Una mujer de 54 años con diagnóstico de tumores metacrónicos de mama y endometrio, ya tratados; además, con diagnóstico de sarcoidosis, en tratamiento con metotrexato 7,5 mg/semana y prednisona 5 mg día, y linfoma no hodgkiniano de reciente diagnóstico, aún sin tratamiento oncológico, consultó por un cuadro clínico de 3 días de evolución de astenia, adinamia, picos febriles recurrentes, eritema generalizado y progresivo asociado a dolor intenso, que comprometía el 70–80% de la superficie corporal total. Niega ingesta de medicamentos recientes. En la inspección cutánea, la paciente presenta eritema generalizado con múltiples ampollas flácidas y erosiones secundarias, asociado a dolor intenso, prurito, y extensas zonas con descamación en colgajo, que no compromete las palmas, las plantas ni las mucosas (fig. 1A-C).
Por lo anterior, se consideró como posibles diagnósticos una reacción adversa a medicamentos de tipo necrólisis epidérmica tóxica o síndrome de piel escaldada estafilocócica. Se indicaron medidas de soporte, junto con la realización de una biopsia de piel y análisis paraclínicos séricos. El hemograma mostró leucocitosis y neutrofilia, sin eosinofilia, mientras que la función renal y hepática se encontraba conservada. Se recibe reporte de anatomía patológica que evidencia ampollas y pústulas subcórneas e inmunofluorescencia directa negativa (fig. 2A y B); los cultivos microbiológicos de la muestra fueron negativos. Con base en lo anterior, se diagnosticó síndrome de piel escaldada estafilocócica, por lo que se inició tratamiento con oxacilina y vancomicina durante 10 días. Se observó descamación residual en las áreas afectadas y reepitelización sin cicatrices residuales.
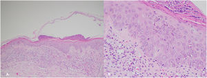
A) Foto de biopsia de piel en aumento 10X: ampolla subcórnea que contiene numerosos neutrófilos, detritus y algunas células acantolíticas.
B) Foto de la biopsia de piel en aumento 100X: La epidermis muestra espongiosis, incremento de la actividad mitótica en la capa basal y algunos disqueratocitos.
El síndrome de piel escaldada estafilocócica (SPEE) es una condición exfoliativa común en los pacientes pediátricos, pero rara en el adulto, confiriendo un riesgo de mortalidad de hasta 40%1. Su desarrollo ocurre como resultado de una infección primaria por Staphylococcus aureus, del grupo fago II, la cual puede originarse en el tracto respiratorio superior, en una herida quirúrgica infectada, neumonía, artritis séptica entre otras posibilidades. Posteriormente, se produce la liberación de exotoxinas exfoliativas ET-A, ET-B y ET-D, que se diseminan hematógenamente y actúan contra la desmogleína 1, un componente clave de los desmosomas intercelulares en la piel, lo que provoca acantólisis y la formación de ampollas intraepidérmicas2–4.
El desarrollo del SPEE se fundamenta en la relación entre la síntesis y la eliminación de toxinas producidas por Staphylococcus aureus. La patogenia dependerá de factores que incrementen la producción de toxinas o que alteren su eliminación del organismo5–7. Los 2 principales factores de riesgo para la aparición de esta entidad en los adultos son la enfermedad renal y la inmunosupresión, ya sea por neoplasias malignas, infección por VIH o por uso de medicamentos inmunomoduladores. Sin embargo, se han documentado otras asociaciones en la literatura, tales como consumo de antiinflamatorios no esteroideos, alcoholismo crónico, desnutrición, diabetes mellitus y el uso de glucocorticoides sistémicos durante más de 3 meses5–11. En este caso, la paciente presenta antecedentes de linfoma de células B y está recibiendo tratamiento inmunomodulador con metotrexato y corticoides sistémicos de larga duración.
Dada la baja prevalencia de esta entidad, tanto el diagnóstico temprano y el inicio oportuno del tratamiento pueden verse retrasados. Por ello, es crucial realizar una anamnesis completa e investigar el consumo reciente de medicamentos, ya que la primera impresión puede ser erróneamente interpretada como una toxicodermia12; un examen físico exhaustivo, que incluya la revisión de la superficie corporal total, incluyendo mucosas, las cuales estarían respetadas en el SPEE; exámenes complementarios, como cultivos microbiológicos del contenido de las ampollas, los cuales serán negativos en el caso del SPEE; y la biopsia de piel, que es clave para el diagnóstico, en la que se observa la formación de ampollas intraepidérmicas en la capa granulosa, secundarias a acantólisis1,2,8.
