abnormal responses to physical stress with the Koebner response in the skin and the “deep Koebner” response in the joints [30]. The small digital pulleys are sites of high physical stress and are therefore susceptible to thickening and “Koebnerization”. Patients with established PsA with a history of dactylitis have been found to have thickened accessory pulleys compared to subjects with RA, psoriasis, and healthy controls [31,32].
Clinically, dactylitis may present with an acute or chronic appearance. Acute/painful dactylitis is characterized by a mildly red, painful, swollen finger. Chronic dactylitis, also called “cold” dactylitis, presents as a swollen, non-painful finger [33]. The relationship between sonographic features and finger symptoms has been assessed in studies of hand dactylitis. Pain and tenderness in one finger are positively associated with US detection of flexor tenosynovitis, both in grayscale and power Doppler (PD), and extensive digital soft tissue edema (eSTO) (both grayscale and PD) [34], although they are inversely associated with joint synovitis (both in grayscale and PD). Flexor tenosynovitis and eSTO are the most frequently found sonographic features in warm dactylitis, whereas joint synovitis is the most prominent sonographic feature in cold dactylitis [35].
- ∘
Scoring systems for dactylitis in PsA: To score dactylitis in PsA, both for clinical trials and for clinical practice, two scales have been validated: DACTOS (DACTylitis glObal Sonographic Score) and GLOUDAS (GLobal OMERACT Ultrasound DActylitis Score) in psoriatic arthritis [36,37].
DACTOS is a composite score for each elementary lesion of hand dactylitis: extensor peritendinous inflammation assessed by B-mode and PD at the level of the MCP and PIP joints (maximum score 4); STOe; flexor tenosynovitis assessed by B-mode and PD at the most severely affected area of the finger (maximum score 6 for each); combined EULAR-OMERACT score for synovitis assessed at the MCP, PIP and DIP joints (maximum score 9). The sum of scores for all lesions ranges from 0 to 25 points for each affected finger. The DACTOS score discriminates between normal and affected fingers, is sensitive to change and correlates with clinical parameters, making it an excellent tool for assessing response to treatment [38]. However, it does not include small digital entheses [33]. On the other hand, the GLOUDAS score for PsA evaluates synovitis, tenosynovitis, enthesitis, inflammation of the subcutaneous tissue, inflammation of the peri-extensor tendon, and allows assessment of small digital entheses [37].
- ∘
- •
Entesitis (Fig. 3): Clinically, enthesitis is reported in 35–50% of patients with PsA; however, the true prevalence may be underestimated, and more entheseal sites should be assessed, preferably using advanced imaging techniques such as US. Common sites of enthesitis in PsA include the attachment of the plantar fascia and Achilles tendon, patellar tendons, and ligament insertion sites around the pelvis, ribs, and elbow. Moreover, enthesitis often occurs in the spine at ligament insertion sites on the vertebra [39].
OMERACT defines enthesitis as hypoechoic and/or thickened tendon insertion close to the bone (within 2mm of the bone cortex) that shows Doppler signal if active and may exhibit erosions, enthesophytes/calcifications as a sign of structural damage. Lesions should be viewed in two perpendicular planes [23]. There are other elementary US lesions, such as bursitis and fibrocartilage alterations that are not part of the definition proposed by OMERACT; however, they are considered as part of the inflammatory pathology at the level of the entheses [40].
The most characteristic elementary US lesions at the level of the enthesis in patients with SpA are detailed in Table 2:
- ∘
Ultrasound scoring systems for enthesopathy in patients with spondyloarthritis: Different scoring systems have been validated for the assessment of entheses. They have been developed to perform a more extensive evaluation and standardization of enthesitis involvement. The GUESS (Glasgow Ultrasound Enthesitis Scoring System) and the MASEI (Madrid Sonographic Enthesis Index) are the most widely used scores. There are also other validated indices such as the D’Agostino and the Spanish Enthesitis Index (SEI index) [41,42].
- ∘
GUESS index: The GUESS scoring system assesses, bilaterally, five entheses of the lower extremities: plantar fascia, distal insertion of the Achilles tendon, patellar tendon at its proximal and distal insertions, and distal quadriceps. This index considers the presence of four elementary lesions only in gray scale: thickness of the enthesis, presence of enthesophytes, erosion, and bursitis. These lesions are scored dichotomously as 1 or 0 (present or absent), without assessment of bursitis at the level of the lower pole of the calcaneus and the upper pole of the patella. The highest possible score is 36 points, with a higher score associating with greater involvement (see Table 3) [8].
Table 3.Glasgow Ultrasound Enthesitis Scoring System (GUESS).
