Hay una serie de cuadros respiratorios agudos, o de exacerbaciones de enfermedad pulmonar crónica, que con frecuencia son motivo de atención en urgencias o de ingreso hospitalario. Generalmente, la sintomatología y la semiología respiratoria permiten establecer con facilidad una aproximación sindrómica inmediata; sin embargo, el diagnóstico etiológico en muchas ocasiones será el resultado de un proceso de diagnóstico diferencial en que habrá que valorar otros factores. Estos cuadros pueden ser exclusivamente respiratorios o bien ocurrir como manifestación de enfermedades sistémicas en que se encuentran implicados otros órganos1,2.
Las enfermedades de la piel sólo en raras ocasiones serán la causa de una enfermedad pulmonar aguda, pero no es raro que la piel se encuentre afectada en enfermedades multisistémicas que puedan presentar complicaciones respiratorias graves e incluso mortales. En estos casos la exploración cutánea puede proporcionar alguna clave para contribuir al diagnóstico etiológico u orientar el tratamiento de un paciente3 (tablas I y II).
TABLA I. Principales cuadros respiratorios agudos
TABLA II. Enfermedades pulmonares agudas: etiología, diagnóstico, manifestaciones respiratorias y dermatológicas
Con esta breve revisión nos proponemos dar respuesta a las siguientes cuestiones:
– ¿Con qué cuadros respiratorios agudos nos encontramos en la práctica clínica?
– ¿Cuáles pueden formar parte de cuadros sistémicos con expresión cutánea?
– ¿En qué casos la exploración de la piel puede proporcionar algún dato que ayude al diagnóstico o al tratamiento de un paciente?
El pulmón es el órgano principal del aparato respiratorio. Consta de una estructura aérea, formada por el árbol bronquial y los alvéolos, y de una doble circulación, la bronquial y la pulmonar. Todo ello se encuentra bien delimitado en la cavidad torácica por las membranas pleurales y el diafragma. La vía aérea y la circulación se encuentran en íntimo contacto en los alvéolos, donde se realiza el intercambio de gases a través de la membrana alvéolo-capilar, a fin de que el pulmón pueda conseguir realizar una de sus principales funciones, que es aportar oxígeno a la sangre y eliminar CO2 (fig. 1)4.
Figura 1. Representación gráfica de la anatomofisiología del pulmón que muestra la íntima relación entre el árbol bronquial y la circulación pulmonar.
El árbol bronquial está constituido por los bronquios, unos conductos tubulares en que se bifurca la tráquea, y que presentan unas ramificaciones progresivas arboriformes, de diámetro decreciente hasta los bronquiolos terminales, en donde se encuentran los alvéolos pulmonares, divertículos terminales del árbol bronquial en los que tiene lugar el intercambio gaseoso.
El intersticio pulmonar es el tejido que se encuentra entre el epitelio alveolar y el endotelio capilar. Es una estructura que incluye células y componentes no celulares, fundamentalmente colágeno. Sirve de armazón del resto de elementos pulmonares para permitir el intercambio gaseoso.
La pleura es la membrana que recubre los pulmones, el mediastino, el diafragma y la parte interna de la caja torácica. La pleura parietal es la parte externa, en contacto con la caja torácica, mientras que la pleura visceral es la parte interna, en contacto con los pulmones.
El mediastino es el compartimento anatómico extrapleural situado en el centro del tórax, entre los pulmones. Está limitado por el músculo diafragma por debajo y en su interior se aloja el corazón, los grandes vasos, restos del timo, parte de la tráquea y de los bronquios, esófago, nervios y conducto torácico.
La circulación bronquial se encarga de nutrir al parénquima pulmonar, los bronquios y bronquiolos. Las arterias bronquiales se originan en la aorta torácica y la circulación venosa corre a cargo de venas bronquiales que drenan a la vena ácigos que se une a la vena cava superior.
