El carcinoma de células renales (CCR) es una neoplasia maligna genitourinaria de predominio masculino, con una incidencia anual de más de 73.000 casos en los Estados Unidos1. El carcinoma de células renales de células claras (ccRCC) comprende el 75% de estos casos, y su incidencia ha aumentado en los últimos años2. Sin embargo, solo el 65% de los pacientes con CCR presentan enfermedad localizada, mientras que el 16% presenta enfermedad metastásica1. Los sitios metastásicos más frecuentes son el hígado, el pulmón y los huesos, mientras que las metástasis cutáneas son solo el 3%. El tratamiento de primera línea, para una curación completa, es la resección del CCR localizado, pero el 30% de los pacientes que reciben cirugía curativa desarrollan CCR metastásico3.
Un varón de 64 años acudió a la consulta por una lesión en el cuero cabelludo derecho de 3 meses de evolución, sin dolor, sangrado o crecimiento asociado. El paciente había tenido un año antes una nefroureterectomía radical derecha más cuña vesical y cistoscopia por un ccRCC estadio T3NxMx.
En el examen físico se observó un nódulo eritematoso brillante, circunscrito, de 20 mm de diámetro, en la región frontoparietal derecha del cráneo (fig. 1).
El paciente aportaba el resultado de una biopsia tomada previamente. Los hallazgos anatomopatológicos mostraron piel con epidermis rectificada, sin alteraciones. En la dermis se observó la presencia de una lesión que ocupaba la dermis superficial profunda, compuesta por nidos de células de citoplasma claro, con membranas aparentes, dispuestas en forma de árbol, con núcleos hipercromáticos, algunos de ellos pleomórficos (fig. 2).
Se realizaron marcadores inmunohistoquímicos: CKAE1/AE3, EMA, PAX-8 CAIX, CD10, con RCC y /FOCAL IMENTIN, que fueron fuertemente positivos. Otros marcadores, CK7, CK20, D240, S100, HMB45, CD34 CEA fueron negativos. Con los hallazgos microscópicos, el compromiso de la lesión neoplásica, antecedentes y patrón IHC, se confirmó el diagnóstico de metástasis cutánea por tumor renal de células claras.
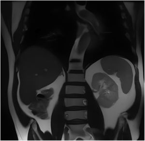
Posteriormente, fue tratado quirúrgicamente, confirmándose una metástasis de 11 mm en su diámetro mayor, sin invasión renovascular ni perineural, con bordes de sección libres de tumor. Se realizó una resonancia magnética de tórax, cerebro y abdomen sin signos de enfermedad metastásica secundaria (fig. 3). Finalmente, se inició el manejo del cáncer con inmunoterapia con pembrolizumab, con buena tolerancia y respuesta.
Las metástasis cutáneas solo aparecen en el 0,7–9% de los pacientes con cáncer4. El ccRCC es un tumor que realiza usualmente metástasis a distancia en la piel, especialmente en áreas del cuero cabelludo, la cara y el cuello5. Nosotros describimos un caso excepcional, dado que nuestro paciente, a pesar de haber sido tratado previamente con resección completa de ccRCC por su estadio tumoral avanzado, un año después realizó metástasis cutánea al cuero cabelludo. Por lo cual recomendamos que a una extensión de la enfermedad con estadios tumorales avanzados debe tratarse adicionalmente a la resección quirúrgica, terapia adyuvante con quimioterapia e inmunoterapia para obtener resultados satisfactorios6. Además, con nuestro caso queremos reforzar la importancia de la valoración y seguimiento por el médico dermatólogo desde los controles en consulta hasta dermatología hospitalaria con el fin de monitorizar los pacientes con antecedentes de cáncer de piel, ya que cualquier lesión cutánea puede ser indicadora de metástasis de un cáncer.
Consentimiento informadoLos autores confirman que han obtenido todos los consentimientos requeridos por la legislación vigente para la publicación de cualquier dato personal o imágenes de pacientes, sujetos de investigación u otras personas que aparecen en los materiales enviados a Elsevier. Se ha conservado una copia escrita de todos los consentimientos y, en caso de que Elsevier lo solicite, se acepta proporcionar las copias o pruebas de que de dichos consentimientos han sido obtenidos.
FinanciaciónLa presente publicación no ha recibido ayudas específicas provenientes de agencias del sector público, comercial o entidades sin ánimo de lucro.
Conflicto de interesesLos autores declaran que no tienen conflictos de intereses.




