Editado por:
Luis Cajas
National University of Colombia Bogotá
Ingrid Möller
University of Barcelona Barcelona
Esperanza Naredo
Autonomous University of Madrid
Última actualización: Abril 2026
Más datosIgG4-related disease exhibits multi-organ involvement with predominant glandular affection. We present a case in which ultrasound proved useful for both diagnosis and follow-up. Ureteral involvement was documented as a rare manifestation.
Case summaryA 44-year-old female with increased salivary and tear glands. Ultrasound showed parenchymal heterogeneity, Zhou score of 32 points, and biopsy with positive Okazaki criteria. Treatment was started with subsequent urinary involvement and Rituximab requirement with clinical improvement and ultrasound variables in follow-up.
ConclusionsUltrasound is a useful tool in the diagnosis and follow-up of IgG4-associated disease.
La enfermedad relacionada con IgG4 tiene compromiso multiorgánico con afectación glandular. Se presenta un caso en el cual la ecografía es útil en el diagnóstico y el seguimiento, se documentó compromiso ureteral como una manifestación poco frecuente.
Resumen del casoFemenina de 44 años con aumento glandular salival y lagrimal. Ecografía que muestra heterogeneidad parenquimatosa, score de Zhou de 32 puntos y biopsia con criterios de Okazaki positivos. Se inició tratamiento con posterior compromiso urinario y requerimiento de rituximab con mejoría clínica y de variables ecográficas en seguimiento.
ConclusionesLa ecografía es una herramienta útil en el diagnóstico y el seguimiento de enfermedad asociada a IgG4.
IgG4-related disease (IgG4-RD) is characterized by the development of inflammatory fibrosis of unknown etiology, accompanied by dense lymphoplasmacytic infiltration and an increased number of IgG4-positive plasma cells, along with elevated serum IgG4 levels. Histopathologically, it is distinguished by the presence of sclerosing masses that can mimic neoplastic processes. This condition exhibits a broad spectrum of organ involvement, most commonly affecting the lymphatic system, lungs, and peritoneum, with less frequent manifestations in the urinary tract and other organ systems [1].
The pathophysiology remains unclear and is thought to be associated with autoimmune phenomena and molecular mimicry [2]. It is more common in men (3:1) over the age of 50 [3]. The head and neck phenotype is common and includes sialadenitis, dry syndrome, and painless swelling of the submandibular glands [4].
Ultrasound is a valuable tool increasingly implemented in clinical practice by trained rheumatologists [5]. The implementation of this tool could facilitate earlier diagnoses and establish itself as a useful strategy for monitoring, with an acceptable performance in this condition [6–8].
The following is a clinical case of a woman with IgG4-RD, highlighting the utility of bedside ultrasound in the diagnostic approach and subsequent follow-up after therapy.
Case presentationA 44-year-old female with a significant family history of a sister diagnosed with rheumatoid arthritis and secondary Sjögren's syndrome presents with an 18-month history of progressive bilateral ocular tumefaction, predominantly affecting the left eye. This is associated with bilateral lacrimal gland hypertrophy, parotidomegaly, enlargement of the minor salivary glands, and cervical lymphadenopathy. Additionally, she reports intermittent occipital headache.
Physical examination revealed hypertrophy of the major salivary and lacrimal glands, as well as lymphadenopathy in level III of the left side of the neck (Fig. 1). Additionally, abdominal palpation elicited tenderness in the mesogastric and right flank regions without peritoneal irritation. No meningeal signs were present.