En la circulación pulmonar la sangre, de procedencia venosa, sale del ventrículo derecho por las arterias pulmonares y entra en los pulmones, que llevan la sangre hasta los vasos sanguíneos más pequeños donde libera dióxido de carbono y recoge oxígeno, como parte del intercambio gaseoso de la respiración. La sangre sale de los pulmones dentro de las venas pulmonares y regresa al corazón, a la aurícula izquierda, con sangre arterial y oxigenada, así se completa el ciclo pulmonar y, desde allí, el ventrículo izquierdo distribuye la sangre por el organismo.
PRINCIPALES CUADROS RESPIRATORIOS AGUDOSHemos agrupado los cuadros respiratorios agudos que pueden cursar con alguna manifestación cutánea según la estructura anatómica pulmonar principalmente afectada1 (tablas I y II).
Obstrucción de la vía aéreaLa obstrucción del árbol bronquial puede ocurrir en bronquios grandes, medianos o pequeños, y puede dar lugar a diferentes cuadros clínicos, que dependerán fundamentalmente del calibre de la vía aérea afectada (fig. 2). Así distinguiremos:
Figura 2. Cuadros respiratorios por obstrucción de la vía aérea según el calibre de los bronquios/bronquiolos afectados.
Apnea obstructiva del sueño. El síndrome de apnea obstructiva del sueño (SAHS) se caracteriza por la aparición de episodios repetitivos de obstrucción de la vía aérea superior durante el sueño1,2.
Causa. De modo fisiológico, durante la noche se produce un estrechamiento de la luz aérea por la relajación nocturna de los músculos respiratorios que se ve agravado y se convierte en un problema cuando se añade algún problema local, un defecto anatómico en la vía aérea superior, un problema muscular o bien enfermedades médicas como la obesidad o el hipotiroidismo y agravado por consumo de alcohol o ingesta de sedantes.
Clínica. Puede ser trivial y producir únicamente ronquidos o grave con somnolencia diurna por desestructuración de la arquitectura del sueño y cuadros de apnea obstructiva durante el sueño, con episodios de asfixia nocturna y desaturaciones repetidas de la oxihemoglobina.
Signos cutáneos. El paciente clásico es obeso con cuello grueso. Hay algunas enfermedades con manifestaciones cutáneas en que puede ser importante sospechar este cuadro clínico, ya que los pacientes pueden beneficiarse de un tratamiento adecuado. Así destacamos algunos cuadros como:
– Lipomatosis de Madelung: se caracteriza por masas lipomatosas en cabeza y cuello (fig. 3). Aunque puede ser asintomático, es desfigurante y puede dar disfagia y apnea obstructiva durante el sueño11. El tratamiento quirúrgico puede mejorar la sintomatología.
– Ciertos cuadros polimalformativos en que se produce una combinación de obesidad, cuello corto o malformaciones faciales u orales, con frecuencia se acompañan de apnea del sueño. Los dermatólogos frecuentemente atendemos a este tipo de pacientes, sobre todo niños, por diversos signos cutáneos y podemos diagnosticar y orientar el tratamiento de un posible SAHS en relación con un cuadro polimalformativo como, por ejemplo, en el síndrome de Rubinstein, que cursa con obesidad, cuello corto, apnea del sueño12 y, además, alteración de los primeros dedos, retraso mental y, en la piel, hemangioma frontal, hipertricosis y queloides.
Figura 3. Enfermedad de Madelung. Imagen clínica y tomografía computarizada de la lipomatosis que causa la asfixia nocturna por una apnea obstructiva durante el sueño.
Diagnóstico. Una vez que se sospecha la enfermedad, es conveniente realizar un estudio del sueño que confirme el trastorno y establezca su severidad con el fin de ofrecer la mejor opción de tratamiento.
Tratamiento. En casos leves puede bastar con observar ciertas medidas relacionadas con el estilo de vida, como controlar el peso, no consumir alcohol y cambiar la postura durante el sueño. Aunque actualmente no hay un tratamiento farmacológico eficaz, disponemos de la posibilidad de aplicar un generador de presión que transmite, a través de una mascarilla nasal, una presión continua a la vía aérea superior (CPAP), e impide que ésta se colapse. Suele tener un efecto rápido, ya que hace desaparecer los ronquidos nocturnos, las apneas y la somnolencia durante el día. La cirugía está recomendada cuando hay algunas lesiones, como pólipos, hipertrofia de las amígdalas, marcada retrognatia o, bien, en casos restringidos, cuando la CPAP no es bien tolerada.
