La ateroembolia por cristales de colesterol se considera una complicación de la enfermedad ateroesclerosa avanzada, y el riesgo es mayor cuando la afectación vascular es extensa. El término ateroembolia describe el desprendimiento de fragmentos de las placas de ateroma localizadas en la aorta, y/o en sus ramas principales, con la consiguiente migración distal y oclusión de la circulación arterial a distintos niveles. Las macroembolias se producen al desprenderse fragmentos de ateroma de placas ulceradas y/o inestables. Las microembolias, de menor tamaño, también se originan en las placas ateromatosas y pueden estar constituidas por agregados fibrinoplaquetarios o por cristales de colesterol, denominándose ateroembolia por cristales de colesterol, embolismo de colesterol o enfermedad por émbolos de colesterol. La migración de los cristales en el torrente sanguíneo ocluye las arterias de mediano y pequeño calibre (entre 100 y 200 µm) de diferentes órganos internos, y como consecuencia se produce un cuadro multisistémico en el que destaca la afectación renal y la clínica cutánea1.
Aunque el embolismo de colesterol puede ser espontáneo, lo más frecuente es que exista un factor desencadenante que desestabilice la placa de ateroma de forma directa o indirecta. Los desencadenantes más frecuentes son los traumatismos de la pared arterial por maniobras angioinvasivas y los tratamientos con anticoagulantes y fibrinolíticos2.
La primera descripción de este fenómeno se realizó en 1862 por Panum. Posteriormente, en 1945 Flory3 revisó 267 autopsias de cadáveres que presentaban lesiones aórticas graves, demostrando la existencia de cristales de colesterol en varios órganos vitales. También fue el primero en sugerir la importancia de las manifestaciones cutáneas asociadas a esta patología. En 1967, Moldveen-Geronimus y Merriam4 destacan la importancia del embolismo de colesterol como entidad clínica que conlleva implicaciones pronósticas relevantes. Karmody et al5 fueron los primeros autores en describir el «síndrome del dedo azul» para referirse a la isquemia digital aguda, secundaria a microembolias, término que comenzó a emplearse con frecuencia en publicaciones posteriores.
EPIDEMIOLOGÍA
En los últimos años el número de casos publicados ha aumentado, con especial incremento desde 19896. Esto se debe al aumento de la población de riesgo, asociado a generalización de los factores desencadenantes (mayor número de cateterismos, angiografías, etc.). Por otro lado, es una entidad cada vez mejor conocida, por lo que se diagnostican más casos.
La revisión de la literatura demuestra que es un fenómeno relativamente frecuente en el ámbito hospitalario, pero a pesar de ello la incidencia real en la población general es desconocida. La frecuencia en la práctica clínica no está bien establecida, ya que los datos epidemiológicos hacen referencia a distintos grupos de población.
Las casuísticas más extensas son las realizadas por Fine et al7 (1987), Lie8 (1992), Moolenar et al9 (1996) y Kohl et al10 (1999).
Moolenar et al describen una incidencia de 6 a 7 casos por millón de habitantes en la población holandesa, lo que contrasta con la incidencia observada en las necropsias (0,3-0,4%). El diagnóstico pre mórtem se realiza en una minoría de pacientes, y supone aproximadamente el 30%7. Estos datos sugieren que probablemente se trata de un cuadro infradiagnosticado, aunque se conoce y se sospecha cada vez con mayor frecuencia.
El hallazgo de cristales de colesterol en necropsias de pacientes con factores de riesgo cardiovascular no implica necesariamente la existencia de una enfermedad por émbolos de colesterol que no ha sido diagnosticada. De hecho, podría tratarse de un hallazgo incidental, y sólo hablaríamos de ateroembolia por cristales de colesterol ante el hallazgo de manifestaciones clínicas documentadas. Existe un caso publicado en el que se hallaron cristales de colesterol en los vasos profundos de la pieza histológica correspondiente a la escisión de un carcinoma basocelular localizado en la región malar en un paciente de 85 años, por lo demás asintomático11.
En una revisión de Mayo y Swartz12 se concluye que al menos el 4% de los pacientes estudiados presentaban embolismo de colesterol, lo que representa aproximadamente del 5 al 10% de todos los pacientes con fallo renal agudo examinados. Un estudio realizado en Japón en 200313 concluye que la incidencia tras cateterismo cardíaco fue del 1,4%.
Estos datos posiblemente no sean extrapolables a la población española, ya que la prevalencia global de ateroesclerosis es aún una de las más bajas de Europa.