Superior pole of the patella—quadriceps tendon enthesis • Quadriceps tendon thickness>6.1mm • Suprapatellar bursitis • Superior pole of patella erosion • Superior pole of patella enthesophyte Inferior pole of the patella—proximal patellar ligament enthesis • Patellar ligament thickness>4mm • Inferior pole of patella erosion • Inferior pole of patella enthesophyte Tibial tuberosity—distal patellar ligament enthesis • Patellar ligament thickness>4mm • Infrapatellar bursitis • Tibial tuberosity erosion • Tibial tuberosity enthesophyte Superior pole of the calcaneus—Achilles tendon enthesis • Achilles tendon thickness>5.29mm • Retrocalcaneal bursitis • Posterior pole of calcaneus erosion • Posterior pole of calcaneus enthesophyte Inferior pole of the calcaneus—plantar aponeurosis enthesis • Plantar aponeurosis thickness>4.4mm • Inferior pole of calcaneus erosion • Inferior pole of calcaneus enthesophyte Each item scores one point. Total possible score on both lower limbs is 36. - ∘
MASEI (Madrid Sonographic Enthesis Index): This scoring system covers the same lower limb entheses as the GUESS index and adds the evaluation of the distal enthesis of the triceps tendon at the level of its insertion in the olecranon. In addition to the grayscale alterations, it considers the presence of PD. The basic lesions of the MASEI index include thickness, calcifications, erosions, bursitis, and PD. A cut-off value of 18 was determined to differentiate between healthy patients and patients diagnosed with SpA, reaching a sensitivity of 83.3%, specificity of 82.8%, positive likelihood ratio (LR+) of 4.8 and negative likelihood ratio (LR−) of 0.2 (see Table 4) [43]. This scoring system proved to be a useful tool to classify patients with PsA, with a specificity of 95% [44].
Table 4.Madrid Sonographic Enthesis Index (MASEI).
Data Value Inferior pole of the calcaneus: plantar aponeurosis enthesis Plantar aponeurosis structure (0 or 1) Plantar aponeurosis thickness>4.4mm (0 or 1) Inferior pole of calcaneus erosion (0 or 3) Inferior pole of calcaneus enthesis calcification (0, 1, 2, or 3) Plantar aponeurosis enthesis power Doppler (0 or 3) Superior pole of the calcaneus: Achilles tendon enthesis Achilles tendon structure (0 or 1) Achilles tendon thickness>5.29mm (0 or 1) Retrocalcaneal bursitis (0 or 1) Posterior pole of calcaneus erosion (0 or 3) Posterior pole of calcaneus enthesis calcification (0, 1, 2, or 3) Posterior pole of calcaneus power Doppler (0 or 3) Tibial tuberosity: distal patellar ligament enthesis Patellar ligament structure (0 or 1) Patellar ligament thickness>4mm (0 or 1) Infrapatellar bursitis (0 or 1) Tibial tuberosity erosion (0 or 3) Tibial tuberosity enthesis calcification (0, 1, 2, or 3) Tibial tuberosity enthesis power Doppler (0 or 3) Inferior pole of the patella: proximal patellar ligament enthesis Patellar ligament structure (0 or 1) Patellar ligament thickness>4mm (0 or 1) Inferior pole of patella erosion (0 or 3) Inferior pole of patella enthesis calcification (0, 1, 2, or 3) Inferior pole of patella enthesis power Doppler (0 or 3) Superior pole of the patella: quadriceps tendon enthesis Quadriceps tendon structure (0 or 1) Quadriceps tendon thickness>6.1mm (0 or 1) Superior pole of patella erosion (0 or 3) Superior pole of patella enthesis calcification (0, 1, 2, or 3) Superior pole of patella enthesis power Doppler (0 or 3) Olecranon tuberosity: triceps tendon enthesis Triceps tendon structure (0 or 1) Triceps tendon thickness>4.3mm (0 or 1) Olecranon erosion (0 or 3) Olecranon enthesis calcification (0, 1, 2, or 3) Olecranon enthesis power Doppler (0 or 3) Each item scores one point, except for calcification erosion and Doppler signal (0 or 3). The total possible score on both sides (12 entheses) is 136.
- ∘
D’Agostino Index: D’Agostino et al. introduced the Doppler function in the assessment of entheses (see Table 5), indicating that ultrasound is useful both to assess elementary lesions of the enthesis and to detect inflammatory activity in patients with SpA. They established 5 evolutionary stages of enthesis involvement [41].
Table 5.Staging of the D’Agostino ultrasound index.
1. Vascularization at the cortical junction without lesions in B mode.2a. Vascularization associated with edema and/or decreased echogenicity at the cortical junction in B-mode.2b. Stage 2a B-mode findings without vascularization.3a. Stage 2a+erosions or calcifications in the enthesitis and optional associated bursitis.3b. Stage 3a B-mode findings without vascularization. - ∘
Spanish Enthesitis Index (SEI index): This index is an extension of the basic lesions of the Guess index, which also evaluates decreased echogenicity, tendon tears, decreased thickness and edema; it attempts to identify lesions related to active inflammation (SEI-A) and chronic lesions (SEI-C), based on the opinion of the researchers, and does not use Doppler [10,42]. The correlations of this index with other outcome variables used in SpA are poor or do not reach significance, especially in the activity index [10]. Table 6 shows the entheseal areas evaluated and the scoring system.
Table 6.Description of target areas and alterations evaluated in the sonographic scoring of entheses.