Entre los diagnósticos diferenciales se incluyen reacciones adversas a medicamentos, como la necrólisis epidérmica tóxica (NET), la pustulosis exantemática generalizada aguda (PEGA); enfermedades autoinmunes como el pénfigo foliáceo; así como enfermedades infecciosas como el impétigo ampolloso12–15. En la tabla 1 se presentan las características de cada uno de estos procesos, así como las claves diagnósticas para su identificación o exclusión.
Diagnósticos diferenciales del síndrome de piel escaldada estafilocócica
| SPEE | NET | PEGA | Impétigo ampolloso | Pénfigo Foliáceo | |
|---|---|---|---|---|---|
| Síntomas generales | Fiebre, irritabilidad | Fiebre, dolor ocular, disfagia,dolor intenso en la piel, adenopatías | Fiebre | No | No |
| Lesiones en la piel | Eritema generalizado y posterior formación de ampollas flácidas, con descamación secundaria, resolución sin cicatriz | Compromiso ≥30% SCT.Máculas eritematosas con centro violáceo (diana atípica)Coloración grisácea y ampollas flácidas | Placas eritematosas edematosas con micro pústulas no foliculares en las superficies flexoras, el tronco y la cara | Ampollas flácidas con collarete descamativo en la periferia y erosiones en las áreas intertriginosas | Ampollas flácidas y erosiones cubiertas por costra en apariencia de «hojuela de maíz» |
| Mucosas | No | Mucosa oral, genital, urinaria, ocular | No | No | No |
| Signos | Nikolsky positivo | Nikolsky positivo | – | Nikolsky positivo | Nikolsky positivo |
| Lesión elemental | Ampollas flácidas | Ampollas flácidas | Micropústulas no foliculares | Ampollas flácidas | Ampollas flácidas |
| Patogenia | Exotoxinas exfoliativas del S. aureus fago II | Hipersensibilidad IVc | Hipersensibilidad IVd CXCL8/IL-8 | Exotoxinas exfoliativas de S. aureus | Enfermedad autoinmune, formación de auto anticuerpos |
| Diana | Desmogleína 1 | – | – | Desmogleína 1 | Desmogleína 1 |
| Historial de medicamentos | No | Si, 4–28 días previos | Si, 4 días previos | No | No |
| Histología | Acantólisis con formación de ampollas intraepidérmicas a nivel de la granulosa | Queratinocitos necróticos, necrosis de toda la epidermis, formación de ampollas subepidérmicas | Espongiosis y formación de pústulas subcórneas con infiltrado con neutrófilos | Acantólisis en la granulosa con formación de ampollas subcórneas, infiltrado inflamatorio mixto | Acantólisis a nivel de la granulosa, ampollas subcórneas, IFD positiva con depósitos IgG y C3 intercelulares |
| Cultivo | Negativo | Negativo | Negativo | Positivo | Negativo |
IFD: inmunofluorescencia directa; NET: necrólisis epidérmica toxica; PEGA: pustulosis exantemática generalizada aguda; S. areus: Staphylococcus aureus; SCT: superficie corporal total; SPEE: síndrome de piel escaldada estafilocócica.
Es importante considerar el diagnóstico de SPEE al evaluar a un paciente adulto con comorbilidades como inmunosupresión o enfermedad renal, especialmente si presenta eritema asociado a ampollas flácidas y tiene un foco de infección reciente, ya sea en la piel, el tracto respiratorio u otro. No obstante, el diagnóstico puede resultar desafiante debido a la rareza de la enfermedad y a la necesidad de inicio, de manera oportuna, de la terapia antibiótica.
Consentimiento informadoLos autores declaran que se obtuvo el consentimiento informado del paciente en el presente estudio y que cuentan con la aprobación del comité de ética institucional.
FinanciaciónLa presente investigación no ha recibido ayudas específicas provenientes de agencias del sector público, sector comercial o entidades sin ánimo de lucro.
Conflictos de interesesLos autores declaran no tener ningún conflicto de intereses.