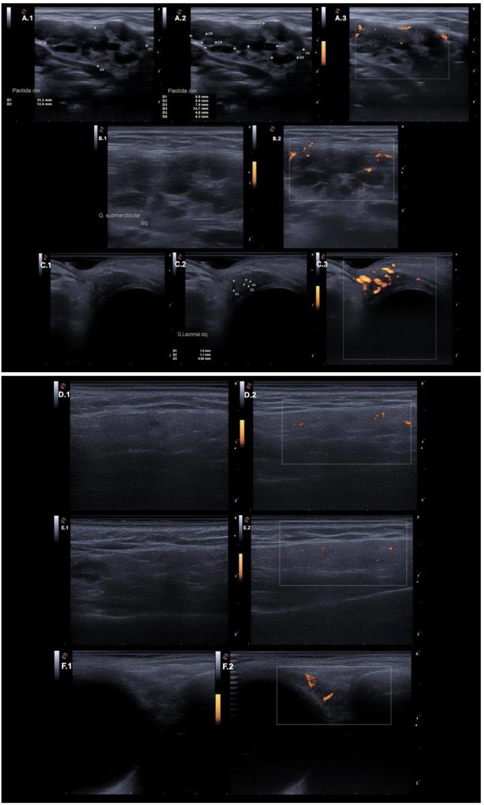
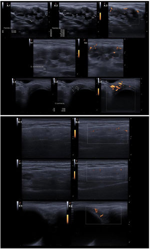
With a clinical suspicion of IgG4-RD, an ultrasound evaluation was performed using an ESAOTE ultrasound system with a high-frequency IHX 6-25 linear transducer (3–22MHz), gain settings of 50–80%, and a depth of 1–2cm. Power Doppler analysis of the salivary glands was conducted following the scoring system proposed by Zhou et al. (Table 1), yielding a total score of 32 points. Ultrasound assessment of the lacrimal glands revealed parenchymal heterogeneity, the presence of hypoechoic areas, and positive power Doppler findings, further supporting the diagnostic suspicion (Fig. 2). These findings suggested the diagnosis of IgG4-RD but warranted confirmatory studies and further evaluation to rule out differential diagnoses (Table 2), these evaluations ruled out infectious and oncologic diseases, as well as Sjögren's syndrome and sarcoidosis.
Ultrasound assessment of salivary glands: evaluation of diagnostic approach and post-pharmacological therapy monitoring.
| Ultrasound feature | Diagnostic approach | Post-pharmacological therapy monitoring | ||
|---|---|---|---|---|
| Minor salivary gland score | Parotid gland score | Minor salivary gland score | Parotid gland score | |
| Parenchymal echogenicity | 1 | 1 | 1 | 1 |
| Parenchymal homogeneity | 3 | 1 | 2 | 1 |
| Multiple hypoechoic patchy areas | 3 | 1 | 1 | 1 |
| Hypoechoic area size | 2 | 1 | 1 | 1 |
| Color Doppler | 2 | 1 | 1 | 1 |
| Total bilateral | 22 | 10 | 5 | 5 |
| Total score | 32 | 11 | ||
Ultrasound findings of salivary and lacrimal glands. Ultrasound findings of the salivary and lacrimal glands in the initial assessment and after pharmacological management. Panel (A) Right parotid gland. Evident heterogeneity in A.1. Anechoic patchy areas between 6mm and <15mm in A.2. Positive Doppler signal in A.3. Panel (B) Left submandibular gland. Evident heterogeneity and anechoic patchy areas between 6mm and <15mm in B.1. Positive Doppler signal in B.2. Panel (C) Left lacrimal gland. Evident heterogeneity in C.1. Anechoic patchy areas <6mm in C.2. Abundant Doppler signal in C.3. Panel (D) Right parotid gland after treatment. Parenchymal echogenicity similar to the thyroid in D.1. Mildly positive Doppler signal in D.2. Panel (E) Left submandibular gland after treatment. Parenchymal echogenicity similar to the thyroid, minimal heterogeneity with a hypoechoic area between 6 and 15mm in E.1. Mildly positive Doppler signal in E.2. Panel (F) Left lacrimal gland after treatment. Parenchymal echogenicity similar to the thyroid in F.1. Mildly positive Doppler signal in F.2.