Entheseal areas Signs of acute injury Signs of chronic lesion Quadriceps tendon enthesis (superior pole of the patella) Thickening of tendon/aponeurosis Tendon tear Proximal insertion of the patellar tendon (inferior pole of the patella) Hypoechogenicity of tendon/aponeurosis Loss of thickness Distal insertion of the patellar tendon (anterior tibial tuberosity) Peritendinous/periaponeurotic oedema Tendon calcification Achilles tendon enthesis (superior pole of the calcaneus) Bursitisa Bone erosion Plantar aponeurosis enthesis (plantar pole of the calcaneus) Total 76 points SEI-A 0–36 points SEI-C 0–40 points Each variable was scored as 0 (absence) or 1 (presence) and the SEI was the total sum of SEI-A and SEI-C.
The maximum SEI scoring was 76 points (36+40).
The OMERACT definitions for enthesitis have several limitations:
- ∘
The high prevalence of B-mode findings defining enthesitis (i.e., entheseal thickening and hypoechogenicity) in healthy subjects undermining its specificity. This could be obtained by adding quantitative measures (i.e., cutoff values for entheseal thickening and Doppler score greater than 1) [45].
- ∘
Although the GUESS and MASEI introduce cutoff points to measure entheseal thickening [8,43], variability in tendon and ligament thickness between individuals is a potential limitation for the systematic application of these cutoff values.
- ∘
Doppler signal has proven the highest specificity among inflammatory findings of entheseal US, as well as a high sensitivity. The presence of the Doppler signal alone (i.e., without hypoechoic areas or thickening of the enthesis) should also be considered sufficient to define enthesitis, and not only to indicate its “activity” [45,46].
- ∘
Focusing the investigation of Doppler findings only at the entheseal level may lead to suppressing valuable information, because the Doppler signal can also be detected outside the 2mm area in patients with SpA and should be considered an expression of active enthesitis [45].
- ∘
Hypoechoic areas and entheseal thickening do not necessarily reflect inflammation alone but may also be the manifestation of a reparative process on the tendon side of the enthesis [45,47].
- ∘
Ultrasound scoring systems for enthesopathy in patients with PsA: The Group for Research and Assessment of Psoriasis and Psoriatic Arthritis (GRAPPA) identified important gaps in knowledge regarding the validity of existing sonographic enthesitis scoring systems for PsA [48]. Most of the existing scoring methods were developed in patients with axial spondyloarthritis; with their validity in PsA unknown. Although enthesitis is a common manifestation of both AS and PsA, there are differences in sonographic features. For example, patients with PsA have more entheseal damage than patients with AS [49]. This supports the “deep Koebner” phenomenon in PsA affecting US findings despite shared clinical features in both AS and PsA [30,31]. The group agreed that their effort should focus on developing an enthesis scoring method for early diagnosis of PsA at this stage [48].
GRAPPA evaluated the performance of sonographic lesions and entheseal sites in distinguishing between PsA and healthy controls. The 2014 OMERACT consensus was used as the basis for defining elementary sonographic lesions [50]. Additionally, they added to the protocol lesions of interest that were thought to represent inflammatory enthesitis and were not included in the consensus statement. Of the 8 elementary sonographic lesions (hypoechogenicity, thickening, enthesophyte, calcification, erosion, bone proliferation, Doppler signal, and bursitis), they identified the following 5 lesions that differentiated PsA from controls: hypoechogenicity, entheseal thickening, enthesophytes, erosions, and Doppler signal [50]. Additionally, they included the following 6 entheseal sites: patellar ligament insertions on the distal patella and tibial tuberosity, Achilles tendon, plantar fascia, lateral epicondyle, and supraspinatus. The area under the receiver operating characteristic curve for this model was 0.93 (95% CI: 0.88–0.98) [51].
- ∘
- •
Differential diagnosis through MSK US: Comparing the US features presented in the finger joints in patients with RA and those with PsA shows that the first group has exclusively intracapsular inflammation (“synovitis”), whereas the second group has a combination of intra- and extracapsular inflammation (“peritenonitis”) [52]. Other sonographic features that characterize PsA and can differentiate it from RA include enthesitis of the extensor tendon insertion, thickening of the tendon pulley, and soft tissue edema [53]. Gout is common among patients with psoriasis, and often involves swelling of the toes that may resemble dactylitis [54]. In these patients, the detection of gout-specific US features (i.e., “double contour” sign and tophus) helps to make the correct diagnosis [54]. Osteoarthritis (OA) is another condition that has clinical and imaging overlaps with PsA. Some sonographic features can be found in both pathologies, including osteo-proliferative lesions at tendon and ligament insertion, joint effusion, and synovitis [55]. Therefore, further research is needed to establish sonographic features that can distinguish the two conditions.
- •
Monitoring and treatment: US helps in assessing the severity and extent of inflammation, allowing for a better monitoring of disease progression and response to treatment [7,56–61]. The ability to obtain detailed images of affected areas [56], sensitivity to change and response to treatment of inflammatory findings [62], and the capability to detect subclinical disease [5,61,63,64], underscores the usefulness of US in guiding treatment decisions. Lastly, the utility of US in therapeutic interventions adds to its value in the treatment of heterogenous and complex diseases [65]. In the following section we will review the current evidence of US in the management of peripheral compromise of SpA with an emphasis on PsA due to the greater volume of information.
- ∘
Synovitis: US allows a careful morpho-structural assessment of soft tissue involvement in PsA [66]. In patients with concomitant fibromyalgia and PsA there are higher DAS scores and a lower probability of achieving remission [67] but US studies have shown that these patients have similar levels of objective inflammation than those with PsA without fibromyalgia [68], with a potential of more informed treatment decisions. Several scores allow the evaluation and monitoring of synovitis in spondyloarthritis, they are summarized in Table 7.
