El manejo analgésico de los pacientes con trauma bilateral de hombro o tercio proximal del brazo es difícil. La estrategia multimodal basada en administración de anestésicos locales en el plexo braquial parece ser la más efectiva, pero hacer bloqueos bilaterales tiene riesgos asociados, como son: la parálisis del nervio frénico, la toxicidad por anestésicos locales y el neumotórax bilateral. Estos pueden ser disminuidos con una aproximación supraclavicular al plexo braquial y el uso de ultrasonografía.
Describimos el manejo de un paciente con trauma bilateral de hombro y tercio proximal de húmero, quien es llevado a cirugía de osteosíntesis bilateral de húmero y presenta dolor postoperatorio severo que no responde a dosis altas de opiáceos y antiinflamatorios. Es manejado inicialmente con bloqueo supraclavicular bilateral guiado por ecografía con volumen bajo de anestésico local y posteriormente administración continua de bupivacaína, con una valoración del dolor de 2/10 a las 24h y 3/10 a las 48h.
Concluimos que el bloqueo supraclavicular bilateral es una opción para el manejo del dolor agudo en cirugía de hombro y tercio proximal de húmero. La administración continua de anestésicos locales al plexo braquial contribuye a mantener la respuesta analgésica.
Analgesic management in patients with bilateral trauma to the shoulder or the proximal third of the arm is difficult. The multimodal strategy based on the administration of local analgesics to the brachial plexus appears to be the most effective; however, there are risks associated with bilateral blocks, including phrenic nerve palsy, toxicity due to local anesthetics, and bilateral pneumothorax. These risks may be diminished using an ultrasound-guided supraclavicular approach to the brachial plexus.
This paper describes the management of a patient with bilateral injury to the shoulder and the proximal third of the humerus. The patient is taken to bilateral humeral fixation surgery and develops severe post-operative pain which does not respond to high-dose opioids and anti-inflammatory agents. He is managed initially with bilateral ultrasound-guided supraclavicular block using a low volume of a local anesthetic followed by continuous administration of bupivacaine. Pain assessment was 2/10 at 24hours and 3/10 at 48hours.
We concluded that bilateral supraclavicular blockade is an option in the acute management of pain after surgery to the shoulder and the proximal third of the humerus. Continuous administration of local anesthetics to the brachial plexus helps maintain the analgesic response.
Paciente masculino de 35años de edad con cuadro de un día de evolución de dolor en ambos hombros e impotencia funcional. La radiografía muestra luxo-fractura en hombro izquierdo y luxación de hombro derecho. Es llevado a cirugía para reducción cerrada de ambos hombros. Se realiza bloqueo interescalénico izquierdo para analgesia postoperatoria con 15ml de levobupivacaína al 0,375%.
Dos días después es llevado a cirugía para osteosíntesis bilateral de húmero y reparación de manguito rotador izquierdo (fig. 1).
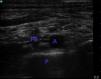
En el postoperatorio presenta dolor severo, sin mejoría a pesar de dosis altas de opiáceos y AINE. Se decide realizar bloqueo supraclavicular bilateral (fig. 2) con levobupivacaína al 0,375% 10cc a cada lado, con lo cual se controla el dolor durante 12h.
Después de ambos bloqueos el paciente no presenta dificultad respiratoria o desaturación en ningún momento. La radiografía de tórax no mostró ninguna alteración.
Luego de 12h, reaparece el dolor con una valoración subjetiva de 10/10 en escala numérica verbal, principalmente en el hombro izquierdo, por lo cual se decide colocar catéter supraclavicular izquierdo para perfusión continua de bupivacaína 0,1% a una velocidad de 5cc por hora (fig. 3), obteniendo control del dolor con 2/10 a las 24h y 3/10 a las 48h (fig. 4).
DiscusiónLa cirugía de hombro es un procedimiento acompañado de dolor postoperatorio significativo que requiere para su tratamiento el uso de altas dosis de opiáceos, lo cual propicia la aparición de efectos adversos tales como: vómito, náuseas, prurito, depresión respiratoria y retención urinaria1.
La mejor estrategia para el control del dolor postoperatorio en cirugía de hombro es una aproximación multimodal, la cual consiste en el uso concomitante de AINE, opiáceos y anestésicos locales, ya sea en bloqueo nervioso o en infiltración de la herida2.