Summary of paraclinical tests requested as part of the diagnostic approach.
| Laboratory test | Patient outcome | Reference values |
|---|---|---|
| Hepatitis B surface Ag (HBsAg) | <2.5mUI/mL | Less than 10.0mUI/mL |
| Antibody to hepatitis B core antigen (Anti-HBc) | 0.10 S/CO | Less than 1.0 S/CO |
| Antibodies against HCV (Anti-HCV) | 0.10 S/CO | Less than 1.00 S/CO |
| HIV 1/2 antigen/antibody (Ag/Ab) | Non-reactive | Non-reactive |
| VDRL syphilis | Non-reactive | Non-reactive |
| Tuberculin skin test | 0mm | Positive in immunosuppressed >5mm |
| ANA | 1/640 AC-3 | <1/80 |
| ENA | Ac SM <2UR/ml | Ac SM <20UR/ml |
| Ac Ro <2 R/ml | Ac Ro <20UR/ml | |
| Ac La <2UR/ml | Ac La <20UR/ml | |
| Ac RNP <2UR/ml | Ac. RNP <20UR/ml | |
| pANCAS IFI | Negative | Negative |
| cANCAS IFI | Negative | Negative |
| Ac MPO | Less than 0.2UI/ml | Negative <3.5UI/ml |
| Ac PR3 | Less than 0.2UI/ml | Negative <2UI/ml |
| Complement c3 | 115mg/dL | 88–165mg/dL |
| Complement c4 | 22mg/dL | 14–44mg/dL |
| Cryoglobulins | Negative | Negative |
| Angiotensin converting enzyme (ACE) | Less than 40μg/L | Less than 40μg/L |
| Calcium | 9.0mg/dL | 8.5–10.1mg/dL |
| IgG1 levels | 413mg/dL | 405–1011mg/dL |
| IgG2 levels | 217mg/dL | 169–786mg/dL |
| IgG3 levels | 78mg/dL | 11–82mg/dL |
| IgG4 levels | 1271mg/dL | 3–201mg/dL |
| LDH | 122.5U/L | 81–234U/L |
| Protein electrophoresis | Slight increase in B2 fraction.B2: 0.42g/dL | 0.10–0.40g/dL |
| Erythrocyte sedimentation rate (ESR) | 18mm/h | 0–20mm/h |
| C reactive protein (CRP) | 6mg/L | 0–5mg/L |
| Minor salivary gland biopsy | Minor salivary glands (15 lobules) show slight lymphoplasmacytic inflammatory infiltration without the formation of lymphoid aggregates, with adipose infiltration, interstitial fibrosis, and ductal fibrosis.Pathological diagnosis: mild chronic sialoadenitis. FOCUS score less than 1 in Chisholm–Mason classification | |
| Serial urine cytology #3 | In 1–6, few urothelial cells and abundant squamous cells without alterations, with the presence of few lymphocytes and neutrophil polymorphonuclear cells (PMNs). No evidence of malignancy in the samples.Pathological diagnosis: urine Category 2 – Paris System. Negative for high-grade urothelial carcinoma. | |
| Left submandibular gland biopsy | Left submandibular gland with preserved salivary lobules infiltrated by inflammation, with irregular germinal centers and fibrous septa forming compartments, without evidence of lymphepithelial lesions or obliterative phlebitis.Immunohistochemical markers with the following interpretation: CD20: positive in B lymphocytes, predominantly located in lymphoid follicles. CD3: positive in T lymphocytes, predominantly located in the paracortex. CD30: positive in activated lymphocytes. Ki67: high proliferation index in germinal centers that preserve polarity. More than 100 IgG4-positive plasma cells per 40× field, with an IgG4/IgG ratio greater than 0.4.The immunohistochemical markers are compatible with IgG4-related sialadenitis. | |
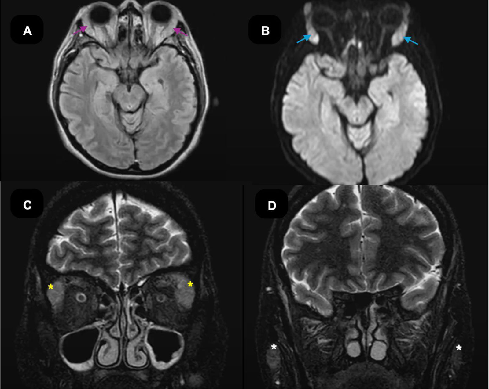
The patient met Okazaki's clinical criteria and exhibited elevated IgG4 levels. A glandular biopsy confirmed a definitive diagnosis of IgG4-RD (Table 2, see left submandibular gland biopsy), warranting treatment with prednisone 10mg once daily and methotrexate 20mg weekly. Magnetic resonance imaging (MRI) of the orbits and brain revealed diffuse enlargement of the lacrimal and parotid glands, without thickening of the extraocular muscles or masses suggestive of an orbital pseudotumor. Bilateral proptosis was present, along with nonspecific supratentorial white matter hyperintensities (Fig. 3), which were not characteristic of the disease.