Score Disease Items Therapeutic response German US7 score [69] PsARA Synovitis, tenosynovitis, and erosions of small joints Yes SOLAR [70] PsAASRA Evaluation and monitoring of large joint involvement Yes PsA-Son22 [71] PsA (specific) 22 joints bilaterally: 6 metacarpophalangeal joints, 4 proximal interphalangeal joints of hands, 2 metatarsophalangeal joints, 4 distal interphalangeal joints of hands, 2 distal interphalangeal joints of feet and 4 entheses Yes PsA-Son13 [71] PsA (specific) Same as PsA-Son22 but unilaterally. Yes GLOESS [72] RAPSA Synovitis by GS and PD. Yes Five targets PwD for psoriatic disease [73] PsA (specific) Joint, tendon with synovial sheath, enthesis, skin and nail Yes GLOESS: Global EULAR-OMERACT Synovitis Score.
GS: Grey-scale.
PD: Power-Doppler.
RA: rheumatoid arthritis.
PsA: psoriatic arthritis.
AS: ankylosing spondylitis.
The use of intra-articular corticosteroid injection is tempting due to their specific area of effect and limited systemic toxicity [74,75]. The use of US-guidance informs the precise localization of intra-articular injections [66] and shows response to change both by grey scale and PDUS [76]. However, disappointing long-term results regarding joint damage and disability undermines generalized use [74,77]. The results of the proposed ARCTIC trial [78] will allow us to better grasp the utility of US-guided corticosteroid injections in PsA synovitis both in the short and long-term.
Concerning bDMARD tapering, there seems to be conflicting evidence regarding the presence of subclinical synovitis in patients fulfilling MDA criteria [79], with reports of no differences in B-mode and color Doppler findings when evaluating patients fulfilling MDA criteria with and without tapered bDMARD [80].
In treat-to-target strategies, inflammation scores by US in the TICOPA imaging sub-study demonstrated responsiveness, aligned to baseline clinical outcome measures, and were aligned to change detected by clinical outcome measures between different time-points, which was similarly seen with the PsAMRIS [81].
We have no data regarding which steps to take after identifying active synovitis with US in patients fulfilling clinical outcome measure targets, as 15.7% of the patients in an open-label study were found to be in this situation [61].
- ∘
Dactylitis: Some studies have demonstrated the efficacy of US-guided peritendinous steroid injections in the management of flexor tenosynovitis in patients with chronic inflammatory arthritis [82–84] and the efficacy of US-guided peritendinous corticosteroid injections in the management of patients with chronic inflammatory arthritis presenting as US-proven tenosynovitis (including PsA) [84]. Short-term efficacy of US-guided local corticosteroid injection in tenosynovitis over blind injection has been demonstrated in a randomized comparative study [82]. Clinical responses in dactylitis are linked to sonographic improvement in extracapsular lesions (particularly flexor tenosynovitis and soft tissue edema) [85]. In an observational, multicenter, prospective study, 88 cases of symptomatic hand dactylitis where proposed local treatment injection into the digital flexor tendon sheath or NSAID treatment course, if the first was not accepted, with clinical and US effectiveness examination. Both groups continued baseline csDMARD and/or corticosteroid therapy during the follow-up period [86]. Both the DACTOS defined response and remission outcomes were greater in the local therapy group with no injection-related side effects reported during the entire follow-up [86], highlighting the usefulness of DACTOS for local and systemic treatment response evaluation in dactylitis. The technique and particularities of US-guided corticosteroid injection of digital flexor tendon sheath are extensively reviewed in the article by Carriero et al. [87] US evaluation of patients undergoing bDMARD tapering suggests no differences regarding tenosynovitis and paratenonitis between tapered and non-tapered groups if MDA is fulfilled [80].
- ∘
Enthesitis: US evaluation of entheses may be useful in differentiating pain due to enthesitis from entheseal pain due to other origins [88], including inflammatory activity of PsA from pain secondary to fibromyalgia [67,88], which may lead to more informed treatment decisions [88]. The safety of injection to entheseal tissues is unknown with limited information in PsA, leaving the decision of injecting to the clinician, with an expert recommendation of US inflammation confirmation before procedure to select those more prone to success with corticosteroid injection, and US guidance of the procedure for needle placement [65]. Efficacy of TNF inhibition for Achilles enthesitis in patients with ankylosing spondylitis has been shown as early as 2 months [89]. Morphological abnormalities, PD signal, and bursitis seen in US are responsive to TNF inhibition at 6 months and PDUS has been shown to be a reproducible method for multicenter monitoring of therapeutic response in enthesitis of spondyloarthritis [90]. Reversal of Achilles enthesitis erosions have been shown with US after 6 to 12 months of therapy [91]. In the ULTIMATE trial, the enthesitis OMERACT PDUS score had a statistically significant reduction in the secukinumab group when compared to placebo [72]. Recently, an open-label observational study evaluated entheseal response to both TNF and IL17 inhibition in patients with PsA fulfilling CASPAR criteria through the MASEI score at 16 weeks of treatment [92]. Although clinical responses for enthesitis were the same, TNF inhibition had greater reductions in the MASEI scores, which will require further exploration for significance [92]. When tapering bDMARD, there seems to be no difference regarding entesitis scores between patient groups if the MDA criteria are fulfilled [80]. Different US enthesitis scoring methods have been proposed (GUESS, SEI, MASEI and the 5-stage system proposed by D’Agostino et al.) which have shown sensitivity to change with treatment and are useful for diagnosis and follow-up [8,41–44,50]. These indices are not designed to specifically identify enthesitis among patients with PsA, and they were all developed based mostly on patients with AS. Therefore, two additional US composite scores that joint and entheses (PsASon22 and PsASon13) have been developed to feasibly assess PsA-specific inflammatory and structural lesions [71] (see Table 7) and a GRAPPA led proposal is in development [51,93].