Parte de la dificultad para establecer al diagnóstico de embolismo de colesterol se debe al intervalo de tiempo (generalmente de 1 a 4 semanas y a veces hasta 2 meses)13 que transcurre entre el acontecimiento precipitante o favorecedor y el desarrollo de la sintomatología (sistémica, cutánea o ambas).
Los artículos publicados sugieren que es una patología observada con más frecuencia en pacientes de raza caucásica7. Puede que exista un sesgo en este aspecto, debido a las poblaciones estudiadas y a la dificultad para observar las manifestaciones cutáneas en pacientes con fototipos oscuros. En cuanto al sexo, la gran mayoría son varones, con una media de edad de 66 años. La relación varón:mujer observada es de 4 a 1. Además de una historia previa de enfermedad vascular ateroesclerótica (44%), existen otros factores de riesgo asociados al embolismo de colesterol: hipercolesterolemia (31%), hipertensión (61%), diabetes (11%), tabaquismo (40%), enfermedad cerebrovascular (21%) e insuficiencia renal (34%)12.
ETIOPATOGENIA
Aunque el padecimiento de ateroesclerosis es un requisito necesario para la embolia por cristales de colesterol, no es el único aspecto que debe tenerse en cuenta. La enfermedad puede aparecer de forma espontánea, pero con frecuencia existe un factor precipitante, como los procedimientos intervencionistas intravasculares (cateterismo cardíaco, cirugía de la aorta, angiografía)14, el tratamiento con fibrinolíticos sistémicos o locales15, la administración de cumarinas y derivados16, los traumatismos y la reanimación cardiopulmonar17. También se han descrito casos asociados a aneurismas18, sin que haya relación con el tamaño de los mismos.
Los elementos precipitantes conducen a la rotura de las placas ateromatosas de las arterias afectadas, bien mediante acción mecánica directa, o mediante desestabilización de los trombos que se forman sobre las placas de ateroma ulceradas, en el caso de los anticoagulantes y fibrinolíticos. Esto provoca la migración de cristales de colesterol liberados en el torrente sanguíneo, hasta enclavarse en arterias de mediano-pequeño calibre (100-200 µm). Como consecuencia, se produce de forma inmediata una reacción inflamatoria aguda con formación intravascular de trombos y activación del complemento19. Posteriormente se produce proliferación endotelial con fibrosis final del vaso. Este fenómeno tardío podría explicar, según Dupont et al20, el deterioro renal progresivo que tiene lugar de forma secundaria en estos pacientes. La microembolia por cristales de colesterol conduce a la isquemia y el posterior infarto de los órganos abastecidos por la red vascular implicada. Las fuentes embolígenas suelen ser la aorta abdominal y sus ramas ilíacas y femorales. El riñón, la piel (sobre todo la de los miembros inferiores) y el aparato digestivo se ven afectados con bastante frecuencia debido a este motivo21. Cuando se implica el cayado existe afectación del sistema nervioso central y afectación ocular (placas de Holenhorst)22.
MANIFESTACIONES CLÍNICAS
El embolismo de colesterol es un cuadro sistémico grave que ha sido denominado por varios autores como el «gran simulador»23. La clínica es variada e inespecífica y depende de la localización anatómica de las placas de ateroma de donde se desprenden los microcristales de colesterol, así como del grado de extensión de la afectación orgánica. Como ya se ha mencionado, es más frecuente la afectación de los órganos de la mitad inferior del cuerpo (riñones, aparato digestivo y miembros inferiores), dado que la ateromatosis complicada es más prevalente en la aorta abdominal. La aorta torácica y el cayado se ven afectados con menor frecuencia, y cuando son fuentes embolígenas suelen producirse macroembolias.
El embolismo de colesterol tiene 2 manifestaciones cardinales: renales y cutáneas7. El cuadro típico consiste en la asociación de dolor en miembros inferiores, generalmente localizado en la zona gemelar, junto a livedo reticularis. A pesar de la naturaleza isquémica del cuadro es característico que los pulsos periféricos estén presentes (57%), ya que la obstrucción debido al tamaño de los microcristales es muy distal. Además, suele acompañarse de eosinofilia periférica24 y fallo renal agudo o empeoramiento de una insuficiencia renal crónica previa (50%). Otras manifestaciones descritas son fiebre, malestar general, pérdida de peso, alteraciones del estado mental, accidentes isquémicos transitorios y/o infartos cerebrales previos o concomitantes, claudicación intermitente, hemorragia digestiva e hipertensión arterial de inicio brusco7,14,25. Los pacientes presentan alteraciones cutáneas en un elevado porcentaje de casos (del 35 al 75%, según las series)1,7, que en muchas ocasiones son la forma de presentación inicial de la enfermedad26. Falanga et al27 describen una serie de 223 casos con ateroembolia, de los cuales 78 presentaban manifestaciones cutáneas (35%) (tabla I). Las lesiones son uni o bilaterales, con afectación predominantemente distal en los miembros inferiores, y pueden presentar una morfología muy variada.