Magnetic resonance imaging (MRI) of the brain and orbits. (A) Axial fluid-attenuated inversion recovery (FLAIR) sequence showing hyperintensity at the level of the lacrimal gland, indicating tissue inflammation (purple arrow). (B) Axial diffusion-weighted imaging (DWI) sequence showing active inflammation at the level of the major lacrimal gland (blue arrow). (C) Coronal T2 contrast (gadobutrol). At the level of the major lacrimal glands, a diffuse homogeneous enlargement of the bilateral lacrimal glands was observed, with restriction similar to that seen in the brain and heterogeneous enhancement with contrast medium, without thickening of the muscle bellies or masses (yellow asterisk). (D) Coronal T2 contrast (gadobutrol). Shows diffuse enlargement of both parotid glands (white asterisk).
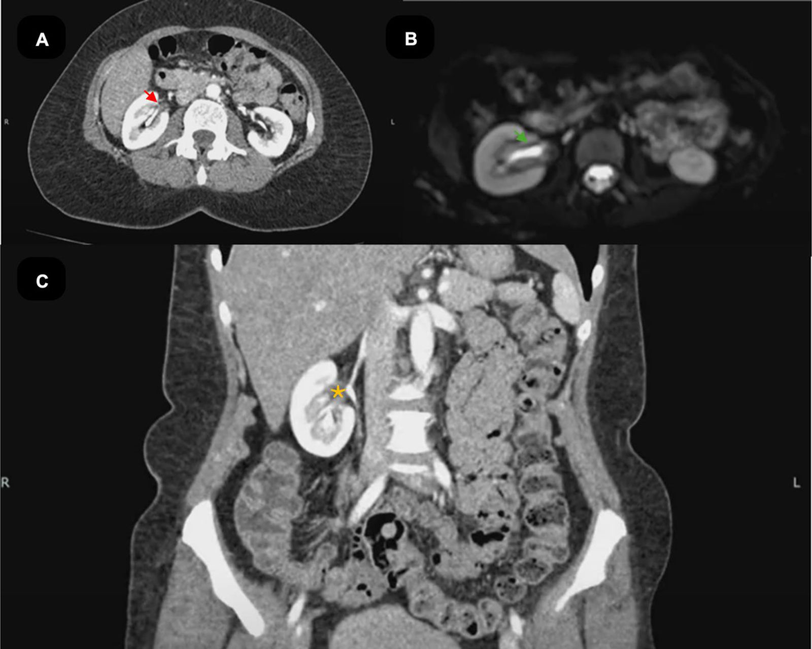
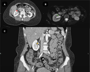
During the course of the disease, the patient developed abdominal pain. A contrast-enhanced abdominal CT scan revealed irregular thickening of the renal pelvis walls and the proximal right ureter. Serial urinary cytology ruled out associated neoplastic pathology (Fig. 4). Given the extensive organ involvement, the risk of renal injury, and the potential for organ dysfunction, treatment with Rituximab 1g dose was initiated on days 0 and 15 [9].
Abdominal magnetic resonance imaging (MRI) and computed tomography (CT). (A) Contrast-enhanced computed tomography (CT), axial view, demonstrating thickening of the right ureteral wall with enhancement (red arrow). (B) Magnetic resonance imaging (MRI), diffusion-weighted imaging (DWI) sequence, axial view, showing signal restriction consistent with active inflammation and tissue infiltration of the right ureter (green arrow). (C) Contrast-enhanced computed tomography (CT), coronal view, revealing mild hydronephrosis due to dilation of the right renal pelvis (orange asterisk).