- ∘
- •
Prognosis: Although the quantity and quality of data regarding diagnosis and management of PsA with US has been increasing, there are still important knowledge gaps when it comes to the relationship between US and prognosis in PsA [60,94,95].
- ∘
Synovitis: Data regarding prognosis and synovitis is conflicting. Patients clinically classified as oligoarthritis have had polyarticular compromise detected with US [96]. Baseline US findings of synovitis have been reported as risk factors for joint damage [97]. In a cohort of patients with PsA, the PsA activity by color Doppler US had no influence on subsequent treatment response [98]. Other groups have reported that in patients with clinical remission or minimal disease activity, US detection of subclinical synovitis with PD predicted PsA flares at 6 months [99]. There have been reports of poor correlation between levels of clinical PsA activity measured by composite outcome measures and US inflammatory findings [79,100]. Still, it has been reported that in patients with PsA in clinical remission, a clinical predictor for relapsing after stopping csDMARD or bDMARD was the presence of synovial hypertrophy on US scan at the time of therapy discontinuation [101]. There is still an unfulfilled need for data regarding US intervention in diagnosis and management, and its role as a possible prognostic factor, making the integration of US in routine clinical practice a challenge for the future [94]. The results of the UPSTREAM observational study will provide valuable information regarding this matter [102]. The proposed activity and damage msk-Us scores for the UPSTREAM include joints, tendons, entheses and bursae, and have been preliminary validated [103].
- ∘
Enthesitis: Clinical involvement of entheses is associated with higher disease activity, more pain, fatigue, and inflammation [104]. US evaluation of entheses is considered to have a higher sensitivity than clinical evaluation and aids in the detection of subclinical enthesitis in patients with psoriasis [105–109]. Subclinical enthesitis detected by US may be predictive of the development of PsA in patients with psoriasis [110,111]. Enthesitis is an early sign of PsA and persistent enthesitis associates with joint damage in patients with psoriasis [107]. US verified enthesophytes are associated with radiographic progression at entheses [112] and higher MASEI scores have been associated with more peripheral joint damage, greater axial damage, and a greater chance of patients developing joint ankyloses and/or arthritis mutilans [113]. Finally, US detection of PD signal and bone erosions at entheseal level was found significantly associated with bone erosions at joint level, helping to identify a more severe subset of PsA [114]. This highlights the importance of entesitis as one of treatment domains in PsA, and whose early detection and prompt treatment may potentially improve patients’ long-term outcomes [115].
- ∘
- •
Special situations:
- ∘
Axial Skeleton Involvement in Psoriatic Arthritis (PsA) and Spondyloarthritis (SpA)
- ∘
- •
Imaging Modalities Used for the Study of Axial Involvement in PsA and SpA: The most used imaging modalities to assess axial involvement have been conventional radiography (CR) and magnetic resonance imaging (MRI) [116]. Magnetic resonance imaging (MRI) is the method of choice for evaluating inflammation and structural damage in the spine and sacroiliac joints [117].
- •
Ultrasound in Axial Involvement in Spondyloarthritis and Psoriatic Arthritis: US has a limited role in the evaluation of axial involvement in PsA and spondyloarthritis in general. Its utility in evaluating the axial skeleton is restricted due to technical limitations in visualizing deep structures such as the sacroiliac joints and the spine [118,119]. Its application in axial involvement is limited and is not recommended as a routine diagnostic tool for sacroiliitis or the progression of axial disease.
- ∘
Sonographic Evaluation of Skin in Psoriatic Arthritis: High-resolution ultrasound with very high-frequency probes allows for a detailed evaluation of the skin morpho-structural features [120,121]. Ultrasound effectively identifies several abnormalities in psoriatic plaques, differentiating affected from healthy skin [122,123]. Changes include increased skin thickness and reduced echogenicity compared to unaffected areas [123,124]. Thickening is due to inflammation, edema, and hypervascularization of the papillary dermis, often accompanied by keratinocyte proliferation and desquamation [7,125]. Additionally, edema-related restructuring of the dermis increases collagen fiber density, reducing skin firmness [126].
In psoriatic skin both the epidermis and dermis appear thickened [127], and dermis echogenicity is reduced [128]. Although increased blood flow is often seen, the subcutaneous tissue usually remains unchanged [126].