La livedo reticularis consiste en la aparición de un retículo violáceo con palidez asociada. Es la manifestación cutánea más frecuente en el embolismo por cristales de colesterol y representa aproximadamente el 50% del total. Suele predominar en los miembros inferiores y en la región glútea, con distribución bilateral (fig. 1).
Figura 1. Livedo reticularis bilateral en plantas y dedos de los pies.
Chaudhary et al28 inciden en la relevancia del examen físico, afirmando que en ocasiones la livedo puede ponerse de manifiesto sólo cuando el paciente se encuentra en bipedestación. Describen 8 casos con fallo renal de causa desconocida asociado a factores de riesgo de ateroembolia. Todos ellos habían padecido livedo reticularis no identificada en la exploración inicial. El diagnóstico diferencial se establece con la cutis marmorata (esta última suele desaparecer si aumenta la temperatura de la extremidad afectada).
La gangrena es la muerte tisular secundaria a la oclusión microvascular, e implica pérdida de sustancia. Suele ser distal, con predominio unilateral, y generalmente va precedida de livedo reticularis o acrocianosis.
La acrocianosis, o síndrome del dedo azul5, consiste en la aparición de coloración violácea de los dedos de los pies. Hay dolor concomitante y suele ser bilateral.
La aparición de ulceraciones es unilateral y afecta a zonas acras. Existen casos publicados de úlceras refractarias y/o recurrentes en miembros inferiores debidas a émbolos de colesterol26 (fig. 2).
Figura 2. Se aprecia coloración azulada del primer dedo y necrosis puntiforme del pulpejo en el cuarto dedo.
Los nódulos subcutáneos asociados a ateroembolia son de color violáceo o rojizo, muy dolorosos a la palpación. Se suelen presentar en el tercio distal de miembros inferiores y están relacionados con la reacción inflamatoria asociada. En caso de aparición de nódulos se establece el diagnóstico diferencial con panarteritis nudosa29.
La púrpura, cuando aparece en el embolismo de colesterol, es muy distal, y afecta incluso a los dedos de los pies. Puede parecerse a una vasculitis30.
Se han descrito otras manifestaciones cutáneas, como balanitis y necrosis peneana31, hemorragias subungueales32 e infartos cutáneos extensos que simulan necrosis por heparina33,34.
La afectación renal es muy frecuente (30-50%) y se considera el mejor marcador de afectación visceral2,7,35, ya que los riñones reciben un flujo sanguíneo considerable, distalmente a las placas de ateroma de la aorta abdominal. Las 2 manifestaciones más frecuentes de afectación renal son hipertensión brusca y fallo renal agudo.
El diagnóstico diferencial puede plantearse con otros cuadros multiorgánicos que cursan con lesiones cutáneas semejantes a las descritas: vasculitis sistémicas y conectivopatías36, síndrome antifosfolípido, crioglobulinemia, criofibrinogenemia, calcifilaxia, necrosis por dicumarínicos y endocarditis bacteriana subaguda37, entre otros (tabla II).
Dentro de las vasculitis, se debe prestar especial atención a la panarteritis nudosa29, una vasculitis necrosante de los vasos de la unión dermohipodérmica que afecta a los miembros inferiores y en ocasiones a los superiores. En la panarteritis nudosa se observa livedo reticularis en un porcentaje importante de pacientes (58-78%)39. A la palpación pueden objetivarse nódulos. Es relativamente frecuente la aparición de púrpura y úlceras.
Se cree que el embolismo de colesterol está infradiagnosticado con relativa frecuencia, ya que en ocasiones la clínica es insidiosa o atípica y los síntomas son muy variados39. Es importante tener un alto grado de sospecha, sobre todo en el contexto clínico mencionado (varón mayor de 50 años, con factores de riesgo de aterosclerosis y factores precipitantes de ateroembolia).
APROXIMACIÓN DIAGNÓSTICA
La sospecha es el principal requisito ante este cuadro potencialmente mortal. Dependiendo de los factores desencadenantes, las manifestaciones clínicas se establecen en días o semanas17. Según Fukumoto et al13, los criterios diagnósticos principales son 2: clínica cutánea característica sugerente asociada a fallo renal agudo, o bien empeoramiento brusco de fallo renal crónico. Esto conduce a un diagnóstico de presunción que debe ser confirmado.