Broncospasmo. Tiene lugar cuando se obstruyen bronquios de diámetro > 2 mm. Se produce broncoconstricción por reacción inflamatoria y contracción del músculo liso.
Causas. Pueden ser diversas, pero destacaremos, por su importancia, las reacciones anafilácticas por hipersensibilidad tipo I y el asma.
Cuadros clínicos:
– La anafilaxia, definida por una reacción inmunitaria multiorgánica de rápida evolución, se caracteriza por broncospasmo severo y su expresión en forma de broncoconstricción puede ser precoz. Puede tener distintos factores desencadenantes, como fármacos, alimentos, etc. En dermatología tienen particular interés los episodios de anafilaxia relacionados con procedimientos quirúrgicos5, especialmente antibióticos, anestésicos locales, guantes de látex, antisépticos e incluso el colorante utilizado en la detección del ganglio centinela6. La clínica es la derivada de una broncoconstricción (tos, disnea, sibilancias), del edema de la vía aérea superior (estridor inspiratorio o laringoedema) y de los mediadores de la anafilaxia, que pueden producir arritmia, hipotesión e hiperperistaltismo. Los signos cutáneos que nos pueden avisar de un posible cuadro anafiláctico incluyen eritema difuso, prurito o urticaria. La mayor severidad del cuadro ocurre entre los primeros 5-30 min con consecuencias potencialmente fatales. La clave del manejo de una reacción anafiláctica es su reconocimiento precoz. La adrenalina es el fármaco de elección en el tratamiento inicial, junto con la oxigenoterapia para mantener la vía aérea permeable, además de esteroides y broncodilatadores.
– El asma es un cuadro crónico que cursa con tos, disnea y sibilancias, debido a la afección de bronquios de diferente calibre. En ocasiones, puede producirse una agudización que dé como resultado un broncospasmo severo. Los principales signos cutáneos que pueden acompañar al asma son los de la dermatitis atópica, con eccema, liquenificación y xerosis. Además, hay cuadros multisistémicos que pueden acompañarse de asma, como la vasculitis de Churg Straus3, y en que los signos cutáneos más característicos son pápulas que muestran granulomas en empalizada.
Bronquiolitis obliterante. Se produce por un daño en los bronquiolos de diámetro < 2 mm. Histológicamente se identifican dos formas de bronquiolitis obliterante (BO), la BO clásica, caracterizada por formaciones intraluminales de tejido conectivo organizado y la BO constrictiva, caracterizada por obstrucción parcial o completa de la luz bronquiolar como consecuencia de la inflamación. La extensión del exudado y del tejido de granulación a los alvéolos se describe como neumonía organizada o BO con neumonía organizada (BONO)2.
Causa. La BO obliterante puede ocurrir como manifestación poco frecuente de enfermedades reumáticas, como en la artritis reumatoide, el lupus eritematoso sistémico7, la dermatomiositis o las vasculitis sistémicas. También se ha descrito en niños con síndrome de Stevens Johnson8. En estos casos el curso de la enfermedad es rápido y el pronóstico, en general, desfavorable. Los pacientes con enfermedades vasculares del colágeno que exhiben el patrón histológico identificado como BONO pueden presentar mejor pronóstico. Destacaremos por su peculiaridad el pénfigo paraneoplásico en relación con BONO9,10. Los autoanticuerpos producidos por los propios tumores causan la acantólisis cutaneomucosa que afecta al epitelio bronquial, lo que genera una estenosis de los bronquiolos que lleva a un cuadro respiratorio agudo capaz de producir la muerte antes que el propio tumor.
Clínica. Se presenta en forma de tos insidiosa, usualmente no productiva y disnea progresiva, con poca expresión en la exploración clínica, aunque pueden aparecer sibilancias difusas. Su rápida progresión puede causar una obstrucción severa con clínica de disnea aguda. El patrón radiográfico es variable y puede mostrar un patrón miliar o nodular difuso o un patrón reticulonodular. En ocasiones, la obstrucción de bronquios de pequeño tamaño y bronquiolos puede producir una marcada hiperinflación del pulmón distal.