Psoriatic plaques exhibit a range of ultrasound characteristics, most notably a significant thickening of both the epidermis and dermis, often accompanied by increased vascularity in the dermis, as revealed by PD. In certain cases, the degree of epidermal thickening is so substantial that it creates an acoustic shadow impairing the visualization of deeper structures (Fig. 4) [20].
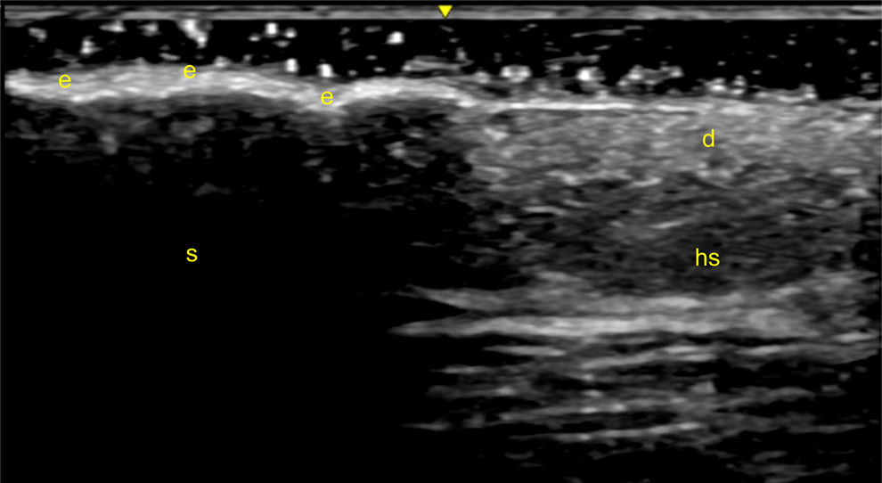
Fig. 4.Psoriatic plaque. Sonographic image obtained using Logiq e US system with an 8–18i MHz linear transducer. Comparative image of the edge of a psoriatic plaque, distinguishing healthy skin (hs) from the plaque itself. Note the thickening of the epidermis (e), which generates an acoustic shadow (s), hindering the visualization of deeper structures. d=dermis.
- ∘
Though typical of psoriatic skin, these sonographic features may overlap with other dermatological conditions, such as contact dermatitis, atopic eczema, or acanthomas [127]. It is also important to account for variations in skin thickness due to factors like gender, sun exposure, and body region, requiring comparisons between lesional and non-lesional skin in the same anatomical area [126]. Ultrasound allows monitoring of treatment response, demonstrated by a reduction in epidermal and dermal thickness and the resolution of the superficial hypoechoic band [129,130].
- ∘
Sonographic evaluation of the nail apparatus in psoriatic onychopathy Healthy nails play both a functional and aesthetic role, and alterations can significantly impact quality of life [131]. The nail apparatus serves as a key link between the skin and joints due to its anatomical proximity, allowing the spread of inflammation to neighboring structures, including the distal interphalangeal joints and extensor tendons [132].
While MRI is rarely employed due to cost and limited availability, ultrasonography provides a non-invasive, cost-effective alternative for assessing nail changes and underlying inflammatory activity. US can differentiate between healthy and pathological nails [133].
Ultrasound imaging identifies three primary structures of the nail apparatus: the nail plate, the nail bed, and the nail matrix. The nail plate consists of two parallel hyperechoic layers, separated by a hypoechoic interlaminar space, with normal thickness ranging between 0.3 and 0.65mm. The nail bed, a hypoechoic structure located between the ventral plate and the periosteum of the distal phalanx, measures between 0.7 and 6.5mm in thickness. The nail matrix, located proximally, appears isoechogenic and measures 1–5.3mm in length [134] (Fig. 5).
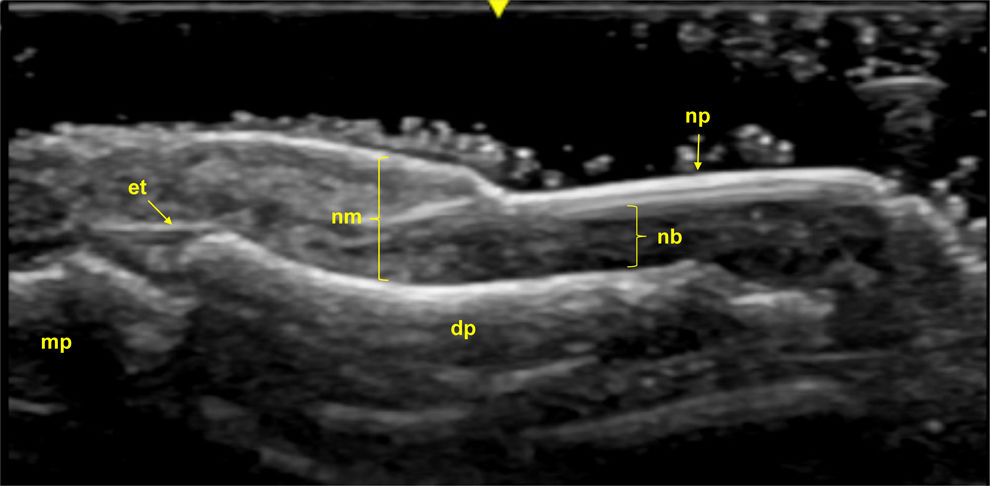
Fig. 5.Healthy Nail (Longitudinal View): Sonographic image obtained using Logiq e US system with an 8–18i MHz linear transducer. The nail plates (np) appear as two parallel hyperechoic layers, separated by a hypoechoic interlaminar space. The nail matrix (nm) is visible as an isoechogenic structure located proximally, while the nail bed (nb) is shown as a hypoechoic area between the ventral nail plate and the periosteum of the distal phalanx (dp). The extensor tendon (et) inserts distally at the base of the dp. mp=middle phalanx.
