Caso 638, varón, 29 años
Mucocele en el seno maxilar izquierdo y osteoma en el complejo etmoidal del lado izquierdo
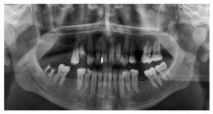
En la visita a nuestra clínica el paciente refirió un dolor en la zona del seno maxilar izquierdo. En la radiografía panorámica practicada se observó un seno maxilar izquierdo completamente velado y un engrosamiento de la mucosa basal en el seno maxilar derecho (fig. 1). Se identificaron además diversos dientes que requerían tratamiento odontológico. Debido al gran malestar del paciente, se realizó una tomografía volumétrica digital dental (TVD) para el estudio diagnóstico de los demás senos paranasales.
Figura 1. Radiografía panorámica.
Figura 2. Tomografía volumétrica digital dental: plano axial.
Figura 3. Tomografía volumétrica digital dental: plano axial.
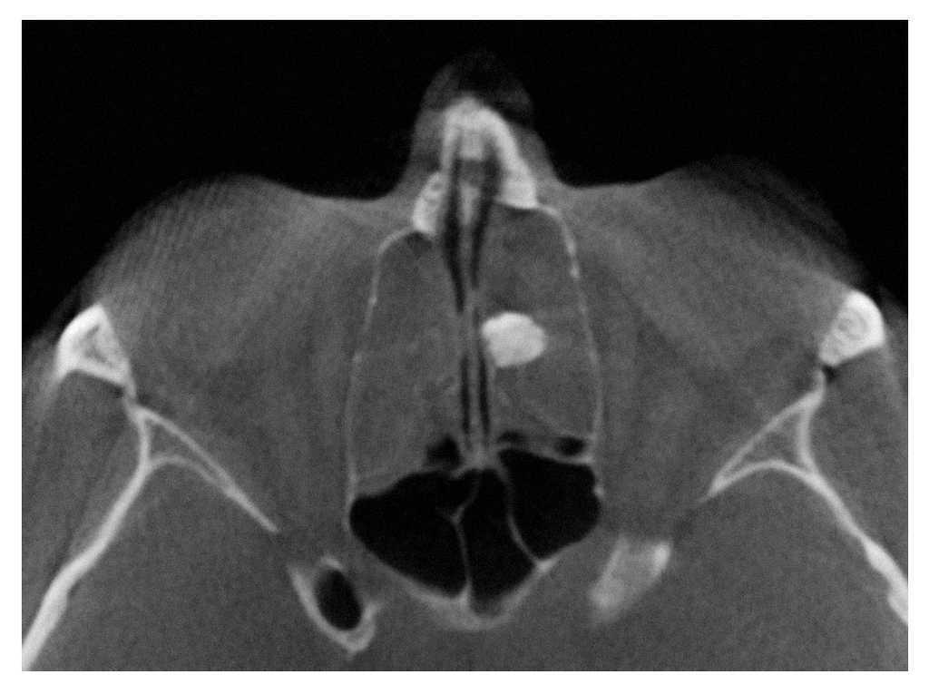
Figura 4. Tomografía volumétrica digital dental: plano coronal.
Figura 5. Tomografía volumétrica digital dental: plano sagital.
En la TVD se observa un seno maxilar izquierdo íntegro y homogéneamente ocupado, además de una obstrucción del ostium fisiológico en ambos lados. Se aprecia también una opacificación subtotal de todo el complejo etmoidal y también del seno frontal. Estos hallazgos sugieren un diagnóstico de mucocele del seno maxilar izquierdo y de pansinusitis de los senos paranasales. En el lado izquierdo, en la zona de las celdas etmoidales superiores se observa una masa circunscrita de densidad similar a los tejidos duros junto con una obstrucción parcial de las celdas etomoidales izquierdas. Se trata probablemente de un osteoma.
A diferencia de los quistes sinusales primarios, que parecen deberse a la obstrucción de adenocitos de la mucosa sinusal, los mucoceles pueden atribuirse a una ventilación deficiente de los senos paranasales. En estos casos, la vía de ventilación común hacia las fosas nasales, el ostium natural, suele estar obstruido por engrosamientos de la mucosa o por otros motivos. Como consecuencia de ello, el transporte fisiológico de secreciones hacia el ostium es complicado. La acumulación creciente de secreciones por los problemas de drenaje persistentes del ostium provoca la obstrucción completa del seno maxilar como signo patognomónico y patente de un mucocele.
Debido al aumento de la presión en el seno maxilar, el mucocele tiende a expandirse y desplazar la pared del seno maxilar. Por ello es importante hacer un diagnóstico diferencial exacto del mucocele frente a la sinusitis aguda o la hemorragia sinusal postraumática. Los mucoceles con un crecimiento expansivo pueden provocar, a la larga, un engrosamiento reactivo de los límites óseos sinusales. Debe hacerse el diagnóstico diferencial con la sinusitis maxilar crónica o una alteración ósea osteomielítica. En estos casos se ha de considerar la posibilidad de una intervención quirúrgica.
Desde el punto de vista del diagnóstico diferencial, los mucoceles se pueden confundir con masas tumorales o enfermedades inflamatorias-invasivas, como micosis, y también con una granulomatosis de Wegener.
El osteoma es una neoformación benigna y se localiza preferentemente en el hueso del esqueleto facial preformado a expensas de tejido conjuntivo. Radiográficamente se observa un signo característico en forma de una imagen radioopaca de densidad uniforme parecida a hueso cortical y bien delimitada respecto a las estructuras adyacentes. En los senos paranasales, los osteomas pueden protruir en la luz y provocar alteraciones de la ventilación si siguen creciendo. Hay que hacer el diagnóstico diferencial con gérmenes dentarios supernumerarios o tumores odontogénicos (como odontomas) surgidos a partir de éstos o también con esclerosis reactivas.
Correspondencia: Dirk Schulze.
Clínica Universitaria de Odontología, Medicina Oral y Maxilofacial, Sección de Radiología.
Hugstetter Straße 55, 79106 Friburgo de Brisgovia, Alemania.
Correo electrónico: dirk.schulze@uniklinik-freiburg.de






