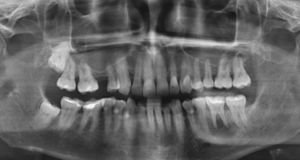
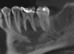
En la ortopantomografía de este paciente se observa una zona hipodensa localizada (aclaramiento) perirradicular en el diente 36 (fig. 1). La estructura mencionada abarca desde el ápice mesial del diente 37 hasta el ápice del diente 35. En la tomografía volumétrica dental adquirida consecutivamente, la masa hipodensa ocupante del espacio se extiende hacia caudal hasta el conducto mandibular del lado izquierdo y hacia bucal hasta el hueso compacto bucal (figs. 2 y 3). Este presenta dos perforaciones ovales a la altura del diente 36 (fig. 4). El techo del conducto mandibular del lado izquierdo no es apreciable en un tramo de aproximadamente 7mm. Se observan íntegramente las raíces de los dientes 35, 36 y 37.
Debido a las dimensiones del proceso y a la presencia de perforación del hueso compacto bucal, además de un quiste se sospechó como diagnóstico diferencial la presencia de un granuloma eosinófilo. En la preparación histológica de la muestra obtenida por resección pudo confirmarse un quiste radicular.