El hallazgo de laboratorio más frecuentemente descrito es la eosinofilia, presente en el 80%24 de los casos, sobre todo si hay afectación renal. Si existen fluctuaciones en la cifra de eosinófilos, probablemente se estén produciendo recurrencias40. Otras alteraciones descritas son: anemia, trombocitopenia, aumento de la velocidad de sedimentación y descenso del complemento. Las alteraciones analíticas son poco específicas y de escaso interés, excepto la mencionada eosinofilia y el aumento de los valores de creatinina y nitrógeno ureico en sangre.
Cuando existe asociación con anticuerpos antinucleares (ANCA) el diagnóstico diferencial con vasculitis sistémica se hace más difícil41.
Los ANCA se consideran el marcador diagnóstico de ciertas vasculitis sistémicas idiopáticas pauciinmunes (granulomatosis de Wegener, enfermedad de Churg-Strauss y poliangeítis microscópica). En estos casos, tendrían un papel etiopatogénico primario. En la ateroembolia por cristales de colesterol este hallazgo es muy poco frecuente y, de hecho, existen únicamente 4 casos publicados41-43. De ellos, sólo uno no presentaba lesiones cutáneas.
El papel de esta asociación es controvertido, ya que podría tratarse de un simple epifenómeno, o bien la presencia de ANCA podría favorecer el daño vascular, según sostienen Kaplan-Pavlovcic et al42.
El estudio del fondo de ojo permite la detección de cristales de colesterol sólo en el 10% de los casos y no se considera una exploración rentable para el diagnóstico.
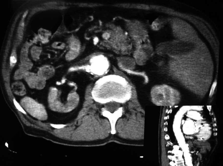
Las pruebas de imagen pueden establecer la fuente embolígena, lo cual es en ocasiones un verdadero reto, ya que muchos pacientes presentan ateromatosis diseminada. El ecocardiograma transtorácico puede ayudar a identificar las cavidades cardíacas como emisoras de émbolos. Se ha empleado el ecocardiograma transesofágico44, y se han observado la aterosclerosis moderada de la aorta torácica como engrosamiento de la íntima, con calcificaciones asociadas. La resonancia magnética y la angiotomografía abdominal con contraste suelen demostrar la presencia de trombos murales, placas de ateroma y aneurismas aórticos (fig. 3).
Figura 3. Angiotomografía toracoabdominal: imagen con contraste que muestra ateromas calcificados, e indentaciones en la aorta abdominal y en ambas arterias renales.
El diagnóstico definitivo de ateroembolia se establece mediante biopsia de piel, músculo, riñón o intestino.
HISTOPATOLOGÍA
La imagen histológica patognomónica de ateroembolia consiste en la demostración de los cristales de colesterol45. Pueden observarse en el interior de los vasos del órgano afectado los cristales birrefringentes de colesterol o bien las hendiduras alargadas biconvexas en forma de aguja que corresponden a la imagen en negativo de los cristales disueltos durante el procesamiento de la biopsia (los ésteres de colesterol cristalizados se disuelven durante la inclusión de la pieza en parafina). En ocasiones se observa una reacción inflamatoria local de tipo cuerpo extraño que provoca una obstrucción completa de la luz del vaso (fig. 4). En la piel los vasos afectados suelen verse en piezas que incluyen dermis profunda y tejido celular subcutáneo. Otros hallazgos frecuentes son infiltrado inflamatorio con eosinófilos, engrosamiento de la íntima y fibrosis perivascular. También pueden existir células gigantes.
Figura 4. Trombo de colesterol que ocluye totalmente la luz de un vaso en la hipodermis. Imagen típica que muestra hendiduras biconvexas alargadas, ópticamente vacías y rodeadas de fibrina.
Se acepta que la existencia de vasos dilatados con engrosamiento de su pared rodeados de infiltrado inflamatorio escaso además de trombosis fibrinoide intraluminal, en el contexto clínico adecuado, permite establecer el diagnóstico aunque no se demuestren los cristales46.
La importancia diagnóstica de la biopsia cutánea radica en su fácil realización y su baja morbilidad, además de ofrecer un alto rendimiento (hasta del 92%)27. Esto ocurre principalmente en pacientes con afectación cutánea evidente y factores desencadenantes claros. En ocasiones la biopsia de piel aparentemente sana ha revelado hallazgos sugerentes47.
La biopsia muscular o la renal también son de gran utilidad diagnóstica, pero suponen una mayor morbilidad.
