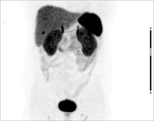
Se presenta un paciente de 73 años operado de cáncer de próstata, actualmente con elevación del antígeno prostático específico (PSA), al que se le realizó una tomografía computada por emisión de positrones (PET/TC) con 18F-colina en el abdomen y pelvis para la reestadificación.
En el plano coronal en proyección de máxima intensidad (MIP) del estudio se puede imaginar la cara de un can raza Border Collie: la captación de ambos riñones semeja las marcas perioculares, mientras que las captaciones del hígado y el bazo parecen las orejas y la acumulación del radiofármaco excretado en la vejiga se asemeja al hocico.
A Natalia Bernard.




