Paciente: mujer de 73 años de edad
La paciente acudió a nuestra consulta con la sospecha de carcinoma del seno maxilar o de los tejidos adyacentes. Refería dolor difuso en el maxilar izquierdo.
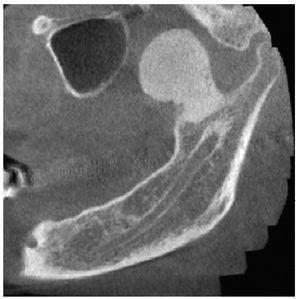
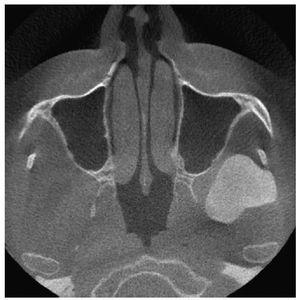
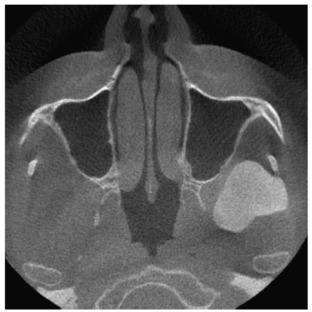
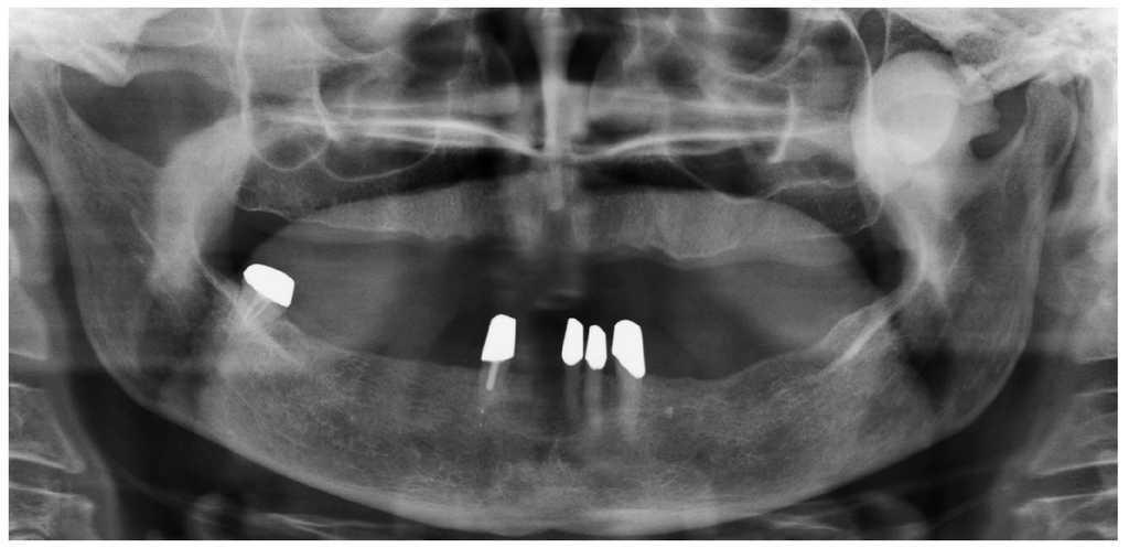
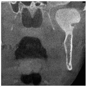
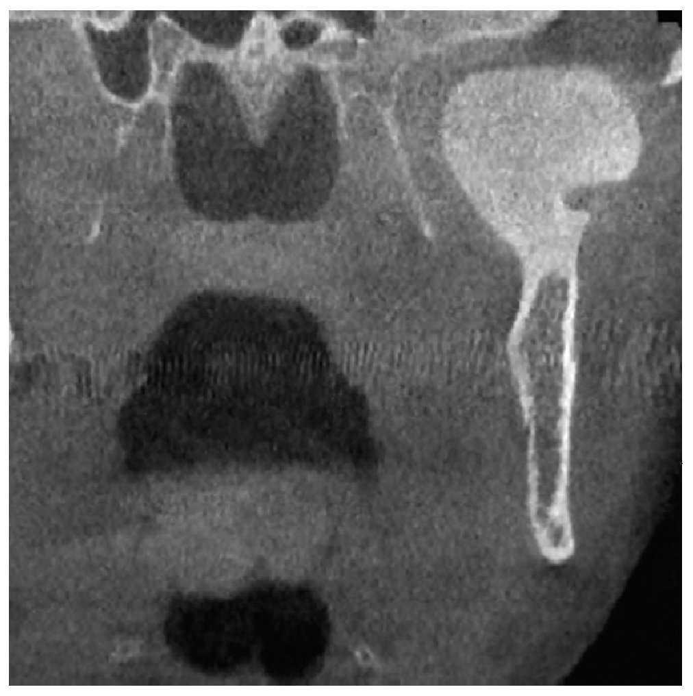
La radiografía panorámica (fig. 1) mostró una estructura de tejido óseo, densa, homogénea, con forma de hongo, bordes bien definidos y un diámetro de varios centímetros. La lesión parecía originarse en un área por encima del agujero mandibular. Un TAC de haz de cono (figs. 2 a 5) reveló la presencia de una lesión homogénea osteodensa de 3 x 3 x 2,7 cm que crecía a partir de un pedúnculo en la cara lingual de la escotadura mandibular. La circunferencia anterior alcanzaba casi a la apófisis coronoides.
Figura 1. Radiografía panorámica.
Figura 2. Imagen axial de un TAC de haz de cono.
Figura 3. Imagen coronal de un TAC de haz de cono.
Figura 4. Imagen sagital de un TAC de haz de cono.
Figura 5. Técnica de representación en volumen del TAC de haz de cono (imagen lingual).
Los osteomas son tumores benignos de hueso. Por lo general, están constituidos por hueso compacto o esponjoso y suelen presentarse con frecuencia en los senos paranasales, sobre todo en los senos frontales. La mandíbula suele afectarse con mayor frecuencia que el maxilar. La máxima incidencia de esta lesión se da en la quinta y sexta décadas de la vida. Las mujeres se afectan con mayor frecuencia que los hombres.
En el síndrome de Gardner se dan múltiples osteomas de la mandíbula junto con múltiples pólipos de colon, quistes dermoides y dientes supernumerarios impactados. Este síndrome hereditario autosómico dominante de poliposis adenomatosa se considera preneoplásico para el carcinoma colorrectal.
Correspondencia: Dirk Schulze.
Departamento de Cirugía Craneomaxilofacial, Universidad de Friburgo. Hugstetter Strasse 55, 79106 Friburgo de Brisgovia, Alemania.
Correo electrónico: dirk.schulze@uniklinik-freiburg.de