Es importante la presencia de tejido celular subcutáneo en la biopsia de piel para poder obtener las arterias de pequeño y mediano calibre donde suelen alojarse los émbolos (unión dermohipodérmica). Además, es conveniente seriar los cortes de la pieza cutánea, ya que las alteraciones mencionadas pueden ser evidentes únicamente en un segmento reducido de la misma.
Algunos autores proponen no realizar biopsia cutánea de forma indiscriminada debido a que existe un compromiso circulatorio48 que podría ocasionar una cicatrización tórpida de la herida, pero en la gran mayoría de los casos en los que se practica no existen complicaciones.
PRONÓSTICO Y TRATAMIENTO
La ateroembolia por cristales de colesterol es un cuadro sistémico que conlleva una elevada morbimortalidad (del 75 al 80% de los pacientes fallecen). La muerte suele deberse a fallo multiorgánico, fundamentalmente cardíaco y renal. Este último puede ser progresivo, y en muchas ocasiones los pacientes precisan diálisis.
Las opciones de tratamiento son muy limitadas y, a veces, controvertidas. Existen 2 actitudes terapéuticas: manejo conservador o cirugía. Sin embargo, hay que tener en cuenta que estos pacientes, debido a diversos factores, se consideran de alto riesgo quirúrgico, por lo que la erradicación de la fuente embolígena estaría contraindicada en algunos casos. Además, no es posible recanalizar los vasos obturados debido al pequeño calibre de los mismos. Tampoco serían efectivos los anticoagulantes, antiagregantes y trombolíticos, que podrían incluso empeorar el cuadro4.
Belenfant et al14 realizaron un estudio prospectivo de 67 pacientes con embolismo de colesterol en el que se abordan de forma conservadora las causas de muerte más frecuentes. Se concluye una reducción de la mortalidad del 40% frente a controles históricos.
El tratamiento conservador consiste en eliminar los factores precipitantes (suspender la anticoagulación y las terapias vasculares invasivas), así como un adecuado control de la tensión arterial (se han empleado inhibidores de la enzima conversiva de la angiotensina [IECA], antagonistas del calcio y nitratos con resultados variables). Las estatinas parecen estabilizar las placas de ateroma49. Existen casos publicados en los que se emplean corticoides sistémicos a dosis altas en aquellos pacientes que presentan elevación de la proteína C reactiva (PCR), hipocomplementemia y aumento de la velocidad de sedimentación50. Se cree que los esteroides pueden detener la respuesta inflamatoria secundaria que conduce a la fibrosis vascular.
Algunos autores recomiendan utilizar esteroides sistémicos cuando existe clínica semejante a vasculitis, en el fracaso renal agudo, y cuando se objetiva una extensa afectación cutánea51. Se han obtenido buenos resultados con análogos de la prostaciclina52 en el tratamiento del dolor, y se ha observado mejoría de la púrpura, de la livedo y de la cianosis.
CONCLUSIONES
La ateroembolia por cristales de colesterol es un fenómeno relativamente frecuente y de difícil diagnóstico dada su gran variedad de manifestaciones clínicas. Debido a la gravedad del cuadro una vez instaurado, es muy importante realizar una adecuada prevención y un diagnóstico precoz.
Puede que esto no implique cambios en el pronóstico final, pero evitaría ciertos procedimientos erróneos en el manejo del paciente.
Es importante destacar que las manifestaciones cutáneas forman parte de la clínica cardinal de la ateroembolia por cristales de colesterol, ya que aparecen en un elevado porcentaje de casos. Incluso pueden ser el primer y único signo de alerta que permita hacer sospechar la enfermedad.
Por este motivo es importante que, tanto los médicos de atención primaria como los especialistas que tratan habitualmente a estos pacientes (internistas, cardiólogos, neurólogos, nefrólogos), puedan reconocer estas lesiones e incluyan la exploración cutánea sistemática en pacientes de riesgo.
El papel del dermatólogo cobra especial importancia en el ámbito hospitalario debido a que, en muchas ocasiones, estos pacientes son remitidos a nuestras consultas con la sospecha de otras patologías (vasculitis, colagenopatías...) o bien se realizan interconsultas por otros especialistas, ante un cuadro cutáneo de livedo reticularis o acrocianosis.
Aunque el aspecto clínico de las lesiones sea típico, es preciso realizar una serie de pruebas complementarias adecuadas que pueden incluir la biopsia cutánea, que es un procedimiento muy rentable desde el punto de vista diagnóstico.
En la mayoría de los casos se precisa un tratamiento individualizado y multidisciplinar, y no es posible establecer un protocolo de actuación.









