La púrpura fulminante (PF) es un síndrome de trombosis intravascular e infarto hemorrágico de la piel, acompañado de colapso vascular y de coagulación intravascular diseminada1,2. Descrito por primera vez en 1884 por Gueilliot, ha recibido varios nombres: vasculitis necrosante aguda, púrpura hemorrágica, púrpura necrótica, púrpura gangrenosa y trombosis intravascular postinfecciosa con gangrena2.
No existen datos de su prevalencia dada la poca frecuencia de su aparición. Sin embargo, puede presentarse a cualquier edad, sin distinción de sexo o etnia, aunque ciertos autores sostienen que es más frecuente en los niños y los neonatos2–4. Un signo característico es la rápida progresión de las lesiones que comprometen gran parte de la superficie cutánea y presentan áreas de marcada necrosis1,3. La fisiopatología es desconocida: se postula la posible acción de superantígenos, principalmente en el contexto de una meningococemia5.
Una mujer de 41 años, con antecedente de síndrome mielodisplásico, diagnosticado un año y medio antes del inicio del estudio. En tratamiento por el Servicio de Hematología con corticoides orales suspendidos 7 meses antes. Presenta un cuadro de isquemia mesentérica, por lo cual es intervenida quirúrgicamente con resección de 80 cm de yeyuno isquémico. Durante 3 días presenta lesiones equimóticas en la piel del abdomen, que evolucionan rápidamente hasta comprometer casi toda la superficie cutánea.
La exploración física muestra una paciente despierta, consciente, orientada y con facies pálida. Se presentó una dermatosis diseminada al tórax, las extremidades, el rostro y el área inguinal, caracterizada por grandes placas equimóticas induradas, algunas rodeadas de un borde eritematoso delgado con costra hemática central y otros parches eritematovioláceos. Existieron además máculas eritematovioláceas en la orofaringe (fig. 1).
Se procedió a realizar estudios complementarios en los cuales se apreció principio de leucopenia, anemia y trombocitopenia marcada. Se requirió compensación con concentrados globulares y plaquetarios, respectivamente. TP y TTP elevados que coinciden con el inicio de las lesiones cutáneas, fibrinógeno dentro de límites inferiores y dímero–D elevado.
En el período posquirúrgico, la paciente permaneció febril; por ello se tomaron varias muestras para cultivo de secreción de la herida quirúrgica. La misma reportó en un primer momento Escherichia coli, productora de betalactamasa. En cultivos posteriores se exhibió Staphylococcus aureus meticilino resistente y Citrobacer freundii complex multirresistente.
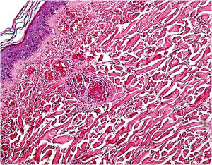
Ante la sospecha de una púrpura fulminante, se realizó una biopsia de la piel, en la cual se observó epidermis con focos de acantosis epitelial, vasos de tamaño variable en la dermis, la mayoría con hematíes en el interior y trombos de fibrina, así como extravasación eritrocitaria (fig. 2). Se realizó coloración PAS, misma que demostró la presencia de material positivo intravascular y confirmó el diagnóstico.
Se trató dicho cuadro con antibioterapia de amplio espectro a base de meropenem 2 gr IV TID, linezolid 500 mg IV BID y caspofungina 50 mg IV QD. Se compensó la bicitopenia mediante transfusión de concentrados globulares y de plaquetas, junto con metilprednisolona 125 mg IV BID. No obstante, la evolución fue desfavorable; culminó con áreas de necrosis extensa y finalmente el fallecimiento de la paciente 20 días después del inicio del cuadro posterior a su traslado a la Unidad de Cuidados Intermedios.
La PF es una alteración caracterizada por hemorragia y necrosis cutánea repentina y progresiva3. Su etiopatogenia es desconocida. Sin embargo, se ha observado en cortes histológicos que se presentan de manera muy similar a una reacción tipo Schwartzman, la cual se caracteriza por la migración de polimorfonucleares, oclusión de pequeños vasos por plaquetas y leucocitos, destrucción y necrosis de los vasos mediada por IL-2, IFN-, TNF-α e IL-1. De ello resulta el consumo de proteína C, S y antitrombina III, que produce alteraciones en la homeostasis coagulación-anticoagulación y lleva a las diversas manifestaciones de la enfermedad1,2.
La PF se presentaría en 3 situaciones clínicas: púrpura fulminante aguda o secundaria asociada a sepsis (principalmente descrita con relación a la meningococemia, 15-25%), púrpura fulminante idiopática o primaria (característicamente se presenta posterior a una infección generalmente de varicela o escarlatina), y púrpura fulminante por déficit de proteína C y S hereditario o adquirido2,4,6.