The patient tolerated steroid dose reduction. Within the first 15 days, a decrease in the size of the lacrimal and parotid glands was observed, along with improved parenchymal echogenicity, resembling that of the thyroid gland. There was a reduced proportion of hypoechoic areas compared to the initial evaluation, with patchy regions measuring less than 6mm (previously 6–15mm). Additionally, a decrease in power Doppler signal intensity was noted (see Table 1 and Fig. 2). The follow-up Zhou score was recorded at 11, remaining within the classificatory range but showing a significant reduction compared to the initial assessment. The lacrimal glands demonstrated a marked decrease in size, along with a substantial reduction in power Doppler findings. At 30 days after the last Rituximab infusion, a pronounced reduction in the size of the lacrimal and salivary glands was documented (Fig. 2), as well as improvement in the ureteral lesion. The patient continued treatment with prednisolone 5mg, methotrexate, and completed the Rituximab infusion regimen.
DiscussionIgG4-RD remains a diagnostic challenge, as no specific biomarker currently exists to establish a definitive diagnosis. This case report highlights the utility of point-of-care ultrasound in both the diagnostic approach and longitudinal follow-up of the disease.
The American College of Rheumatology (ACR) and the European League Against Rheumatism (EULAR) have established clinical classification criteria for the diagnosis of IgG4-RD, with a specificity of 99.2% and a sensitivity of 85.5%. These criteria include mandatory clinical and radiological entry criteria, followed by exclusion criteria that must be ruled out before applying additional classification parameters. Key components include histopathological and immunostaining findings, IgG4 serum levels, and involvement of glandular, pancreatic, renal, and retroperitoneal structures. A case is classified as IgG4-RD if no exclusion criteria are met and the total score is ≥20 [10].
Okazaki et al. established diagnostic criteria IgG4-RD, which include: clinical and/or radiological involvement of at least one organ, serum IgG4 levels >135mg/dL, compatible histopathological findings, including: (a) dense lymphocytic and plasmacytic infiltration with fibrosis; (b) IgG4+/IgG+ plasma cell ratio >40%; (c) characteristic fibrosis patterns: storiform fibrosis and obliterative phlebitis. A definitive diagnosis requires all three criteria to be met, while a probable case is defined by clinical/imaging findings combined with histopathological features [11].
The patient does not meet any exclusion criteria and, according to ACR/EULAR classification criteria, scores 35 points, confirming the diagnosis of IgG4-RD. Concurrently, based on Okazaki's criteria, the patient fulfills all three diagnostic components: submandibular lymphadenopathy, sialadenitis, dacryoadenitis, and IgG4-related renal disease, evidenced by a hypertrophic lesion affecting the renal pelvis wall and ureter, with no other associated cause [12], an IgG4 1271mg/dL and finally, histopathological analysis revealed over 100 IgG4-positive plasma cells, with an IgG4/IgG ratio greater than 0.4, supporting the diagnosis of IgG4-RD.
Ultrasonography enables the identification of a nodular or reticular pattern (occasionally confluent), predominantly affecting the submandibular glands in patients with IgG4-RD. However, due to the clinical and ultrasonographic overlap between this condition and others such as Sjögren's syndrome (SjS), studies assessing the applicability of the ultrasonographic scoring system used in SS have demonstrated its inapplicability for IgG4-RD [8]. In this case, ultrasonography was employed to assess sialadenitis using the Zhou et al. scoring system, which was developed in a multicenter Chinese cohort. This system evaluates five key parameters: parenchymal echogenicity, parenchymal homogeneity, presence of hypoechoic patches, diameter of the hypoechoic area, and color Doppler signal. A standardized approach was agreed upon to assess both the parotid gland (0–10 points) and the submandibular glands (0–24 points), yielding a maximum total score of 34 points. A cutoff score of ≥9 demonstrated a sensitivity of 75.4%, specificity of 91.2%, positive predictive value of 86%, negative predictive value of 85%, and an ROC of 0.852, indicating strong discriminatory capacity between true positives and false positives [13].
In this patient, parotid heterogeneity was observed with patchy anechoic areas measuring between 6mm and <15mm, along with a strongly positive power Doppler signal. Similar findings were noted in the submandibular and lacrimal glands. These abnormalities could serve as early indicators of disease, enhance diagnostic accuracy, and influence disease progression through early treatment initiation. Although lacrimal glands are not currently included in this scoring system, we documented similar alterations in this case, suggesting that future refinements to the scoring criteria may improve the diagnostic performance of ultrasonography in IgG4-RD. However, the external validity of such diagnostic strategies remains to be established.