Los bloqueos periféricos con anestésicos locales que se emplean en esta cirugía son: interescalénico, subacromial, intraarticular, supraescapular y del nervio axilar1,3. La infiltración subacromial es realizada por el cirujano antes de cerrar la herida quirúrgica, llenando el espacio subacromial con 20 a 50cc de anestésico local. Esta técnica es sencilla y sirve como alternativa al bloqueo interescalénico debido a que no presenta los efectos adversos propios de este bloqueo, pero si se realiza de forma repetida, puede llevar a condrólisis asociada a anestésicos locales4,5.
El bloqueo del nervio axilar (por cualquier vía) y del nervio supraescapular garantiza una completa analgesia del hombro6. La técnica más usada para conseguir este bloqueo es el acceso interescalénico al plexo braquial. La punción única proporciona una buena analgesia aunque de corta duración, razón por la cual se prefiere el uso de catéteres continuos en cirugías muy dolorosas1.
El bloqueo interescalénico continuo es una técnica común en el manejo del dolor posoperatorio de la cirugía de hombro, pero uno de sus efectos adversos más frecuentes es la parálisis del nervio frénico, lo cual lo contraindica en bloqueos bilaterales. Se ha encontrado que este bloqueo puede disminuir la capacidad vital del paciente en un 50%, de ahí que pacientes con enfermedades pulmonares asociadas suelan no tolerarlo1.
El bloqueo supraclavicular suele emplearse como técnica analgésica o anestésica en cirugías por debajo del tercio medio del brazo7, y suele asociarse con una menor frecuencia de aparición de reacciones adversas tales como síndrome Horner, parálisis del nervio laríngeo recurrente y parálisis diafragmática sintomática, comparado con el bloqueo interescalénico1; también puede ser utilizado para cirugía de hombro, complementándolo con el bloqueo del nervio supraescapular8.
¿Existe alguna recomendación para los bloqueos bilaterales en el miembro superior?Siempre se ha considerado que la realización de cirugías bilaterales en extremidades traumatizadas de forma simultánea no es una buena opción ni quirúrgica ni anestésica8. Sin embargo, recientemente los cirujanos han optado por llevar a los pacientes con trauma bilateral a una solución quirúrgica en un solo acto, y esta postura pone al anestesiólogo en un gran reto, en especial cuando el trauma es de miembro superior, puesto que en las extremidades inferiores se cuenta con la opción de una anestesia del neuroeje, mientras que en el miembro superior no existe tal opción8.
En la actualidad, la ultrasonografía se ha generalizado como una herramienta que permite la visualización directa de las estructuras anatómicas y de la aguja de bloqueo, lo cual ha propiciado una disminución en la aparición de efectos adversos asociados con la identificación ciega de los nervios y con la administración de grandes volúmenes de anestésicos locales y su posible toxicidad9. Lo anterior ubica a la ultrasonografía como una buena opción al considerar la realización simultánea de bloqueos periféricos.
Debido a que en el miembro superior no se cuenta con un único acceso para realizar una anestesia bilateral, la única opción con que cuenta un anestesiólogo para suministrar anestesia o analgesia regional a un paciente con trauma en ambas extremidades es la realización bilateral de un bloqueo de plexo braquial10.
De considerarse el bloqueo bilateral del plexo braquial, se deben tener presentes los principales riesgos de esta técnica, que son: toxicidad por anestésicos locales, parálisis frénica y neumotórax8.
La presencia de toxicidad por anestésicos locales es una reacción multifactorial en la cual influyen aspectos propios del individuo que el médico no puede controlar, pero también influyen otros que el médico si puede controlar, como son la velocidad con que se administra el anestésico local y la masa administrada (concentración)11. Cuando se emplea el bloqueo de nervio como estrategia única anestésica en procedimientos bilaterales, la cantidad de anestésico local requerido suele exceder los límites de toxicidad establecidos, aunque estos límites en ocasiones suelen ser superados sin un efecto clínico representativo12. La opción de complementar la anestesia regional con una sedación profunda transoperatoria para no exceder estos límites logra garantizar de forma adecuada la analgesia postoperatoria, que en este tipo de procedimientos quirúrgicos es difícil de conseguir8. Sin embargo, existen grupos de anestesiólogos regionalistas que, mediante la ultrasonografía, han logrado reducir las cantidades de fármacos efectivos para alcanzar un bloqueo quirúrgico con la mínima cantidad de anestésico local8.
