El granuloma facial (GF) es una dermatosis inflamatoria crónica benigna potencialmente desfigurante. Su incidencia y prevalencia son desconocidas. Las personas de raza blanca y hombres de mediana edad se ven más afectados. Aunque se han descrito casos en la infancia es muy raro encontrarlos en esta época de la vida1. En cuanto a su patogenia, se han identificado múltiples factores contribuyentes como traumatismos, reacciones de hipersensibilidad, infecciones, exposición solar y radiación. Recientemente se ha estudiado una asociación entre el GF y la enfermedad relacionada a IgG4 y se ha propuesto que el GF sea una forma localizada de dicha entidad2.
Presentamos el caso de una mujer de 62 años, con antecedentes de hipotiroidismo y micosis fungoide en remisión, en tratamiento con levotiroxina y solución saturada de yodo oral. Consultó por la aparición de lesiones en la frente de un mes de evolución. En el examen físico se evidenciaron 2 placas eritematovioláceas, redondeadas, infiltradas, de bordes elevados (fig. 1A), asociadas a edema facial, que comprometía la región frontal, el puente nasal y los párpados (fig. 1B). Inicialmente se indicó tratamiento con doxiciclina oral y ácido fusídico tópico, pero ante la ausencia de respuesta se adicionó un esteroide tópico. Debido al crecimiento progresivo de las lesiones, a pesar del tratamiento, se realizó una biopsia de piel que confirmó el diagnóstico de GF (fig. 2).
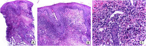
Histopatología: A) Infiltrado inflamatorio denso que respeta la epidermis y afecta la dermis superficial y profunda. B) Presencia de una zona Grenz respetada por el infiltrado inflamatorio, el cual rodea las estructuras anexas sin destruirlas. C) Detalle del infiltrado inflamatorio mixto con presencia de eosinófilos, linfocitos, histiocitos y neutrófilos. Se aprecia extravasación eritrocitaria y edema endotelial sin cambios de vasculitis.
La paciente recibió 25 mg de prednisolona diarios durante 3 semanas con una respuesta satisfactoria e involución de las lesiones.
El diagnóstico de esta entidad se basa en la correlación de los hallazgos clínicos e histopatológicos. Se manifiesta usualmente como una lesión solitaria en la cara, predominantemente en la frente, la nariz y las mejillas. Sin embargo, podemos encontrar múltiples lesiones y compromiso extra facial. Puede presentarse como una pápula, placa o nódulo rojo, marrón o violáceo. Frecuentemente se aprecian telangiectasias y orificios foliculares prominentes3. Aunque las lesiones pueden ser pruriginosas, la presencia de prurito, descamación y ulceración nos debe hacer pensar en otros diagnósticos diferenciales como sarcoidosis, lupus eritematoso cutáneo, rosácea, linfomas cutáneos e infecciones micóticas4. La dermatoscopia es de utilidad para el diagnóstico diferencial, dentro de las estructuras que se describen en el GF se destacan las áreas sin estructura color café que corresponden a hemosiderina, las telangiectasias y los halos blancos en las aperturas foliculares5. En la histología es característico un infiltrado inflamatorio mixto en la dermis superior, una zona de Grenz y daño vascular que respalda la teoría de que el GF pueda ser una forma de vasculitis cutánea de pequeños vasos6.
El tratamiento puede ser desafiante y los datos sobre su eficacia son limitados, como primera línea se encuentra la terapia tópica con inhibidores de calcineurina tópicos y corticoesteroides tópicos o intralesionales. También se cuenta con otras modalidades como: ciroterapia, esteroides sistémicos, dapsona y colquicina7,8. Recientemente se ha descrito el tratamiento exitoso con láser decolorante pulsado y láser CO29.
En conclusión, el GF es una condición infrecuente. La histopatología es fundamental para realizar un diagnóstico adecuado. Aunque esta entidad se considera benigna, su curso crónico y el potencial desfigurativo lleva a los pacientes a consultar en busca de un tratamiento, sin embargo, las diferentes opciones terapéuticas son limitadas e impredecibles.
Consentimiento informadoLos autores confirman que obtuvieron todos los consentimientos requeridos por la legislación vigente para la publicación de cualquier dato personal o imágenes de pacientes, sujetos de investigación u otras personas que aparecen en el manuscrito.
FinanciaciónLa presente investigación no ha recibido ayudas específicas provenientes de agencias del sector público, sector comercial o entidades sin ánimo de lucro.
Conflicto de interesesLos autores del artículo declaran que no tienen conflictos de intereses.