Ultrasonographic studies in psoriatic disease have shown significant increases in the thickness of the nail plate, bed, and matrix compared to healthy individuals, as well as compared to those with rheumatoid arthritis (RA) or osteoarthritis (OA). These alterations are present even in subclinical stages, highlighting its utility as a tool for early diagnosis and differential assessments in psoriatic nail disease [135,136].
Ultrasound is especially useful for detecting early psoriatic nail changes, such as minimal thickening of the nail bed or slight loosening of the ventral plate (Fig. 6). As the disease progresses, more pronounced alterations occur, including thickening of both the ventral and dorsal nail plates. In these advanced stages, the trilaminar structure of the nail plate, characteristic of healthy nails, is completely lost. The nail plate becomes thickened, wavy, and hyperechoic, with an inhomogeneous appearance [133,137] (Fig. 7). Power Doppler (PD) is particularly valuable for assessing inflammation in the nail matrix and bed, grading vascularization on a scale from 0 to 3, where higher values indicate greater inflammation [20].
Fig. 7.(A–D) Late Psoriatic Nail Changes (Longitudinal view). Sonographic image obtained using Logiq e US system with an 8–18i MHz linear transducer. Grayscale ultrasound reveals pronounced thickening of both the ventral and dorsal nail plates, resulting in the complete loss of the normal trilaminar structure characteristic of healthy nails. The nail plate appears as a single hyperechoic layer with inhomogeneous thickness (arrow), while the nail bed is significantly thickened (asterisk). In these advanced stages, the nail plate becomes thickened, wavy, and hyperechoic, exhibiting an overall inhomogeneous appearance.
Furthermore, ultrasound reveals structural changes in the finger extensor tendons indicative of enthesitis, further demonstrating the utility of imaging in psoriatic arthritis evaluation (Fig. 8).
Fig. 8.Enthesitis at the Distal Insertion of the Extensor Tendon. Sonographic image obtained using Logiq e US system with an 8–18i MHz linear transducer. Comparative ultrasound images of the extensor tendon at the distal insertion in the same phalanx of both hands. One hand demonstrates significant thickening and hypoechogenicity indicative of enthesitis (B), while the other hand shows no such findings (A). Additionally, the presence of intra-tendinous power Doppler signal in the affected hand is noted as a sign of active enthesitis (C).
There are two validated scales for the evaluation of nail compromise in PsA: a qualitative scale and a quantitative scale. The qualitative scale, developed by Wortsman, classifies nail changes into four types, ranging from focal, point-like hyperechoic involvement of the ventral plate to complete loss of the dorsal and ventral plate definition. This classification is particularly useful for identifying early changes, allowing for timely intervention [138]. The quantitative scale, known as the Brown University Nail Enthesis Scale (BUNES), measures the thickening of the nail plate, bed, and matrix, assigning points for the presence of ultrasonographic changes (with a maximum score of 3 points). It also evaluates vascularization using Power Doppler, which can contribute up to six points [139]. Both scales are instrumental in identifying structural changes associated with psoriatic arthritis, from early manifestations to advanced disease, making them valuable tools for diagnosis and monitoring.
Prompt recognition of nail psoriasis is crucial for initiating timely and effective treatment, thereby preventing structural deterioration. Nail ultrasound has proven to be a feasible, dependable, and discriminative method for diagnosing psoriatic onychopathy, offering insights into nail plate deterioration, thickness, and Doppler activity [140]. It also aids in the differential diagnosis of benign and malignant tumors and can guide nail biopsies when necessary [141]. Despite these advantages, the technique presents several notable limitations. Unlike the standardized approaches used for joint evaluation, there is no consensus on the optimal ultrasound technique for assessing the nail apparatus. While ultrasound shows promise as an imaging modality for monitoring disease activity and treatment response in nail psoriasis, its utility remains underexplored. Methodological variability across studies further complicates comparability, and ultrasound has yet to be fully validated for diagnosing nail psoriasis, assessing disease activity, or evaluating treatment outcomes [133].
- ∘
- •
Cost effectiveness: While ultrasound has been recognized as a valuable tool for detecting subclinical psoriatic arthritis, its cost-effectiveness ratio remains to be fully established [142]. However, it is considered more feasible and cost-effective than MRI [143], due to its portability, lower cost, and safety profile, making it the preferred first-line imaging modality for musculoskeletal diseases [144].