Infiltrados alveolares agudosNeumonía aguda. Es la infección del parénquima pulmonar por un agente infeccioso. La puerta de entrada del agente infeccioso suele ser la vía aérea superior. El cuadro clínico es característico y da lugar a tos, disnea, dolor torácico, fiebre y expectoración purulenta.
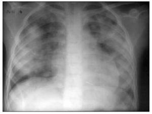
Clínica cutánea. Cuando hay signos cutáneos que acompañan a un cuadro febril con infiltrados alveolares, pueden aparecer desde lesiones vesiculosas hasta pápulas, nódulos o úlceras. Las vesículas umbilicadas podrían ofrecer una sospecha de neumonía por varicela y las pápulas o nódulos, especialmente en inmunodeficientes, pueden orientar a lesiones fúngicas, como candidiasis, aspergilosis, infección por Fusarium, etc.1-3 (fig. 4).
Figura 4. Infiltrados alveolares en un paciente inmunodeficiente con fiebre. Los cultivos de esputo y hemocultivos fueron negativos, y el diagnóstico de infección por Fusarium se estableció por el estudio histológico de los nódulos cutáneos.
Diagnóstico. Se confirma por las imágenes radiológicas, que muestran la típica condensación alveolar, y la etiología, mediante los cultivos de secreciones respiratorias, la serología o los antígenos bacterianos en orina. El problema surge principalmente en los pacientes con inmunodeficiencias en que puede ser una de las principales causas de muerte (hasta el 75%). En estos pacientes, la complejidad de su enfermedad de base, que puede acompañarse de fiebre de distintas causas, puede complicar el diagnóstico, con dificultades para interpretar las imágenes radiológicas, y con frecuencia los resultados de los cultivos pueden ser negativos. Cualquier signo clínico o prueba que permita identificar el agente causal resulta de importancia vital, así, ciertas lesiones cutáneas, como las descritas, pueden biopsiarse y el examen anatomopatológico y/o microbiológico pueden aportar hallazgos característicos que permitan un diagnóstico.
Aire extrapulmonarEn ocasiones, se puede acumular aire fuera de los pulmones. Según la localización del aire extrapulmonar (AEP) distinguiremos: neumotórax, aire en el espacio pleural; neumomediastino, aire o gas en los planos tisulares del mediastino, y enfisema subcutáneo, aire subcutáneo en tórax, cuello y cara por extensión desde el espacio pleural o el mediastino.
Causa. Puede ser idiopático, espontáneo (durante maniobras de Valsalva), traumático o secundario a diversos procesos, como enfermedad obstructiva crónica, asma, neumonía, tuberculosis, fibrosis quística, histiocitosis, linfangioleiomiomatosis, cáncer, catamenial, o secundario a síndrome de Marfan. Se ha descrito también en pacientes con dermatomiositis13 y como complicación del síndrome antisintetasa14.
Clínica. El neumotórax cursa con disnea de comienzo súbito, taquipnea, dolor torácico agudo y tos. El neumomediastino puede cursar de forma asintomática o con dolor retroesternal, a menudo irradiado a la espalda, disnea, disfagia, disfonía y, en ocasiones, «voz de patata caliente». En casos graves, puede aparecer cianosis y distensión de las venas del cuello; la crepitación gaseosa en el cuello y la cara es característica cuando se acompaña de enfisema subcutáneo. Estos signos cutáneos son muy indicativos y casi patognomónicos de este proceso15.
Diagnóstico. La radiología o la tomografía computarizada (TC) torácica ponen de manifiesto hallazgos característicos, como una línea transparente en el neumomediastino o el colapso pulmonar en el neumotórax. El tratamiento del AEP consiste en la valoración de los factores subyacentes para instaurar medidas terapéuticas específicas (broncospasmo, infección, etc.), y puede controlarse de forma conservadora en la mayoría de los casos.
Alteraciones de la circulación bronquial/pulmonarEn este apartado se han agrupado los cuadros en que se afecta tanto el árbol vascular como su contenido.