La parálisis del nervio frénico es una consideración muy importante para la administración bilateral de un bloqueo del plexo braquial, puesto que de presentarse, puede llevar al paciente a una condición grave que requiera ventilación mecánica por la parálisis bilateral del diafragma13. A este respecto es muy importante considerar el nivel de bloqueo del plexo, puesto que para el acceso axilar e infraclavicular, la presencia de esta reacción adversa es casi inexistente, mientras que para el bloqueo interescalénico es sumamente alta14; sin embargo, la utilidad del bloqueo axilar e infraclavicular para la cirugía de hombro y húmero proximal es nula y el riesgo de realizar un bloqueo interescalénico bilateral, aunque es posible si se emplean concentraciones bajas de anestésico local, reviste un gran riesgo. Teniendo presente estas consideraciones, la única opción restante es la realización de un bloqueo supraclavicular, el cual, aunque no se encuentra exento de riesgo de parálisis frénica, puede aportar una adecuada analgesia postoperatoria a un paciente que haya sido sometido a cirugía de hombro o húmero proximal, siempre y cuando la administración del anestésico local sea guiada por una visualización ecográfica que permita identificar el nervio supraescapular que discurre a este nivel, lateral al plexo braquial (fig. 5)15.
Knoblanche publicó en 1979 un artículo en el cual mostró que la incidencia de parálisis frénica con el uso del bloqueo supraclavicular era del 67%16. Sin embargo, actualmente se ha determinado que la repercusión clínica de esta parálisis es cercana al 17%17, y que con el uso de la ultrasonografia se logra disminuir su incidencia casi por completo18, lo cual podría ser muy útil en caso de necesitar un bloqueo supraclavicular bilateral.
El riesgo de neumotórax con la realización del bloqueo de plexo braquial es variable y depende del sitio de aproximación; para el abordaje supraclavicular guiado por anatomía y parestesias es del 0,3 al 6%19. La incidencia de esta complicación en las aproximaciones supraclaviculares guiadas por ecografía es desconocida, y hasta la fecha solo se cuenta con reportes de caso, que no permiten definir con claridad este riesgo, pero se supone extremadamente bajo8.
El bloqueo bilateral proximal del plexo braquial a nivel supraclavicular puede ser una opción para el manejo analgésico de los pacientes con trauma bilateral de hombro y tercio proximal de húmero, teniendo presente que existen riesgos asociados que podrían disminuirse con el uso de la ultrasonografía y la administración de anestésicos locales en menores cantidades a las habituales.
¿Y qué hay con los bloqueos continuos para cirugía bilateral de miembro superior?La administración continua de anestésicos locales en concentraciones bajas es muy útil para el control del dolor en la cirugía de miembro superior, aunque las recomendaciones para administración bilateral son escasas. Aunque se ha reportado administración continua de ropivacaína al 0,2% de forma bilateral por medio de una aproximación interescalénica14, el riesgo de parálisis frénica y la migración del catéter son consideraciones importantes y la monitorización de las posibles complicaciones por medio de dispositivos especiales como el espirómetro o el ecógrafo puede limitar su uso en el perioperatorio. El acceso supraclavicular al plexo braquial para administración continua de anestésicos locales es una opción analgésica para los pacientes con trauma de hombro y brazo proximal, aunque en la literatura no hay referencias de su uso bilateral.
ConclusionesEl bloqueo supraclavicular bilateral del plexo braquial guiado por ultrasonografía es una opción analgésica en cirugía de hombro y tercio proximal de húmero, puesto que permite la utilización de dosis bajas de anestésicos locales y tiene un riesgo menor de parálisis frénica en comparación con la aproximación interescalénica. Sin embargo, la monitorización clínica debe ser optimizada para detectar de forma temprana signos de dificultad respiratoria o complicaciones ventilatorias. Una herramienta útil para disminuir el riesgo de toxicidad por anestésicos locales es la administración del anestésico de cada lado en momentos diferentes, puesto que así se disminuye el pico plasmático que suele asociarse con los efectos adversos. El bloqueo continuo del plexo braquial con anestésico local a concentraciones bajas puede ser usado para analgesia postoperatoria en la extremidad más dolorosa o sometida al procedimiento más cruento, y siempre complementado con una estrategia multimodal.
FinanciaciónLos mismos autores.
Conflicto de interesesLos autores declaran no tener ningún conflicto de intereses.






