La pitiriasis liquenoide (PL) es una enfermedad infrecuente de etiología desconocida y curso autolimitado con un espectro clínico que va de la forma aguda o pitiriasis liquenoide y varioliforme aguda (PLEVA) a la forma crónica (PLC)1. La PLEVA se caracteriza por la aparición brusca de múltiples pápulas eritematovioláceas que evolucionan primero a vesículas o pústulas y posteriormente a la necrosis central. Al curar, transcurridas varias semanas, pueden dar lugar a cicatrices varioliformes e hiper o hipopigmentación. Las exacerbaciones agudas son frecuentes y la enfermedad puede cursar con brotes durante varios años2,3. El manejo de la PL no está bien estandarizado, habiéndose empleado múltiples tratamientos, entre los que se encuentran diferentes tipos de fototerapia1. Presentamos dos casos de PLEVA que respondieron satisfactoriamente a UVB de banda estrecha (UVBBE) tras el fracaso de otros tratamientos sistémicos.
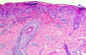
Casos clínicosSe trata de un hombre de 41 años con fototipo iv de Fitzpatrick y una mujer de 61 con fototipo iii de Fitzpatrick, que presentaban una erupción asintomática de 3 y 2 semanas de evolución respectivamente, consistente en múltiples pápulas eritematosas de pequeño tamaño, algunas de las cuales estaban erosionadas, mientras que otras estaban cubiertas por costras o por una superficie necrótica. Las lesiones afectaban al tronco, miembros superiores y muslos, con una distribución bilateral y simétrica (fig. 1). En ambos casos las biopsias mostraron hallazgos superponibles, observándose un infiltrado superficial de predominio linfocítico y distribución perivascular e intersticial, así como una dermatitis de la interfase con degeneración vacuolar de la hilera basal y presencia de abundantes linfocitos y algún queratinocito necrótico en la epidermis (fig. 2). Con el diagnóstico de PLEVA, el varón recibió tratamiento con prednisona oral en pauta descendente, partiendo de una dosis inicial de 0,6mg/kg/día, durante 4 semanas. Por su parte, la mujer fue tratada con doxiciclina a una dosis de 100mg cada 12 horas durante 15 días. Ninguno de los 2 mostró mejoría con los tratamientos realizados, por lo que se decidió iniciar tratamiento con fototerapia UVBBE, con 3 sesiones por semana y una dosis inicial en ambos casos de 0,35J/cm2. En el caso del varón, esta dosis inicial representaba el 70% de la dosis eritematógena mínima (DEM), realizándose incrementos del 20% por sesión. En el caso de la mujer, la dosis inicial se estableció en función del fototipo y los incrementos fueron del 10%. En ambos casos se observó una respuesta favorable desde las primeras sesiones, con una completa resolución de las lesiones tras 28 y 35 sesiones (fig. 3) y una dosis acumulada de 50,29J/cm2 y 33,92J/cm2, respectivamente. Ninguno de los pacientes ha presentado recidiva de la enfermedad tras un seguimiento de un año y 6 meses, respectivamente.
La fototerapia constituye el tratamiento más exitoso y la primera línea de tratamiento en la PL, especialmente en la forma crónica1. Aunque el mecanismo exacto de la fototerapia en casos de PL se desconoce, se cree que los efectos inmunomoduladores de la radiación UV desempeñan un papel crucial en la buena respuesta a dicho tratamiento1,4. Se han empleado diversas modalidades de fototerapia como UVB de banda ancha, PUVA, UVA1 y UVBBE, con una gran variabilidad en los resultados obtenidos1.
Recientemente, Aydogan et al. publicaron la serie más grande de pacientes con PL tratados con UVBBE, que incluía un total de 31 pacientes, 23 con PLEVA y 8 con PLC5. Se alcanzó una respuesta completa en el 65 y 87% de los pacientes respectivamente. Asimismo, tras un seguimiento de 6-12 meses, el 86 y el 71% de los mismos no presentaron recidiva de la enfermedad. Sin embargo, un año más tarde se publicó una serie de 25 pacientes con PLC tratados también con UVBBE, en la que se obtuvo un porcentaje de respuestas completas ostensiblemente inferior (48%), con un alto porcentaje de recidivas4. Finalmente, en un estudio reciente se compararon los efectos terapéuticos de la UVBBE y el PUVA en 15 pacientes con PLC6. Los autores concluyeron que ambas modalidades son 2 opciones aceptables, no encontrando diferencias significativas entre ambos grupos a nivel de respuesta, efectos adversos, número de sesiones, ni porcentaje de recidivas.
Es difícil valorar la eficacia de los distintos tratamientos utilizados en la PL debido a su carácter autoinvolutivo, su escasa incidencia y la ausencia de estudios clínicos controlados. En nuestros 2 casos, la rápida mejoría de las lesiones objetivada ya desde las primeras sesiones, así como la ausencia de nuevos brotes durante el tratamiento, apoyan el efecto terapéutico de la terapia UVBBE.
La terapia con UVBBE constituye un tratamiento seguro y eficaz en el manejo de la PL1,4–6 y, al igual que otros autores, pensamos que debería ser considerada como una alternativa de primera línea para esta patología en aquellos centros en los que esté disponible.
Conflicto de interesesLos autores declaran no tener ningún conflicto de intereses.