Sindrome de vena cava superior. Es un conjunto de síntomas causados por la interrupción del flujo sanguíneo de la vena cava superior (VSC) hacia la aurícula derecha.
Causa. Puede ser por oclusión intraluminal del flujo vascular a través de esta vena, pero la causa más frecuente es la compresión extrínseca por adenopatías, como en el linfoma, o por un carcinoma de pulmón.
Clínica. Cuando la VCS se comprime, el flujo de sangre se hace lento y puede ocurrir una oclusión total. Los signos cutáneos de este síndrome son múltiples y entre los más precoces destaca la aparición de venas dilatadas y tortuosas, orientadas verticalmente en la pared torácica. Otros hallazgos comunes incluyen edema de la mitad superior del cuerpo (edema en esclavina), junto con eritrosis o cianosis, dilatación de las venas del cuello, proptosis y sufusión conjuntival16. El eritema y el edema persistente de la cara también pueden ser signos de presentación17. Estos signos cutáneos pueden conducir al diagnóstico temprano del síndrome relacionado con neoplasia pulmonar (fig. 5).
Figura 5. Edema facial y venas tortuosas en el tórax, características del síndrome de la vena cava superior, que reveló una neoplasia pulmonar.
Tromboembolia pulmonar. La enfermedad trombo-embólica (ETE) es una enfermedad vascular compleja, de patogenia multifactorial.
Causas. Presenta dos manifestaciones clínicas principales. La más frecuente es la trombosis venosa profunda (TVP), que se desarrolla generalmente en las venas profundas de las extremidades inferiores y la tromboembolia pulmonar (TEP), su manifestación más grave, que ocurre como complicación de la TVP. Hay una serie de factores de riesgo que actúan de forma acumulativa, como los estados de hipercoagulabilidad, la inmovilidad o el tabaquismo.
Clinica. La disnea es el síntoma más frecuente y la taquipnea, el signo que acompaña a la TEP en el mayor porcentaje de casos. La disnea acompañada de síncope o cianosis indica TEP masiva, pero con mayor frecuencia aparece dolor pleurítico, tos o hemoptisis, indicadores de pequeños episodios embólicos.
Signos cutáneos. Aunque la ETE no es una enfermedad propiamente dermatológica, hay ciertos cuadros sistémicos con participación cutánea importante, como la enfermedad de Behçet, la tromboangiítis obliterante, la enfermedad de Mondor, el síndrome antifosfolipídico, la enfermedad de Sneddon, enfermedades infecciosas, como la sífilis o la tromboflebitis séptica, malformaciones vasculares, como el síndrome de Klippel Trénnaunay, que pueden tener relación con estados de hipercoagulabilidad y, por lo tanto, potencialmente pueden conllevar un riesgo elevado de TVP y TEP18-20. En la piel, junto con las manifestaciones propias de la tromboflebitis superficial (induración del trayecto venoso con eritema de la piel suprayacente o nódulos múltiples), hay otras manifestaciones cutáneas que pueden estar relacionadas con algunos estados de hipercoagulabilidad primaria o secundaria, como lesiones purpúricas acrales, vasculitis necrosante, livedo reticular o úlceras necróticas con patrón estrellado.
Diagnóstico. El diagnóstico de TEP es difícil por el amplio espectro de gravedad clínica y por la posibilidad de confundirlo con otros procesos cardiorrespiratorios. La estrategia diagnóstica consiste en una historia y un examen físico meticulosos, complementado por pruebas selectivas, como el electrocardiograma (ECG), con hallazgos inespecíficos, y la radiografía de tórax (oligohemia localizada, joroba de Hampton, aumento del calibre de la arteria pulmonar descendente derecha). El dímero D elevado, junto a una alta probabilidad clínica, puede ser de utilidad en el diagnóstico. La gammagrafía de ventilación-perfusión puede descartar TEP, pero con frecuencia muestra probabilidad indeterminada, debido a enfermedad pulmonar previa o a trastornos de la ventilación secundarios a la propia TEP2,3. La angiografía ha sido clásicamente el método de referencia, aunque la TC helicoidal con contraste muestra una elevada rentabilidad diagnóstica y, actualmente, prácticamente la ha sustituido (fig. 6). El eco-Doppler de las extremidades inferiores es muy rentable en pacientes con TVP sintomático, aunque su normalidad no descarta TEP.
