Las calcificaciones parafaríngeas son un hallazgo relativamente frecuente en las radiografías panorámicas. Se pueden distinguir con seguridad de las calcificaciones ganglionares tanto por su localización como por su etiología.
En general, las calcificaciones parafaríngeas aparecen después de cuadros de faringoamigdalitis o de faringitis.
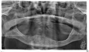
Si la causa de estos cuadros es bacteriana, se pueden formar abscesos crípticos en el tejido linfático de las amígdalas o del anillo faríngeo de Waldeyer. En determinadas circunstancias curan dejando una cicatriz, lo que a la larga favorece la aparición de calcificaciones. Es muy frecuente que estas alteraciones se proyecten en las radiografías panorámicas sobre la rama mandibular (fig. 1). Es posible que, en función del momento en que se obtuvo la radiografía panorámica, hayan pasado varios años o incluso décadas desde que se produjo la enfermedad causal.
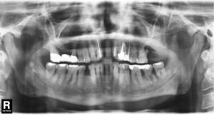
Hay que hacer el diagnóstico diferencial con una sialolitiasis de la glándula parótida que, sin embargo, es un cuadro muy infrecuente. Las calcificaciones ganglionares suelen manifestarse en la zona caudal de los ángulos mandibulares y se asocian en general a enfermedades totalmente diferentes como sarcoidosis, tuberculosis o también enfermedades oncológicas (fig. 2).