The authors have identified distinct ultrasonographic features associated with IgG4-RD, including a reticular pattern, particularly in the submandibular glands, combined with positive Doppler signaling increased vascularization. It is suggested that ultrasonographic findings, along with serological analysis, are sufficient for diagnosing this entity. For salivary gland ultrasound, the reported sensitivity is 100%, specificity is 83.8%, and accuracy is 91.2%. When combined with an IgG4 level >135mg/dL, sensitivity remains 100%, while specificity increases to 94.6% and accuracy to 97.1%. These findings suggest that this approach may serve as a potential differential diagnostic tool for Sjögren's syndrome, where diffuse anechoic or hypoechoic areas are documented without a defined pattern [14].
The IgG4-RD should be treated early to prevent organ dysfunction secondary to fibrosis. Glucocorticoids have been shown to be an effective therapy in patients with active disease and are preferred as the first-line induction treatment unless contraindicated [15,16]. The recommended dose is 0.6mg/kg/day for 2–4 weeks, followed by a gradual taper to 2.5–5mg/day over 3–6 months [17]. However, up to 24% of patients experience relapses, necessitating repeated cycles or extended glucocorticoid regimens to maintain remission. To mitigate the adverse effects and toxicity associated with prolonged corticosteroid use, immunosuppressants are often combined with glucocorticoids to reduce relapse rates. Rituximab has demonstrated efficacy in IgG4-RD, significantly improving symptoms, reducing fibrotic mass size, lowering IgG4 levels, and decreasing fibrosis activation markers, fibroblast activity, and circulating/infiltrating plasmablasts [18]. Rituximab has a favorable safety profile and has been shown to induce remission in 97% of cases, making it a highly effective therapeutic option for IgG4-RD [19].
Once therapy is initiated, the optimal approach for monitoring disease progression remains to be fully established. Fisher et al., in a multicenter, multi-observer, phase III study, evaluated the effect of Rituximab on the ultrasonographic score of salivary glands in patients with Sjögren's syndrome. Rituximab was administered at weeks 0, 2, 24, and 26, with significant improvement in the ultrasonographic score observed at weeks 16 and 48. The study demonstrated statistical significance following Rituximab administration and highlighted the need for further research to establish imaging biomarkers for salivary gland disorders [20,21]. In our case, we were able to objectively document not only a reduction in the previously described changes but also establish lacrimal gland ultrasound findings comparable to those observed in the major salivary glands. To our knowledge, these findings have not been previously described in the literature. This case represents an IgG4-RD with a head and neck phenotype, further complicated by a rare manifestation involving intraluminal ureteral involvement. There is only one previously reported case in the literature from Thailand, where a patient presented with abdominal pain and hydronephrosis. Ureteral stenosis was documented, and the diagnosis of IgG4-RD was confirmed through histopathological findings and elevated serum IgG4 levels [21].
ConclusionsIgG4-RD is a complex condition with significant diagnostic challenges. Its clinical and imaging findings differ from those of other conditions with similar presentations, such as Sjögren's syndrome, amyloidosis, and sarcoidosis, and it can affect any organ regardless of phenotype. To our knowledge, the use of lacrimal gland ultrasound as a diagnostic and therapeutic monitoring strategy in IgG4-RD has not been previously proposed. However, our findings suggest a potential role for this approach. Changes in ultrasound characteristics following therapy may serve as a valuable tool for disease monitoring, warranting further validation. The expanding role of ultrasound in rheumatology represents a promising advancement with diverse clinical applications, potentially improving diagnostic and follow-up timelines in complex systemic diseases.
Credit authorship contribution statementAll authors contributed to the conception and design of the study. Each author contributed equally to the drafting of the manuscript.
Ethical considerationsThis study was conducted after obtaining signed informed consent from the patient for participation and the use of medical history and photographs, ensuring that her identity remained protected. Approval was obtained from the institutional ethics committee.
FundingNo funding was received for this study.
Conflict of interestThe authors declare no conflicts of interest.