Figura 6. Angio-TC que muestra tromboembolia pulmonar.
Tratamiento. Debe iniciarse la administración de heparina hasta que se descarte el diagnóstico. Si éste se confirma, tanto la administración de heparinas de bajo peso molecular por vía subcutánea como de heparinas no fraccionadas se han mostrado igualmente efectivas. La instauración temprana de cualquiera de estos regímenes, seguido de anticoagulación oral al menos durante 3 meses, reduce el 80-90% el riesgo de recurrencias y muerte.
Otros cuadros de embolia pulmonar. Hay cuadros de embolia pulmonar por diferentes causas, como émbolos sépticos, tumorales, cristales de colesterol, fluidos, como el líquido amniótico, iatrogénicos (talco, almidón, silicona, grasa, etc.) o postraumático, como la embolia grasa. La embolia grasa ocurre tras una fractura de huesos largos. Se produce una liberación de la grasa existente en la médula ósea, que produce embolización en los vasos capilares del parénquima pulmonar que da lugar a una insuficiencia respiratoria grave con disfunción cerebral y petequias. Las petequias pueden aparecer antes que las otras manifestaciones del síndrome en axilas, tórax y cuello y, por lo tanto, su aparición después de una fractura debe orientar a la posibilidad de este cuadro21.
Hemorragia pulmonar. Se trata de una hemorragia masiva por alteración de la membrana alveolocapilar. En este sangrado está implicada la circulación pulmonar, y debe diferenciarse del sangrado por alteración en la circulación bronquial que cursa con hemoptisis y que suele ser de origen focal por alteraciones de la vía aérea o del parénquima, como bronquiectasias, neumonía necrosante o neoplasias.
Causa. La hemorragia pulmonar puede dividirse en dos grandes grupos, según la presencia o no de capilaritis. La capilaritis consiste en una invasión neutrofílica del intersticio alveolar con posterior necrosis fibrinoide de estas estructuras, la cual produce la pérdida de integridad de la membrana alveolocapilar con salida de hematíes y neutrófilos a los espacios alveolares que son fagocitados por los macrófagos22. Entre las enfermedades del tejido conectivo que causan hemorragia pulmonar, con o sin capilaritis, destaca el lupus eritematoso sistémico (LES), cuya complicación conlleva un 70% de mortalidad. La afección pulmonar se produce en el 5-10% de los casos de enfermedad de Behçet, en forma de vasculitis de pequeños vasos, aneurismas de las arterias bronquiales o trombosis arterial pulmonar con infarto. Las hemorragias pulmonares recurrentes o agudas también pueden ocurrir en el síndrome antifosfolipídico, la panarteritis nudosa o el síndrome de Schonlein-Henoch. Sin capilaritis se produce en el contexto de alteraciones de la coagulación, linfangioleiomiomatosis o esclerosis tuberosa.
Clínica. Cuadro agudo con hemoptisis, tos y disnea, y sólo algunos tienen un curso más solapado con hemoptisis recurrente, disnea y anemia. Debe señalarse que la hemoptisis puede no estar en el momento de la presentación, que se produce en función de la cuantía del sangrado intraalveolar. Dependiendo de la causa de la hemorragia aguda o difusa, la fiebre y los signos y síntomas de la vasculitis cutánea23,24, sinusitis, uveítis, artritis o glomerulonefritis acompañarán a los síntomas pulmonares. En el caso de una hemoptisis aguda, además de la sospecha de los cuadros más frecuentes, como los causantes de inflamación bronquial aguda o neoplasia, si se trata de un paciente joven con hemoptisis y nódulo pulmonar, no hay que olvidar la posibilidad de una fístula arteriovenosa por un síndrome de Rendu-Osler en que nos ayudará al diagnóstico la presencia de las características telangiectasias en la mucosa oral.