- •
Conclusions (including limitations discussion): Prompt diagnosis and timely initiation of therapy is a recurring topic in inflammatory musculoskeletal diseases. The clinician is constantly faced with an imperious need of accurate and opportune treatment decisions to favorably impact the prognosis of people living with any type of arthritis. Although a complete and detailed clinical history and examination are fundamental, they might have shortcomings in early or complex clinical presentations. The usefulness of US for early detection, differential diagnosis, follow-up, prognosis, and therapeutic intervention has been gaining traction due to an ever-growing evidence base, although there is still debate about its impact and applicability in each scenario [94]. US is an attractive image modality for SpA with no radiation, no need for contrast, dynamic and focused examinations, affordability, and ease of use [145]. Still, most of the evidence regarding the use of US in SpA is based on cross-sectional and case-control studies with heterogeneity regarding patient groups, inclusion criteria, definitions, and equipment, becoming potential sources of biases and affecting external validity [94]. Efforts have been made to refine the applications of US in PsA, with the development of disease-specific [51,71,73,102], multidomain [71,102] and domain-specific scores [38,51,69,70,73]. Their capability to evidence treatment response [38,85,103] and the possibility of predicting prognosis [103], will influence their uptake in the future both for research and treatment decisions. There are still important knowledge gaps that have been referenced throughout this review, which highlight the importance of continued research in this area. The utility of US in axial SpA is limited and will benefit from technical advances and further research in the future, both for diagnosis, prognosis, and treatment monitoring. There is a considerable need for evidence regarding patients completing the classification criteria of peripheral spondyloarthritis and patients with peripheral manifestations of spondyloarthritis without psoriatic arthritis. There are multiple scores and indexes for the evaluation of the different peripheral musculoskeletal symptoms (some still in development), but we still lack the information to select a gold standard between any of them. The real utility regarding the use of US in skin and nail compromise of psoriatic disease remains to be established. All these limitations emphasize the multiple research opportunities in this area: standardization of equipment and assessments, evaluation of cost-effectiveness of US interventions and US-supported treatment decisions, prediction of disease onset in at-risk populations, multimodality evaluation of diseases, differential diagnosis certainty and tailored-treatment approaches. It is essential for rheumatology providers to possess basic knowledge of the benefits and shortcomings of US in SpA and PsA, guaranteeing and adequate application of this technique under the guidance of current evidence.
Table 2.Elementary lesion.
Description Thickness changes Quantitative increase in the normal thickness of the enthesis, measured at the point of maximum thickness closest to the bone insertion site. The most frequently evaluated sites and their respective cut-off points are the following: Plantar aponeurosis or fascia>4mm, Achilles tendon>5.29mm, Proximal or distal patellar tendon>4mm, Quadriceps tendon>6.1mm, Triceps tendon>4.3mm.[40] Structural alterations Loss of fibrillar pattern: absence of visualization of the echogenic pattern typical of tendon insertions, with loss of echogenic-anechoic parallelism of its fibers in the longitudinal axis. Additionally, focal hypo-anechoic areas that produce loss of the typical normal “fibrillar” structure of the enthesis [40]. Alterations in shape: fusiform appearance of the tendon [40]. Bursa alterations Bursitis is defined as an increase in the diameter of the bursa greater than 2mm, which appears as an anechoic or hypoechoic area and may be compressible with the transducer. This area may present a Doppler signal inside [40]. Bone alterations Enthesophytes: bony outgrowths projected upwards, detectable at the level of the distal area of tendon insertion into the bone, with or without posterior acoustic shadow. These lesions appear as prominent hyperechoic bands and represent the most frequent finding in patients with ankylosing spondylitis (AS) [40]. Calcifications in the enthesis area: hyperechogenic deposits of different sizes at the intratendinous level that may or may not generate posterior acoustic shadowing[40]. Bone erosion: interruptions in the continuity of the bone cortex that cause a downward defect and must be observed in at least two perpendicular scanning planes[40]. Increased vascularization Because of neovascularization and the abnormal increase in vascularization due to the inflammatory process, the presence of Doppler signal can be seen at the level of the enthesis area [40]. - ∘
Definitions of severity grades (0–3) for each elementary component and for the EULAR-OMERACT combined score.
| Synovitis | SH (greyscale) | Doppler (PD) | Combined scorea (greyscale SH+PD) |
|---|---|---|---|
| Grade 0 (normal) | No SH independently of the presence of effusion | No Doppler signal | No SH and no PD signal |
| Grade 1 (minimal) | Minimal hypoechoic SHa up to the level of the horizontal line connecting bone surfaces between the metacarpal head and the proximal phalanx | Up to three single Doppler spots OR up to one confluent spot and two single spots OR up to two confluent spots | Grade 1 hypoechoic SH and ≤grade 1 PD signal |
| Grade 2 (moderate) | Moderate hypoechoic SHb extending beyond joint line but with the upper surface concave (curved downwards) or hypertrophy extending beyond the joint line but with the upper surface flat | >Grade 1 but <50% Doppler signals in the total greyscale background | Grade 2 hypoechoic SH and ≤grade 2 PD signal; or grade 1SH and a grade 2 PD signal |
| Grade 3 (severe) | Severe hypoechoic SHb with or without effusion extending beyond the joint line but with the upper surface convex (curved upwards) | >Grade 2 (>50%of the total greyscale background) | Grade 3 hypoechoic SH and ≤grade 3 PD signal; or grade 1 or 2 SH and a grade 3 PD signal |
The authors declare no conflict of interests.