La paciente de este caso presentó una PF en relación con la sepsis de foco abdominal posterior a la intervención quirúrgica. Es relevante considerar el antecedente de síndrome mielodisplásico, al tomar en cuenta su asociación con la púrpura fulminante7. Dada la baja frecuencia de ambas entidades, no se ha estudiado a fondo esta asociación. Sin embargo, se debe considerar que el síndrome mielodisplásico podría ser un factor predisponente para el desarrollo de la púrpura fulminante.
En cuanto a su clínica, la PF se caracteriza por lesiones que frecuentemente afectan las áreas acrales: originalmente son parches equimóticos, que progresan a pápulas y placas purpúricas induradas, dolorosas y rodeadas de un borde eritematoso delgado de avance2,6. Los hallazgos subsecuentes son la formación de vesículas o ampollas (mismas que se convierten en escaras que reflejan la necrosis que sufre el tejido)1,3.
Además de las lesiones cutáneas, los pacientes presentan fiebre, hipotensión y coagulación intravascular diseminada5. Inicialmente, los pulsos distales pueden estar presentes y posteriormente desaparecer por el compromiso vascular1. Se puede encontrar afectación del bazo, el pulmón y los riñones debido a la formación de trombos2.
Como ayuda en el diagnóstico de la enfermedad, se cuenta con los 5 criterios descritos por Hjort et al., basados en el cuadro clínico y la histopatología, todos ellos presentes en la paciente8.
La fase activa generalmente no dura más de 3 días, luego de la cual la tasa de mortalidad disminuye considerablemente1. Se ha descrito una mortalidad del 20 al 60% en PF. Los pacientes que sobreviven presentan secuelas como auto amputación o necesidad de extirpación quirúrgica por gangrena1,2,9. Los factores de mal pronóstico son el porcentaje de piel hemorrágica y la presencia de púrpura, especialmente cuando es generalizada2.
En el diagnóstico son primordiales los exámenes de laboratorio. Estos muestran bajas concentraciones de fibrinógeno, factores de coagulación, plaquetas, antitrombina y proteínas C y S, dímero-D, tiempo de protrombina y tiempo de tromboplastina elevados3. La histopatología revela trombosis vascular dérmica y necrosis hemorrágica secundaria, hallazgos que también se presentan en la reacción tipo Schwartzman5. Los vasos más afectados son las vénulas poscapilares en el plexo subpapilar, donde la velocidad del flujo sanguíneo es menor2.
El diagnóstico diferencial se realiza con la púrpura trombopénica trombótica, la púrpura anafilactoide y la crioglobulinemia. La primera presenta afectación del sistema nervioso central, trombocitopenia, anemia hemolítica y tiempos de coagulación normales. La púrpura anafilactoide respeta el tronco y no llega a la necrosis tisular. Finalmente, la crioglobulinemia, al que PF, se presenta con áreas de necrosis en los sitios acrales. No obstante, en el histopatológico, encontramos una vasculitis leucocitoclásica y la presencia de crioglobulinas en suero, clave en el diagnóstico de esta entidad2,6,10.
El tratamiento de los pacientes con PF debe basarse siempre en el mantenimiento de la vía aérea, el estado hemodinámico y la antibioticoterapia enfocada al agente causal3,5. Según los resultados de laboratorio se decidirá la transfusión de concentrados globulares o de plaquetas, como se evidenció en el presente caso1,5,6.
Las intervenciones terapéuticas que se deben iniciar en todos los pacientes son plasmas frescos congelados y vitamina K1–3,5. El uso de heparina en PF es controvertido: Gary Darmstadt menciona que es útil en estadios iniciales de la enfermedad, debido a que inhibirá el desarrollo de trombos y la necrosis subsecuente2. Smith et al., sostienen que exacerba la hemorragia y la trombocitopenia6. El uso de corticoides es también discutido. Algunos expertos lo postulan como beneficioso, mientras que otros dicen que puede desencadenar una reacción tipo Schwartzman1,3. El activador del plasminógeno tisular recombinante (rtPA) induce fibrinólisis y mejora la perfusión periférica. La plasmaféresis es útil al remover endotoxinas circulantes inductoras de toda la reacción inflamatoria3. El uso de inmunoglobulina IV sería útil, al ser anticuerpos que neutralizarán las endotoxinas causantes de la enfermedad. El uso de la terapia con oxígeno hiperbárico ha sido reportado por algunos autores, sin embargo, no se considera usualmente una opción terapéutica9.
Una vez superada la fase crítica se realizará el tratamiento quirúrgico con desbridamiento del tejido necrótico y reconstrucción11.
Conflicto de interesesLos autores declaran que no existen conflictos de interés.
FinanciaciónLa presente investigación no ha recibido ayudas específicas provenientes de agencias del sector público, sector comercial o entidades sin ánimo de lucro.