Diagnóstico. La radiología torácica revela infiltrados alveolares con patrón difuso (fig. 7) o focal que pueden ser confirmados con la TC torácica. En las vasculitis sistémicas, las enfermedades del tejido conectivo y el síndrome de Goodpasture aparece proteinuria y alteraciones en el sedimento urinario indicativas de glomerulonefritis, así como aumento de la creatinina.
Figura 7. Imagen radiológica que muestra un infiltrado alveolar difuso en una hemorragia alveolar.
Enfermedad intersticialIncluye un grupo de enfermedades que primariamente afectan al parénquima. Es un término confuso porque en muchas enfermedades coexiste afección de la vía aérea y la trama vascular. El intersticio se puede dañar por una agresión de la barrera epitelial o del endotelio, lo que causa alteraciones tanto en la función de la estructura o armazón como en el intercambio gaseoso. Su presentación puede ser crónica o subaguda y, en algunos casos, aguda, con diferente grado de gravedad según la etiología.
Causa. Infecciones, fármacos, vasculitis, enfermedades del colágeno.
Clínica. Agudización de la disnea.
Clínica cutánea. Depende del cuadro subyacente e incluye los signos propios de la esclerodermia sistémica, como síndrome de Raynaud, acroesclerosis, telangiectasias, lesiones de vasculitis, etc.25.
Radiología. Patrón radiológico característico reticular o lineal, nodular o en vidrio esmerilado.
Edema agudo de pulmón y disneaSe trata del derrame rápido de líquido seroso desde el plasma al tejido intersticial pulmonar y los alvéolos. La sangre retrocede a la circulación pulmonar y es impulsada fuera de los capilares pulmonares hacia el espacio intersticial y los alvéolos.
Causa. Puede ser cardiogénico, como el producido tras infarto agudo de miocardio, arritmias cardíacas o insuficiencia ventricular izquierda, y no cardiogénico, secundario a inhalación de gases irritantes, fluidos intravenosos rápidos, neumonía por aspiración y síndrome de distrés respiratorio agudo del adulto (SDRA).
SDRA o pulmón de shock. Consiste en un conjunto de lesiones pulmonares infiltrativas difusas, de carácter agudo y etiología diversa24, en relación con un aumento de la permeabilidad capilar, que causa una forma de edema pulmonar que se diferencia del cardiogénico porque no se produce aumento en la presión capilar pulmonar. La lesión de la membrana alveolocapilar causa un escape de líquido, macromoléculas y componentes celulares de la sangre al espacio intersticial y a los alvéolos que excede la velocidad a la cual pueden ser reabsorbidos. Como consecuencia, se producen importantes repercusiones sobre la mecánica pulmonar (disminución de la capacidad residual funcional) y el intercambio gaseoso (hipoxemia).
Causas. Las principales causas del SDRA son las infecciones pulmonares o sistémicas, la sepsis, inhalación de toxinas e irritantes, aspiración o traumatismo, si bien se ha descrito en enfermedades autoinmunitarias como en el LES. El síndrome de la fuga capilar idiopática multisistémico y algunas reacciones medicamentosas pueden cursar con manifestaciones dermatológicas y causar este cuadro clínico. Entre las causas puramente cutáneas debe destacarse la psoriasis26-29 (fig. 8), el pénfigo paraneoplásico, el penfigoide ampolloso cicatrizal o la necrólisis epidérmica tóxica3-30.
Figura 8. Eritrodermia psoriásica. Síndrome de distrés respiratorio con infiltrados alveolointersticiales.
Clínica. Varía en función de su severidad y depende del trastorno subyacente. Los síntomas y signos básicos son disnea, tos y taquipnea y, en la medida que la enfermedad progrese, se produce insuficiencia respiratoria con hipoxemia e hipocapnia, aumento del gradiente alvéolo-arterial para el oxígeno, infiltrados intersticio-alveolares bilaterales y difusos y posible fallo multiorgánico. El pronóstico del SDRA es grave ya que presenta una mortalidad elevada. El tratamiento va dirigido al trastorno subyacente y a mantener el intercambio gaseoso mediante oxigenoterapia y ventilación mecánica con presión positiva al final de la espiración.

