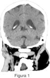
Figura 1 Paciente de 81 años sin antecedentes relevantes consultó al servicio de guardia por vértigo de inicio súbito. La tomografía computada (TC) de encéfalo sin contraste en plano coronal evidenció una dilatación ventricular con ensanchamiento de los surcos, las cisternas y el cuarto ventrículo.
Figura 2 (a) Superposición de imágenes donde se aprecia el rostro del personaje Chubaca de la película Star Wars. En el plano coronal de la TC sin contraste se percibe la cara formada por las astas posteriores de los ventrículos laterales y los plexos coroideos (representando los ojos), la cisterna cerebelosa superior (que forma la nariz) y el cuarto ventrículo (asemejándose a la boca). (b) Oso de peluche de Chubaca.




